En la búsqueda de una sonrisa deslumbrante, las carillas dentales se han convertido en una solución estética popular y efectiva. Si estás considerando mejorar tu sonrisa en Gavà, es crucial entender las opciones disponibles, los precios y los beneficios que ofrecen las carillas dentales.

¿Qué son las Carillas Dentales?
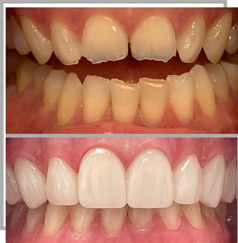
Las carillas dentales son láminas delgadas que se adhieren a la superficie frontal de los dientes para corregir imperfecciones estéticas como:
- Dientes manchados o descoloridos
- Dientes astillados o desgastados
- Dientes con forma irregular
- Pequeños espacios entre los dientes
Existen principalmente dos tipos de carillas dentales:
- Carillas de Composite: Se aplican directamente sobre el diente en capas, permitiendo modificar la forma y el diseño.
- Carillas de Porcelana: Son láminas finas hechas a medida que se cementan sobre la superficie del diente.
Tipos de Carillas Dentales: Composite vs. Porcelana
La elección entre carillas de composite y porcelana depende de tus necesidades y expectativas. A continuación, se detallan las características de cada tipo:
Carillas de Composite
La Carilla Dental de Composite mejora la estética de la sonrisa cambiando la forma y diseño del diente mediante capas Composite que se aplican en la superficie externa del mismo. Es un procedimiento poco invasivo que permite mantener los dientes propios y que, además de conseguir un acabado perfecto, tiene una gran durabilidad.
Carillas de Porcelana
La Carilla Dental de Porcelana de alta estética consiste en una fina lámina de porcelana creada a medida que se cementa con resinas especiales sobre la superficie del diente para cambiar alteraciones de forma, posición y color. Este tratamiento requiere un alto grado de experiencia y conocimientos estéticos del profesional ya que, una vez realizado, no es reversible.
Carillas Dentales Vs Diseño de Sonrisa | Lo que tienes que saber antes de decidir
Precios de Carillas Dentales en Gavà
El costo de las carillas dentales puede variar significativamente dependiendo de varios factores:
- Tipo de material (composite o porcelana)
- Número de carillas necesarias
- Complejidad del caso
- Experiencia del odontólogo
Es recomendable solicitar una valoración y diagnóstico integral en una clínica dental de confianza en Gavà para obtener un presupuesto personalizado. Clínicas como Dental Company ofrecen este servicio de forma gratuita.
Además, algunas clínicas ofrecen facilidades de pago y opciones de financiación para que el tratamiento sea más accesible.
¿Por Qué Elegir Dental Company en Gavà?
En Dental Company, encontrarás un equipo de profesionales cualificados y comprometidos, orientados a la excelencia y al trabajo en equipo. Ofrecen soluciones integrales en salud bucodental que abarcan desde la odontología general hasta tratamientos de especialidades.
Beneficios de elegir Dental Company:
- Trato cercano y personalizado
- Amplia gama de tratamientos
- Servicios gratuitos: valoración y diagnóstico integral, revisión anual, estudio periodontal, estudio de ortodoncia, etc.

Testimonios de Pacientes
Muchos pacientes han transformado su sonrisa y recuperado la confianza gracias a las carillas dentales. No dudes en pedir tu cita online con tu clínica dental más cercana para comenzar tu camino hacia una sonrisa perfecta.
Promociones y Descuentos
¡Luce una sonrisa deslumbrante con nuestras carillas dentales de alta estética! Aprovecha ahora un 15% de descuento en este tratamiento exclusivo que transformará tu imagen. No dejes pasar esta oportunidad de mejorar tu sonrisa con la máxima calidad y al mejor precio.
Además, ¡Pensionistas, este descuento es para vosotros! Obtén un 10% de descuento en tratamientos de Odontología.
Tabla Comparativa de Carillas Dentales
| Característica | Carillas de Composite | Carillas de Porcelana |
|---|---|---|
| Material | Resina compuesta | Porcelana |
| Durabilidad | Menor | Mayor |
| Estética | Buena | Excelente |
| Precio | Más económico | Más costoso |
| Proceso | Aplicación directa en la clínica | Requiere fabricación en laboratorio |