Nuestra salud bucal es mucho más que unos dientes que relucen o una sonrisa perfecta. Para mantener una salud bucal óptima, es crucial entender y seguir los pasos de un examen periodontal básico. Este examen nos permite conocer el estado de las encías y del soporte óseo de los dientes.
Examen Periodontal Básico
Introducción al Examen Periodontal
La detección de una alteración en la mucosa oral debe poner en marcha un proceso diagnóstico que suele pasar por las mismas etapas. Al final de este proceso se obtiene una hipótesis diagnóstica que, a menudo, constituye la base para iniciar el tratamiento. Diagnosticar significa identificar y comparar con otros cuadros clínicos, y descartar aquellas alteraciones que no encajan con la sintomatología del paciente.
Una vez detectada la alteración, en el siguiente paso se obtiene la anamnesis del paciente. En casos sencillos, el interrogatorio se limitará a la sintomatología actual. Sin embargo, la anamnesis normal incluye preguntas relativas a aspectos médicos generales clave.
A continuación se procede a la exploración física del paciente que consta de la inspección y, si procede, de la palpación de la lesión. Estos procedimientos no se limitan a las zonas señaladas por el paciente, sino que abarcan toda la cavidad oral, la región perioral y, si procede, otras regiones corporales que puedan proporcionar información importante. En algunos casos hará falta completar la exploración física con un examen radiológico.
Los datos obtenidos permitirán encuadrar las lesiones en alguno de los grupos principales de alteraciones de la mucosa que se caracterizan por un síntoma guía común. A partir de aquí se puede elaborar una lista de todos los procesos patológicos que pueden dar lugar a un cuadro clínico igual o parecido.
Para el diagnóstico diferencial se deben tener en cuenta factores generales como la edad y el sexo del paciente, la incidencia de la enfermedad sospechada, la localización de la lesión y otros. En la mayoría de los casos, estas etapas de trabajo culminarán en una hipótesis diagnóstica que servirá de base para instaurar el tratamiento después de revisar nuevamente los pasos dados.
Si se plantean dudas, una situación muy frecuente en las patologías de la mucosa oral, hará falta llevar a cabo pruebas complementarias (pruebas de laboratorio, biopsia por escisión).
En sentido estricto, el diagnóstico definitivo puede establecerse en realidad sólo a partir de exámenes histopatológicos. Sin embargo, no se puede considerar una actitud razonable solicitar sistemáticamente un examen histológico antes de tomar cualquier medida terapéutica. Además, en la práctica diaria no es excepcional establecer el diagnóstico definitivo después de un ensayo terapéutico inicial. Es obvio que esto debe no sólo ser la excepción, sino también limitarse a enfermedades cuyo tratamiento no exija una intervención mayor.
En el caso de la biopsia por escisión, en la que se extirpa toda la lesión y se somete posteriormente a un examen histopatológico, el diagnóstico definitivo también se establece una vez concluido el tratamiento.
Anamnesis: Recopilación de Información del Paciente
La extensión de la anamnesis depende del tipo de alteración. En general, la anamnesis se inicia preguntando al paciente por los síntomas principales que le han llevado a la consulta del médico. Los síntomas cardinales son:
- Dolor: presente habitualmente en procesos inflamatorios, y con menor frecuencia en tumores, procesos de retención, estadio precoz del herpes zóster.
- Glosodinia y sensación de quemazón en mucosas: alteraciones erosivas, neurosis, lengua geográfica, anemia, dimensión vertical incorrecta en portadores de prótesis, diabetes.
- Hemorragia: enfermedades periodontales, traumatismos, hiperplasia papilar, tumores vascularizados, coagulopatía.
- Movilidad dentaria: enfermedades periodontales, procesos radiculares inflamatorios, traumatismos, reabsorción radicular, tumores cancerosos, procesos osteolíticos.
- Tumefacción: inflamación, quistes, procesos de retención, tumores, hiperplasia inflamatoria.
- Xerostomía: causas psicológicas, inflamación de las glándulas salivales, síndrome de Sjögren, fármacos (antidepresivos, atropina), deshidratación.
- Mal sabor de boca: enfermedades periodontales, mala higiene bucodental o de la prótesis, enfermedades periodontales necrosantes, tumores cancerosos.
Conocer los datos relativos al inicio de la alteración y a la velocidad de progresión proporciona información importante sobre el tipo de enfermedad. Los tumores con un crecimiento rápido casi siempre son malignos. Los abscesos (dolorosos) o los quistes infectados (dolorosos) son patologías que se acompañan de un aumento de volumen muy rápido (en cuestión de horas). Las tumefacciones que aumentan durante las comidas sugieren la existencia de un proceso de retención en las glándulas salivales.
Asimismo, la anamnesis de los hábitos personales del paciente puede aportar información muy útil: en este apartado se pregunta acerca de los hábitos tóxicos del paciente, como fumar y beber alcohol, el consumo de estimulantes, estados de estrés y el seguimiento de dietas especiales. En relación con la anamnesis del hábito tabáquico, se ha de conocer el concepto 'paquetes-año' que permite estimar la cantidad de cigarrillos fumados. Este dato aproximado sirve a su vez para evaluar el riesgo. Una persona que fuma dos cajetillas de tabaco durante 3 años tiene un consumo de 6 (2 × 3) paquetes-año.
La presencia de enfermedades de transmisión sexual requiere profundizar en la anamnesis de las prácticas sexuales del paciente. En este caso es importante que el odontólogo explique al paciente el motivo por el que necesita obtener esta información.
El apartado correspondiente a los antecedentes patológicos incluye enfermedades generales importantes que afectan a los sistemas y aparatos siguientes: sistema cardiovascular, aparato respiratorio, aparato circulatorio, enfermedades endocrinas (como diabetes), hígado, enfermedades gastrointestinales (enfermedad de Crohn), enfermedades dermatológicas, alergias y otras. En este contexto también es importante obtener información sobre los tratamientos pasados y actuales.
Los antecedentes familiares aportan datos importantes sobre posibles enfermedades mucosas hereditarias (genodermatosis). Las enfermedades profesionales (como el ribete saturnino) se pueden identificar más fácilmente si se pregunta al paciente acerca de sus actividades laborales pasadas y actuales.
Se pueden diferenciar también las lesiones crónicas recidivantes de las lesiones mucosas que aparecen en episodios aislados. La pregunta relativa a otras localizaciones de la alteración a menudo es útil para hacer el diagnóstico diferencial con lesiones parecidas.
Exploración Física: Inspección y Palpación
La inspección y la palpación son las maniobras más útiles de la exploración física en el ámbito de la odontología.
Inspección
La inspección, tanto a simple vista como con ayuda de lentes de aumento (estomatoscopia), sigue siendo el método de exploración física por excelencia. Por cuestiones metodológicas y ergonómicas es útil acostumbrarse a una determinada secuencia de exploración y aplicarla consecuentemente en todas las exploraciones odontológicas. Esta rutina ahorra tiempo y agudiza la percepción. Sólo es capaz de detectar alteraciones mínimas de la mucosa la persona que conoce el aspecto normal de la mucosa. Y sólo la persona que conoce la multitud de variantes anatómicas normales existentes en la cavidad oral es capaz de distinguirlas de las alteraciones patológicas.
Por principio, la inspección debe realizarse de fuera hacia dentro. Se inicia la exploración con la inspección de la cara y de la región perioral (fig. 1). A continuación, se inspeccionan los labios y la zona del margen labial con la boca cerrada y la boca abierta para detectar posibles alteraciones del color y de la superficie (fig. 2).

Figura 1. La exploración clínica se inicia con la inspección de la cara.

Figura 2. Antes de realizar la inspección intraoral se examina la piel de la región perioral y de los labios.
Para la inspección intraoral propiamente dicha hacen falta dos espejos bucales. Se ha demostrado la eficacia del procedimiento siguiente: en primer lugar se explora la mucosa yugal del lado derecho y a continuación el borde del vestíbulo y la mucosa alveolar vestibular del maxilar, empezando por la región del 18. A continuación, se procede con la inspección de la mucosa yugal del lado izquierdo, empezando por la comisura labial hasta las amígdalas (figs. 3 a 6). La exploración sigue con la inspección del borde del vestíbulo inferior hasta la zona del tercer molar inferior derecho y de la mucosa yugal del lado derecho.

Figura 3. Se utilizan dos espejos bucales para la inspección de la mucosa yugal.

Figura 4. Exploración del borde del vestíbulo en el maxilar derecho.

Figura 5. Exploración del borde del vestíbulo en el maxilar izquierdo.

Figura 6. Aspecto de la mucosa yugal en el lado izquierdo.
La mucosa del paladar blando y del paladar duro se inspecciona mediante visión directa con la cabeza del paciente inclinada hacia atrás (fig. 7). A continuación, se inspecciona el dorso de la lengua (fig. 8). Se puede sujetar y fijar la lengua con una gasa. Se exploran los bordes y la base de la lengua después de pedir al paciente que toque con la punta de la lengua el canino superior izquierdo o derecho (figs. 9 y 10). Esta maniobra permite explorar simultáneamente el suelo de la boca (fig. 11). La fijación de la lengua con una gasa facilita la inspección.

Figura 7. Después de explorar el borde del vestíbulo en la mandíbula se inspecciona el paladar del paciente.

Figura 8. Aspecto del dorso de la lengua.

Figura 9. Los bordes laterales de la lengua se examinan con la lengua sacada y sujetándola con una gasa.

Figura 10. Exploración del borde izquierdo de la lengua.

Figura 11. Por último, se inspecciona el suelo de la boca.
La inspección de una alteración patológica proporciona sobre todo información relativa a la localización, la forma, el color, el estado de la superficie y la disposición de la lesión. Todos estos datos contribuyen al diagnóstico del tipo de alteración.
Localización
Determinar la localización de la alteración es útil desde el punto de vista diagnóstico, ya que algunas patologías de la mucosa se localizan preferentemente en determinadas áreas. Por ejemplo, los mucoceles son más frecuentes en el labio inferior que en el paladar. Y al contrario, el paladar es una localización más habitual de tumores de glándulas salivales que el labio inferior.
Una erupción vesicular en la parte posterior de la cavidad oral puede sugerir un cuadro de herpangina, mientras que una erupción vesicular en regiones anteriores de la cavidad oral plantea un diagnóstico de sospecha de una (gingivo)estomatitis herpética. Las erosiones en la mucosa queratinizada suelen ser de origen herpético, mientras que las que se producen en la mucosa de revestimiento son más propias de las aftas.
Forma
Conocer la morfología normal de las estructuras periorales e intraorales es una condición indispensable para poder evaluar la forma de las alteraciones patológicas. Con una cierta experiencia clínica es posible hacer el diagnóstico diferencial entre las variantes anatómicas normales y las alteraciones patológicas.
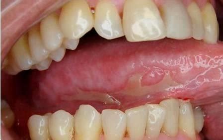
Las erosiones redondeadas suelen tener una etiología endógena (como las aftas) (fig. 12), las lesiones dentelladas son frecuentemente de origen exógeno (como traumatismos), mientras que las formas policíclicas apuntan más bien a una etiología vírica. En general, los tumores pediculados son benignos, mientras que un tumor sésil de base amplia suele ser maligno.

Figura 12. Las erosiones con una forma redondeada sugieren una causa endógena como en el caso de esta afta.
Color
El tono rosado de la mucosa normal se debe a que el epitelio deja traslucir el tejido muy vascularizado subyacente. En general, se acepta que cuanto más grueso es el epitelio y menor es la perfusión subepitelial más pálida es la mucosa. Incluso la mucosa normal muestra tonalidades diversas. La encía insertada es más clara que la encía libre (fig. 13) y el paladar duro más queratinizado también es de un color más claro que el paladar blando.

Figura 13. La encía insertada, más queratinizada, es de una tonalidad más clara que la encía libre.
Las alteraciones blanquecinas se deben, por un lado, a un epitelio engrosado y, por otro lado, a una mayor entrada de agua en las células epiteliales con la modificación consiguiente del comportamiento refractivo de la luz. La mucosa normal muestra un tono amarillento en zonas ricas en tejido adiposo subepitelial (como en el paladar blando o el suelo de la boca), pero también en caso de una acumulación de pus. Las glándulas sebáceas ectópicas también confieren un aspecto amarillento, lo mismo que diversas acumulaciones patológicas que provocan una coloración amarillenta de las estructuras en las que se encuentran (como la ictericia o enfermedades de depósito). La presencia de sangre, melanina, metales o pigmentos exógenos provoca tinciones parduscas, azules o negras. Sin embargo, las tinciones se pueden deber también a determinados medicamentos.
La profundidad del depósito también es un dato importante. La melanina localizada en la superficie adquiere una tonalidad negro-pardusca, mientras que en planos más profundos ofrece un aspecto azulado.
Superficie
La mucosa oral normal es lisa, desplazable y muestra un reflejo especular si está bien hidratada, salvo en la encía insertada (punteado gingival) y en el paladar duro, sobre todo en la parte anterior (fig. 14).

Figura 14. La mucosa oral, normalmente lisa, puede mostrar una superficie granulada (punteado) en la zona de la encía insertada.
Determinados procesos patológicos pueden estar recubiertos de una mucosa lisa de aspecto normal. Sin embargo, la superficie también puede presentar un aspecto hiperqueratinizado, papilomatoso, necrótico o erosivo-ulceroso.
Los tejidos o las alteraciones patológicas de origen subepitelial, es decir, los que proceden del mesénquima, suelen tener una superficie lisa (tumores, quistes de retención, etc.). Los tumores cancerosos en estadio precoz también presentan una superficie lisa antes de experimentar cambios como consecuencia de traumatismos o necrosis centrales. Por el contrario, las alteraciones localizadas en el epitelio dan lugar a una superficie rugosa o papilomatosa (como en el caso de la verruga vulgar). Los procesos patológicos derivados de una alteración mínima de la perfusión o de una hiperpigmentación suelen ser planos (como el lentigo). Sin embargo, el aumento del número de células (hiperplasia) o el aumento de tamaño de las mismas (hipertrofia) dan lugar a un proceso patológico sobreelevado (como el nevo nevocítico).
Disposición
Durante la inspección también hay que evaluar si la lesión es aislada, unilateral, bilateral o múltiple. Las alteraciones simétricas son benignas en la mayoría de los casos o son estructuras anatómicas normales. Las lesiones aisladas pueden ser benignas o representar el estadio precoz de un proceso canceroso.
En caso de lesiones múltiples hay que hacer el diagnóstico diferencial entre enfermedades sistémicas y metástasis, y cuadros clínicos y enfermedades que se caracterizan por tener una localización múltiple (como el síndrome de Peutz-Jeghers-Klostermann).
El Periodontograma: Un Examen Detallado
Este proceso es, además de totalmente seguro, bastante sencillo:
- Sondeo: Mediante una sonda, se accede al periodonto para buscar bolsas periodontales.
- Registro de datos: Las mediciones del paso anterior se registran en un gráfico, llamado periodontograma.
La detección de enfermedades periodontales en sus primeras etapas es muy importante; la gingivitis y la periodontitis pueden ser difíciles de detectar con una revisión visual. En el caso de que un paciente ya esté recibiendo un tratamiento, el periodontograma servirá para comparar los resultados de revisiones posteriores con el estado inicial.
Hay determinadas condiciones que predisponen a un paciente a desarrollar enfermedades periodontales: acumulación de sarro subgingival, movilidad de los dientes o sangrado frecuente.
Otra función muy importante del periodontograma es que sirve como documentación precisa del historial del paciente.
Factores de Riesgo
- Fumadores: Uno de los peores factores de riesgo en una enfermedad periodontal es el tabaquismo.
Diagnóstico de la Periodontitis
La periodontitis ocurre cuando la placa bacteriana y el sarro avanzan en la inflamación o la infección de las encías (gingivitis) hasta afectar al diente. Antes de proceder al primer paso del tratamiento periodontal, se analiza el estado de salud general del paciente, pues a veces es preciso remitir previamente al médico de cabecera.
El estudio periodontal consiste en la medición de las bolsas periodontales que se producen por la acumulación de bacterias transformadas en calculo o sarro en la zona gingival. Se evalúan los siguientes aspectos:
- Dientes ausentes.
- Profundidad de sondaje.
- Recesiones y/o pseudobolsas o agrandamientos.
- Nivel de inserción.
- Movilidad.
- Lesiones de furca.
- Problemas mucogingivales.
- Sangrado al sondaje y supuración.
- Índice de placa.
- Otros: frémitos, diastemas, caries, obturaciones, parámetros observados en radiografías pero no en boca, implantes dentales, presencia de prótesis fijas, etc.
Con la medición de la profundidad del sarro alojado en las encías se elaborará un diagnóstico acerca del grado de enfermedad periodontal del paciente. En los casos más graves como la piorrea, es muy importante la siguiente fase y los hábitos de higiene del paciente para su recuperación. No debemos olvidar que es una enfermedad crónica.
Tratamiento Periodontal Básico
El objetivo de la terapia contra la infección periodontal incluye minimizar la placa bacteriana, y ello incluye un tratamiento inicial de profilaxis dental o limpieza dental. El tratamiento mecánico que se aplica consiste en eliminar el tejido dañado de las raíces mediante el uso meticuloso de instrumentos manuales, sónicos o ultrasónicos, de modo que también se elimina la placa y el sarro.
La fase quirúrgica del tratamiento periodontal debe llevarse a cabo por cirujanos orales, ya que incluye cirugías resectivas, regenerativas y mucogingivales, así como una reevaluación de la enfermedad. Cada paciente necesita una intervención específica, que normalmente consiste en la eliminación de las bolsas periodontales, la regeneración del periodonto, el aumento de la encía y la cirugía preprotésica.
El objetivo de esta última fase es mantener los resultados obtenidos durante el tratamiento periodontal, así como evitar la recurrencia de la enfermedad y detectar precozmente nuevas lesiones periodontales.
Conclusión
Hemos repasado qué es el periodontograma, y cómo puede ayudarnos a diagnosticar, prevenir y tratar las enfermedades periodontales. Solo nos queda recalcar lo importante que es la salud de nuestras encías. Tienen un fuerte impacto en nuestra calidad de vida en primer lugar (desde la mordida a dolores o problemas de aliento), y también afectan a la estética de nuestra sonrisa.
La Dra. Margarita Iniesta es la coordinadora de este módulo, que se centrará en los pasos 1 y 2 del tratamiento de la periodontitis: el tratamiento periodontal básico. Esta formación específica se ofrecerá los días 14 y 15 de febrero, donde se incluirán prácticas de raspado y alisado radicular, así como simulaciones en sillones dentales con fantomas.
tags: #examen #periodontal #basico