Las extracciones de dientes permanentes como caninos incluidos o erupcionados ectópicamente e incisivos laterales podrían tener consecuencias devastadoras sobre toda la oclusión. En ocasiones para conseguir un buen resultado, es necesario proceder a la extracción de alguno de los premolares, antes de empezar con el tratamiento de ortodoncia.
Este artículo presenta el caso clínico de una paciente adulta con ausencias y agencias que es tratada con aparatología ortodóncica fija multibrackets previamente a la rehabilitación protésica sobre implantes. La paciente presenta severas desviaciones de líneas medias dentales y oclusión asimétrica en clase II canina derecha y clase III izquierda.
Es posible la corrección de grandes maloclusiones mediante los distintos sistemas y aparatos de ortodoncia al alcance del odontólogo actualmente, por lo que se hace necesario hacer un buen diagnóstico oclusal y funcional previamente a la planificación del tratamiento rehabilitador de dientes ausentes mediante implantes osteointegrados que no van a poder nunca cambiar de posición en el hueso.

Uso de Elásticos Intermaxilares
¿Cuándo considerar extracciones asimétricas?
Tras el estudio del caso confirmamos que el plan de tratamiento más adecuado para conseguir la mejor función y estética era la extracción de dos premolares en la arcada superior. Además, al tener la línea media superior desviada hacia la izquierda del paciente, se decidió realizar las extracciones asimétricas. Con lo que prescribimos la extracción del primer premolar superior derecho para centrar la línea media y el segundo premolar superior izquierdo para dejar la oclusión de forma correcta.
En este caso se decidió extraer dos premolares superiores para conseguir:
- Un alineamiento correcto.
- Llevar los incisivos superiores a su posición correcta ya que estaban al comienzo muy adelantados.
- Centrar la línea media superior hacia la derecha del paciente y que ésta coincidiese con la línea inferior.
Siempre que realizamos extracciones intentamos que el perfil mejore o si está correcto que no se modifique. En todos los casos el espacio de las extracciones queda completamente cerrado y no se vuelve a abrir con el paso de los años.
La ortodoncia con extracciones no solo mejora la estética dental sino también la funcionalidad. Al eliminar dientes, se crea espacio para que los demás se alineen correctamente, lo que facilita una mejor mordida y reduce el riesgo de problemas dentales futuros.
Además, al alinear los dientes correctamente, se mejora la higiene bucal ya que es más fácil limpiar entre los dientes, reduciendo así el riesgo de caries y enfermedades de las encías.

Planificación del Tratamiento Ortodóncico
Antes de decidir realizar extracciones, es fundamental realizar un estudio detallado de la estructura dental y ósea del paciente. Es necesario considerar la edad, el crecimiento de los huesos faciales y la cantidad de apiñamiento dental. Además, se debe evaluar el impacto estético y funcional de las extracciones en el perfil del paciente.
El momento de la colocación del implante en pacientes con maloclusión parcialmente edéntulos debe individualizarse en cada caso, en base a un tratamiento multidisciplinar.
Debido a la necesidad de grandes correcciones en la relación sagital interarcadas, se elige la técnica de brackets de anclaje diferencial Tip-Edge Plus para este tratamiento. Esta técnica permite seleccionar el tipo de bracket en los premolares a conveniencia de la mecánica necesaria. Existen brackets de premolares clockwise o counterclockwise en función de la rotación mesiodistal (angulación) máxima que permiten a la corona de los dientes. Esto es posible gracias a la ranura doble del bracket Tip-Edge, que tiene una holgura máxima de 0.028” para permitir dicha rotación con ayuda de elásticos intermaxilares.

El uso de elásticos intermaxilares
Muchos de vosotros habréis oído hablar de las famosas “gomas” o Elásticos intermaxilares que se usan durante el tratamiento de Ortodoncia. En el post de hoy os vamos a explicar todo lo que debéis saber sobre estos elementos auxiliares utilizados durante la mayoría de tratamientos de Ortodoncia.Los elásticos intermaxilares, como su propio nombre indica, son unas gomas elásticas que se enganchan entre ambos maxilares (maxilar superior y mandíbula inferior) para conseguir corregir problemas en la mordida u oclusión dentaria.
¿Para qué sirven los elásticos intermaxilares?
Los tratamiento de Ortodoncia son necesarios cuando el paciente presenta un mal alineamiento de sus dientes, una mala mordida u oclusión o una combinación de ambos. En el caso en el que exista un problema en la mordida, los aparatos de Ortodoncia comúnmente conocidos como Brackets, no la podrán corregir por si solos. Será necesario la ayuda de elementos auxiliares (Elásticos intermaxilares) que consigan un adecuado engranaje entre ambas arcadas dentarias.
Si no se corrige la mordida, y no existe un buen encaje entre los dientes superiores y los inferiores pueden aparecer algunos de los siguientes problemas:
- Problemas dentarios: como puede ser el apiñamiento, desgaste de las superficies oclusales de los mismos, problemas periodontales…
- Problemas articulares y musculares: por sobrecarga en la Articulacion Temporo-Mandibular y en los músculos que la rodean, pueden aparecer dolores de cabeza y de mandíbula.
- Problemas masticatorios o digestivos: al no poder triturar correctamente los alimentos.
Colocación y tiempo de uso
Estos elementos, o elásticos intermaxilares, podrán ser utilizados tanto con Brackets (metálicos, estéticos, de autoligado, linguales…) como con la técnica Invisalign. Su colocación siempre se realizará de arriba abajo, es decir, de la arcada superior a la inferior. En caso de que lleves Brackets, se enganchará de unos aditamentos que se incorporan en los brackets. Si por el contrario, llevas Invisalign, será necesario incorporar unos botones transparentes que se pegan sobre la superficie de tu diente.
Las horas que deberás llevar puestos los elásticos serán indicadas por tu Ortodoncista en función de las necesidades que presente tu caso. Existen pacientes que exclusivamente los llevarán para dormir. Otros, en cambio, deberán llevarlas todo el día a excepción del momento de comer y cepillarse los dientes. Siempre deben usarse unas gomas nuevas para cada día. Al día siguiente deberás coger unas nuevas, las cuales se te entregarán en una bolsita para que tengas elásticos de sobra hasta tu próxima revisión.
Tipos de elásticos
Existen muchos tipos de elásticos en función de su diámetro y su grosor. Serán elegidos por el Ortodoncista en función a las necesidades de cada caso. La fuerza puede ser leve, media o alta. Dependiendo de la fuerza que sea necesaria se elegirá un elástico u otro. Su unidad de medida son las onzas. También existen distintos tipos de longitud (1/8, 3/16, 3/8, ¼…). Cuanto mas pequeñas sean, la fuerza será mayor.
El uso de los elásticos es muy importante, por ello ,deberás usarlos todo el tiempo que se te indique.
Resultados esperados
Una vez finalizado el tratamiento conseguimos los objetivos marcados:
- Espacios de extracciones perfectamente cerrados. Sin riesgo de que vuelvan a abrirse con el tiempo.
- Corrección de la protrusión de los dientes superiores. Incisivos superiores en posición correcta y no salidos o adelantados.
- Alineamiento correcto de los dientes superiores.
- Corrección de la línea media y mejora de la sonrisa.
Al finalizar el tratamiento, colocamos un retenedor removible de uso nocturno en la arcada superior y combinamos un retenedor fijo y otro removible también de uso nocturno en la arcada inferior.
Al ser un tratamiento con extracciones la posición de los dientes no está forzada y los resultados tanto en el plano estético como en plano funcional son los adecuados.

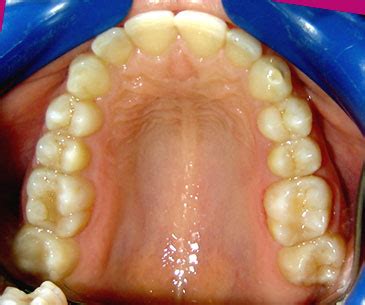
Caso Clínico: Paciente de 65 años
Paciente de 65 años de edad cuyo motivo de consulta es rehabilitar las piezas ausentes mediante implantes. No existen antecedentes familiares que reseñar. Como antecedentes odontológicos personales, la paciente presenta múltiples obturaciones y una prótesis fija de metal-porcelana con pilar en 2.4 y póntico de 2.2. No tiene signos ni síntomas de patología articular ni muscular.
Tiene oclusión en clase II canina derecha de 4,5 mm, ausencia del canino superior izquierdo y clase III izquierda de 7,5 mm del primer premolar (adyacente al pórtico del incisivo lateral) con el canino inferior izquierdo. Discrepancia óseo-dentaria inferior de 8 mm y superior de 5 mm negativos. Morfología craneofacial normal.
La línea media superior está desviada hacia la izquierda de la paciente debido a la ausencia de un diente anterior en el segundo cuadrante. Por la misma causa la paciente presenta clase III canina izquierda. Tiene desviación de la línea media inferior hacia la derecha con clase II canina y premolar. Los caninos inferiores están vestibulizados en posición no funcional.
Objetivos del tratamiento:
- Centrado de línea media inferior con línea media superior y facial en la medida de lo posible.
- Apertura de espacio para un 2.2 y 2.3 iguales en tamaño mesiodistal que 1.2.
Otra opción de tratamiento hubiera podido ser la apertura de espacio para colocación de un tercer implante2 en el lugar de 2.3, lo que habría facilitado el centrado de la línea media superior hacia la derecha y habría facilitado la mecánica en el lado izquierdo al hacer innecesario el desengranaje de la clase I molar y la mesialización de 7 mm de todos los dientes posteriores de ese cuadrante.
Resultados obtenidos:
- Se consigue el centrado de la línea media superior y la oclusión en clase I canina bilateral clase II molar completa bilateral, proporcionando a la paciente guía canina bilateral.
- La línea media inferior continúa algo desviada con respecto a la superior pero el engranaje entre las arcadas es correcto a ambos lados y el resalte es simétrico, de modo que no es objetivo de tratamiento el centrado de la línea media inferior.
- Se aumenta la exposición dental en reposo y sonrisa.
- Se obtiene anchura mesiodistal suficiente en hueso y encía para la colocación de implante del incisivo lateral y el premolar en correcta oclusión.
- Se aumenta la sobremordida y se obtiene buena guía incisiva en protrusiva.
Es necesario corregir la oclusión previamente al tratamiento de colocación de implantes osteointegrados.

tags: #extracciones #asimetricas #en #ortodoncia