La estomatitis es una irritación e inflamación que se localiza en la boca y cuyas causas pueden estar relacionadas tanto con infecciones virales o bacterianas, reacciones alérgicas o efectos secundarios ante determinados fármacos. Se entiende por estomatitis la inflamación de la mucosa que aparece en cualquiera de las estructuras de la boca. Puede afectar a la lengua, las encías, el paladar, la cara interna de las mejillas, los labios e, incluso, a la garganta.
Genera dolor y molestias, que dificultan los actos de masticar, tragar, hablar e incluso bostezar. Como sabes, la integridad de las mucosas orales facilita las funciones respiratoria y digestiva.

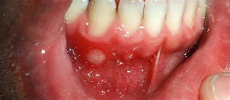
Ejemplo de estomatitis aftosa.
¿Qué es la Estomatitis?
Se trata de una afección aguda que habitualmente dura de 7 a 10 días. Cursa con inflamación, enrojecimiento y edema, o aumento de volumen. Además, hay vesículas o ampollas que al romperse originan úlceras bucales bastante dolorosas, únicas o múltiples.
Si se manifiesta en toda la cavidad oral, adopta una forma más grave, aunque lo común es que sea leve y circunscrita a una zona. La boca es un órgano expuesto a agentes externos, que a veces resultan nocivos. En ciertas ocasiones, la causa de la estomatitis es desconocida, y en otros casos, es la expresión de algún tipo de deficiencia o de alguna infección.
Síntomas de la Estomatitis
La estomatitis puede provocar diferentes síntomas, todos ellos localizados en la cavidad oral:
- Sensibilidad
- Dolor
- Dificultad para tragar
- Problemas para hablar
- Hinchazón
- Enrojecimiento
- En ocasiones úlceras orales (aftas) y sangrado
Hay situaciones graves en las que la estomatitis puede causar la inflamación de los ganglios linfáticos del cuello, fiebre o sensación de malestar. Esta es una sintomatología de alarma que debe ser valorada, cuanto antes, por un profesional. Pues, el paciente puede llegar a deshidratarse por tener dificultades para beber o comer.
Aftas o llagas bucales: por qué salen y cómo se curan
Tipos de Estomatitis
Pero, antes de continuar hablando sobre la estomatitis, es importante saber que existen varios tipos, entre los que se encuentran la estomatitis aftosa, la estomatitis herpética y la estomatitis angular.

Tipos comunes de estomatitis.
Estomatitis Aftosa
Es la forma de aparición más frecuente de la estomatitis. Se caracteriza por la presencia de úlceras muy dolorosas en la boca, tanto en las encías como la lengua, paladar blando o la parte interna de las mejillas. Este tipo de estomatitis se caracteriza principalmente por la presencia de aftas (conocidas también como úlceras aftosas), que son pequeñas lesiones. Estas pueden ser úlceras pálidas o amarillas con un anillo exterior rojo, que aparecen en el interior de la boca y pueden localizarse en el interior de los labios, las mejillas o la lengua. La causa de esta enfermedad no es aún conocida con exactitud.
Es una inflamación de las mucosas orales que evoluciona por recidivas, más frecuente en los niños o las mujeres, y su característica distintiva es la presencia de aftas. Se trata de lesiones ulcerosas redondeadas, con un diámetro menor a 10 milímetros, fondo amarillento y bordes rojizos definidos. La aparición de las lesiones va precedida de escozor o sensación de hormigueo, malestares que duran algunas horas.
La causa de la estomatitis aftosa parece ser una alteración del sistema inmune, desencadenada por traumatismos en la cavidad oral, cambios hormonales durante la menstruación, alergias alimentarias o estrés.
Estomatitis Herpética
Frecuente en personas con herpes oral, se caracteriza por llagas, también dolorosas, presentes en boca y labio. La infección por el virus del herpes simple es la causa de la estomatitis herpética, más frecuente en niños menores de 6 años.
La estomatitis herpética, por otro lado, es otra forma de estomatitis que se caracteriza por la aparición de llagas rellenas de líquido que aparecen alrededor de los labios. La manera en que se forman estos herpes labiales es la siguiente: en principio sentirás hormigueo y picazón en el labio, luego sensibilidad y ardor, para posteriormente notar como el herpes aparece. Pasados unos días, la llaga comienza a cicatrizar y finalmente desaparece.
En esa enfermedad, las comisuras bucales se irritan y se inflaman, sin afectar al interior de la cavidad, lo que comúnmente se llama boqueras.
Queilitis Angular (Estomatitis Angular)
También conocida como estomatitis angular o boqueras suelen afectar a niños, niñas y personas de edad avanzada. Es recurrente que las lesiones que aparecen cuando se sufre de boqueras en la comisura de la boca estén recubiertas de unas pseudomembranas de color amarillo o blanco. Al abrir la boca es posible que se sienta cierto dolor y también la sensación de tirantez.
Si no se elimina la causa, el problema se hace crónico, mientras que la piel de la zona se engrosa, se ulcera o se cuartea. El hecho de abrir la boca hace que se fisure, lo que es doloroso y limita los movimientos.
La presencia constante de saliva en los ángulos de la boca es una causa frecuente en los niños con el hábito de pasar la lengua por los labios.
Estomatitis Subprotésica
Lesiones que aparecen en el área de soporte de las prótesis, habitualmente paladar duro o reborde óseo mandibular.
Estomatitis Medicamentosa
Los síntomas de la estomatitis aparecen después de consumir antibióticos, AINEs, entre otras posibilidades.
Diagnóstico de la Estomatitis
Al elaborar la historia clínica, el odontólogo interroga al paciente acerca de algunos antecedentes relevantes. Entre ellos figuran el consumo de medicamentos, las posibles alergias, el contacto con personas infectadas y el régimen de alimentación. También indaga acerca de los síntomas y su duración.
La revisión de la boca suele ser suficiente para localizar e identificar las lesiones. Sin embargo, en los casos de estomatitis herpética, conviene que te realicen algunas pruebas para confirmar la presencia del virus.
Tratamiento de la Estomatitis
Antes de iniciar el tratamiento, es importante recordar que es fundamental identificar la causa específica que ha provocado la aparición de la estomatitis. Pero si la causa se desconoce, el tratamiento debe ir encaminado a aliviar los síntomas.
En la mayoría de los casos, la enfermedad remite por sí misma. Mejorar la higiene bucal es esencial para impedir que se infecten las lesiones.
Solicitar una limpieza profesional de las prótesis dentales. En España, el precio de este tratamiento puede variar. Sin embargo, una limpieza profesional realizada en el laboratorio dental suele costar alrededor de 80 euros.
Tratamientos Comunes
- Aloe vera: principio activo utilizado frecuentemente en los productos cosméticos por sus beneficios sobre piel y mucosas.
- Higiene bucal: Por lo tanto, es importante elegir una pasta de dientes adecuada para la boca y los dientes y elegir un cepillo de dientes con cerdas suaves o semiblandas.
- Enjuagues bucales: Clorhexidina en colutorio o en gel. Disminuye incidencia, gravedad y duración del afta además de tener efecto analgésico y prevenir complicaciones por sobreinfección de la misma. Es el más utilizado.
- Antiinflamatorios: Antiinflamatorios como son los corticoides tópicos (triamcinolona, dexametasona). La aplicación de estos antiinflamatorios reduce el componente inflamatorio de las erosiones orales existentes, dando lugar a una mejora rápida y eficaz de la sintomatología.
- Otros tratamientos: carbenoxolona tópico (no usar si está en tratamiento con corticoides de aplicación en la boca), bencidamida colutorio, anestésicos locales como la lidocaína, benzocaína o tetracaína y ácido hialurónico.
Antibióticos en el Tratamiento de la Estomatitis
Antibiótico como la tetraciclina en forma de solución extemporánea al 2.5% para la realización de enjuagues bucales pueden dar buenos resultados en los casos de estomatitis aftosas recurrentes y de úlceras bucales severas.
En cuanto al tratamiento, si el diagnóstico es de estomatitis aftosa recurrente, no se recomiendan ni los antibióticos ni los antivirales, incluso en los niños, ya que la causa no es directamente atribuible a un patógeno específico.
¿Cuándo debes consultar por la estomatitis?
- Las aftas están presentes en buena parte de la boca, con dolor intenso.
- La enfermedad persiste y se prolonga más de dos semanas.
- Las molestias te impiden hablar o comer, y estás perdiendo peso.
- Si para un niño se dificulta la ingesta, el riesgo de deshidratación es alto.
Si estás sufriendo estomatitis, o alguien cercano la está padeciendo, es muy importante que acudas al médico o al dentista para que pueda hacerte las pruebas pertinentes, identificar la causa y recomendar un tratamiento, incluso con medicamentos específicos para la afección.

Importancia de la consulta médica para un diagnóstico y tratamiento adecuados.
tags: #estomatitis #tratamiento #antibiotico