Lucir una sonrisa perfecta es el deseo de muchas personas, incluyendo a los famosos. En el mundo del espectáculo, la imagen es clave y los famosos españoles no son una excepción. Una sonrisa radiante transmite confianza y seguridad, y tiene el poder de cautivar a la audiencia.
A través de tratamientos dentales como carillas, blanqueamientos, ortodoncia invisible e implantes dentales, han logrado transformaciones asombrosas en su aspecto dental. Por todo ello, es comprensible que los famosos se preocupen por tener una sonrisa perfecta.
Actores, cantantes y presentadores, cuentan en la mayoría de los casos con una sonrisa perfecta. Sin embargo no todos ellos nacieron con ella. Estrellas como Tom Cruise, Justin Bieber o Miley Cyrus y ya en nuestro país Rosa López o Paula Echevarría, no tenían hace unos años los dientes blancos y rectos.
En este artículo, exploraremos los distintos tratamientos utilizados por los famosos españoles para mejorar su estética dental, además de analizar casos concretos de celebridades internacionales.
¿Qué son las Carillas Dentales?
Para lograr una sonrisa perfecta, existen una variedad de tratamientos dentales disponibles que pueden transformar por completo la apariencia dental.
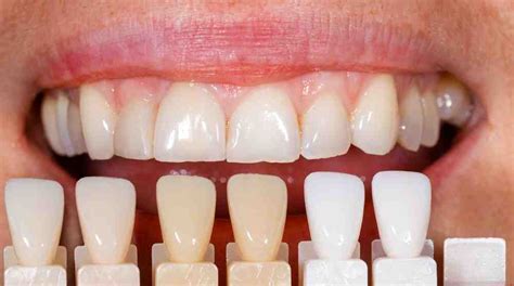
Las carillas dentales son finas láminas de porcelana o composite que se adhieren a la superficie de los dientes para corregir defectos estéticos como el color, la forma o el tamaño. Permiten corregir forma, tamaño, posición y color de nuestros dientes.
Debes saber que existen dos tipos en función del material empleado: de porcelana y composite.

Si tienes decoloración, astillas, espacios o dientes desiguales, las carillas pueden ser una gran opción para ti.
Las carillas dentales, una opción popular entre muchas celebridades, no solo mejoran la apariencia de los dientes, sino que también contribuyen significativamente a la salud oral. Al examinar los casos de estas figuras públicas, ofreceremos detalles sobre los tipos de tratamientos que han recibido y cómo estas decisiones han beneficiado su salud bucodental.
Blanqueamiento Dental
El paso del tiempo, el consumo de tabaco o café y diferentes enfermedades bucodentales pueden hacer que tus dientes se vuelvan amarillos y aparezcan manchas. Sin duda, el blanqueamiento es otro de los secretos dentales de los famosos para lucir sonrisas relucientes y brillantes.
El blanqueamiento dental es un procedimiento no invasivo que ayuda a eliminar manchas y decoloraciones en los dientes, devolviéndoles su brillo natural.
En nuestras clínicas de Madrid contamos con varias alternativas aunque la más habitual es el blanqueamiento dental con luz fría.
Ortodoncia Invisible: Invisalign
Muchos famosos han reconocido utilizar el sistema Invisalign para corregir su dentadura. Si no lo cuentan, es difícil darse cuenta. El éxito de la ortodoncia invisible es el conjunto de fundas transparentes que van corrigiendo la dentadura sin que nadie lo note.
¿COMO FUNCIONA LA ORTODONCIA INVISIBLE INVISALIGN? ¡ASI MUEVEN LOS DIENTES LOS ALINEADORES DENTALES!
La ortodoncia invisible, como el método revolucionario de Invisalign, es una alternativa discreta a los tradicionales brackets metálicos. A través de alineadores transparentes y removibles, este tratamiento permite corregir problemas de maloclusión dental, sin afectar la estética durante el proceso.
Invisalign es un novedoso método de ortodoncia invisible que ha revolucionado el mundo de la odontología estética. Consiste en el uso de alineadores transparentes y removibles, fabricados a medida, que se colocan en los dientes para corregir su posición y alinear la dentadura.
Ventajas de Invisalign
- Discreción: Los alineadores son prácticamente invisibles.
- Comodidad: No hay alambres ni brackets que irriten la boca.
- Removibles: Se pueden quitar para comer, beber y cepillarse los dientes.
- Eficacia: Corrige una amplia variedad de problemas de alineación.
Implantes Dentales
Los implantes dentales son una solución duradera para reemplazar dientes perdidos. Consisten en la colocación de una raíz artificial de titanio en el hueso maxilar, sobre la cual se coloca una corona dental personalizada.
Famosos y sus Transformaciones Dentales
En el mundo del espectáculo, la imagen es clave y los famosos españoles no son una excepción. Muchos han optado por mejorar su estética dental a través de diversos tratamientos, logrando transformaciones asombrosas en sus sonrisas.
Casos Destacados
- Penélope Cruz: Con la ayuda de carillas dentales, ha logrado corregir la irregularidad en la alineación de sus dientes, luciendo ahora una sonrisa radiante y armoniosa.
- George Clooney: También ha experimentado una mejora notable en su sonrisa.
- Paula Echevarría: Se ha sometido a ortodoncia invisible, logrando así una dentadura perfecta.
- J Balvin: También ha sido protagonista de una transformación en su aspecto dental.
- Miley Cyrus: Ha dejado atrás los dientes manchados y ha optado por un blanqueamiento dental para lograr una sonrisa radiante.
- Cristiano Ronaldo: Ha invertido en implantes dentales para conseguir una dentadura perfecta.
- Reina Letizia: No solo es reconocida por su elegancia y estilo, sino también por su impecable sonrisa.





Invisalign en la Realeza y Celebridades Españolas
Incluso en la realeza, se han utilizado los beneficios de Invisalign.
- Rey Juan Carlos de España: Decidió someterse a un tratamiento con Invisalign para corregir pequeños problemas de alineación en su dentadura sin que fuera perceptible.
- Reina Máxima de Holanda: También ha sido una de las personalidades que ha utilizado Invisalign para mejorar su sonrisa.
- Mariló Montero: Reconocida periodista española, decidió optar por el tratamiento de Invisalign para corregir ciertos problemas de alineación en su dentadura.
- David Broncano: El reconocido presentador de televisión también ha sido uno de los famosos españoles que se han beneficiado de Invisalign.
- Nuria Roca: Conocida presentadora de televisión, decidió apostar por Invisalign para corregir ciertos problemas en su dentadura sin comprometer su imagen pública.
Consejos para Mantener una Sonrisa Impecable
Como famoso, es crucial cuidar de tu salud dental para mantener una sonrisa impecable y radiante.
- Realiza una buena higiene bucal en casa: Cepilla tus dientes al menos dos veces al día con una pasta dental de calidad, utilizando técnicas adecuadas de cepillado.
- Visita regularmente a tu dentista: Programa citas regulares con tu dentista para realizarte limpiezas profesionales y revisiones dentales completas.
- Evita malos hábitos que puedan dañar tus dientes: Evita morder objetos duros, como lápices o hielo, que puedan causar fisuras o fracturas en tus dientes.
- Adopta una alimentación saludable: Consumir una dieta equilibrada, rica en vitaminas y minerales esenciales para la salud dental, puede contribuir a mantener tus dientes y encías en buen estado.
Recuerda que una buena salud dental te ayudará a mantener una sonrisa deslumbrante a lo largo del tiempo.