¿Te has preguntado por qué algunos dientes parecen volverse más sensibles o amarillentos con el tiempo, a pesar de cepillarlos a diario? Puede que estés enfrentándote a un problema cada vez más común: la erosión dental. Este tipo de desgaste no está causado por caries ni por traumatismos, sino por ácidos que poco a poco destruyen el esmalte dental. La erosión dental es la pérdida progresiva del esmalte causada por ácidos que no provienen de bacterias, sino de alimentos, bebidas o incluso del propio estómago.
La erosión dental es un problema de salud bucodental que afecta a una gran parte de la población, con implicaciones significativas tanto para la función como para la estética dental. Este fenómeno se caracteriza por la pérdida de tejido dental, lo que puede llevar a complicaciones graves si no se trata adecuadamente. A continuación, te contamos en detalle qué es la erosión dental, sus causas principales y los tratamientos disponibles para combatir este problema.
La erosión dental es el desgaste progresivo del tejido que cubre la superficie externa de los dientes, es decir, al esmalte. Lamentablemente, el esmalte dental no se regenera por sí solo. La erosión dental es la pérdida gradual de esmalte -la capa dura y externa del diente- debido al contacto frecuente y prolongado con ácidos.

¿Qué es la Erosión Dental?
La erosión dental es la pérdida progresiva del esmalte dental debido a la acción de ácidos no bacterianos. A diferencia de la caries, que es causada por la actividad bacteriana, la erosión dental es el resultado de la exposición a ácidos de origen interno o externo. Estos ácidos disuelven los minerales del esmalte dental, debilitando la estructura del diente y provocando una pérdida de su integridad.
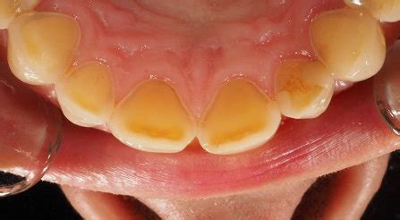
Los síntomas iniciales pueden incluir sensibilidad dental, cambio en la forma de los dientes y una apariencia amarillenta debido a la exposición de la dentina subyacente. La erosión dental afecta tanto a la salud oral como a la estética dental de manera significativa. Los dientes erosionados pueden sufrir problemas funcionales y presentar una apariencia más desgastada y decolorada, lo que impacta tanto en la salud bucal como en la autoestima y la calidad de vida de una persona.
En el caso de la erosión dental, esta sucede cuando se produce un daño en el esmalte dental causada por ácidos ajenos a los presentes en la placa bacteriana. De esta forma, se podrían distinguir dos tipos de erosión:
- Erosión intrínseca: cuando la causa de la erosión está producida por el propio organismo humano, como los ácidos gástricos. Se da frecuentemente en personas que padecen problemas de estómago o de la alimentación.
- Erosión extrínseca: Por otro lado, existe otro tipo de erosión dental causada por agentes externos, como la ingesta de determinados medicamentos (suplementos de vitamina C masticables o aquellos que contengan ácido clorhídrico) o a causa de ciertos hábitos alimenticios perjudiciales para la salud dental: como una dieta excesiva en azúcares, bebidas carbonatadas, zumos de fruta concentrados y otros alimentos que ayudan a crear de la cavidad oral un medio muy ácido.

Causas de la Erosión Dental
Varios factores pueden estar detrás de la erosión dental. La erosión dental puede tener diversas causas, tanto internas como externas. Entre las causas externas más comunes se encuentran:
- Alimentos y bebidas ácidas: el consumo frecuente de alimentos y bebidas ácidas, como cítricos, refrescos y vinagres, puede llevar a la erosión dental. Estos productos disminuyen el pH en la boca, facilitando la desmineralización del esmalte dental. Evita consumir a diario bebidas carbonatadas o zumos muy ácidos. Evita consumir bebidas ácidas.
- Hábitos dietéticos: una dieta alta en azúcares y carbohidratos fermentables puede contribuir a la erosión dental, ya que promueve un ambiente ácido en la boca.
- Factores ambientales: la exposición a ambientes ácidos, como piscinas con cloro, puede ser un factor de riesgo para la erosión dental.
Por otro lado, entre las causas internas se destacan:
- Reflujo gastroesofágico: el ácido gástrico que llega a la boca debido al reflujo puede causar erosión dental. Este problema es común en personas con enfermedades gastrointestinales. Evita comer alimentos ácidos y fritos que promuevan el reflujo.
- Vómitos frecuentes: los trastornos alimentarios, como la bulimia, y condiciones que causan vómitos frecuentes también están asociados con la erosión dental, debido al contacto regular del ácido estomacal con los dientes.
- Xerostomía (boca seca): la falta de saliva, que actúa como un buffer natural contra los ácidos, puede incrementar el riesgo de erosión dental. La saliva ayuda a neutralizar los ácidos en la boca, ya que forma una barrera invisible entre los ácidos y el esmalte de los dientes. Por tanto, los protege de la erosión.
La erosión dental causada por bacterias, también conocida como erosión bacteriana, ocurre cuando las bacterias presentes en nuestra boca producen ácidos que dañan el esmalte dental. Estas bacterias, como el Streptococcus mutans, se alimentan de los carbohidratos y azúcares presentes en nuestra dieta, produciendo ácidos como subproducto. Varios factores pueden aumentar el riesgo de sufrir erosión dental causada por bacterias.

¿Cuáles son los síntomas de erosión dental?
El esmalte dental es la parte que recubre la parte externa de los dientes, cuya función es proteger la estructura interna del diente de los agentes patógenos externos, por ello, el debilitamiento del esmalte a causa de la erosión dental supone la exposición de la dentina (la parte de color amarillento del diente). Aunque la erosión dental puede pasar desapercibida en sus primeras fases, sus efectos a largo plazo pueden afectar tanto a la estética como a la funcionalidad de tu boca.
Algunos de los síntomas de la erosión dental son los siguientes:
- Decoloración de los dientes: si se va dañando el esmalte debido a la erosión dental, el blanco natural de los dientes se va perdiendo, dando paso a un tono más amarillento. Cambios en la apariencia de los dientes: los dientes erosionados pueden cambiar su aspecto debido al debilitamiento del esmalte. Es decir, pueden adquirir una apariencia más fina y translúcida, especialmente en los bordes, así como volverse más cortos y desiguales.
- Sensibilidad dental: al quedar expuesta la dentina con la erosión dental, los dientes quedan mucho más sensibles ante los agentes externos. Por este motivo, es habitual sentir un dolor agudo tras la ingesta de ciertos alimentos, comidas azucaradas o bebidas, especialmente frías o calientes. Sensibilidad dental: los ácidos contribuyen a disolver el esmalte y, con el tiempo, pueden exponer la dentina (capa que está debajo del esmalte). La dentina contiene unos pequeños túbulos que conducen directamente a los nervios del diente.
- Desgaste de las piezas dentales: los dientes pueden llegar a cambiar de forma, verse más redondeados o aparecer pequeñas fisuras. También pueden aparecer ciertas transparencias en los bordes dentales, perdiendo estos su opacidad. Pérdida de estructura dental: la erosión avanzada puede provocar una pérdida significativa de la estructura dental, afectando a la forma y el tamaño de los dientes. Todo ello puede comprometer la función masticatoria, la alineación dental y la distribución de la fuerza al morder.
- Fracturas y grietas: a medida que los dientes se vuelven más débiles y frágiles debido a la pérdida de esmalte, son más susceptibles a fracturas, grietas y astillamientos. Esto puede requerir tratamientos dentales como empastes, coronas o reconstrucciones.
La erosión progresa lentamente y es posible que no se detecte antes de que el paciente sea consciente de la temperatura o la sensibilidad al dulce o las fracturas incisales finas.

Tratamiento de la Erosión Dental
El tratamiento de la erosión dental se enfoca en prevenir la progresión de los daños, restaurar los dientes afectados y abordar las causas para prevenir futuros problemas. El tratamiento de la erosión dental depende de la gravedad del problema y las causas subyacentes. Los enfoques más comunes incluyen:
Una vez que se identifican los primeros síntomas de la erosión dental, lo recomendable es acudir a un odontólogo para que realice el diagnóstico, y dependiendo del caso, prescriba el tratamiento más adecuado para cada caso. Para prescribir el tratamiento adecuado para la erosión dental el especialista debe investigar en primer lugar las causas que provoca el daño del esmalte. Y una vez determinadas, encontramos tres tipos de tratamientos diferentes en función del grado de avance de la erosión dental.
- Identificación y control de la causa: el primer paso del tratamiento consiste en identificar y controlar la causa de la erosión dental.
- Modificaciones dietéticas y de estilo de vida: reducir el consumo de alimentos y bebidas ácidas, y mejorar la higiene bucal puede ayudar a minimizar el daño. Es importante evitar el cepillado inmediatamente después de consumir ácidos, ya que el esmalte está más vulnerable en este momento.
- Uso de productos fluorados: el uso de pastas dentales y enjuagues bucales con flúor puede fortalecer el esmalte dental y ayudar a prevenir la erosión dental. Además, desde la clínica podemos aplicar tratamientos con flúor y selladores de fisuras para proteger los dientes afectados.
- Realizar una restauración dental: en función de la extensión y la severidad de los daños, el odontólogo deberá valorar cuál es el tratamiento más adecuado para la erosión dental. Además, la erosión dental puede afectar a niños y adultos, por lo que el dentista también necesitará evaluar la fase de desarrollo dental en la que se encuentra la persona. Para los casos de erosión inicial, se suele recomendar al paciente una serie de pautas preventivas que deberá cumplir de forma rigurosa si no quiere que la afección vaya a más. Con dichas pautas, se evitarían las consecuencias perjudiciales que afectarían al esmalte y a la salud dental del paciente. En el caso de que la erosión dental sea moderada, y el esmalte haya perdido grosor de forma localizada en el diente, dejando expuesta la dentina, entonces habrá que realizar una obturación con composite. Si la erosión severa, y la pérdida de esmalte ha afectado a varias zonas de un mismo diente o en varios dientes, y el paciente sufra de sensibilidad dental aguda, entonces se podría optar por la reconstrucción de las piezas dentales afectadas. En casos más avanzados, pueden ser necesarios tratamientos de estética dental como el uso de carillas o coronas para restaurar la estructura dental y mejorar la estética. En los casos más graves, se puede recurrir incluso a la realización de una endodoncia o la colocación de incrustaciones o coronas dentales.
- Practicar una endodoncia: en casos de erosión dental severa, cuando los daños hayan llegado hasta el interior del diente y exista dolor, puede ser necesario recurrir a una endodoncia.
- Tratamientos médicos para causas subyacentes: Si la erosión dental es causada por reflujo gastroesofágico o vómitos frecuentes, es crucial tratar estos problemas médicos con la ayuda de un profesional de la salud.
En Clínica Dental Soludent recomendamos realizar limpiezas y revisiones periódicas para detectar signos de erosión antes de que avance. Si se cuida bien la zona del diente, es muy poco probable que se produzca erosión. Sin embargo, si aparecen síntomas, es necesario consultar inmediatamente a un especialista. Muchas personas buscan atención médica cuando se dan cuenta de que su enfermedad ha progresado, pero incluso si aún no han desarrollado síntomas, pueden tomar medidas tempranas para detener y prevenir la enfermedad.
Recuerda que una buena salud dental es fundamental para una sonrisa radiante y una vida saludable en general. ¡Cuida tus dientes y sonríe con confianza!
Consejos para prevenir la erosión dental
La base para tener unos dientes sanos es mantener una dieta equilibrada y una rutina de higiene diaria. A continuación, te damos algunos consejos para prevenir la erosión dental:
- Controla tu consumo de azúcares: Limita la ingesta de alimentos y bebidas azucaradas, especialmente los que se consumen entre comidas.
- Evita consumir a diario bebidas carbonatadas o zumos muy ácidos.
- Después de tomar alimentos o bebidas ácidas, espera al menos 30 minutos antes de cepillarte. También es aconsejable si tomas bebidas o alimentos ácidos, cepillarse los dientes, pero recuerda que hay que esperar de 20 a 30 minutos, ya que si lo hacemos inmediatamente después de tomarlos, estaremos repartiendo los ácidos de la boca por los dientes, y por lo tanto empeorando los efectos de la erosión dental. No te apresures a cepillarte los dientes.
- Como hemos visto a lo largo de este artículo, existen ciertos alimentos que pueden dañar el esmalte de nuestros dientes, como las bebidas carbonatadas. Para evitar que estas dañen nuestro esmalte más de lo deseado, podemos intentar reducir el contacto con nuestros dientes tomándolas con una pajita.
- No comas nada una hora antes de acostarte. La saliva tarda una hora en neutralizar los ácidos de la boca.
- No olvides incorporar a tu rutina de higiene diaria el hilo dental o cepillo interproximal, esto te ayudará a eliminar todos los restos de alimentos que el cepillado no elimina.
- No uses demasiada fuerza en tu cepillado diario, un cepillado agresivo puede dañar el esmalte dental. Procura utilizar cepillo de cerdas suaves o medias, que no dañen a las encías, y cepillar durante al menos 2 o 3 minutos.
- Utiliza pasta dental con flúor, ya que protege al esmalte de la acción de los ácidos y agentes externos.
- Bebe abundante agua, esto ayudará a generar saliva y evitar la sequedad bucal.