En Vivantadental, una compañía independiente de odontología con más de 150 clínicas en todo el territorio español, el objetivo principal es lograr la mayor satisfacción en la experiencia y atención de los pacientes. Esto se logra buscando la excelencia en la práctica odontológica, con calidad garantizada. Vivantadental se distingue por un conjunto de profesionales cualificados que ofrecen un servicio de alta calidad y atención personalizada.

Servicios Ofrecidos en Estudio Dental Aranjuez
Estudio Dental Aranjuez ofrece una amplia gama de tratamientos para cubrir todas las necesidades de salud bucodental:
- Implantología: Tratamientos innovadores para reemplazar dientes perdidos y recuperar tu sonrisa.
- Prótesis dental: Tratamientos para restaurar uno o varios dientes y recuperar la funcionalidad de tu boca.
- Ortodoncia: Corrige la colocación de tus dientes y mandíbula para lucir una increíble sonrisa.
- Ortodoncia infantil: Corrige los dientes y la mandíbula de los más pequeños con tratamientos especializados.
- Estética dental: Luce una sonrisa perfecta con tratamientos de estética dental.
- Endodoncia: Tratamientos para eliminar la parte profunda del diente cuando se encuentra lesionado.
- Caries: Evita problemas en tus dientes realizando visitas de prevención para detectar posibles caries.
- Periodoncia: Tratamientos para prevenir y tratar problemas en las encías.
- Cirugía Maxilofacial: Prevención, diagnóstico y tratamiento para corregir cualquier problema maxilofacial.
Además de estos servicios, Vivantadental también ofrece tratamientos especializados como:
- Prostodoncia (Prótesis Dental): Rama de la odontología encargada del reemplazo de las piezas dentarias.
- Odontopediatría: Rama de la odontología encargada de tratar a los niños desde su nacimiento.
- Bioestética Dental: Estudio de la armonía de todos los elementos que forman el sistema masticatorio considerando su forma y función normal.
Tecnología Avanzada
Estudio Dental Aranjuez está equipado con tecnología de vanguardia para ofrecer diagnósticos precisos y tratamientos eficaces:
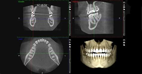
- SCANNER Cone Beam Planmeca Promax: Desde enero de 2014, se ofrece el servicio de T.A.C. para minimizar la radiación y obtener la mejor resolución y mayor cantidad de información posible. Este estudio comprende la cabeza completa y permite observar cortes axiales, sagitales y coronales para:
- Estudio de crestas óseas para implantes.
- Localización de conductos radiculares y diagnóstico periapical.
- Diagnóstico de la vía aérea y oído.
- Plasma Rico en Factores de Crecimiento (PRGF): Es una tecnología biomédica dirigida a estimular la regeneración tisular mediante la concentración y aplicación terapéutica de factores de crecimiento y otras proteínas autólogas presentes en el plasma sanguíneo. Este tratamiento ofrece:
- Mayor bioseguridad y predictibilidad de los implantes dentales.
- Promoción de la regeneración ósea, aumentando la predictibilidad de cirugías complejas.
- Estimulación de la cicatrización de heridas y la regeneración de los tejidos blandos.
- Disminución de la inflamación y el dolor.

Casos de Éxito y Tratamientos Específicos
Algunos de los tratamientos y casos de éxito realizados en Vivantadental incluyen:
- Rehabilitación Completa con Implantes: Rehabilitación de 14 piezas existentes en una arcada utilizando implantes de carga inmediata, que permite colocar implantes y coronas fijas en una única intervención.
- Rehabilitación Superior Completa con Implantes: Rehabilitación de pacientes que habían perdido sus piezas dentales mediante la colocación de implantes dentales para devolverles la sonrisa.
- Mejora Estética con Carillas: Recuperación de la estética de la boca con una forma dentaria proporcionada y armónica para hacer que los dientes se vean más blancos. Las carillas de porcelana requieren una mínima preparación del diente y se pueden conseguir resultados en tan solo 2 citas.
- Rehabilitación con Coronas de Zirconio: Mejora de la estética y función de pacientes con piezas dentales erosionadas, fracturas y color amarillento en los dientes.
- Alargamiento Coronario: Tratamiento para pacientes acomplejados por la gran exposición de encía al sonreír, corrigiendo el exceso de encía que recubre el diente.
La Articulación Témporo-Mandibular (ATM) es una articulación cuya patología ha sido poco valorada durante mucho tiempo. En la actualidad se reconoce cada vez más la importancia que tienen los desordenes de esta articulación en la vida cotidiana de la población. Al prestar mayor atención a estos problemas, se ha puesto en evidencia la alta frecuencia con que se presentan así como ha hecho que se conozca mejor la patología y el tratamiento.
Opiniones de Pacientes
Las opiniones de los pacientes reflejan la calidad y el servicio que ofrece Estudio Dental Aranjuez:
- "Very good treatment, the girls are very nice." - Yovana San Casimiro
- "Una clínica muy buena y sobre todo su personal amable y profesional. A very good clinic, especially its friendly and professional staff. A pleasure."
- "Excelentes profesionales. Superan toda expectativa."
- "Es una clínica estupenda. Me han realizado una ortodoncia para acoplarme un implante, en lugar de dos. Como siempre muy amables y me han solucionado mi problema rápidamente. Super eficientes, profesionales y cercanos."
- "Profesionalidad, cordialidad, explicaciones detalladas, higiene máxima, equipos en perfecto estado, puntualidad. No existe ningún "pero" que exponer en ningún ámbito y eso es muy difícil de encontrar. Transmiten seguridad y confianza. En ningún momento presionan o sugieren tratamientos innecesarios."
- "Me ha sorprendido el grado de profesionalidad y sobre todo la amabilidad por parte del personal de la clínica. Te explican muy bien la técnica y tratamiento a realizar. La clínica es moderna está y dotada de la última tecnología."
- "LLevo mas de veinte años fiel a la clínica dental Puche y sigo siendo incondicional. Empece con Felix (aprovecho para mandarle recuerdos) y en los últimos años con Maria. Ambos son muy profesionales y te asesoran sobre lo mejor para tu salud bucodental."
Equipo Profesional
El equipo de profesionales en Estudio Dental Aranjuez está altamente cualificado y comprometido con la salud bucodental de sus pacientes:
- Cristina Rodríguez López: Doctora - Nº colegiada 28013627. Licenciada en Odontología, por la Universidad Alfonso X el Sabio en 2016. Formación Académica en Ortodoncia Interdisciplinaria, Oclusión Funcional y Bioestética, 2019. Especialista en Implantes, Odontopediatría, Odontología Conservadora y Ortodoncia.
- María del Rocío González Tena: Doctora - Nº colegiada 28014104. Licenciada en Odontología, por la Universidad Rey Juan Carlos, 2017.
- Sara Praena Hernandez: Recepción y administración. Recepción y Atención al Paciente.
- Jessica Leñero Rodriguez: Auxiliar de clínica. Especialista en Cirugía y Ortodoncia.
- Aida Teba Paris: Auxiliar de clínica. Especialista en Cirugía y Ortodoncia.

Testimonio Noelia | Implantes dentales a los 26 años 🦷
| Servicio/Tecnología | Descripción | Beneficios |
|---|---|---|
| Implantología | Reemplazo de dientes perdidos | Recuperación de la sonrisa y funcionalidad |
| Ortodoncia | Corrección de la posición de dientes y mandíbula | Mejora estética y funcional |
| Estética Dental | Tratamientos para una sonrisa perfecta | Mejora de la apariencia |
| Scanner Cone Beam | TAC para diagnóstico preciso | Mínima radiación, alta resolución |
| PRGF | Estimulación de regeneración tisular | Mayor bioseguridad, cicatrización rápida |
En Vivantadental son conscientes del impacto que tiene su actividad en los pacientes, empleados y en la sociedad. Se suman a la acción de la Agenda 2030 para el Desarrollo Sostenible y ponen en marcha actividades de Responsabilidad Social para contribuir a mejorar el entorno y las vidas de las personas.