Cuando la estomatitis ataca, es difícil pensar en otra cosa. Se vuelve imposible evitar que tu lengua pase sobre las pequeñas lesiones en tus mejillas, lengua o labios, a pesar del dolor que provoca. La salud de tu boca realmente puede afectar tu calidad de vida y cómo te relacionas con las personas a tu alrededor: cuando duele, no quieres reír, sonreír, comer o incluso besar. Puede causar vergüenza y hacerte sentir incómodo con familiares y amigos.
La estomatitis ocurre cuando se forman llagas, úlceras o ampollas dentro de la boca, en las mejillas, encías, interior de los labios o en la lengua. Estas llagas son el resultado de la inflamación de la membrana que recubre el interior de la boca, conocida como mucosa oral. Son particularmente dolorosas y pueden dificultar la deglución, obstaculizando actividades cotidianas como hablar y comer.
Se entiende por estomatitis la inflamación de la mucosa que aparece en cualquiera de las estructuras de la boca. Puede afectar a la lengua, las encías, el paladar, la cara interna de las mejillas, los labios e, incluso, a la garganta. Genera dolor y molestias, que dificultan los actos de masticar, tragar, hablar e incluso bostezar. El tratamiento se enfoca en aliviar los síntomas y tratar la causa subyacente. Como sabes, la integridad de las mucosas orales facilita las funciones respiratoria y digestiva.
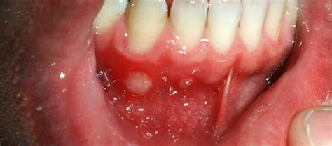
Es una inflamación de las mucosas orales que evoluciona por recidivas, más frecuente en los niños o las mujeres, y su característica distintiva es la presencia de aftas. Se trata de lesiones ulcerosas redondeadas, con un diámetro menor a 10 milímetros, fondo amarillento y bordes rojizos definidos. La aparición de las lesiones va precedida de escozor o sensación de hormigueo, malestares que duran algunas horas.
La estomatitis -o gingivoestomatitis- es el nombre con el que se conoce a la inflamación de la mucosa bucal. Este trastorno oral puede afectar a personas de cualquier edad, no solo a adultos, sino también a niños y a bebés. De hecho, la estomatitis en niños es relativamente habitual cuando el paciente ha tenido previamente el virus del herpes labial. En estos casos, además de la sintomatología ya mencionada, es posible experimentar otros inconvenientes, como fiebre, mal aliento y malestar general.
Tipos de Estomatitis
Los dos principales tipos de estomatitis son la estomatitis herpética, causada por un virus contagioso, y la estomatitis aftosa, que puede tener diversas causas.
Estomatitis aftosa: Es una de las más frecuentes e implica la presencia de numerosas úlceras -o aftas- en la mucosa. Se caracteriza por pequeñas úlceras redondas u ovaladas (conocidas como aftas), que pueden aparecer en las mejillas, lengua, paladar o alrededor de la base de las encías. Estas úlceras pueden aparecer individualmente o en grupos. Son blancas en el centro, enrojeciéndose hacia el borde exterior. La estomatitis aftosa consiste en la aparición de llagas en la boca que se repiten de manera recurrente. Es decir, estas heridas llegan a curarse, pero tienden a reaparecer con el paso del tiempo. Por ello, el tratamiento es sintomático y está encaminado a aliviar los efectos negativos que provoca.
Estomatitis herpética: Es desencadenada por el mismo virus que causa el herpes labial, el virus del herpes simple tipo 1. A diferencia de la estomatitis aftosa, la estomatitis herpética es altamente contagiosa. Se caracteriza por la presencia de llagas llenas de líquido que se producen en o alrededor de los labios. Rara vez se forman en las encías o en el paladar.
Estomatitis angular: También conocida como queilitis angular es una condición que causa manchas rojas e inflamadas en las comisuras de la boca donde los labios se juntan y forman un ángulo. Son heridas que aparecen en la comisura de los labios. En este tipo de estomatitis aparecen manchas rojas e inflamadas en la zona en la que se unen los labios y forman un ángulo (en la comisura).
Estomatitis subprotésica: lesiones que aparecen en el área de soporte de las prótesis, habitualmente paladar duro o reborde óseo mandibular.
Estomatitis alérgica: se produce como reacción al contacto de un alérgeno con la piel o las mucosas de la boca. Por ejemplo, en pastas de dientes, seda dental, enjuagues bucales o empastes dentales.
Con la estomatitis asociada a Candida albicans, el síntoma más característico es una capa blanca que cubre la lengua y las mejillas. El dolor y las sensaciones de ardor en la mucosa oral pueden dificultar la deglución y afectar el sentido del gusto.

Causas de la Estomatitis
Hay muchos factores que te ponen en riesgo de estomatitis, aunque el mecanismo no se conoce completamente. Por ejemplo, la levadura Candida albicans es un hongo que está presente de forma natural en el cuerpo humano y generalmente no causa daño. Sin embargo, en ciertas circunstancias puede multiplicarse exponencialmente, llevando a la candidiasis oral, que puede causar estomatitis.
La causa de la estomatitis aftosa parece ser una alteración del sistema inmune, desencadenada por traumatismos en la cavidad oral, cambios hormonales durante la menstruación, alergias alimentarias o estrés. La infección por el virus del herpes simple es la causa de la estomatitis herpética, más frecuente en niños menores de 6 años.
Estas son algunas de las causas principales por las que suele darse la aparición de estomatitis:
- Infecciones: si ocurre una infección en una herida o llaga en la boca, esta puede causar la enfermedad.
- Enfermedad sistémica: si la persona cuenta con una enfermedad que afecte a los diferentes tejidos.
- Algún tipo de irritante: puede aparecer por algún producto químico que haya dañado la boca al entrar en contacto con ella.
- Estrés o ansiedad: muchas personas no lo saben, pero los nervios o el estrés también son una de las causas para que pueda aparecer este problema bucal.
- Mala nutrición: Una falta de nutrientes puede ser el desencadenante de numerosos problemas de aftas en nuestra boca. La falta de vitaminas y nutrientes tienen un impacto directo en el adecuado funcionamiento de todo el organismo, incluyendo a la boca. De ahí la importancia de llevar una dieta sana y equilibrada, ya que contribuirá en gran medida a conversar nuestra salud bucodental.
- Dentadura postiza: En los casos de prótesis dentales es muy importante ajustar adecuadamente la prótesis a nuestra boca, además de una correcta higiene para evitar estos problemas tan molestos. Solicitar una limpieza profesional de las prótesis dentales. En España, el precio de este tratamiento puede variar. Sin embargo, una limpieza profesional realizada en el laboratorio dental suele costar alrededor de 80 euros.
- Ortodoncias: Al igual que en la dentadura postiza, hasta que las ortodoncias, sobre todo los brackets, llegan a estar amoldados a nuestra boca se puede generar estas molestas llagas. La gingivoestomatitis también es frecuente en personas que llevan prótesis dentales u ortodoncia fija (brackets metálicos).
- Tratamientos médicos: Uno de los efectos secundarios de la quimioterapia son la aparición de aftas en la boca.

LLAGAS en la boca - Cómo curarlas y por qué salen las AFTAS bucales | Dentalk! ©
Síntomas de la Estomatitis
Los cambios en el color de la mucosa oral son uno de los signos de la estomatitis. Cuando la mucosa está sana, su color es más o menos rosado. Un enrojecimiento de la mucosa y la presencia de hinchazón pueden indicar inflamación que puede deberse a la estomatitis. Cuando la estomatitis es causada por un hongo como Candida albicans, pueden aparecer manchas blanquecinas en la superficie de la lengua. En algunos casos, la lengua se vuelve completamente blanca, lo cual puede extenderse al interior de las mejillas y al resto de la cavidad oral.
La estomatitis puede provocar diferentes síntomas, todos ellos localizados en la cavidad oral: hinchazón, enrojecimiento, en ocasiones úlceras orales (aftas) y sangrado. Además, dependiendo de la zona de aparición, puede estar asociada a trastornos secundarios como: gingivitis (encías), glositis (lengua) o queilitis (labios).
Además de las llagas, la estomatitis se puede manifestar a través de otros síntomas:
- Si no sabes ponerle cara a las llagas o aftas bucales, son unas lesiones de color rojizo, o en algunos casos blanquecino, que aparecer alrededor de los dientes, en las encías o en la parte interior de nuestras mejillas. Se conocen por ser muy molestas y causar dolor al masticar, tragar o en algunos casos cuando algo las roza. Aunque es muy molesta, no es contagiosa.
- Dolor o picor, aunque no tengas la llaga es muy probable que si sientes dolor o un picor extraño al comer estemos hablando de la misma dolencia.
- Otra forma de manifestación de la estomatitis, es a través de la inflamación de nuestras encías o alguna parte de nuestra boca.
- Si la infección sigue proliferando y termina siendo más grave, puede ocasionar fiebre.
Para que la identifiques es crucial conocer que puede causar y cuáles son los síntomas de la estomatitis. Hablamos de ellos a continuación:
- Aparición de más de una llaga o herida en cualquier lugar de la boca.
- Que las aftas tengan formas y tamaños muy variables.
- Dolor constante en la zona localizada en la que estén las heridas o rozaduras.
- Hinchazón en las llagas que no suele haber.
- Aparición muy continua de llagas en un corto espacio de tiempo.
- Labios enrojecidos, lengua blanca, ampollas, pequeñas úlceras, manchas de sangre en el interior de las mejillas. Cursando dolor, labios agrietados y dificultad para tragar.
- Sensibilidad.
- Dificultad para tragar.
- Problemas para hablar.
Hay situaciones graves en las que la estomatitis puede causar la inflamación de los ganglios linfáticos del cuello, fiebre o sensación de malestar. Esta es una sintomatología de alarma que debe ser valorada, cuanto antes, por un profesional. Pues, el paciente puede llegar a deshidratarse por tener dificultades para beber o comer.
Tratamiento de la Estomatitis
El tratamiento se enfoca en aliviar los síntomas y tratar la causa subyacente. Para acelerar el proceso de curación y obtener alivio del dolor, existen tratamientos sintomatologicos locales. Algunos cambios en el estilo de vida también pueden ayudar. Evita alimentos picantes y muy ácidos. Es posible que necesites hacer cambios en tu rutina de higiene bucal, como usar un cepillo de dientes de cerdas suaves para reducir el malestar al cepillarte los dientes.
Lo más importante es visitar a tu especialista de confianza para primero averiguar la procedencia de las llagas y te recete un tratamiento adecuado a tu caso. En la Clínica Dental YB-dent, además de estudiar tu caso y recetarte los medicamentos adecuados para tu caso te aconsejamos algunas pautas para reducir la molestia y acelerar la cicatrización:
- Correcta higiene bucal, para reducir al máximo la infección.
- Uso de enjuagues bucales.
- Ingerir muchos líquidos.
- Medicamentos para reducir el dolor y la infección.
- En caso de fiebre, se receta ibuprofeno o medicamentos similares.
Como hemos dicho, lo primero que hay que hacer es acudir a una clínica dental. Un dentista debe evaluar el estado de la enfermedad para determinar si es más leve o más grave y el tratamiento a seguir puede ser diferente para cada persona. Estos son algunos de los que se suelen llevar a cabo:
- Toma de antibióticos recetados por un médico para evitar infecciones o problemas mayores. También en ocasiones se recetan analgésicos para el dolor que causa.
- Enjuagar la boca repetidas veces en el día para evitar la sequedad y, por lo tanto, la aparición de heridas.
- Evitar hasta que desaparezcan los síntomas como los alimentos demasiado picantes, muy crujientes o excesivamente calientes.
- Ingerir 2 litros de agua al día.
- No tomar alcohol ni fumar durante el proceso de curación.
Pero si la causa se desconoce, el tratamiento debe ir encaminado a aliviar los síntomas. Este puede suponer desde el uso de medicamentos que alivien el dolor, utilizar enjuagues bucales específicos, evitar determinados alimentos y bebidas que irriten la mucosa, etc.

¿Cómo prevenir la estomatitis?
¿Y cuando la inflamación ha sanado? Asegúrate de continuar cuidando tu higiene bucal, que es la mejor manera de mantener tus dientes sanos y prevenir trastornos bucales como periodontitis, gingivitis y mal aliento (¡recuerda no presionar demasiado con tu cepillo de dientes!).
Hay algunos consejos que puedes seguir para intentar evitar que aparezca el problema. Eso sí, hay que tener en cuenta que a veces no hay forma de evitarla y hay que llevar los tratamientos adecuados a cabo:
- Una buena higiene bucodental: lavarse los dientes 3 o 4 veces al día y la utilización de colutorios e hilo dental puede ser una de las mejores maneras de evitar que aparezca. Por lo tanto, es importante elegir una pasta de dientes adecuada para la boca y los dientes y elegir un cepillo de dientes con cerdas suaves o semiblandas.
- Evitar alimentos y bebidas que irriten: puede parecer algo obvio, pero es uno de los mejores consejos. Si se suele tener este problema lo mejor es evitar alimentos picantes o ácidos y bebidas con mucho azúcar.
- Alimentación saludable: contar con una dieta equilibrada hará que el sistema inmunológico esté fuerte y, por lo tanto, que sea menos probable tener infecciones en la boca.
Aunque la estomatitis es una afección molesta, pero no grave, conviene tratarla sin demora, ya que los síntomas pueden causar serios problemas en el día a día.
Tabla resumen de tipos de estomatitis, causas y tratamientos:
| Tipo de Estomatitis | Causas | Tratamiento |
|---|---|---|
| Aftosa | Alteraciones del sistema inmune, traumatismos, cambios hormonales, alergias alimentarias, estrés. | Alivio de los síntomas, enjuagues bucales, evitar alimentos irritantes. |
| Herpética | Virus del herpes simple tipo 1. | Antivirales, higiene bucal, alivio del dolor. |
| Angular | Infecciones por hongos o bacterias, deficiencias nutricionales, irritación. | Antimicóticos o antibióticos tópicos, corrección de deficiencias nutricionales. |
| Subprotésica | Mala higiene de la prótesis, ajuste inadecuado, infección por Candida albicans. | Limpieza profesional de la prótesis, ajuste de la prótesis, antimicóticos. |
| Alérgica | Reacción a alérgenos en productos de higiene bucal o materiales dentales. | Identificación y eliminación del alérgeno, enjuagues bucales, corticosteroides tópicos. |
tags: #estomatitis #sintomas #y #tratamiento