La extracción de una muela es un procedimiento común en tratamientos de odontología, como implantología o extracción, pero el proceso de cicatrización varía de una persona a otra. Independientemente del motivo de la exodoncia (muela del juicio, pieza dañada, etc), los cuidados postoperatorios son clave para una correcta y rápida cicatrización. Acompáñanos en este recorrido detallado por los cuidados tras una extracción dental. Y recuerda que lo más importante es seguir siempre las indicaciones de tu odontólogo de confianza. Nunca debes medicarte sin asesoramiento especializado.
En este artículo, exploraremos en detalle las fases de cicatrización después de una extracción dental, los cuidados necesarios y las posibles complicaciones. Como dentistas en Málaga con años de experiencia, hemos elaborado esta pequeña guía para quienes han pasado por una extracción dental recientemente.

Razones para la Extracción Dental
Si tienes programada una extracción dental, puede que te estés preguntando qué esperar. Aunque nuestra dentadura puede durar toda la vida, hay varios factores que hacen necesaria la extracción de un diente.
Las razones por las que puedes necesitar una extracción dental son reparar problemas detectados por ti o por tu dentista o evitar futuros problemas con tus dientes. Antes de que tu dentista identifique estos problemas, puede que tengas algún síntoma como un dolor de muelas.
Los problemas más comunes y que pueden significar que necesitas extraer un diente son los siguientes:
- Tener una muela del juicio infectada. Este tipo de infección es más probable que se produzca en las muelas del juicio que en los demás dientes, ya que esta zona es de difícil acceso y pueden acumular bacterias o restos de comida.
- Apiñamiento excesivo: los dientes pueden extraerse como parte de un tratamiento de ortodoncia.
- Un diente dañado (cariado) que no se puede reparar, una infección grave o un diente fracturado.
Preparación para la Extracción Dental
El primer paso en el procedimiento de extracción de un diente, será hacer una radiografía de la pieza que causa los problemas. La extracción dental es un procedimiento quirúrgico que suele realizarse bajo anestesia local.
Debes informar a tu dentista si te han recetado algún tipo de medicación, suplementos u otros fármacos y si eres alérgico a algún medicamento. Para evitar complicaciones con la extracción de un diente también debes informarle si padeces algún tipo de enfermedad, como diabetes, enfermedades del hígado o de la tiroides, hipertensión, una articulación artificial o una alteración inmunológica.
Asimismo, conviene saber que pueden recetarte antibióticos antes o después de la intervención. Los factores que el médico tiene en cuenta son la duración, el alcance de la intervención y el grado de infección.
👉CUIDADOS despues de una EXTRACCION de muela 🙊 Secretos para que NO TE DUELA!!
Procedimiento de Extracción Dental
Quizás te estés preguntando cuánto tiempo dura una extracción dental. Una extracción rutinaria puede durar entre 20 y 30 minutos, pero si se trata de varios dientes, puede llevar unos 15 minutos más por pieza.
Tipos de Extracción Dental
- Extracción Dental Simple: Se trata de dientes que están a la vista y es el propio dentista quien lleva a cabo la intervención.
- Extracción Dental Quirúrgica: Es más complicado, ya que en este caso, quizás tengas un diente impactado que ha quedado parcial o totalmente atrapado dentro de la mandíbula o un diente que está ‘fusionado’ al hueso (anquilosado). Es más probable que este procedimiento lo lleve a cabo un cirujano oral especializado, ya que es necesario hacer una incisión en la encía y extraer algo de hueso.
Fases de Cicatrización Tras la Extracción Dental
Después de extraer una muela, el cuerpo inicia inmediatamente el proceso de curación. Este proceso se divide en varias etapas:
- Formación del Coágulo Sanguíneo: Se forma un coágulo de sangre en el sitio de la extracción, que es esencial para la cicatrización. Cuando se extrae la muela ocurre una ligera hemorragia y es esa sangre la que pasa a un estado sólido, formando así el coágulo. Este coágulo protege el tejido óseo y los nervios, evitando que queden expuestos.
- Cicatrización Inicial: Aquí los tejidos blandos comienzan a cerrarse, suele tardar entre 1 y 2 semanas. Una vez que se ha formado el coágulo, el tejido gingival comienza a regenerarse, cerrando la herida.
- Cicatrización Ósea: Esta segunda fase tarda más tiempo. El hueso subyacente puede demorar entre 6 y 8 semanas en regenerarse completamente. Aunque los tejidos blandos ya están cerrados, la cicatrización continúa en el hueso alveolar.
- Remodelación: Esta última fase puede durar varias semanas o meses.

Cuidados Inmediatos Tras la Extracción Dental
En los primeros momentos después de una extracción dental, los cuidados inmediatos son cruciales. Desde la aplicación de hielo para controlar la inflamación hasta la gestión adecuada del sangrado. Los primeros pasos en los cuidados tras una extracción dental son críticos para establecer las bases de una recuperación exitosa.
- Control del Sangrado: La mayoría de las extracciones dentales pueden derivar en un leve sangrado. Es normal. Para controlarlo, coloca una gasa estéril sobre el área afectada y aplica presión suave durante al menos 30 minutos. Con tal de no ocasionar daños en la zona intervenida, es muy importante que durante las dos primeras horas el paciente mantenga una gasa haciendo presión sobre la herida.
- Utilizar Hielo: Aplica hielo de forma intermitente en el área afectada durante los primeros 24 horas para reducir la inflamación. Inflamación: en las primeras 24 a 48 horas, es común que la zona esté inflamada y sensible. Las compresas frías pueden ser aliadas efectivas contra la inflamación.
- Reposo y Elevación: Descansar y mantener la cabeza elevada durante las primeras horas después de la extracción reduce la inflamación. Descansa adecuadamente y eleva la cabeza mientras duermes. No te apresures en retomar las actividades normales inmediatamente después de la extracción dental. Durante los primeros días, prioriza el descanso y evita esfuerzos físicos intensos.
- Evita Enjuagues y Fumar: Evita enjuagarte la boca vigorosamente durante las primeras 24 horas, ya que podría perturbar el proceso de coagulación y aumentar el riesgo de sangrado. Evita el tabaco o beber a través de una pajita. La succión puede desprender el coágulo de sangre e interrumpir el proceso de curación.
- Medicación Prescrita: Sigue las indicaciones de tu dentista respecto a la medicación prescrita. Esto podría incluir analgésicos para controlar el dolor y antibióticos para prevenir infecciones. Para aliviar el dolor ocasionado por la cirugía y evitar infecciones, se receta una medicación a base de antibióticos y analgésicos.
- Sigue las Instrucciones del Dentista: Cada paciente es único, y las instrucciones específicas del dentista deben seguirse cuidadosamente.
Alimentación Adecuada Tras la Extracción
La alimentación es parte muy importante de los cuidados tras la extracción dental. La elección adecuada de alimentos desempeña un papel crucial en la recuperación.
- Opta por Alimentos Suaves y Nutritivos: Durante los primeros días es aconsejable centrarse en alimentos suaves que requieran poco o ningún esfuerzo al masticar. Las opciones nutritivas como purés, sopas, yogures y batidos son excelentes alternativas. Opta por alimentos blandos como purés, yogures o sopas durante los primeros días. Los primeros días, lo más aconsejable es seguir una dieta blanda que restrinja los alimentos muy fríos o muy calientes.
- Evita Alimentos Calientes: Evita los alimentos y bebidas calientes en las primeras 24 horas después de la extracción. Durante los primeros días, evita alimentos o bebidas extremadamente calientes, picantes o ácidos, ya que podrían aumentar la sensibilidad y la inflamación.
- Evita Alimentos Duros o Pegajosos: Los alimentos duros o pegajosos pueden causar molestias y dañar el área de extracción. Evita nueces, semillas, caramelos y alimentos similares.
- Hidratación Constante: Mantén una buena hidratación, preferiblemente con agua.
- Consulta al Dentista para Restricciones Específicas: Cada paciente es único, y algunas extracciones pueden requerir consideraciones específicas en cuanto a la dieta.
Higiene Bucal Después de la Extracción
Mantener tu higiene bucal hará que los cuidados tras tu extracción dental sean más efectivos en general. Ten en cuenta que reducir el riesgo de infecciones es un factor clave para evitar complicaciones y que todo vaya según lo previsto.
- Después de una extracción dental, es importante continuar con la rutina de cepillado, pero con precaución. Utiliza un cepillo de cerdas suaves y realiza movimientos suaves para evitar irritar el área de extracción. Aunque debes evitar cepillar el área de la extracción, es importante mantener una buena higiene bucal. Por último, mientras la boca está cicatrizando debes evitar el uso de un cepillo de dientes eléctrico para permitir que se forme el coágulo de sangre sobre la zona afectada.
- Realiza enjuagues bucales suaves con agua salina tibia varias veces al día, especialmente después de las comidas. Un enjuague de agua salada puede ayudarte a mantener la boca limpia mientras se cura.
- Evita enjuagues bucales vigorosos durante los primeros días posteriores a la extracción. La fuerza excesiva podría desalojar el coágulo de sangre necesario para la cicatrización adecuada. No utilices enjuagues bucales, ya que pueden causar irritación durante el proceso de curación tras una extracción dental.
- Evita tocar el área de extracción con la lengua o el dedo. Evitar tocar la zona con la lengua o los dedos, ya que esto puede impedir que se forme la capa protectora del coágulo de sangre.
Manejo del Dolor y la Inflamación
Los cuidados tras la extracción dental, suelen tener como primer objetivo aliviar las molestias y la inflamación tras el tratamiento. El dolor y la inflamación son síntomas comunes después de una extracción dental. La paciencia y la atención son clave.
- Uso de Analgésicos: Siguiendo las indicaciones de tu dentista, utiliza analgésicos como el ibuprofeno o el paracetamol para controlar el dolor. Si tu dentista lo ha recomendado, puedes utilizar analgésicos o antiinflamatorios de venta libre para controlar el dolor y la inflamación.
- Aplicación de Compresas Frías: Las compresas frías pueden ser aliadas efectivas contra la inflamación.
- Evita Calor Directo: Durante las primeras 24 horas, evita aplicar calor directo en el área de extracción.
- Descanso y Elevación: Descansa adecuadamente y eleva la cabeza mientras duermes.
- Evita Alimentos y Actividades Que Aumenten la Inflamación: Durante los primeros días, evita alimentos o bebidas extremadamente calientes, picantes o ácidos, ya que podrían aumentar la sensibilidad y la inflamación.
- Hidratación: Mantente bien hidratado, ya que puede contribuir a una recuperación más rápida.
- Sigue las Indicaciones de tu Dentista: Es fundamental seguir las indicaciones específicas de tu dentista en cuanto al manejo del dolor y la inflamación.
Puntos de Sutura y su Cuidado
Los cuidados tras la extracción dental en la fase de la fase de cicatrización y cierre desempeña un papel crucial en el proceso de recuperación. En muchos casos, los puntos de sutura son utilizados para facilitar este proceso y asegurar un cierre adecuado del área de extracción.
Cuando la extracción involucra incisiones más extensas o áreas más complicadas, los puntos de sutura cierra la herida y promueven la coagulación de la sangre. Durante los primeros días después de la extracción, los puntos de sutura desempeñan un papel crucial en el proceso de cicatrización. Ayudan a mantener la coagulación, evitan la pérdida excesiva de sangre y promueven la formación de tejido cicatricial.
Es esencial seguir las indicaciones de tu dentista para el cuidado adecuado de los puntos de sutura. Generalmente, se recomienda evitar tocar o manipular la zona de extracción con las manos o la lengua. La duración de los puntos de sutura varía según la técnica utilizada y la complejidad de la extracción.
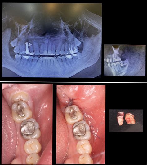
Complicaciones Después de la Extracción Dental
Aunque la mayoría de las extracciones dentales cicatrizan sin problemas, es importante estar atento a posibles complicaciones. En general, las complicaciones tras la exodoncia no son muy comunes.

Signos de Alerta
- Dolor Intenso: Es normal experimentar algo de dolor después de una extracción dental, pero si es muy fuerte, consulta a tu dentista.
- Sangrado Excesivo: Un leve sangrado durante las primeras horas es normal, pero si experimentas sangrado persistente o excesivo después de las primeras 24 horas, debes comunicarte con tu dentista. Lo primero que hay que hacer después de la extracción de una pieza dental es hacer que la herida no sangre, para la cual se coloca una gasa haciendo compresión durante una hora aproximadamente.
- Inflamación Severa o Hinchazón Persistente: Mientras que es común tener cierta inflamación después de la extracción, una hinchazón severa podría ser motivo de preocupación.
- Fiebre o Malestar General: La aparición de fiebre o malestar general después de una extracción dental es una señal de alerta. La fiebre es un signo de infección.
- Pérdida de Sangre en el Coágulo: Si notas la pérdida del coágulo de sangre en el sitio de la extracción (alvéolo), esto podría exponer el hueso y los nervios, lo que se conoce como alveolitis seca.
Alveolitis Seca
La alveolitis seca es la principal complicación que debes tener en cuenta después de una extracción dental. Una vez extraído un diente, el proceso de curación implica la formación de un coágulo de sangre y la formación de una nueva capa protectora de tejido sobre el alveolo del diente. Si esto no ocurre, tendrás síntomas asociados con la alveolitis seca ya que el alveolo dental no está protegido.
Síntomas de la Alveolitis Seca
Los principales síntomas de alveolitis seca son un dolor intenso en el hueso debajo del diente extraído, posible inflamación de la zona e infección del alveolo seco seguido de malestar. La sensación de la alveolitis seca es similar a lo que se siente si tienes un alto grado de sensibilidad en los dientes. También puede irradiar más allá de la zona y tener un olor desagradable.
Cómo Evitar la Alveolitis Seca
Hay una serie de instrucciones que debes seguir después de la cirugía:
- Evitar tocar la zona con la lengua o los dedos, ya que esto puede impedir que se forme la capa protectora del coágulo de sangre.
- Un enjuague de agua salada puede ayudarte a mantener la boca limpia mientras se cura.
- Evita el tabaco o beber a través de una pajita. La succión puede desprender el coágulo de sangre e interrumpir el proceso de curación.
Cuidados a Largo Plazo
Los cuidados tras la extracción dental deben extenderse más allá de las primeras 24 horas. Este aspecto es crucial para garantizar una recuperación completa y libre de complicaciones.
- Dieta Nutritiva: Mantener una dieta nutritiva es esencial para apoyar la cicatrización y evitar molestias adicionales. Opta por alimentos suaves y fáciles de masticar para minimizar la presión en la zona de extracción. Come comidas nutritivas.
- Higiene Bucal Constante: Una higiene bucal constante es crucial para evitar infecciones y promover la cicatrización. Mantén una buena higiene bucal.
- Gestión del Dolor e Inflamación: Continúa utilizando las estrategias recomendadas por tu dentista para gestionar el dolor y la inflamación.
- Atención a las Señales de Alerta: Presta atención a cualquier señal de alerta, como sangrado persistente, hinchazón anormal o síntomas de infección.
Siguiendo estas recomendaciones y manteniéndote en contacto con nosotros para una revisión más exhaustiva, tu proceso de cicatrización será mucho más rápido y sin complicaciones.
Factores que Influyen en la Cicatrización
Son diversos factores los que influyen en el proceso de cicatrización de las encías.
- Hábitos como fumar o consumir alcohol: Ambas sustancias impiden la correcta cicatrización de los tejidos.
- Enfermedades sistémicas: La diabetes, por ejemplo, puede comprometer la microcirculación, por lo que afecta la capacidad del cuerpo de cicatrizar.
- Edad y estado general de salud del paciente: Las personas más jóvenes tienen mayor capacidad regenerativa de los tejidos que los de edad más avanzada.
- Técnica de extracción: Las extracciones complejas pueden prolongar el tiempo de recuperación.
Acciones que Ayudan a Acelerar el Proceso de Cicatrización
Durante la etapa de cicatrización hay ciertas acciones que pueden ayudar a acelerar el proceso. Desde el momento de la extracción es importante mantener los cuidados necesarios para proteger el coágulo y favorecer la cicatrización. Es en este momento cuando se forma el coágulo.
- Luego de la extracción, el dentista pedirá al paciente que muerda una gasa estéril para hacer presión en el lugar donde estaba la muela. Esto ayudará a detener el sangrado y a que se forme el coágulo.
- Las primeras 24 horas no debes enjuagar la boca.
- Se recomienda que durante los primeros días se consuman sólo alimentos blandos. Por ejemplo, purés, cremas, sopas, yogur, gelatinas, entre otros. De esta manera evitamos lastimar la herida.
- Una buena higiene es crucial para la recuperación, pero hay que ser cuidadosos al hacerlo.
- Utiliza el enjuague bucal que recomiende el dentista para ayudar a limpiar y evitar infecciones.
Importancia de las Visitas de Seguimiento
Realiza las visitas de seguimiento programadas con tu dentista. Ten siempre presente que aunque conozcas los cuidados tras la extracción dental a la perfección, debes consultar todas las dudas que tengas con tu dentista.
Si tienes más preguntas sobre cuánto tarda en cicatrizar una muela, no dudes en comunicarte con nuestra clínica dental en Málaga.
tags: #fases #cicatrizacion #extraccion #dental