La fenestración palatina canina es un procedimiento quirúrgico diseñado para abordar la inclusión de caninos, una condición en la que estos dientes no erupcionan correctamente en la cavidad oral.

Fenestración de canino incluido.
¿Qué es un Canino Incluido?
Un canino incluido es un diente que, por diversas razones, no ha logrado erupcionar correctamente en la cavidad oral y, en su lugar, se encuentra atrapado o retenido en el hueso maxilar o mandibular, o en el tejido blando circundante. La inclusión de caninos es más común en la arcada superior, aunque también puede afectar a los caninos inferiores.
Nadie sabe la razón por la que los caninos puedan quedar incluidos. Si bien los caninos superiores son los segundos dientes más comúnmente incluidos detrás de las muelas del juicio, la impactación del canino todavía se considera raro, con una incidencia en la población de aproximadamente el 2%. El 85% de estos se encuentran bajo la encía del paladar, mientras que el resto pueden estar en la zona labial, externa o medial.
Hablamos de canino incluido en el paladar, cuando los caninos de la arcada dental superior no erupcionan cuando deben, alrededor de los once-doce años.

Radiografía de un canino retenido en el paladar.
¿Por Qué es Importante Tratar un Canino Incluido?
Cuando se diagnostica un canino incluido, es fundamental que el paciente reciba una atención odontológica adecuada y oportuna para prevenir o minimizar los problemas asociados a esta condición. La intervención temprana es clave para el éxito en el tratamiento de caninos incluidos, por lo que es esencial que los pacientes acudan a revisiones dentales periódicas y sigan las recomendaciones de su dentista para mantener una óptima salud bucal.
Las consecuencias de tener un canino incluido y no tratarlo pueden variar dependiendo de la situación individual.
- Mejora de la apariencia estética: los caninos desalineados pueden afectar negativamente la sonrisa, lo que puede causar inseguridad y autoestima baja.
- Mejora la función masticatoria: los caninos desalineados pueden dificultar la masticación y la digestión adecuada de los alimentos.
- Prevención de problemas dentales: los caninos desalineados pueden causar problemas dentales como caries, enfermedad de las encías y daño a otros dientes.
- Evita la necesidad de extracción de dientes: cuando los caninos están muy desalineados, puede ser necesario extraerlos.
¿Qué es la Fenestración Dental?
La fenestración dental es una técnica que sirve para abrir un orificio en la encía (fenestrar) y eliminar aquella parte del hueso y la mucosa que impiden que el diente pueda erupcionar. Consiste en realizar una pequeña incisión en la encía para acceder al diente y permitir que este erupcione correctamente o que se libere de cualquier obstrucción que impida su correcto posicionamiento.
Este procedimiento se realiza con el fin de evitar complicaciones como infecciones, dolor o daño a los dientes vecinos. Se utiliza para tratar casos específicos, como la exposición de una raíz dental para facilitar la ortodoncia o para corregir problemas estéticos relacionados con la posición del diente en la encía.
En muchas ocasiones, se dejará la fenestración abierta y se permitirá la erupción espontánea del canino; pero en otras ocasiones, se cementará una pequeño botón (a modo de anclaje) en la superficie del canino para poder traccionar de él hacia su posición correcta.
La fenestración de un canino incluido se realiza cuando este diente, generalmente el canino superior, no ha erupcionado de forma natural y se encuentra retenido en el hueso o en el paladar.
Los caninos son unos dientes fundamentales en la boca. Esto se debe a que son unas de las piezas dentales más fuertes y a que realizan una importante labor en el proceso de masticación, ya que ayudan a desgarrar los alimentos y cortarlos en trozos más pequeños para que puedan ser fácilmente digeridos. Por último, la erupción de los caninos no solamente es importante a nivel funcional, sino también en el aspecto puramente estético.
En suma, el hecho de que una persona carezca de caninos resulta perjudicial para realizar acciones tan cotidianas como comer o sonreír.
Cuando el problema que plantea el paciente es la inclusión de los caninos en la zona palatina, lo más recomendable es recurrir a la fenestración dental combinada con el posterior tratamiento ortodóncico.
El Proceso de Fenestración de un Canino Incluido para su Tracción Ortodóncica
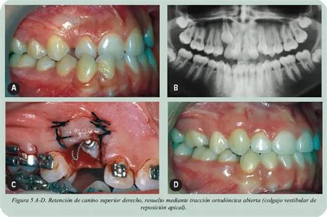
La Fenestración de un Canino Incluido para su tracción Ortodóncica, sigue un proceso detallado que incluye la colaboración entre un ortodoncista y un cirujano oral.
Antes de la cirugía, el ortodoncista debe, a través de un tratamiento de ortodoncia, dejar un hueco en la encía que permita alojar la pieza dental retenida. En algunos casos, se puede empezar a traccionar el canino antes de tener el espacio en la arcada. Esto dependerá de dónde está situado el canino.
El día de la intervención, el cirujano abre una pequeña ventana en la encía y retira tanto el hueso como la mucosa que obstaculizan la salida de la pieza dental. De esta manera, expone la corona del diente. Unos días después, el ortodoncista coloca un botón en el diente recientemente descubierto. En algunas ocasiones, se puede cementar el botón el mismo día de la cirugía.
Entonces se prepara la corona de dicho diente para cementar un aditamento (bracket o botón) con una ligadura o cadenita de oro y así poder engancharlo al arco. Esto permite aplicar fuerzas controladas para guiar al diente a su posición adecuada en la arcada dental.
Es importante mencionar que la Fenestración es parte de un tratamiento que requiere aparatos de ortodoncia (Bracket, alineadores o Microtornillos…) en un enfoque interdisciplinar. Esto significa que el tratamiento involucra la colaboración de diferentes especialistas, como cirujanos orales y maxilofaciales, ortodoncistas y periodoncistas.

Tracción ortodóncica de canino retenido.
El tratamiento de ortodoncia puede ser muy efectivo para corregir caninos incluidos. En Smileline Clinic, la Dra. Marta Serra Serrat y la Dra. Damborenea, utilizarán métodos de tratamiento específicos para llevar al canino incluido a su posición correcta de forma lenta y segura.
Las personas con canino incluido por palatino no suelen presentar limitaciones de espacio significativas en la arcada y la persistencia del canino temporal es la consecuencia, y no la causa, de la erupción ectópica del canino definitivo.
Existen dos opciones:
- Exponer quirúrgicamente (fenestración) el canino y permitir que erupcione espontáneamente sin necesidad de tracción, durante la dentición mixta tardía.
- Exponer quirúrgicamente (fenestración) el canino y cementar un anclaje adherido al canino para usar fuerzas de ortodoncia y poderlo llevar a su posición correcta.
Los caninos incluidos por palatino en adultos suelen presentar más dudas para el paciente. Básicamente, se preguntan si vale la pena colocar con ortodoncia, el diente incluido en el paladar, o si es mejor colocar un diente postizo en su lugar.
Un diente natural siempre es mejor que uno postizo. La colocación de un diente postizo que reemplace al canino incluido natural implica la colocación primero de un implante: tornillo en el hueso y después el diente postizo o corona.
El espacio disponible en la arcada dental suele ser menor que el necesario para colocar un canino definitivo, por lo que en caso colocarse un diente postizo, igualmente es necesario colocar ortodoncia para distribuir correctamente los espacios y crear el espacio adecuado.
No es recomendable dejar el canino incluido en el paladar indefinidamente. Después de haber realizado el diagnóstico, con un exhaustivo estudio radiográfico 3D, de forma excepcional se recomendará la extracción del canino incluido en el paladar.
Cirugía de tracción tratamiento de Ortodoncia (CANINO)
¿Cuánto Tarda la Fenestración?
La fenestración dental es una intervención muy breve, que se realiza bajo anestesia local y que dura alrededor de 25-30 minutos.
Normalmente un Odontopediatra familiarizado con el uso de técnicas de cirugía recomendará la realización de una fenestración. Esta técnica consiste en la realización de una pequeña ventana en la encía del canino afectado. El objetivo de eliminar el hueso y la mucosa alrededor de este diente es conseguir liberarlo.
De este modo, la corona del mismo es visible y así el dentista infantil puede realizar la tracción ortodóncica del diente. La fenestración en sí es un procedimiento corto, pero el proceso completo finalizará cuando el diente esté adecuadamente situado en la arcada del paciente a través del tratamiento de ortodoncia.
Postoperatorio y Cuidados Después de la Fenestración Dental
Después de la cirugía de fenestración, es normal experimentar cierta inflamación y malestar en la zona afectada. También es importante mantener una buena higiene bucal mediante el cepillado cuidadoso y el uso de enjuague bucal, evitando la zona operada durante los primeros días.
El cirujano proporcionará instrucciones específicas sobre cómo cuidar el área y cuándo retomar la rutina de higiene normal. Es fundamental seguir las citas de control con el ortodoncista y el cirujano oral para evaluar el progreso del tratamiento y asegurar una recuperación adecuada.
Tras la fenestración dental, el paciente deberá seguir una dieta blanda durante los siguientes cinco o siete días para reducir las molestias y acelerar el proceso de cicatrización. Tras el postoperatorio, es igualmente importante que el diente que se ha sometido al tratamiento sea revisado periódicamente por el ortodoncista. De esta manera, el profesional podrá asegurarse de que los resultados son favorables y estables a largo plazo.
Es comprensible que los pacientes se preocupen por el dolor asociado a la cirugía de fenestración. Afortunadamente, este procedimiento se realiza bajo anestesia local, lo que garantiza que el paciente no sienta dolor durante la intervención quirúrgica. Después de la cirugía de fenestración, es normal que el paciente experimente cierta inflamación y malestar en la zona tratada. Estos síntomas suelen ser temporales y se pueden manejar de manera efectiva siguiendo las indicaciones del cirujano oral y el ortodoncista.
Por otra parte, el cirujano oral puede sugerir medidas de cuidado postoperatorio, como aplicar hielo en el área afectada para reducir la inflamación, mantener una higiene bucal adecuada para prevenir infecciones y consumir alimentos blandos o líquidos fríos durante los primeros días después del procedimiento.
Ventajas de la Fenestración Dental
Aunque la fenestración de la pieza dental está condicionada por las particularidades de la boca de cada paciente, en el caso de los colmillos impactados resulta la solución más ventajosa. Recuperación de un diente natural que desempeña un papel fundamental en la dentadura. Favorecer la erupción del diente evita tener que realizar una eventual extracción. A pesar de la zona delicada en la que se realiza la intervención, la fenestración dental es un proceso indoloro y con un posoperatorio sencillo.
Las ventajas de la fenestración incluyen que se trata de una técnica quirúrgica que nos permite un control visual permanente del diente retenido durante toda la tracción y desde el mismo momento en que realizamos la cirugía. Por otro lado, se trata de un tratamiento sencillo de realizar y que permite adherir el sistema de anclaje del diente retenido, ya sea en pre-operatorio o diferirlo a unos días después.
- Recuperación de un diente natural que desempeña un papel fundamental en la dentadura.
- Favorecer la erupción del diente evita tener que realizar una eventual extracción.
- A pesar de la zona delicada en la que se realiza la intervención, la fenestración dental es un proceso indoloro y con un posoperatorio sencillo.
Precio de la Fenestración Dental
El precio de la fenestración dental varía en función de la clínica dental, la complejidad del procedimiento y el país en el que se realiza. El costo de la fenestración de un canino incluido varía según el país, la región y el profesional que realice el tratamiento.
Si estás considerando una fenestración dental, te invitamos a pedir una cita para valoración en Face Clinic. Nuestro equipo de especialistas evaluará tu caso y te proporcionará el tratamiento más adecuado. No dudes en contactarnos para más información y para agendar tu consulta.
tags: #fenestracion #canino #paladar