Al igual que en medicina, en el sector de la odontología los dentistas utilizamos las pruebas radiológicas dentales, es decir, diferentes radiografías para complementar el estudio de los casos y detectar problemas de salud dental que no puede ver a simple vista. Las pruebas radiológicas dentales son una herramienta invaluable en la práctica odontológica contemporánea, proporcionando información crucial para el diagnóstico preciso y el diseño de planes de tratamiento efectivos.
Existen varias modalidades de radiológica dental que se dividen en intraorales o extraorales en función de la patología o alteración que se quiera explorar. Con esta nueva entrada del blog, vamos a centrarnos en aquellas que son esenciales en las pruebas de estudio que realizamos antes de iniciar un tratamiento de ortodoncia.
¿Qué es Radiolucido y Radiopaco en Una Radiografía dental? - Radiología Dental- Dx Radiográfico
Tipos de Radiografías Dentales
Existen distintos varios tipos de radiografías, y cada una da una información distinta. El objetivo es llegar a un diagnostico lo más preciso posible.
Radiografías Intraorales
Se denominan así porque la película radiográfica se coloca en el interior de la boca. Radiografías intraorales: Se llaman así porque la película radiográfica se coloca dentro de la boca.
- Radiografía periapical: Es una pequeña radiografía dental en la cual vamos a intentar ver todo el diente desde el final de la raíz hasta la corona completa, además del tejido circundante. En la que aparecen tanto las raíces como las coronas de los dientes. Permite ver un diente desde el final de su raíz hasta su corona completa. Ayuda a valorar problemas de dientes concretos.
- Radiografías de aleta/mordida o Interproximal: También es una pequeña radiografía, que en este caso usamos para valorar sólo las coronas de los dientes. Se hace morder un posicionador y de esa manera salen hasta 4 o 5 coronas dentarias superiores e inferiores. Esto nos permite detectar caries. Sirve únicamente para observar la corona de un diente. Se usan sobre todo en casos de caries interproximal. Se utilizan para detectar aquellas caries localizadas en los puntos de contacto entre los dientes (espacios interproximales) que son de difícil diagnóstico simplemente con la exploración clínica.
- Oclusales: Son también pequeñas radiografías aunque en este caso la placa es un poco más grande y es la placa la que se muerde entre la arcada superior y la arcada inferior. El tubo de rayos X se coloca casi perpendicular a la placa y de esta manera se valoran dientes incluidos y su posición.
Estas radiografías son las que permiten al dentista descubrir anomalías como caries dentales o incluso cambios en el hueso que sostiene a los dientes. Solo mediante radiografías dentales podremos atajar estos problemas en una etapa temprana ahorrándonos molestias innecesarias.

Ejemplo de radiografías intraorales.
Radiografías Extraorales
- Radiografía panorámica u Ortopantomografía: Es la radiografía dental más habitual y la radiografía más usada, pues se puede ver toda la boca, dientes y maxilares en una sola toma. En ella podemos ver tanto los maxilares, los dientes, como ambas articulaciones temporomandibulares (ATMs). Nos da una visión general de la boca del paciente. Podemos valorar el estado de las piezas dentarias, el estadio de erupción dental en niños o descartar anomalías del número dentario (por defecto o exceso). Tiene grandes ventajas debido a la información que nos aportan con una mínima radiación y un procedimiento sencillo. Es la más común ya que permite ver toda la boca, dientes y maxilares en una toma. Su resulta es en 2D, por lo que puede no verse bien la anchura de algunos elementos. Es una prueba extraoral que a menudo se lleva a cabo en una primera visita en la clínica. Permite identificar patologías y anomalías en raíces de dientes que todavía no han erupcionado. panorámica de los dos arcos dentales completos. Es la exploración al que más recurren los odontólogos para conocer el estado general de la boca.
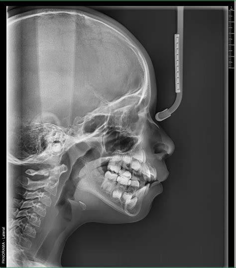
- Cefalometría o telerradiografía: Es la prueba tradicional para efectuar tratamientos de ortodoncia. Permite conocer el estado de los huesos del cráneo y de la cabeza en general: también de la boca. No obstante, no es muy utilizada en Odontonlogía. Telerradiografía lateral de cráneo: nos permite realizar mediciones y ángulos cefalométricos que nos son útiles para conocer el patrón de crecimiento del paciente joven y el patrón facial en jóvenes y adultos. Es la prueba tradicional para efectuar tratamientos de ortodoncia. Este tipo de radiografía dental se usa primordialmente antes de comenzar con un tratamiento de ortodoncia, ya que permite hacer un seguimiento del crecimiento y la relación intermaxilar. Se realiza una proyección del perfil de los huesos del cráneo, que nos permite detectar anomalías morfológicas, de colocación y/o de crecimiento de los dientes y así planificar el tratamiento de ortodoncia.
- Tomografía Computerizada dental o TAC dental: Inicialmente conocida como TAC dental pero que a día de hoy se ha sustituido por el CBCT (Tomografía Computerizada de Hax Cónico). Es la prueba de diagnóstico odontológico más completa que existe y la única que permite obtener imágenes en 3D. Toma cientos de imágenes desde diferentes ángulos y se realizan en 3D. Permite estudiar la boca con gran detalle. El Tac Dental es la prueba más completa y la única que permite obtener imágenes en 3D. Se trata de una radiografía tridimensional a partir de la cual se crea una imagen virtual en tres dimensiones con las características exactas de su cavidad oral. De esta forma se facilita el diagnóstico, que además es mucho más preciso que con otras técnicas más tradicionales. tridimensionales toda la boca del paciente.

Ejemplo de radiografías extraorales.
CBCT (Cone Beam Computed Tomography)
Aunque no se considere una radiografía, lo incluimos en este apartado, ya que permite producir imágenes 3D de la boca. El CBCT (tomografía de haz cónico): a finales de los años 90 surge como alternativa a la tomografía computerizada médica (TCM). Este cambio se produce gracias a que el CBCT emite dosis más bajas de radiación, manteniendo una calidad de imagen válida para el diagnóstico dental. Desde la llegada de la radiografía 3D, conseguimos una información mucho más veraz de la relación oseodentaria y periodontal de nuestros pacientes.
Radiación y Seguridad
Efectivamente las máquinas que se usan para hacer las radiografías dentales emiten radiación, pero el nivel de exposición es muy reducido y garantiza su seguridad. Los rayos X son una radiación electromagnética, invisible para el ojo y capaz de atravesar el cuerpo para formar una imagen. Como os decíamos, los rayos X son una radiación electromagnética de la misma familia que las ondas que calientan los platos en el microondas, los rayos ultravioleta del sol o las ondas que hacen sonar las radios.
Debemos saber que estamos expuestos de manera continua en nuestro día a día a radiaciones, ya sean naturales o artificiales, y debemos conocer qué es verdaderamente una dosis dañina. Al revés de lo que podría parecer, las dosis que recibimos de manera artificial son mucho más pequeñas que las producidas por la radiación natural. Aunque como hemos visto la radiación es baja y el procedimiento es seguro, debemos evitar las radiografías en las embarazadas, para evitar la radiación sobre el feto, a no ser que sea estrictamente necesario.
Es importante destacar que el procedimiento es rápido e indoloro. No, es un proceso del que no nos enteramos y apenas duran unos segundos.
La Importancia del Diagnóstico Preciso
Para poder realizar un correcto tratamiento odontológico, es muy importante que el diagnóstico sea lo más riguroso posible. Al diagnóstico llegaremos a través de una historia clínica inicial, en la cual se hacen algunas preguntas de salud general y bucal, hábitos, alergias o medicación habitual del paciente. También deberemos hacer preguntas más concretas, como por ejemplo, si hay dolor, cómo es este dolor, es espontáneo o aparece cuando comemos o tomamos algo, etc. En muchas ocasiones, con estos apartados podemos tener suficiente información para tener un diagnóstico certero pero en otras ocasiones necesitamos de pruebas complementarias que nos sirvan de ayuda.
Las radiografías ayudan a los dentistas a diagnosticar patologías como infecciones, caries, fracturas o enfermedades de la encías. En el caso de los implantes, permite valorar el estado del hueso para la colocación de los mismo, mientras que en la ortodoncia valoramos la posición de los dientes.
Breve Historia de la Radiología Dental
El descubrimiento de los rayos X en el año 1895, fue un hallazgo protagonizado por el profesor W.C. El interés que suscitó esta nueva oportunidad que se le brindaba a las personas para visualizar su interior sin tener que realizar incisiones también fue inmediatamente aplicado en el campo de actuación del odontólogo - estomatólogo. Se atribuye a Otto Walkholff la realización de la primera radiografía dental, captada por el dentista alemán Otto Walkhoff, hasta las imágenes digitales actuales. de un maxilar, empleando una proyección extraoral.
Interpretación Radiográfica
El fin prioritario que se persigue cuando se prescribe una radiografía es la obtención de una imagen de la zona de interés que aporte la información que se necesita para poder emitir un diagnóstico certero. Evidentemente, el primer proceso a realizar será determinar si lo que estamos observando entra o no dentro de la normalidad, lo que implica, necesariamente, no sólo el conocimiento de la anatomía de la zona en cuestión, sino también cómo se representa en la radiografía en función e la técnica que se utilice.
Posteriormente, en los casos en los que se observe la existencia de una imagen anómala se procede a realizar un análisis en detalle, estudiando de forma minuciosa sus características, a fin de acercase aun diagnóstico de presunción lo más exacto posible, dentro de las limitaciones que la radiología impone. No es necesario que insistamos en que la interpretación de una radiografía debe de realizarse siempre conociendo y considerando la historia clínica del paciente y de los motivos que han llevado a la realización de la misma.
Conocimiento Anatómico
El conocimiento de las estructuras anatómicas es la base de cualquier tipo de interpretación radiográfica. Las radiografías ponen de manifiesto de un modo claro aquellos tejidos que implican una cierta absorción de los rayos X cuando estos los atraviesan, lo que supone que en el área de trabajo odonto - estomatológico es de total importancia conocer todos aquellos detalles anatómicos que estén relacionados con los huesos del cráneo y de la cara.
La densidad de las estructuras que son atravesadas por los rayos X determina la apariencia de las mismas en la imagen radiográfica. De esta forma, podemos distinguir estructuras radiopacas y radiolúcidas.
Los dientes o verdaderos órganos de la masticación del organismo están formados por el esmalte, que es el tejido más denso del cuerpo humano con un 9’% de sustancia mineral, dentina, cemento y complejo pulpar, compuesto este último por la cámara y los conductos radiculares que pueden ser considerados como el alojamiento vásculonervioso. Llama la atención la diferencia de densidades que existen en una estructura tan pequeña como es el diente, pudiendo considerarse el esmalte y la dentina como radiopacos y la cavidad pulpar como radiolúcida.
Entre la raíz del diente y el hueso alveolar se encuentra otra estructura radiolúcida, el ligamento periodontal, que sirve de soporte y almohadillado al primero y que presenta una anchura diferente en sus distintas localizaciones, así como en función de la edad del paciente. Rodeando el ligamento periodontal a modo de línea radiopaca, se encuentra la lámina dura, falsa estructura que no tiene representación anatómica propiamente dicha y que corresponde al efecto que la pared del alveolo produce al ser atravesada por los rayos X de forma tangencial. El límite externo de la lámina dura se continúa con el trabeculado del hueso esponjoso del maxilar.
Los huesos del organismo, por su misión de armazón del cuerpo, siguen un concepto arquitectónico funcional que establece la distribución, forma y anchura de la cortical y de la esponjosa en función de las fuerzas que tienen que soportar. La cortical se observa en la radiografía como una sombra radiopaca en mayor o menor grado, sin estructura. La esponjosa sí produce una imagen estructural al estar compuesta por trabéculas y cavidades medulares.
tags: #exploracion #radiografica #dental