La estomatitis es el término general para describir una boca inflamada, dolorida y con presencia de úlceras bucales. Se entiende por estomatitis la inflamación de la mucosa que aparece en cualquiera de las estructuras de la boca. Puede afectar a la lengua, las encías, el paladar, la cara interna de las mejillas, los labios e, incluso, a la garganta. Genera dolor y molestias, que dificultan los actos de masticar, tragar, hablar e incluso bostezar. Como sabes, la integridad de las mucosas orales facilita las funciones respiratoria y digestiva.
En ciertas ocasiones, la causa de la estomatitis es desconocida, y en otros casos, es la expresión de algún tipo de deficiencia o de alguna infección. La boca es un órgano expuesto a agentes externos, que a veces resultan nocivos.
La estomatitis aftosa es una inflamación de las mucosas orales que evoluciona por recidivas, más frecuente en los niños o las mujeres, y su característica distintiva es la presencia de aftas. La causa de la estomatitis aftosa parece ser una alteración del sistema inmune, desencadenada por traumatismos en la cavidad oral, cambios hormonales durante la menstruación, alergias alimentarias o estrés.
Después de la retirada de las mascarillas, la estomatitis aftosa se ha convertido en un problema común entre los niños. Ha sido causa frecuente de consulta en niños entre los dos y nueve años tras la retirada de las mascarillas, ya que su origen es viral.
¿Qué hacer si mi bebé tiene aftas?
Tipos de Estomatitis
- Estomatitis aftosa: Se caracteriza por la presencia de úlceras blancas o amarillentas con un anillo externo rojo.
- Estomatitis herpética: Se caracteriza por la presencia de llagas llenas de líquido que se producen en o alrededor de los labios. Rara vez se forman en las encías o en el paladar. La infección por el virus del herpes simple es la causa de la estomatitis herpética, más frecuente en niños menores de 6 años.
- Estomatitis angular: También conocida como queilitis angular es una condición que causa manchas rojas e inflamadas en las comisuras de la boca donde los labios se juntan y forman un ángulo. En esa enfermedad, las comisuras bucales se irritan y se inflaman, sin afectar al interior de la cavidad, lo que comúnmente se llama boqueras. Si no se elimina la causa, el problema se hace crónico, mientras que la piel de la zona se engrosa, se ulcera o se cuartea. El hecho de abrir la boca hace que se fisure, lo que es doloroso y limita los movimientos. La presencia constante de saliva en los ángulos de la boca es una causa frecuente en los niños con el hábito de pasar la lengua por los labios.

¿Qué son las Aftas Bucales?
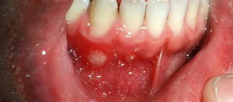
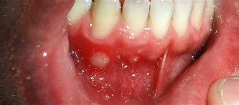
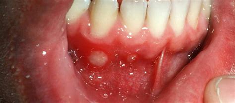
Las aftas en la boca tienen el aspecto de pequeñas heridas redondas u ovoides, de aproximadamente 5 mm de diámetro. Estas lesiones están cubiertas por una pseudomembrana amarillo-grisácea y rodeadas por un fino halo rojo. Aparecen aproximadamente 24 horas después de la primera sensación de hormigueo.
Las aftas bucales, también conocidas como úlceras orales o aftas recurrentes, son lesiones que se producen en la mucosa de la boca. Aunque son comunes y, en la mayoría de los casos, no son graves, pueden ser molestas y dolorosas.
Las aftas bucales son lesiones comunes y, en la mayoría de los casos, no son graves. Sin embargo, pueden ser molestas y dolorosas.
Tipos de Aftas Bucales
- Aftas menores: Son el tipo más común de aftas bucales y suelen medir menos de un centímetro de diámetro. Se encuentran en la mucosa bucal y suelen ser dolorosas pero no representan un riesgo para la salud.
- Aftas mayores: Son menos comunes que las aftas menores y suelen ser más grandes, con un diámetro de más de un centímetro. Se localizan en la parte posterior de la boca y pueden ser muy dolorosas, lo que dificulta hablar, comer y beber.
- Estomatitis aftosa recurrente: Es un tipo de afta bucal que se caracteriza por la aparición de múltiples lesiones en la boca. Pueden ser pequeñas o grandes y se localizan en diferentes partes de la boca, como la lengua, el paladar o las encías.
Causas de la Estomatitis Aftosa
No se conocen con precisión las causas de este tipo de estomatitis, aunque estudios realizados en gemelos sugieren que hay algún tipo de condicionante genético. No existe un único patógeno que la produzca, sino que puede ser causada por varios virus, entre ellos el Coxsackie, responsable del famoso síndrome boca-mano- pie, frecuente en escuelas infantiles.
La estomatitis aftosa una enfermedad multifactorial, o sea, desencadenada por múltiples factores precipitantes, que, unidos con un trastorno de la inmunorregulación de la mucosa bucal, favorecen la aparición de las aftas bucales, que según su intensidad y persistencia se convierten en lesiones recurrentes; no obstante, la patogenia aún no es bien conocida.
Otras posibles causas incluyen:
- El debilitamiento o mal funcionamiento del sistema inmunitario.
- Antecedentes familiares para la estomatitis aftosa.
- Traumatismos: A veces el roce con los dientes o pequeños traumatismos puede hacer que salgan llagas.
- Infecciones: Otra de las causas de aftas bucales en bebés y niños más habituales son las infecciones víricas.
- Causa desconocida. A veces, las aftas en la boca de los niños aparecen de forma frecuente con mayor o menor periodicidad.En la mayoría de estos casos, no se encuentra la causa de las llagas y se clasifican como estomatitis aftosa recurrente.
- Déficits nutricionales: La falta de hierro, zinc y vitaminas del grupo B puede ser otra causa de las aftas infantiles.
- Causas irritantes.
- Hipersensibilidad a los alimentos. Aunque no se ha comprobado científicamente, muchas veces se relaciona el consumo de ciertos alimentos con la aparición de aftas bucales en niños.
- Alteraciones psicológicas.
- Síndrome de fiebre periódica. Este síndrome consiste en episodios recurrentes (aproximadamente una vez al mes) de fiebre, dolor de garganta, llagas en la boca e inflamación de las glándulas del cuello.
- Enfermedades sistémicas.
Síntomas de la Estomatitis Aftosa
Las aftas son generalmente de tamaño pequeño y forma redondeada y una coloración blanquecina o amarillenta. Antes de aparecer las ampollas que luego producen la úlcera al romperse, la estomatitis aftosa se manifiesta con una sensación molesta de ardor o quemazón en la zona donde aparecerán al cabo de uno o días.
Lo más habitual es que los padres consulten porque el niño rechaza la comida, sobre todo si es caliente o ácida. Generalmente, los pequeños sí que se toman bien el agua, la leche fresca o alimentos blandos y fríos, como el yogur. Recordemos que el niño tendrá la boca en carne viva, con múltiples aftas que dolerán al ponerse en contacto con líquidos calientes o alimentos ácidos, como algunas frutas, de ahí que sea preferible ofrecerles las comidas sin calentar, blandas y fáciles de deglutir. Si el pequeño tiene también aftas o úlceras al fondo del paladar también le dolerá al tragar. Este síntoma se conoce en medicina como odinofagia.
Además de estos síntomas, pueden aparecer fiebre, sensación de mal cuerpo o malestar, inflamación y enrojecimiento de encías, vómitos o náuseas y dolor de cabeza. La halitosis o mal aliento también puede estar presente.
En los casos graves, con recidivas frecuentes y lesiones generalizadas en todas las mucosas de la boca, puede haber adenopatías cervicales, halitosis y dificultad para tragar.

Diagnóstico de la Estomatitis Aftosa
El diagnóstico de la estomatitis aftosa se basa básicamente en el análisis de los síntomas y la historia clínica del paciente (anamnesis). Al elaborar la historia clínica, el odontólogo interroga al paciente acerca de algunos antecedentes relevantes. Entre ellos figuran el consumo de medicamentos, las posibles alergias, el contacto con personas infectadas y el régimen de alimentación. También indaga acerca de los síntomas y su duración.
La revisión de la boca suele ser suficiente para localizar e identificar las lesiones. Sin embargo, en los casos de estomatitis herpética, conviene que te realicen algunas pruebas para confirmar la presencia del virus.
Tratamiento de la Estomatitis Aftosa
El tratamiento se enfoca en aliviar los síntomas y tratar la causa subyacente. Por el momento, no existe una cura definitiva para la estomatitis aftosa; sin embargo, los pacientes pueden recurrir a diversos remedios sintomáticos. En la mayoría de los casos, la enfermedad remite por sí misma.
Cuando las ampollas y úlceras aparecen de forma aislada, en la mayoría de los casos no se requiere ningún tipo de tratamiento, ya que suelen desaparecer por sí solas al cabo de un máximo de siete o diez días. No obstante, existen medicamentos de uso tópico que ayudan a calmar las molestias que causan las aftas, al igual que sucede con ciertos tipos de enjuagues bucales. Raramente se necesita el uso de antiinflamatorios. Lo que sí es importante destacar es que cuando se ha identificado algún factor de riesgo concreto, se pueden adoptar medidas para evitar la recurrencia o reducir el número de episodios.
Medidas generales
- Pero si la causa se desconoce, el tratamiento debe ir encaminado a aliviar los síntomas.
- En los niños, el tratamiento es sintomático. El sistema inmunitario del pequeño es el que va a vencer al virus, mejorando los síntomas. Sin embargo, hasta que llegue ese momento, intentaremos que el peque esté lo más cómodo posible.
- Productos para aftas: En el mercado existen diferentes productos, generalmente a base de ácido hialurónico, que ayudan a que las úlceras de la boca cicatricen antes. Existen presentaciones en forma de gel, spray, o especialmente destinadas a niños con sabor agradable. Pueden ser adquiridas en la farmacia sin receta. Sigue las instrucciones del prospecto o consejo de tu farmacéutico.
- Alimentos blandos, fríos y abundante hidratación. Como hemos visto, los niños van a rechazar alimentos calientes y ácidos, así que mejor ofrece las cremas o sopas a temperatura ambiente, dale yogures, gelatinas, leche fría…y en cuanto a frutas opta por un plátano fresquito. Ofrece mucha agua, no te preocupes si tu peque está un par de días a base de yogur, es normal y ya verás como mejorará pronto.
- Analgésicos: Es normal que el pequeño tenga malestar, decaimiento y pocas o ningunas ganas de jugar. Si además tiene febrícula, podemos tratarle con los medicamentos habituales, como paracetamol y/o ibuprofeno. Deja que descanse en un lugar fresco y tranquilo y ve controlando su temperatura.
- Clorhexidina en colutorio o en gel: Disminuye incidencia, gravedad y duración del afta además de tener efecto analgésico y prevenir complicaciones por sobreinfección de la misma. Es el más utilizado.
- Antiinflamatorios: La aplicación de corticoides tópicos (triamcinolona, dexametasona) reduce el componente inflamatorio de las erosiones orales existentes, dando lugar a una mejora rápida y eficaz de la sintomatología.
- Otros: carbenoxolona tópico (no usar si está en tratamiento con corticoides de aplicación en la boca), bencidamida colutorio.
- Anestésicos locales como la lidocaína, benzocaína o tetracaína.
- Ácido hialurónico.
- Antibiótico como la tetraciclina en forma de solución extemporánea al 2.5% para la realización de enjuagues bucales pueden dar buenos resultados en los casos de estomatitis aftosas recurrentes y de úlceras bucales severas.
¿Cuándo debes consultar por la estomatitis?
Si para un niño se dificulta la ingesta, el riesgo de deshidratación es alto. Generalmente, no es necesario acudir al médico por una afta bucal ocasional.
Prevención de la Estomatitis Aftosa
No, las aftas bucales no son contagiosas. A diferencia del herpes labial, que sí puede propagarse, las aftas no se transmiten de persona a persona ni por contacto directo, ya que no están causadas por virus infecciosos.
El tiempo de curación de las aftas bucales depende del tamaño y la localización de la lesión. En la mayoría de los casos, las aftas menores se curan de forma espontánea entre 7 y 14 días sin dejar cicatriz.
Lo que sí es importante destacar es que cuando se ha identificado algún factor de riesgo concreto, se pueden adoptar medidas para evitar la recurrencia o reducir el número de episodios.

tags: #estomatitis #aftosa #en #bebes