La estomatitis, también conocida como gingivoestomatitis, es una inflamación de la mucosa que reviste el interior de la boca y las encías.

¿Qué es la estomatitis?
Se entiende por estomatitis la inflamación de la mucosa que aparece en cualquiera de las estructuras de la boca. Puede afectar a la lengua, las encías, el paladar, la cara interna de las mejillas, los labios e, incluso, a la garganta.
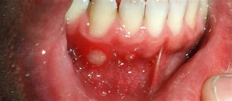
Es una inflamación de las mucosas orales que evoluciona por recidivas, más frecuente en los niños o las mujeres, y su característica distintiva es la presencia de aftas. Se trata de lesiones ulcerosas redondeadas, con un diámetro menor a 10 milímetros, fondo amarillento y bordes rojizos definidos.
Como ya hemos podido ver, la estomatitis afecta inflamando la zona bucal de distintas maneras.
Tipos de Estomatitis
La estomatitis es el término general para describir una boca inflamada, dolorida y con presencia de úlceras bucales. Las causas de la estomatitis son muy variables, y se clasifica en diferentes tipos:
- Estomatitis aftosa: Se caracteriza por la presencia de úlceras blancas o amarillentas con un anillo externo rojo. En general, aparecen en las mejillas, la lengua o en el interior del labio.
- Estomatitis herpética: Es causada por el virus del herpes simple (VHS) y se caracteriza por la presencia de llagas llenas de líquido que se producen en o alrededor de los labios. Raramente, se forman en las encías o en el paladar. Se suelen relacionar con síntomas de hormigueo, sensibilidad o ardor antes de que aparezcan las úlceras.
- Estomatitis angular: También llamada como queilitis angular, es una condición que provoca manchas rojas e inflamadas en las comisuras de la boca, donde los labios se juntan y forman un ángulo.
- Estomatitis subprotésica: Lesiones que aparecen en el área de soporte de las prótesis, habitualmente paladar duro o reborde óseo mandibular.

Causas de la Estomatitis
Puede ser causada por diversas razones, como infecciones virales, bacterianas o fúngicas, reacciones alérgicas, deficiencias nutricionales o incluso factores traumáticos, como morderse el interior de la mejilla.
De la misma manera, las lesiones e inflamación en la cavidad oral provocados por la estomatitis pueden ser causa de varios factores:
- Alimentación inadecuada: Seguir una dieta sana y equilibrada es vital para que este tipo de afecciones bucales no aparezcan. Por ello, te recomendamos la ingesta de alimentos ricos en fibra y con los nutrientes básicos para el bienestar general, evitando el abuso de alimentos azucarados.
- Irritaciones de prótesis dentales y ortodoncia: Las prótesis dentales y los aparatos de ortodoncia pueden ocasionar incómodas rozaduras.
- Reacciones alérgicas.
- Tabaquismo y alcohol: El consumo de tabaco y alcohol no es bueno para nuestra salud.
- Tratamientos de radioterapia y quimioterapia: La estomatitis también puede estar causada por las terapias de radioterapia y quimioterapia, propias de los tratamientos contra el cáncer.
- Infecciones: Si ocurre una infección en una herida o llaga en la boca, esta puede causar la enfermedad.
- Enfermedad sistémica: Si la persona cuenta con una enfermedad que afecte a los diferentes tejidos.
- Algún tipo de irritante: Puede aparecer por algún producto químico que haya dañado la boca al entrar en contacto con ella.
- Estrés o ansiedad: Muchas personas no lo saben, pero los nervios o el estrés también son una de las causas para que pueda aparecer este problema bucal.
La causa de la estomatitis aftosa parece ser una alteración del sistema inmune, desencadenada por traumatismos en la cavidad oral, cambios hormonales durante la menstruación, alergias alimentarias o estrés.
La infección por el virus del herpes simple es la causa de la estomatitis herpética, más frecuente en niños menores de 6 años.
La presencia constante de saliva en los ángulos de la boca es una causa frecuente en los niños con el hábito de pasar la lengua por los labios.

Síntomas de la Estomatitis
Dependiendo del tipo de afección, el paciente puede presentar dolor en la comisura de los labios e incluso dolor de mejillas internas. Asimismo, y dependiendo del grado de afectación, puede aparecer un hormigueo en la lengua y labios, así como úlceras o llagas en la boca.
Para que la identifiques es crucial conocer que puede causar y cuáles son los síntomas de la estomatitis. Hablamos de ellos a continuación:
- Aparición de más de una llaga o herida en cualquier lugar de la boca.
- Que las aftas tengan formas y tamaños muy variables.
- Dolor constante en la zona localizada en la que estén las heridas o rozaduras.
- Hinchazón en las llagas que no suele haber.
- Aparición muy continua de llagas en un corto espacio de tiempo.
La estomatitis puede provocar diferentes síntomas, todos ellos localizados en la cavidad oral: hinchazón, enrojecimiento, en ocasiones úlceras orales (aftas) y sangrado.
Además, dependiendo de la zona de aparición, puede estar asociada a trastornos secundarios como: gingivitis (encías), glositis (lengua) o queilitis (labios).
En este conjunto de enfermedades, la fiebre es poco frecuente, excepto en la variedad herpética. En los casos graves, con recidivas frecuentes y lesiones generalizadas en todas las mucosas de la boca, puede haber adenopatías cervicales, halitosis y dificultad para tragar.
Tratamiento de la Estomatitis
Como hemos dicho, lo primero que hay que hacer es acudir a una clínica dental. Un dentista debe evaluar el estado de la enfermedad para determinar si es más leve o más grave y el tratamiento a seguir puede ser diferente para cada persona.
En Clínica Dental Mediterráneo aplicaremos un tratamiento para la estomatitis personalizado, que variará en función de las necesidades de cada paciente. Es posible que sea necesaria la prescripción de medicamentos para combatir el dolor y la fiebre.
Pero si la causa no es conocida, el tratamiento debe ir encaminado a aliviar los síntomas.
Estos son algunos de los que se suelen llevar a cabo:
- Toma de antibióticos recetados por un médico para evitar infecciones o problemas mayores. También en ocasiones se recetan analgésicos para el dolor que causa.
- Enjuagar la boca repetidas veces en el día para evitar la sequedad y, por lo tanto, la aparición de heridas.
- Evitar hasta que desaparezcan los síntomas como los alimentos demasiado picantes, muy crujientes o excesivamente calientes.
- Ingerir 2 litros de agua al día.
- No tomar alcohol ni fumar durante el proceso de curación.
En cuanto al tratamiento, si el diagnóstico es de estomatitis aftosa recurrente, no se recomiendan ni los antibióticos ni los antivirales, incluso en los niños, ya que la causa no es directamente atribuible a un patógeno específico.
En la mayoría de los casos, la enfermedad remite por sí misma.
Si para un niño se dificulta la ingesta, el riesgo de deshidratación es alto.
Si tienes alguna duda o crees que puedes estar padeciendo estomatitis, te animamos a visitar una consulta dental.
¿Cómo prevenir la estomatitis?
Hay algunos consejos que puedes seguir para intentar evitar que aparezca el problema. Eso sí, hay que tener en cuenta que a veces no hay forma de evitarla y hay que llevar los tratamientos adecuados a cabo:
- Una buena higiene bucodental: Lavarse los dientes 3 o 4 veces al día y la utilización de colutorios e hilo dental puede ser una de las mejores maneras de evitar que aparezca.
- Evitar alimentos y bebidas que irriten: Puede parecer algo obvio, pero es uno de los mejores consejos. Si se suele tener este problema lo mejor es evitar alimentos picantes o ácidos y bebidas con mucho azúcar.
- Alimentación saludable: Contar con una dieta equilibrada hará que el sistema inmunológico esté fuerte y, por lo tanto, que sea menos probable tener infecciones en la boca.
¿HONGOS en la BOCA? Causas, prevención y tratamiento de la CANDIDIASIS oral y BOQUERAS | Dentalk! ©
Además, es importante elegir una pasta de dientes adecuada para la boca y los dientes y elegir un cepillo de dientes con cerdas suaves o semiblandas.
Aftas bucales
Las aftas bucales, también conocidas como úlceras orales o aftas recurrentes, son lesiones que se producen en la mucosa de la boca. Aunque son comunes y, en la mayoría de los casos, no son graves, pueden ser molestas y dolorosas.

Tipos de Aftas bucales
- Aftas menores: Son el tipo más común de aftas bucales y suelen medir menos de un centímetro de diámetro. Se encuentran en la mucosa bucal y suelen ser dolorosas pero no representan un riesgo para la salud.
- Aftas mayores: Son menos comunes que las aftas menores y suelen ser más grandes, con un diámetro de más de un centímetro. Se localizan en la parte posterior de la boca y pueden ser muy dolorosas, lo que dificulta hablar, comer y beber.
- Estomatitis aftosa recurrente: Es un tipo de afta bucal que se caracteriza por la aparición de múltiples lesiones en la boca. Pueden ser pequeñas o grandes y se localizan en diferentes partes de la boca, como la lengua, el paladar o las encías.
¿Cómo tratar las aftas bucales?
El tratamiento para eliminar las aftas bucales depende de la causa y la gravedad de la lesión.
¿Las aftas bucales son contagiosas?
No, las aftas bucales no son contagiosas. A diferencia del herpes labial, que sí puede propagarse, las aftas no se transmiten de persona a persona ni por contacto directo, ya que no están causadas por virus infecciosos.
¿Cuánto tiempo tardan en curarse las aftas bucales?
El tiempo de curación de las aftas bucales depende del tamaño y la localización de la lesión. En la mayoría de los casos, las aftas menores se curan de forma espontánea entre 7 y 14 días sin dejar cicatriz.
¿Cuándo debo consultar a un médico por una afta bucal?
Generalmente, no es necesario acudir al médico por una afta bucal ocasional.
Recomendaciones adicionales
- Solicitar una limpieza profesional de las prótesis dentales.
- Aloe vera: principio activo utilizado frecuentemente en los productos cosméticos por sus beneficios sobre piel y mucosas.
Incluso los niños, por lo general después de los 10 años, pueden verse afectados por la estomatitis, en particular la estomatitis aftosa recurrente y la estomatitis herpética, debida al Herpes Simple, que se manifiestan como molestas ampollas dentro de la boca que pueden causar dolor cuando se rompen.
La diferencia entre la estomatitis aftosa y la herpética es que la primera no es contagiosa, mientras que la segunda es muy contagiosa, y basta con un contacto tan simple como un beso.
La primera se reconoce por el aspecto característico de las úlceras, incluso en la lengua, mientras que la estomatitis herpética (también llamada gingivoestomatitis) da fiebre y dolor en la boca.
Únete a una comunidad dedicada a mejorar tu bienestar bucodental. Porque una boca sana es el inicio de un cuerpo saludable.
tags: #estomatitis #por #estres