Cuando la estomatitis ataca, es difícil pensar en otra cosa. Se vuelve imposible evitar que tu lengua pase sobre las pequeñas lesiones en tus mejillas, lengua o labios, a pesar del dolor que provoca. La salud de tu boca realmente puede afectar tu calidad de vida y cómo te relacionas con las personas a tu alrededor: cuando duele, no quieres reír, sonreír, comer o incluso besar.
Puede causar vergüenza y hacerte sentir incómodo con familiares y amigos. Por lo tanto, es importante conocer las causas, síntomas y tratamientos de esta afección.

¿Qué es la estomatitis?
Se entiende por estomatitis la inflamación de la mucosa que aparece en cualquiera de las estructuras de la boca. Puede afectar a la lengua, las encías, el paladar, la cara interna de las mejillas, los labios e, incluso, a la garganta. Genera dolor y molestias, que dificultan los actos de masticar, tragar, hablar e incluso bostezar.
La estomatitis es el término general para describir una boca inflamada, dolorida y con presencia de úlceras bucales. Sus causas son muy variables.
La estomatitis -o gingivoestomatitis- es el nombre con el que se conoce a la inflamación de la mucosa bucal. Se trata de una afección aguda que habitualmente dura de 7 a 10 días. Cursa con inflamación, enrojecimiento y edema, o aumento de volumen. Además, hay vesículas o ampollas que al romperse originan úlceras bucales bastante dolorosas, únicas o múltiples. Si se manifiesta en toda la cavidad oral, adopta una forma más grave, aunque lo común es que sea leve y circunscrita a una zona.
La boca es un órgano expuesto a agentes externos, que a veces resultan nocivos. En ciertas ocasiones, la causa de la estomatitis es desconocida, y en otros casos, es la expresión de algún tipo de deficiencia o de alguna infección.
La estomatitis ocurre cuando se forman llagas, úlceras o ampollas dentro de la boca, en las mejillas, encías, interior de los labios o en la lengua. Estas llagas son el resultado de la inflamación de la membrana que recubre el interior de la boca, conocida como mucosa oral. Son particularmente dolorosas y pueden dificultar la deglución, obstaculizando actividades cotidianas como hablar y comer.
¿Cómo eliminar las aftas bucales? Dra Mailyn te lo explica🤔🦷
Tipos de estomatitis
Los dos principales tipos de estomatitis son la estomatitis herpética, causada por un virus contagioso, y la estomatitis aftosa, que puede tener diversas causas.
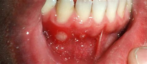
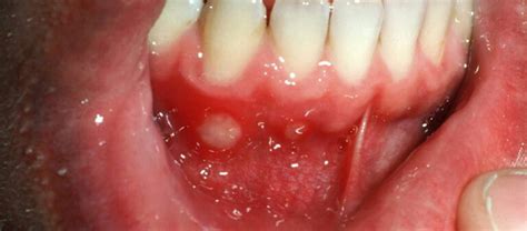
- Estomatitis aftosa: Se caracteriza por la presencia de úlceras blancas o amarillentas con un anillo externo rojo. Es una inflamación de las mucosas orales que evoluciona por recidivas, más frecuente en los niños o las mujeres, y su característica distintiva es la presencia de aftas. Se trata de lesiones ulcerosas redondeadas, con un diámetro menor a 10 milímetros, fondo amarillento y bordes rojizos definidos. La aparición de las lesiones va precedida de escozor o sensación de hormigueo, malestares que duran algunas horas.
- Estomatitis herpética: Se caracteriza por la presencia de llagas llenas de líquido que se producen en o alrededor de los labios. Rara vez se forman en las encías o en el paladar. La infección por el virus del herpes simple es la causa de la estomatitis herpética, más frecuente en niños menores de 6 años.
- Estomatitis angular: También conocida como queilitis angular es una condición que causa manchas rojas e inflamadas en las comisuras de la boca donde los labios se juntan y forman un ángulo. En este tipo de estomatitis aparecen manchas rojas e inflamadas en la zona en la que se unen los labios y forman un ángulo (en la comisura). En esa enfermedad, las comisuras bucales se irritan y se inflaman, sin afectar al interior de la cavidad, lo que comúnmente se llama boqueras. Si no se elimina la causa, el problema se hace crónico, mientras que la piel de la zona se engrosa, se ulcera o se cuartea. El hecho de abrir la boca hace que se fisure, lo que es doloroso y limita los movimientos.
- Estomatitis subprotésica: Lesiones que aparecen en el área de soporte de las prótesis, habitualmente paladar duro o reborde óseo mandibular.
- Estomatitis alérgica: Se produce como reacción al contacto de un alérgeno con la piel o las mucosas de la boca. Por ejemplo, en pastas de dientes, seda dental, enjuagues bucales o empastes dentales.
Causas de la estomatitis
Hay muchos factores que te ponen en riesgo de estomatitis, aunque el mecanismo no se conoce completamente. En ciertas ocasiones, la causa de la estomatitis es desconocida, y en otros casos, es la expresión de algún tipo de deficiencia o de alguna infección.
- Estrés psicológico y físico: Se cree que el estrés psicológico y físico juega un papel.
- Alimentos irritantes: Consumir alimentos particularmente ácidos o picantes o fumar puede contribuir a la estomatitis. Evita alimentos picantes y muy ácidos.
- Boca seca: Otros factores de riesgo incluyen la boca seca y la escasez o ausencia de saliva, esencial para mantener la mucosa oral húmeda e hidratada.
- Candidiasis oral: Por ejemplo, la levadura Candida albicans es un hongo que está presente de forma natural en el cuerpo humano y generalmente no causa daño. Sin embargo, en ciertas circunstancias puede multiplicarse exponencialmente, llevando a la candidiasis oral, que puede causar estomatitis.
- Alteración del sistema inmune: La causa de la estomatitis aftosa parece ser una alteración del sistema inmune, desencadenada por traumatismos en la cavidad oral, cambios hormonales durante la menstruación, alergias alimentarias o estrés.
- Virus del herpes simple: La infección por el virus del herpes simple es la causa de la estomatitis herpética, más frecuente en niños menores de 6 años.
- Nutrición deficiente: Otra de las causas de la estomatitis es la presencia de algún tipo de carencia nutricional. Si sufres bajos niveles de hierro o de vitamina B, el riesgo a padecer estas lesiones es superior.
- Dentadura postiza: El uso de dentadura postiza, conocida como prótesis dental removible, podría ocasionar estomatitis. Si usas prótesis dentales debes de asegurarte de que están en perfecto estado y bien ajustadas, con el fin de limitar la formación de heridas en las mucosas orales. Solicitar una limpieza profesional de las prótesis dentales. En España, el precio de este tratamiento puede variar. Sin embargo, una limpieza profesional realizada en el laboratorio dental suele costar alrededor de 80 euros.
- Ortodoncia: Los aparatos dentales, sobre todo las ortodoncias con brackets, también son un factor de riesgo para la aparición de lesiones aftosas en las mucosas de la boca.
- Tratamientos contra el cáncer: Algunos tratamientos contra el cáncer, como la radioterapia o la quimioterapia, están detrás de la estomatitis. Si debes someterte a sesiones de tratamientos contra el cáncer es conveniente que acudas al odontólogo antes de comenzar.
Síntomas de la estomatitis
Los cambios en el color de la mucosa oral son uno de los signos de la estomatitis. Cuando la mucosa está sana, su color es más o menos rosado. Un enrojecimiento de la mucosa y la presencia de hinchazón pueden indicar inflamación que puede deberse a la estomatitis. Cuando la estomatitis es causada por un hongo como Candida albicans, pueden aparecer manchas blanquecinas en la superficie de la lengua. En algunos casos, la lengua se vuelve completamente blanca, lo cual puede extenderse al interior de las mejillas y al resto de la cavidad oral.

La estomatitis puede provocar diferentes síntomas, todos ellos localizados en la cavidad oral: hinchazón, enrojecimiento, en ocasiones úlceras orales (aftas) y sangrado. Además, dependiendo de la zona de aparición, puede estar asociada a trastornos secundarios como: gingivitis (encías), glositis (lengua) o queilitis (labios).
- Labios enrojecidos
- Lengua blanca
- Ampollas
- Pequeñas úlceras
- Manchas de sangre en el interior de las mejillas
- Dolor
- Labios agrietados
- Dificultad para tragar.
- Sensibilidad
- Problemas para hablar
Con la estomatitis asociada a Candida albicans, el síntoma más característico es una capa blanca que cubre la lengua y las mejillas. El dolor y las sensaciones de ardor en la mucosa oral pueden dificultar la deglución y afectar el sentido del gusto.
Estomatitis Aftosa
La estomatitis aftosa se caracteriza por pequeñas úlceras redondas u ovaladas (conocidas como aftas), que pueden aparecer en las mejillas, lengua, paladar o alrededor de la base de las encías. Estas úlceras pueden aparecer individualmente o en grupos. Son blancas en el centro, enrojeciéndose hacia el borde exterior.
Estomatitis Herpética
La estomatitis herpética es desencadenada por el mismo virus que causa el herpes labial, el virus del herpes simple tipo 1. A diferencia de la estomatitis aftosa, la estomatitis herpética es altamente contagiosa. En esos casos, además de la sintomatología ya mencionada, es posible experimentar otros inconvenientes, como fiebre, mal aliento y malestar general.
Tratamiento de la estomatitis
El tratamiento se enfoca en aliviar los síntomas y tratar la causa subyacente. Para acelerar el proceso de curación y obtener alivio del dolor, existen tratamientos sintomatologicos locales. Pero si la causa se desconoce, el tratamiento debe ir encaminado a aliviar los síntomas.
Antes de iniciar el tratamiento, es importante recordar que es fundamental identificar la causa específica que ha provocado la aparición de la estomatitis. En Clínica Dental Mediterráneo aplicaremos un tratamiento para la estomatitis personalizado, que variará en función de las necesidades de cada paciente. Es posible que sea necesaria la prescripción de medicamentos para combatir el dolor y la fiebre.
Si las heridas te están generando daños serios en la boca, nuestro objetivo será acelerar su cicatrización. Además, te ofreceremos pautas para que puedas prevenir la presencia de este tipo de lesiones en las mucosas de la boca.
En cuanto al tratamiento, si el diagnóstico es de estomatitis aftosa recurrente, no se recomiendan ni los antibióticos ni los antivirales, incluso en los niños, ya que la causa no es directamente atribuible a un patógeno específico.

Algunos cambios en el estilo de vida también pueden ayudar. Es posible que necesites hacer cambios en tu rutina de higiene bucal, como usar un cepillo de dientes de cerdas suaves para reducir el malestar al cepillarte los dientes. ¿Y cuando la inflamación ha sanado? Asegúrate de continuar cuidando tu higiene bucal, que es la mejor manera de mantener tus dientes sanos y prevenir trastornos bucales como periodontitis, gingivitis y mal aliento (¡recuerda no presionar demasiado con tu cepillo de dientes!).
Remedios y cuidados
- Evitar alimentos irritantes: Evita alimentos picantes y muy ácidos.
- Higiene bucal adecuada: Es importante elegir una pasta de dientes adecuada para la boca y los dientes y elegir un cepillo de dientes con cerdas suaves o semiblandas.
- Aloe vera: Principio activo utilizado frecuentemente en los productos cosméticos por sus beneficios sobre piel y mucosas.
¿Cuándo debes consultar por la estomatitis?
Si para un niño se dificulta la ingesta, el riesgo de deshidratación es alto.
Diagnóstico
Al elaborar la historia clínica, el odontólogo interroga al paciente acerca de algunos antecedentes relevantes. Entre ellos figuran el consumo de medicamentos, las posibles alergias, el contacto con personas infectadas y el régimen de alimentación. También indaga acerca de los síntomas y su duración. La revisión de la boca suele ser suficiente para localizar e identificar las lesiones. Sin embargo, en los casos de estomatitis herpética, conviene que te realicen algunas pruebas para confirmar la presencia del virus.
¿Son contagiosas las aftas bucales?
No, las aftas bucales no son contagiosas. A diferencia del herpes labial, que sí puede propagarse, las aftas no se transmiten de persona a persona ni por contacto directo, ya que no están causadas por virus infecciosos.
¿Cuánto tiempo tardan en curarse las aftas bucales?
El tiempo de curación de las aftas bucales depende del tamaño y la localización de la lesión. En la mayoría de los casos, las aftas menores se curan de forma espontánea entre 7 y 14 días sin dejar cicatriz. Generalmente, no es necesario acudir al médico por una afta bucal ocasional.
En la mayoría de los casos, la enfermedad remite por sí misma.
La estomatitis es una afección que generalmente revierte espontáneamente.

tags: #estomatitis #lengua #tratamiento