La erosión dental es un problema de salud bucodental que afecta a una gran parte de la población infantil, con implicaciones significativas tanto para la función como para la estética dental. Este fenómeno se caracteriza por la pérdida de tejido dental debido a la acción química de ácidos, sin la participación de bacterias. A diferencia de la caries, que es causada por la actividad bacteriana, la erosión dental es el resultado de la exposición a ácidos de origen interno o externo.
La erosión dental se ha transformado en una afección común a nivel mundial, afectando especialmente a la población infantil por el alto consumo de bebidas ácidas y carbonatadas.

Es importante conocer los diferentes tipos de desgaste dental, como son la atrición, la abrasión, la abfracción y la erosión. Se entiende por atrición el desgaste dental o de restauraciones dentales por el contacto diente a diente, que oclusalmente puede ser identificado como un desgaste plano, brillante y con distintos márgenes, que también es evidente en el diente antagonista. La abrasión se relaciona con la pérdida de la estructura del diente, debido a contactos mecánicos repetidos con objetos, por ejemplo, cepillado traumático. La abfracción, por su parte, responde a una lesión en forma de cuña en la región cervical del diente, como resultado de la flexión provocada por la carga oclusal ejercida durante la masticación.
¿Qué es la Erosión Dental?
La erosión dental se define como la pérdida progresiva e irreversible del tejido duro dental, causada por un proceso químico de disolución de ácidos que no involucra bacterias.
La erosión dental en niños con dentición primaria y permanente joven presenta una prevalencia cada vez mayor, particularmente en niños de niveles socioeconómicos altos. Su clínica y etiología multifactorial pueden provocar dificultad para su detección y manejo, siendo necesario el conocimiento de estas por parte del odontólogo.
Los síntomas iniciales pueden incluir sensibilidad dental, cambio en la forma de los dientes y una apariencia amarillenta debido a la exposición de la dentina subyacente.
La erosión dental afecta tanto a la salud oral como a la estética dental de manera significativa. Los dientes erosionados pueden sufrir problemas funcionales y presentar una apariencia más desgastada y decolorada, lo que impacta tanto en la salud bucal como en la autoestima y la calidad de vida de una persona.
Prevalencia de la Erosión Dental
El predominio de la erosión dental que implica la dentina en los niños con edades entre 2-7 años ha sido reportado entre 1% al 34%, mientras que la erosión limitada al esmalte es más frecuente. La mayoría de los estudios reportados en la dentición permanente joven ha sido realizada en niños con edades entre 12-14 años y el predominio de la erosión dental en dentina varía de 2% a 53%.
En un estudio realizado en niños de 12 años al sur de Brasil la prevalencia de erosión fue de 13%, siendo más alta en niños de escuelas privadas, con 21%, que en escuelas públicas, con 9,7%. En otro estudio realizado en Estados Unidos se observó una mayor prevalencia de erosión dental llegando a 41% en niños de 11 a 13 años.
La distribución de la erosión dental no es uniforme dentro de los arcos dentarios. En niños y adolescentes los dientes anteriores maxilares, especialmente las superficies palatinas y los primeros molares permanentes, son los más frecuentemente afectados.
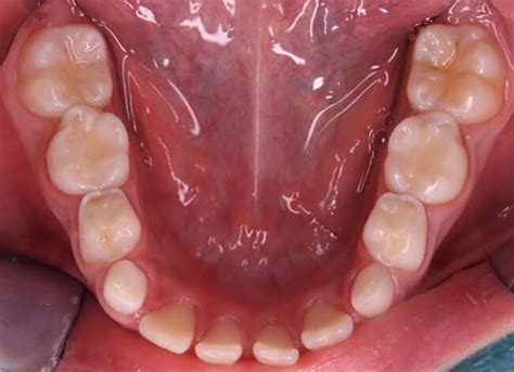
Desde el punto de vista clínico se describen ciertas características comunes, donde las lesiones por erosión dental se presentan tanto en zonas linguales como vestibulares, especialmente en el tercio gingival, como pequeñas depresiones o lesiones superficiales, más anchas que profundas, con forma de disco, cuchara o irregular. También se caracterizan por tener márgenes lisos y poco definidos, mostrando la superficie del esmalte pulida y sin brillo. Cuando se presenta en zonas oclusales lo hace en forma de canaleta o pozos.
Causas de la Erosión Dental
La erosión dental es el resultado de la conjunción de varios factores de riesgo tanto químicos y biológicos como alimentarios. Dentro de estos encontramos los factores intrínsecos, que corresponden a causas directamente relacionadas con la salud del individuo, y también encontramos factores extrínsecos, los que corresponden a factores externos al individuo, pero que generan un impacto igual de importante en el resultado final. El término «erosión idiopática» ha sido utilizado en casos de etiología desconocida.

Factores Intrínsecos
De manera general, los factores intrínsecos se refieren a factores propios de la fisiología y/o fisiopatología del cuerpo, como por ejemplo anormalidades en el tracto gastrointestinal o bajo flujo salival, lo que se traduce en falta de enjuague y amortiguación de ácidos en la cavidad bucal generando desmineralización en las superficies dentales.
La erosión dental comienza con la desmineralización superficial del esmalte para luego producir disolución de las capas superficiales y la progresiva pérdida de la estructura dentaria subyacente. Este mecanismo se explica porque la saliva contiene iones de calcio y fosfato, los cuales, cuando el pH neutro se mantiene en estado supersaturado con relación a la hidroxiapatita del esmalte, impiden la pérdida mineral. Al disminuir el flujo salival la acción buffer presenta un deterioro, donde el ión fosfato desempeña un rol importante.
Dentro de los factores intrínsecos uno de los principales es la saliva que, por una parte, desempeña un rol importante en el momento de producir la dilución de un agente erosivo en los dientes, posterior neutralización y almacenamiento buffer de los ácidos, y por otra parte participa en la disminución de la velocidad de disolución del esmalte mediante el efecto de ión común por el calcio y el fosfato salival. En efecto, se considera que la producción y secreción salival constituyen uno de los factores más importantes que influyen en la homeostasis de la cavidad bucal, protegiendo a los dientes y la mucosa contra la influencia de muchos factores perjudiciales.
La saliva protege el esmalte de la erosión a través de un número de mecanismos, incluyendo la formación de la película adquirida, entendiendo esta como un biofilm libre de bacterias, compuesta de proteínas de unión a calcio que se producen en la saliva, y que representa un factor intrínseco protector, ya que participa actuando como una barrera de difusión o una membrana permeselectiva, previniendo el contacto directo entre los ácidos y la superficie del diente, reduciendo entonces la velocidad de disolución de la hidroxiapatita.
La formación de la película adquirida es de gran importancia, tanto en dentición temporal como permanente. Se ha observado que la tasa de formación de la película adquirida es inicialmente más lenta en el esmalte primario, correspondiente a un tercio de la película adquirida en el esmalte de la dentición permanente. Además, las diferencias en la composición de aminoácidos puede ser indicativo de la presencia de diferentes tipos y cantidades de proteínas en la película adquirida sobre el esmalte de la dentición primaria en comparación con el esmalte de la dentición permanente.
Por otro lado, el uso de diuréticos, digitálicos y antihipertensivos, que favorecen la disminución de los fluidos corporales, pueden generar manifestaciones en la cavidad bucal con cambios en la tasa de flujo salival (TFS). Dawes (1996) afirma que cuando el contenido de líquido corporal se reduce en un 8%, ya sea por restricción hídrica o efectos de fármacos, repercute directamente sobre la secreción salival, ocasionando una alteración que se manifiesta con la disminución de la TFS.
Otros factores biológicos implicados en la protección contra la erosión dental incluyen la anatomía de los dientes y los tejidos blandos; los movimientos de los tejidos blandos, de la lengua y la mucosa bucal y los patrones de deglución, pudiendo estos afectar el patrón de retención del agente erosivo.
La enfermedad por reflujo gastroesofágico (ERGE) es otro factor que puede causar erosión dental. La ERGE corresponde a un trastorno donde los ácidos del estómago discurren hacia el esófago y la cavidad bucal. Los pacientes con esta enfermedad presentan esmalte delgado y translúcido, pérdida de estructura dentaria en las superficies palatinas de dientes anteriores y en forma de depresiones o concavidades en los dientes posteriores.
Por último, diversos autores se refieren al efecto de los fármacos en el flujo salival. Scully (2003) señala que los antiespasmódicos, anticolinérgicos, antihistamínicos, antieméticos, antineoplásicos, antiansiolíticos, broncodilatadores, antihipertensivos, diuréticos y antiarrítmicos presentan, entre sus efectos colaterales, el inducir la sequedad bucal; Olofsson y Bratthall (2004) afirman que el uso de fármacos en el tratamiento de ciertas enfermedades sistémicas ocasionan cambios en la formación y composición de la saliva, y Scully y Bagan (2004), por su parte, indican que la xerostomía es un síntoma común asociado con cambios cualitativos y cuantitativos en la saliva, lo cual es referido como hipofunción salival.
Factores Extrínsecos
En cuanto a los factores de origen extrínseco, estos corresponden a sustancias ácidas externas, como por ejemplo la desmineralización por bebidas carbonatadas (bebidas saborizadas con dióxido de carbono que le otorga la efervescencia) y bebidas no carbonatadas, como jugos de frutas ácidas.
La desmineralización ácida se produce debido a que el valor del pH, calcio, fosfato y fluoruro contenidos en una bebida o producto alimenticio determina el grado de saturación con respecto al mineral del diente, que corresponde a la fuerza impulsora para la disolución. De esta forma, un bajo grado de saturación con respecto a la superficie dentaria conduce a una desmineralización incipiente. En consecuencia, los ácidos, tales como los cítricos, pueden ser muy perjudiciales para la superficie del diente, pues reducen la sobresaturación de la saliva y el aumento de la fuerza impulsora para la disolución con respecto a los minerales del diente.
Las bebidas no carbonatadas, como los jugos de fruta o las bebidas con alta concentración de azúcar, contienen ácidos orgánicos tales como los cítricos (naranja), tartárico (uvas), maleico (manzana) y ascórbico (vitamina C), todos los cuales presentan un bajo pH.
La desmineralización por sustancias ácidas se manifiesta con bastante frecuencia en la actualidad, donde existe mayor acceso a bebidas carbonatadas y no carbonatadas, aumentando considerablemente su consumo en los últimos años, y en altos niveles en los niños. Un estudio en Estados Unidos demostró que entre el 56% y el 85% de los niños consume al menos una bebida al día, y de este grupo, el 20% consume 4 o más porciones al día; más aun, en el año 2002, en Arabia Saudita, AL-Malik et al. revelan que debido a que los productos alimenticios y bebidas típicas de dietas occidentalizadas se encuentran fácilmente disponibles y con bajos costos, la erosión dental ocurre con mayor frecuencia, y en niños los dientes afectados llegan a ser 2 o más.
Hunter et al. (2009) en un estudio in vitro del potencial erosivo de bebidas para bebés, comparó estas bebidas con jugos de naranja disponibles comercialmente, determinando que algunas de ellas fueron tan erosivas como los jugos de naranja.
Por lo tanto, la ingesta de bebida en la boca en relación con la cantidad de saliva presente modifica el proceso de disolución.
Síntomas de la Erosión del Esmalte
Los síntomas de la erosión dental incluyen:
- Dolor de dientes: Si se está desgastando el esmalte, es posible que los dientes se vuelvan más sensibles a los alimentos calientes y fríos.
- Decoloración: Los dientes pueden parecer amarillentos, ya que la dentina (la capa que se encuentra debajo del esmalte) queda más expuesta.
- Transparencia: Los incisivos pueden parecer transparentes cerca de los bordes con los que muerdes.
- Grietas y hendiduras: Si el esmalte dental empieza a erosionarse, los dientes pueden presentar pequeñas grietas y hendiduras en la superficie masticatoria.
Tratamiento de la Erosión Dental
El tratamiento de la erosión dental depende de la gravedad del problema y las causas subyacentes. Los enfoques más comunes incluyen:
Modificaciones Dietéticas y de Estilo de Vida
Reducir el consumo de alimentos y bebidas ácidas, y mejorar la higiene bucal puede ayudar a minimizar el daño. Es importante evitar el cepillado inmediatamente después de consumir ácidos, ya que el esmalte está más vulnerable en este momento.
Uso de Productos Fluorados
El uso de pastas dentales y enjuagues bucales con flúor puede fortalecer el esmalte dental y ayudar a prevenir la erosión dental. Además, desde la clínica podemos aplicar tratamientos con flúor y selladores de fisuras para proteger los dientes afectados. Además, en casos más avanzados, pueden ser necesarios tratamientos de estética dental como el uso de carillas o coronas para restaurar la estructura dental y mejorar la estética.
Tratamientos Médicos para Causas Subyacentes
Si la erosión dental es causada por reflujo gastroesofágico o vómitos frecuentes, es crucial tratar estos problemas médicos con la ayuda de un profesional de la salud.
Por ello, es fundamental buscar el asesoramiento y tratamiento de especialistas.
¿Qué puede hacerse para revertir los indicios de la erosión de los dientes?
En las etapas más tempranas de desgaste, puede ser muy beneficioso introducir productos de cuidado oral que protejan y fortalezcan el esmalte. Actúa en las etapas tempranas e invisibles de la erosión del esmalte restaurando su contenido mineral y su microdureza con el uso regular, ayudando a que la saliva haga su trabajo. También puedes incorporar el Sérum Avanzado en tu régimen de belleza. Este sérum mensual es una adición única a tu rutina de cuidado bucal, y está clínicamente probado que multiplica los efectos del Dentífrico Avanzado Regenerate hasta un 43 %**. El dentífrico, combinado con el sérum, aporta un aumento considerable de la dureza del esmalte, con una recuperación del 82 %** pasados 3 días.
- Reduce tu consumo de bebidas carbonatadas y cítricas.
- Enjuágate la boca después de ingerir alimentos ácidos.
- Cepíllate los dientes con suavidad, empleando movimientos circulares en lugar de hacerlo de lado a lado.
- Espera al menos 30 minutos para lavarte los dientes después de comer o beber, así protegerás el esmalte.
Prevención de la Erosión Dental
La prevención y el tratamiento temprano son clave para combatir la erosión dental. Para reducir el riesgo de erosión dental, es crucial modificar la dieta y los hábitos alimenticios. Esto incluye limitar el consumo de alimentos y bebidas ácidas, como cítricos y bebidas carbonatadas, que pueden desgastar el esmalte dental. Es igualmente importante enjuagarse la boca con agua después de consumir estos alimentos para neutralizar los ácidos.
El uso de técnicas de cepillado suaves y un cepillo de dientes de cerdas suaves es fundamental para proteger el esmalte. La elección de una pasta dental con flúor puede ayudar a reforzar el esmalte dental, ofreciendo una capa adicional de protección.
Para aquellos que ya experimentan erosión dental, o que están en alto riesgo, los tratamientos profesionales con flúor realizados por un dentista pueden ser de gran ayuda. Estos tratamientos ayudan a reforzar el esmalte dental. Además, la aplicación de selladores dentales puede proporcionar una barrera protectora efectiva sobre el esmalte.
Mantener una alimentación sana contribuye en gran medida al fortalecimiento de los dientes, por lo que lo ideal es comer de manera sana habitualmente. Consumir con prudencia refrescos o bebidas muy ácidas es otra recomendación clave. Mantener unos buenos hábitos de higiene bucodental es clave para eliminar todos los restos alimenticios que se acumulan en nuestros dientes y encías. Para una mejor limpieza, incorpora el uso de hilo dental, enjuague bucal y cepillos interproximales.
Recuerda, la erosión dental es un problema común que, si no se trata, puede comprometer la salud bucal. Adoptar hábitos preventivos, identificar los síntomas a tiempo y acudir al dentista regularmente son claves para evitar complicaciones.