La detección de una alteración en la mucosa oral inicia un proceso diagnóstico que sigue varias etapas clave. Este proceso culmina con una hipótesis diagnóstica que sirve como base para el tratamiento. Diagnosticar implica identificar, comparar con otros cuadros clínicos y descartar alteraciones que no coincidan con la sintomatología del paciente.
1. Anamnesis: Recopilación de Información del Paciente
Una vez detectada la alteración, se procede a obtener la anamnesis del paciente. En casos sencillos, el interrogatorio se limita a la sintomatología actual. Sin embargo, la anamnesis normal incluye preguntas relativas a aspectos médicos generales clave. La extensión de la anamnesis depende del tipo de alteración. En general, la anamnesis se inicia preguntando al paciente por los síntomas principales que le han llevado a la consulta del médico. Los síntomas cardinales son:
- Dolor: Presente habitualmente en procesos inflamatorios y, con menor frecuencia, en tumores.
- Glosodinia y sensación de quemazón en mucosas: Asociadas a alteraciones erosivas, neurosis, lengua geográfica, anemia, entre otras.
- Hemorragia: Puede indicar enfermedades periodontales, traumatismos o tumores vascularizados.
- Movilidad dentaria: Relacionada con enfermedades periodontales, traumatismos o tumores cancerosos.
- Tumefacción: Puede deberse a inflamación, quistes o tumores.
- Xerostomía: Causada por factores psicológicos, inflamación de glándulas salivales o fármacos.
- Mal sabor de boca: Asociado a enfermedades periodontales, mala higiene bucodental o tumores cancerosos.
Conocer los datos relativos al inicio de la alteración y a la velocidad de progresión proporciona información importante sobre el tipo de enfermedad. Los tumores con un crecimiento rápido casi siempre son malignos. Los abscesos (dolorosos) o los quistes infectados (dolorosos) son patologías que se acompañan de un aumento de volumen muy rápido (en cuestión de horas). Las tumefacciones que aumentan durante las comidas sugieren la existencia de un proceso de retención en las glándulas salivales.
Asimismo, la anamnesis de los hábitos personales del paciente puede aportar información muy útil: en este apartado se pregunta acerca de los hábitos tóxicos del paciente, como fumar y beber alcohol, el consumo de estimulantes, estados de estrés y el seguimiento de dietas especiales. En relación con la anamnesis del hábito tabáquico, se ha de conocer el concepto 'paquetes-año' que permite estimar la cantidad de cigarrillos fumados. Este dato aproximado sirve a su vez para evaluar el riesgo. Una persona que fuma dos cajetillas de tabaco durante 3 años tiene un consumo de 6 (2 × 3) paquetes-año.
El apartado correspondiente a los antecedentes patológicos incluye enfermedades generales importantes que afectan a los sistemas y aparatos siguientes: sistema cardiovascular, aparato respiratorio, aparato circulatorio, enfermedades endocrinas (como diabetes), hígado, enfermedades gastrointestinales (enfermedad de Crohn), enfermedades dermatológicas, alergias y otras. En este contexto también es importante obtener información sobre los tratamientos pasados y actuales.
Se pueden diferenciar también las lesiones crónicas recidivantes de las lesiones mucosas que aparecen en episodios aislados. La pregunta relativa a otras localizaciones de la alteración a menudo es útil para hacer el diagnóstico diferencial con lesiones parecidas.
2. Exploración Física: Inspección y Palpación
Historia Clínica. Parte 3 Exploración Intraoral y Pruebas Complementarias
A continuación se procede a la exploración física del paciente que consta de la inspección y, si procede, de la palpación de la lesión. Estos procedimientos no se limitan a las zonas señaladas por el paciente, sino que abarcan toda la cavidad oral, la región perioral y, si procede, otras regiones corporales que puedan proporcionar información importante. En algunos casos hará falta completar la exploración física con un examen radiológico.
La inspección y la palpación son las maniobras más útiles de la exploración física en el ámbito de la odontología.
Inspección
La inspección, tanto a simple vista como con ayuda de lentes de aumento (estomatoscopia), sigue siendo el método de exploración física por excelencia. Por cuestiones metodológicas y ergonómicas es útil acostumbrarse a una determinada secuencia de exploración y aplicarla consecuentemente en todas las exploraciones odontológicas. Esta rutina ahorra tiempo y agudiza la percepción.
Por principio, la inspección debe realizarse de fuera hacia dentro. Se inicia la exploración con la inspección de la cara y de la región perioral. A continuación, se inspeccionan los labios y la zona del margen labial con la boca cerrada y la boca abierta para detectar posibles alteraciones del color y de la superficie.

Inspección de la cavidad oral.
Para la inspección intraoral propiamente dicha hacen falta dos espejos bucales. Se ha demostrado la eficacia del procedimiento siguiente: en primer lugar se explora la mucosa yugal del lado derecho y a continuación el borde del vestíbulo y la mucosa alveolar vestibular del maxilar, empezando por la región del 18. A continuación, se procede con la inspección de la mucosa yugal del lado izquierdo, empezando por la comisura labial hasta las amígdalas. La exploración sigue con la inspección del borde del vestíbulo inferior hasta la zona del tercer molar inferior derecho y de la mucosa yugal del lado derecho.
La mucosa del paladar blando y del paladar duro se inspecciona mediante visión directa con la cabeza del paciente inclinada hacia atrás. A continuación, se inspecciona el dorso de la lengua. Se puede sujetar y fijar la lengua con una gasa. Se exploran los bordes y la base de la lengua después de pedir al paciente que toque con la punta de la lengua el canino superior izquierdo o derecho. Esta maniobra permite explorar simultáneamente el suelo de la boca. La fijación de la lengua con una gasa facilita la inspección.
La inspección de una alteración patológica proporciona sobre todo información relativa a la localización, la forma, el color, el estado de la superficie y la disposición de la lesión. Todos estos datos contribuyen al diagnóstico del tipo de alteración.
Localización
Determinar la localización de la alteración es útil desde el punto de vista diagnóstico, ya que algunas patologías de la mucosa se localizan preferentemente en determinadas áreas. Por ejemplo, los mucoceles son más frecuentes en el labio inferior que en el paladar. Y al contrario, el paladar es una localización más habitual de tumores de glándulas salivales que el labio inferior.
Forma
Conocer la morfología normal de las estructuras periorales e intraorales es una condición indispensable para poder evaluar la forma de las alteraciones patológicas. Con una cierta experiencia clínica es posible hacer el diagnóstico diferencial entre las variantes anatómicas normales y las alteraciones patológicas.

Erosiones con una forma redondeada sugieren una causa endógena.
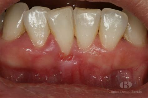
Color
El tono rosado de la mucosa normal se debe a que el epitelio deja traslucir el tejido muy vascularizado subyacente. En general, se acepta que cuanto más grueso es el epitelio y menor es la perfusión subepitelial más pálida es la mucosa. Incluso la mucosa normal muestra tonalidades diversas. La encía insertada es más clara que la encía libre y el paladar duro más queratinizado también es de un color más claro que el paladar blando.
Superficie
La mucosa oral normal es lisa, desplazable y muestra un reflejo especular si está bien hidratada, salvo en la encía insertada (punteado gingival) y en el paladar duro, sobre todo en la parte anterior.

La mucosa oral puede mostrar una superficie granulada (punteado) en la zona de la encía insertada.
Disposición
Durante la inspección también hay que evaluar si la lesión es aislada, unilateral, bilateral o múltiple. Las alteraciones simétricas son benignas en la mayoría de los casos o son estructuras anatómicas normales. Las lesiones aisladas pueden ser benignas o representar el estadio precoz de un proceso canceroso.
Halitosis
La halitosis...
3. Diagnóstico y Plan de Tratamiento
Los datos obtenidos permitirán encuadrar las lesiones en alguno de los grupos principales de alteraciones de la mucosa que se caracterizan por un síntoma guía común. A partir de aquí se puede elaborar una lista de todos los procesos patológicos que pueden dar lugar a un cuadro clínico igual o parecido. Para el diagnóstico diferencial se deben tener en cuenta factores generales como la edad y el sexo del paciente, la incidencia de la enfermedad sospechada, la localización de la lesión y otros.
Tras la evaluación y los estudios diagnósticos, el dentista reúne toda la información para hacer una valoración integral de la salud bucal del paciente. Con base en el diagnóstico, el dentista puede diseñar un plan de tratamiento personalizado que incluya todos los procedimientos necesarios para resolver los problemas detectados y mejorar la salud oral del paciente.
En la mayoría de los casos, estas etapas de trabajo culminarán en una hipótesis diagnóstica que servirá de base para instaurar el tratamiento después de revisar nuevamente los pasos dados. Si se plantean dudas, una situación muy frecuente en las patologías de la mucosa oral, hará falta llevar a cabo pruebas complementarias (pruebas de laboratorio, biopsia por escisión).
En sentido estricto, el diagnóstico definitivo puede establecerse en realidad sólo a partir de exámenes histopatológicos. Sin embargo, no se puede considerar una actitud razonable solicitar sistemáticamente un examen histológico antes de tomar cualquier medida terapéutica. Además, en la práctica diaria no es excepcional establecer el diagnóstico definitivo después de un ensayo terapéutico inicial. Es obvio que esto debe no sólo ser la excepción, sino también limitarse a enfermedades cuyo tratamiento no exija una intervención mayor. En el caso de la biopsia por escisión, en la que se extirpa toda la lesión y se somete posteriormente a un examen histopatológico, el diagnóstico definitivo también se establece una vez concluido el tratamiento.
Además de los tratamientos necesarios, una primera consulta dental también es una gran oportunidad para que el paciente aprenda acerca de cuidados preventivos que le ayudarán a evitar problemas futuros. La primera consulta en el dentista es un paso fundamental para mantener una buena salud oral, prevenir problemas o detectarlos a tiempo.
| Etapa del Examen Intraoral | Descripción | Objetivo |
|---|---|---|
| Anamnesis | Recopilación de información sobre síntomas, historial médico y hábitos del paciente. | Identificar factores de riesgo y posibles causas de las alteraciones. |
| Inspección | Examen visual de la cavidad oral y estructuras adyacentes. | Detectar alteraciones en color, forma, superficie y disposición de las lesiones. |
| Palpación | Evaluación táctil de las lesiones para determinar su consistencia y extensión. | Obtener información adicional sobre la naturaleza de las alteraciones. |
| Diagnóstico | Análisis de la información recopilada para determinar la causa de las alteraciones. | Establecer un plan de tratamiento adecuado. |
tags: #examen #intraoral #en #odontologia