FGM Dental Group, empresa brasileña fundada en 1996 en Joinville, se dedica a ofrecer soluciones seguras e innovadoras para profesionales de la odontología. Su amplio portafolio incluye productos como blanqueadores dentales, biomateriales, implantes, composites, adhesivos, cementos, postes de fibra de vidrio y materiales de acabado.
Estos productos están presentes en más de 100 países, con aproximadamente un 30% de su producción destinada a la exportación.
A continuación, exploraremos algunos de los productos estrella de FGM para el blanqueamiento dental y otros tratamientos odontológicos.
Productos Destacados de FGM
Blanqueamiento Casero
FGM ofrece diversas opciones para el blanqueamiento dental en casa, siempre bajo la supervisión de un odontólogo:
- Whiteness Perfect: Gel de blanqueamiento dental con peróxido de carbamida al 16%.
- White Class: Blanqueamiento dental a base de peróxido de hidrógeno al 6%. Contiene un excelente paquete desensibilizante a base de glicol, agua, nitrato de potasio y fluoruro de sodio.
Ambos productos ofrecen una doble acción desensibilizante gracias al nitrato de potasio, que actúa a nivel neural, y al fluoruro de sodio, que tiene un efecto oclusivo. El nitrato de potasio es un agente efectivo en el tratamiento de la dentina hiperestésica.

Whiteness Perfect 16% de FGM
Blanqueamiento en Clínica
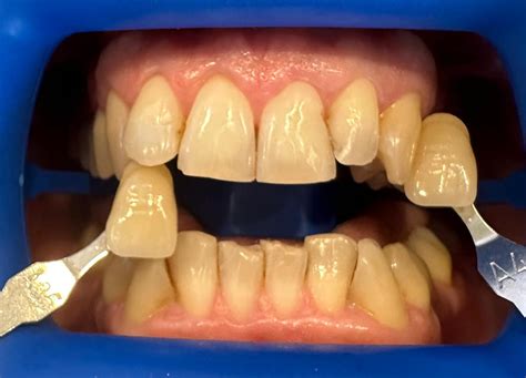
El blanqueamiento de clínica Whiteness HP AutoMixx tiene una base de peróxido de hidrógeno al 35%. El gel blanqueador se presenta en jeringas de cuerpo doble, donde están contenidos el peróxido y el espesante en compartimentos distintos.

Blanqueamiento dental en clínica
Desensibilizantes
Para combatir la sensibilidad dental, FGM ofrece:
- Desensibilize KF 0,2% y 2%: Jeringa de 2,5g con baja viscosidad a base de potasio y fluoruro de sodio que le confieren doble acción desensibilizante.
El nitrato de potasio es considerado un agente extremadamente efectivo en el tratamiento de la dentina hiperestésica.
Adhesivos
FGM cuenta con adhesivos de alta calidad para asegurar la unión entre la estructura dental y los materiales restauradores:
- Adhesivo Ambar APS: Adhesivo fotocurable para esmalte y dentina.
- Adhesivo Ambar Universal APS: Adhesivo para esmalte y dentina utilizado para diferentes protocolos de grabado: grabado ácido total, selectivo en esmalte o autograbante. Contiene MDP potenciado, un promotor de adhesión química para una mayor adhesión potencial.

Adhesión dental
Otros Productos
- Opus Bulk Fill Flow APS: Resina compuesta fotocurable de baja viscosidad, ideal como base y para relleno de restauraciones de clase I y II en incrementos de hasta 4mm. Contiene la exclusiva tecnología APS, patentada por FGM, que permite anticiparse al resultado final gracias a que no hay variaciones de color y opacidad antes y después del fotocurado.
- Whitepost: Postes de fibra de vidrio cónicos.
- Arc Flex: Retractor labial autoclavable, amplio campo de trabajo y muy cómodo para el paciente.
- Condac Porcelana: Gel grabador de ácido fluorhídrico al 10% para el grabado de piezas de porcelana. Se recomienda su uso para que el cemento de resina aumente su poder adhesivo.
Tabla Resumen de Productos FGM para Blanqueamiento Dental
| Producto | Concentración | Uso | Características |
|---|---|---|---|
| Whiteness Perfect | 16% Peróxido de Carbamida | Casero | Doble acción desensibilizante (Nitrato de Potasio y Fluoruro de Sodio) |
| White Class | 6% Peróxido de Hidrógeno | Casero | Paquete desensibilizante (Glicol, Agua, Nitrato de Potasio y Fluoruro de Sodio) |
| Whiteness HP AutoMixx | 35% Peróxido de Hidrógeno | Clínica | Gel en jeringas de cuerpo doble |
BLANQUEAR LOS DIENTES CON BICARBONATO 🦷✨ ¿Es bueno este remedio casero?

Logo de FGM Dental Group
tags: #fgm #blanqueamiento #dental