En la odontología moderna, la escala de color de dientes VITA se ha convertido en una herramienta esencial para los profesionales. Permite determinar con precisión el color dental en diversos tratamientos. El color de un diente natural no es un blanco uniforme, sino que presenta diferentes grados de luminosidad y tonalidad.

¿Por Qué Varía el Color de los Dientes?
El color dental es distinto en cada persona, similar al color de piel, pelo u ojos, y varía entre grupos de dientes e incluso con el tiempo. El color de cada diente se forma por dos tipos de tejidos duros: la dentina y el esmalte.
Dentina
La dentina es el tejido principal del diente, con un tono amarillento debido a una mayor proporción de componentes orgánicos y menos inorgánicos. Es más blanda que el esmalte.
Esmalte
El esmalte es el tejido más duro del cuerpo humano, compuesto en un 94% de fosfato cálcico y solo un 4% de masa orgánica. Forma una capa blanca, fina y dura que protege la dentina de estímulos negativos.
El desgaste del esmalte dental es otro factor que influye en el color final del diente. Las personas con una capa de esmalte genéticamente más fina tienden a desgastar sus dientes más rápido y a sufrir más sensibilidad dental.
Soluciones Estéticas para el Desgaste Dental
Una solución estéticamente adecuada para los pacientes que desgastan sus dientes sería recubrirlos con carillas dentales
🚩 Carillas dentales: ¿Negocio o Salud?

Coronas unitarias o rehabilitaciones completas elaboradas de zirconio, por ser un material protésico altamente estético y de una dureza excepcional, serían una solución perfecta, funcionalmente y estéticamente acertada, en casos de los pacientes bruxistas y aquellos que sufren desgaste dental.
Tipos de Coloraciones Dentales
Las coloraciones dentales se dividen en extrínsecas (causadas por factores externos) e intrínsecas (causadas por factores internos).
Coloraciones Extrínsecas
Entre los factores externos que cambian el color del diente se incluyen el consumo prolongado de tabaco y alimentos con alto poder colorante (especias, vino tinto, té negro, café). En muchos casos, estas tinciones se eliminan con una limpieza dental profesional o blanqueamiento dental.
Coloraciones Intrínsecas
Las manchas intrínsecas, causadas por factores internos, no se eliminan con limpieza dental. Ejemplos incluyen los dientes de tetraciclina, hipoplasia del esmalte o fluorosis dental. También, el cambio de color producido por tratamientos dentales como endodoncias o por el envejecimiento natural.
Tratamientos de Estética Dental
Gracias a los tratamientos de estética dental como el blanqueamiento dental profesional, o las rehabilitaciones con carillas dentales de porcelana o coronas de zirconio podemos cambiar el color de los dientes de nuestros pacientes obteniendo un tono uniforme, blanco y luminoso esto se consigue mediante e uso de una escala de color de los dientes.

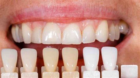
La Escala de Color VITA Clásica
La escala o la guía de color es un instrumento esencial para poder determinar el color del diente. Se trata de una gama variada y ordenada de colores en función de las tres dimensiones del color: el valor, la matriz y el croma.
- Valor (Luminosidad): Cantidad de claridad o brillo.
- Matriz: El color en sí (amarillento, grisáceo, rojizo).
- Croma: Grado de saturación del color.
La escala de tonos dentales más utilizada en la actualidad es la escala VITA clásica. Esta escala en concreto clasifica los colores según la matriz en A, B, C o D, y según el valor, su luminosidad, en 1, 2, 3, 4.
| Letra | Tonalidad |
|---|---|
| A | Marrón amarillenta |
| B | Amarilla |
| C | Grisácea |
| D | Rojiza suave |
Guía Lineal Vita 3D-Master
La guía dental para determinación de color Lineal Vita 3D-Master ofrece 29 colores, donde se encuentra una guía de claridad (VITA Valueguide 3D-MASTER) situada en la parte superior. Esta contiene 6 muestras de color de los grupos de claridad 0 - 5, con la tonalidad media (neutra) M y el nivel de intensidad 2: 0M2, 1M2, 2M2, 3M2, 4M2, 5M2.
Pasos para Determinar el Color Dental con VITA 3D-Master
- Colocar la VITA Valueguide lo más próximo al diente del paciente.
- En función de la selección previa, tomar de la caja la VITA Chroma /Hueguide 3D-MASTER correspondiente (0/1, 2, 3, 4 ó 5) y determinar la intensidad y la tonalidad cromáticas que mejor se adapte a tu caso clínico.
Siempre que sea posible, debe determinarse el color dental con luz diurna o con lámparas de luz diurna normalizadas (5500 K-6500 K), y no con la iluminación habitual de la sala. Todo el entorno debe ser lo más cromáticamente discreto posible, y los pacientes deben retirar labiales u otros maquillajes. Además, conviene cubrir con un paño de color gris las prendas de colores chillones.
VITA ha creado el Espectrofotómetro Easyshade® V que detecta de manera rápida, precisa y fiable el color de dientes tanto naturales como de cerámica. Es decir, la tecnología Easyshade determina de manera digital el color de los dientes.
Descripción de Guía de Colores Classical Vitapan
La guía de colores VITA classical es una tabla formada por dientes de cerámica estratificados a mano. Para lograr determinar un correcto color dental es necesario recurrir a la colorimetría y así garantizar un color lo más parecido posible. La guía de colores VITA classical agrupa los colores de la manera siguiente:
- Rojizo-pardusco - A1 . A2 . A3 . A3,5 . A4
- Rojizo-amarillento - B1 . B2 . B3 . B4
- Grisáceo - C1 . C2 . C3 . C4
- Rojizo-gris - D2 . D3 . D4
Sujete la guía de colores aproximadamente a 25-30 cm junto al diente del paciente y escoja el color comparando las muestras de colores con el diente natural. Se recomienda, siempre que se pueda, determinar el color dental con luz diurna o con una lámpara que simule la luz diurna, retirar lápiz de labios y otros maquillajes, así como cubrir las prendas de vestir o pañuelos de colores chillones con un paño de color gris.
La superficie de la tabla se puede limpiar con un desinfectante suave en espray o toallitas desinfectantes. Las piezas de plástico de la guía de colores no resisten ni monómeros ni radiación UV, por lo que debe evitarse su exposición a la luz solar intensa.