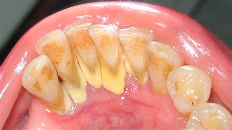
El sarro dental, también conocido como cálculo o tártaro dental, es un problema común que afecta la salud bucal de muchas personas. Se identifica fácilmente como una pasta amarillenta o marrón que se adhiere a los dientes, pero es en realidad la calcificación de la placa dental. La placa se origina a través del contacto entre la saliva y las bacterias derivadas de los alimentos.

A pesar de ser tan común, muchos pacientes desconocen qué es realmente el sarro y por qué debemos prevenir su aparición. En este artículo, te explicaremos todo lo que necesitas saber sobre el sarro dental, su formación, por qué es importante eliminarlo, cómo prevenir su formación y, por supuesto, cómo eliminarlo.
¿Qué es el Sarro Dental y Cómo se Origina?
El sarro dental es la calcificación de nuestra placa bacteriana que se adhiere en nuestros dientes y encías, originando problemas de salud bucodental. Ya sabemos que el sarro se forma a partir de la placa bacteriana y ésta no es mas que una película transparente formada por restos de alimentos y bacterias que anidan en nuestra boca. Cuando no se ha eliminado esa placa bacteriana, se produce el sarro, una sustancia muy dura e imposible de eliminar con un cepillado normal, y que posee una superficie rugosa que favorece el proceso de acumulación de más placa bacteriana sobre los dientes.
Para eliminar la placa bacteriana, basta con realizar una correcta higiene diaria, ya que de lo contrario podrá producirse una inflamación de las encías o gingivitis, y formación de sarro. El sarro puede ser de color amarillento, marrón o verdoso en casos más severos.
Tipos de Sarro Dental
Existen fundamentalmente 2 tipos de sarro dental:
- Sarro supragingival: Este sarro se forma en la superficie de los dientes, fuera de la encía.
- Sarro subgingival: Este sarro se forma debajo de la línea de la encía.
Problemas de Salud Causados por el Sarro Dental
La acumulación de sarro causa una gran variedad de problemas dentales, incluyendo:
- Halitosis o mal aliento: El sarro acumulado en los dientes puede provocar mal aliento debido a las bacterias que producen compuestos sulfurados volátiles.
- Caries dentales: Se producen por la desmineralización del esmalte por parte de los ácidos que producen las bacterias presentes en la boca del paciente. Si la caries es pequeña se puede solucionar con una obturación.
- Enfermedades periodontales: Afectan a los tejidos de soporte del diente. Dentro de las enfermedades periodontales tenemos dos:
- Gingivitis: Afecta principalmente a los tejidos blandos y consiste en la inflamación de la encía. El principal síntoma es el sangrado.
- Periodontitis: Es la fase mas avanzada de la gingivitis. Cursa con inflamación de la encía y con pérdida de hueso de los tejidos que soportan los dientes.

¿Cómo se Puede Eliminar el Sarro Dental?
La placa bacteriana es una sustancia blanca que se forma en la superficie del esmalte dental y que puede ser retirada con el cepillado dental normal. Sin embargo, el sarro no puede ser eliminado con un cepillado normal, y es necesario la realización de una limpieza dental con ultrasonidos para su completa eliminación. Este proceso se denomina Profilaxis dental profesional.
Profilaxis Dental Profesional
La limpieza dental profesional, también llamada profilaxis dental o higiene dental profesional, es un procedimiento sencillo que realizamos en la clínica para eliminar la placa bacteriana y el sarro acumulados en tus dientes y encías. La acumulación de placa y sarro es la principal causa de problemas como las caries y las enfermedades de las encías (gingivitis y periodontitis). Aunque te cepilles los dientes correctamente después de cada comida y uses hilo dental y enjuague bucal, siempre quedan rincones difíciles (entre los dientes, debajo de la línea de la encía) donde la placa bacteriana se acumula y termina formando sarro. Solo una limpieza profesional realizada por un dentista o higienista puede eliminar ese sarro adherido.
Una limpieza dental en el consultorio suele durar entre 30 minutos y una hora, dependiendo de cuánto sarro haya que retirar y de tu situación particular. Se trata de un procedimiento indoloro y rutinario, pero muy minucioso.

Los pasos de la profilaxis dental profesional son:
- Primero se emplea una punta de ultrasonidos para eliminar las piedras o cálculos de sarro depositados sobre los dientes. El ultrasonidos emplea una vibración y agua a presión para ir removiendo este sarro.
- A continuación se emplea la seda dental y las tiras de pulir interproximales para eliminar el sarro que queda entre los dientes.
- Por último se emplea la pasta de profilaxis para dejar la superficie completamente lisa y pulida con el fin de evitar que vuelva a formarse sarro.
Después de remover el sarro, los dientes se pulen para suavizar las superficies. Al terminar una limpieza, te sentirás los dientes increíblemente limpios, ¡aprovecha esa motivación! Intenta mantener una dieta equilibrada (evitando exceso de azúcares que alimentan la placa) y sigue cuidando tu boca.
Curetaje o Raspado Radicular
En ocasiones, el sarro se acumula de manera subgingival (debajo de la encía), generando una bolsa periodontal, y creando problemas de periodontitis. En estos casos el tratamiento indicado es un Curetaje o Raspado radicular.
Este tipo de limpieza es una limpieza más profunda para retirar el sarro que se encuentra debajo de la encía. Se retira mediante un instrumento llamado cureta. El procedimiento se realiza bajo anestesia local para evitar molestias. Es posible que después del tratamiento puedas notar algún dolor leve, que desaparece con la ingesta de antiinflamatorio o analgésicos. Durante el proceso puede aumentar sensibilidad dental, por ello se pueden emplear productos que reduzcan la sensibilidad.
¿Duele la Realización de un Proceso de Profilaxis Dental?
La respuesta es no, es un proceso completamente indoloro. En todo caso puede aparecer una leve sensibilidad dental si eres propenso a la sensibilidad dental, que desaparece al poco tiempo.
Tratamientos Adicionales
Existen diferentes tratamientos profesionales que ayudan a eliminar el sarro dental extremo y prevenir su acumulación.
- Raspado y alisado radicular o instrumentación subgingival: Es un tratamiento que se utiliza para eliminar el sarro dental y la placa bacteriana que se encuentra debajo de las encías.
- Terapia láser: Es una técnica relativamente nueva en la que se utiliza un láser de baja intensidad para eliminar la placa bacteriana y el sarro de los dientes y las encías.
Remedios Caseros para Ayudar a Deshacer el Sarro de los Dientes
Así como deshacer el sarro de los dientes con remedio caseros:
- Bicarbonato de sodio: Mezcla una cucharadita de bicarbonato de sodio con agua y aplícala sobre tus dientes con un cepillo de dientes. Frota suavemente durante un par de minutos y enjuaga bien con agua.
- Zumo de limón: El zumo de medio limón con una taza de agua tibia y enjuaga tu boca con esta solución. El ácido cítrico del limón ayuda a disolver el sarro, pero debes tener cuidado de no exponer tus dientes al ácido durante mucho tiempo, ya que puede dañar el esmalte.
- Aceite de coco: Realiza enjuagues bucales con aceite de coco durante unos 15-20 minutos al día. El aceite de coco contiene ácido láurico que ayuda a reducir la acumulación de placa y sarro en los dientes.
¿Se Puede Prevenir la Presencia de Sarro?
El primer paso es evitar el acúmulo de placa bacteriana, realizando una correcta higiene oral. El sarro dental es esa molesta acumulación de placa bacteriana dura, que puede empañar la sonrisa y provocar serios problemas de salud bucal. Afortunadamente, existen diversos métodos para eliminar el sarro y proteger los dientes y las encías.
La base de la prevención y el control del sarro es tener una buena rutina de higiene bucal. Eliminar el sarro y mantener una boca sana requiere tanto de procedimientos profesionales como de adquirir una buena rutina diaria de higiene bucodental y hábitos saludables.
Si te preguntas como evitar el sarro en los dientes de forma natural, ten en cuenta los siguientes puntos:
- Cepilla tres veces al día: Es importante cepillarse los dientes después de cada comida para prevenir la acumulación de placa y la formación de sarro. Cepillarse los dientes con una pasta de dientes con flúor durante dos minutos ayuda a eliminar la placa y las bacterias.
- Utiliza una pasta con flúor: El flúor ayuda a fortalecer el esmalte dental y prevenir la formación de caries. Las pastas de dientes con flúor también pueden ayudar a prevenir la acumulación de sarro en los dientes.
- Usa hilo dental: El hilo dental ayuda a eliminar la placa y los restos de comida que se acumulan entre los dientes, lo que ayuda a prevenir la acumulación de sarro.
- Emplea enjuague bucal: Los enjuagues bucales con agentes antibacterianos pueden ayudar a reducir la cantidad de bacterias en la boca, lo que puede prevenir la formación de sarro.
- Lleva una dieta equilibrada: Una dieta equilibrada, baja en azúcares y rica en frutas y verduras, puede ayudar a prevenir la formación de sarro. Además, es importante evitar el consumo excesivo de alimentos y bebidas ácidas, ya que pueden debilitar el esmalte dental.
- Evita el tabaco y el alcohol: Fumar y consumir alcohol en exceso pueden debilitar el esmalte dental y favorecer la acumulación de sarro. Es importante evitar estos hábitos para mantener una buena salud bucal y prevenir problemas como la caries y la enfermedad periodontal.
Lo que comemos puede afectar directamente a la salud de dientes y encías. Hortalizas como la zanahoria o el apio, por ejemplo, ayudan de manera especial a combatir la placa bacteriana. El tabaco contribuye a la acumulación de sarro y puede agravar otros problemas de la boca.
Tabla Resumen: Prevención y Tratamiento del Sarro Dental
| Aspecto | Recomendación |
|---|---|
| Higiene Bucal | Cepillado dental (3 veces al día), uso de hilo dental y enjuague bucal. |
| Dieta | Equilibrada, baja en azúcares y rica en frutas y verduras. |
| Hábitos | Evitar el tabaco y el alcohol. |
| Tratamientos Profesionales | Limpieza dental profesional (profilaxis), curetaje dental. |
| Remedios Caseros | Bicarbonato de sodio, zumo de limón (con precaución), aceite de coco. |
Técnica correcta para el cepillado de dientes | Oral B LT
En Dental Roca, nos importa tu bienestar dental. Llámanos cuando quieras. Mantener tu boca libre de sarro es esencial para tu bienestar. ¡Recupera la salud y belleza de tu sonrisa! Contacta con nosotros y agenda tu cita hoy mismo. Estamos aquí para cuidar de ti y de tu sonrisa.