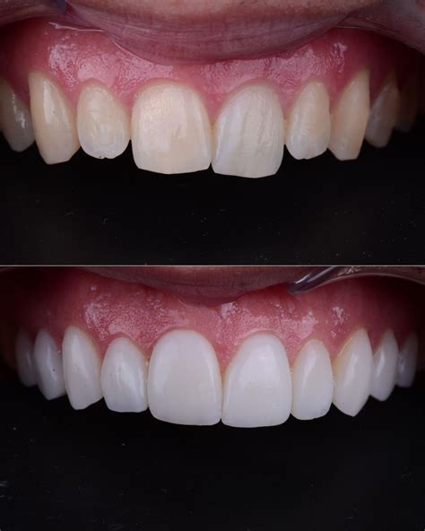
Las carillas sin tallado son uno de los tratamientos de Estética Dental con mayor demanda entre las personas adultas. Las carillas dentales son unas finas láminas que se adhieren a la cara visible de los dientes anteriores para mejorar su aspecto estético. Por eso, solo se colocan en los dientes que vemos al sonreír, porque su objetivo es mejorar la estética y armonía de nuestra sonrisa. A diferencia de otras técnicas utilizadas, las carillas sin tallar el diente o carillas dentales sin desgastar el diente son una técnica mínimamente invasiva para solventar problemas de estética dental.
Con esta técnica podemos solventar problemas estéticos de tu sonrisa sin tener que limar los dientes. Las carillas son finas láminas confeccionadas en cerámica o composite que se adhieren a los dientes naturales. Los avances científicos nos han llevado cada vez más hacia técnicas mínimamente invasivas como las microcarillas dentales sin tallado, tratamiento en el que nos especializamos en Barcelona y en Madrid.
Carillas Dentales│Sin apenas tallar tus dientes y en 2 citas ¡La revolución!
¿Qué son las Carillas Dentales sin Tallado?
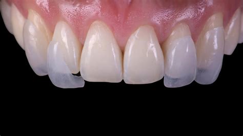
Las carillas sin tallado son aquellas que se colocan en la pieza sin alterar en absoluto su anatomía, es decir, sin reducir el volumen de esmalte natural. Las carillas dentales sin tallado suponen una técnica mínimamente invasiva en las que, a diferencia de la técnica habitual, por norma general se colocan sin necesidad de desgastar el diente manteniendo su forma natural. La carilla se cimenta sobre el esmalte del diente que permanece intacto.

No en todos los casos es posible la colocación o realizar carillas sin desgaste o pulido dental. Lo más importante al escoger las carillas dentales sin tallado es saber qué tipo de estructura dental se debe reconstruir y el valor de la dentina y del esmalte. Por ello, se trata de un tratamiento de estética dental que nada agresivo, reversible y no doloroso. Las carillas sin tallado no comprometen en absoluto al diente natural y no se manipula el propio diente.
Materiales de las Carillas Dentales
A día de hoy las carillas dentales se componen básicamente por dos materiales: Porcelana y composite. Pueden estar hechas de diferentes materiales, pero suelen ser de porcelana o composite. Por lo general, estas últimas suelen confeccionarse en la propia clínica dental con un material fotocurable, igual que el que se usa para hacer los empastes.
Carillas de Porcelana
Las carillas de porcelana o cerámica son las más más resistentes. Además, aportan un resultado muy natural, pues consigue imitar a la perfección el tono de los dientes adyacentes. Las carillas ultrafinas están fabricadas con porcelana feldespática, de gran calidad y resistencia. De hecho, cuidando correctamente las carillas, pueden llegar a durar 20 años. Como son algo translúcidas, dejan pasar la luz y por ello dan un resultado tan natural.
Ventajas de las Carillas de Porcelana
- Estética muy elevada: La ausencia de metal en la preparación protésica junto con el grosor de la cerámica empleada permite una transmisión óptima de la luz, que se va a reflejar en la dentina subyacente de manera similar a la del diente sano.
- Resistencia elevada a las fuerzas: Una vez cementadas son capaces de soportar fuerzas de tracción, tensión y cizalla importantes pues la adhesión que consiguen al esmalte es elevada.
- Biocompatibilidad local y general: La cerámica es junto con el oro, el que menos reacciones biológicas desencadena. Su superficie lisa no retiene placa.
- Resistencia al desgaste: Las fuerzas oclusales y de masticación no las desgastan, aunque puedan llegar a fracturarlas.
- Resistencia a la tinción: La superficie glaseada no permite la incrustación de tinciones, al no presentar microporosidad.
- Resistencia al ataque químico: Las carillas de porcelana son inalterables ante agresiones de ácidos, disolventes y cosméticos.
- Radiopacidad: Su densidad las hace similares al esmalte en cuanto a la penetrabilidad por los rayos X.
Desventajas de las Carillas de Porcelana
- Técnica de laboratorio compleja: El laboratorio dental necesita llevar a cabo técnicas de gran precisión para lograr un ajuste exacto de la carilla.
- Fragilidad relativa: La construcción de finas láminas de porcelana da una fragilidad inherente a las carillas.
- Dificultad para la reparación: La carilla fracturada es de difícil reparación.
- Técnica adhesiva compleja: La técnica de adhesión es muy minuciosa y requiere una preparación importante.
- Tratamiento irreversible: Una vez tallado el diente no lo podemos recuperar, aunque su invasión sea mínima.
- Imposibilidad de cambiar el color: Una vez cementada la carilla.
Carillas de Composite
El composite es un material muy usado en odontología y en caso de carillas, consiguen imitar muy fielmente el tono de los dientes adyacentes. Son muy útiles para corregir dientes rotos o tinciones. La forma más habitual de colocar las carillas de composite es de forma directa, en la que un especialista diseña la carilla directamente sobre el diente sirviéndose de una guía.
¿Cuándo se Recomiendan las Carillas Dentales sin Tallado?
Por lo general, estas últimas suelen confeccionarse en la propia clínica dental con un material fotocurable, igual que el que se usa para hacer los empastes. Su principal objetivo es mejorar el aspecto de los dientes, ya sea para modificar su tamaño, color, forma o posición. Por tanto, tienen una finalidad puramente estética.
Con las carillas dentales sin tallado podemos conseguir modificar la forma, la longitud, ligeramente el color y cerrar espacios entre dientes. Para poder llevar a cabo este tratamiento es importante realizar un diagnóstico previo para ver si es el tratamiento adecuado para el paciente que nos consulta, ya que se trata de una técnica que requiere de una serie de condiciones para que se pueda realizar y lograr el éxito de dicho tratamiento.

Ventajas de las Carillas Dentales sin Tallado
Las ventajas más significativas de las carillas dentales sin tallado son lo poco invasivos que son los procedimientos para su colocación y la inmediatez de sus resultados. No obstante, intervienen factores como la cantidad de dientes por tratar y los objetivos deseados por el paciente. A continuación vamos a ver cuáles son sus principales ventajas.
- Blanquear dientes manchados por sustancias como el tabaco o el café.
- Alinean dientes torcidos o hundidos.
- Alargar dientes cortos.
- Cierran pequeños espacios entre los dientes, lo que se conoce como diastemas.
- Arreglan dientes fracturados.
- Solucionan los problemas de abrasión dental.
- Ayudan a las personas con problemas de bruxismo.
Desventajas de las Carillas Dentales sin Tallado
Sin embargo, las carillas sin tallado no siempre son una opción ideal. Esto se explica porque la carilla aumenta el grosor del diente. Como explicábamos previamente, si adherimos una capa extra al diente, habrá una descompensación con el resto.
Proceso de Colocación de Carillas Dentales
El proceso de tratar mediante carillas requiere que seamos altamente meticulosos y llevar a cabo un estudio individualizado de cada caso, por ello lo primero que haremos será un estudio de tu sonrisa y un encerado de diagnóstico. Con estas herramientas, realizaremos una “maqueta” también llamado Mock Up. Esto consiste en colocar en tu boca mediante materiales provisionales lo que sería el diseño.
En nuestra siguiente cita precederemos con la preparación de los dientes a tratar, tomaremos registros fotográficos y medidas para la confección de las carillas. De cualquier forma, dado que las carillas se confeccionan de forma totalmente personalizada en el laboratorio, antes de colocarlas tenemos una sesión en la que hacemos un mock up. En esta cita, realizamos el diseño de sonrisa del paciente atendiendo a factores relacionados con las facciones de su rostro y simetría.
Duración de las Carillas Dentales
La duración de las carillas dentales está determinada por diversos factores, como los cuidados que siga el paciente en cuanto a higiene oral, alimentación, tabaco, hábitos, revisiones con el dentista, etc. Adicionalmente, la durabilidad del tratamiento también depende del material con el que están fabricadas las carillas y de la técnica de colocación (directa o indirecta).
Por ello, no resulta posible determinar de antemano cuánto tiempo duran las carillas dentales. Lo que sí podemos decirte es que, con unos cuidados y unos mantenimientos adecuados, son un tratamiento pensado para durar a largo plazo.
Precio de las Carillas Dentales sin Tallado
El precio de las carillas dentales varía según de qué material estén confeccionadas. El precio de las carillas dentales sin tallado depende del número de carillas que quieras realizarte, del material con el que están fabricadas y de si se complementa con otros tratamientos. En España el precio varía entre 550 y 950 euros de porcelana de composite será algo más barato y depende en mayor medida de la calidad del técnico de laboratorio que las realiza.
| Material | Precio (aproximado) |
|---|---|
| Porcelana | 550 - 950 € |
| Composite | Más económico |