La salud bucal es fundamental para mantener una buena calidad de vida, especialmente en los niños. Entre las diversas afecciones que pueden afectar la cavidad oral, una de ellas es la fístula dental. En Dental Care Barcelona, sabemos perfectamente la preocupación que puede generar una fístula dental en las personas. Este problema dental, que se caracteriza por una infección que crea un conducto entre el diente y el exterior de la boca, puede ser muy doloroso y preocupante para nuestros pacientes.

¿Qué es una fístula dental?
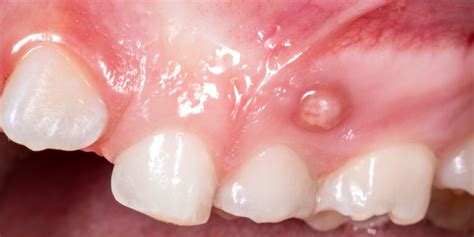
Una fístula dental es un pequeño canal que se forma desde la zona infectada del diente, que suele coincidir con el ápice de la raíz, hasta la superficie exterior de la encía. Es un conducto en forma de tubo que transporta fluidos como el pus desde un centro de inflamación al exterior. El principio de funcionamiento es similar al de un canal de drenaje.
¿Qué es un absceso? Por definición, un absceso es la cavidad en la que se acumula pus y aparece cuando un área o zona del cuerpo se infecta. El sistema inmunitario, para combatir dicha infección produce y envía glóbulos blancos, los cuales se acumulan en el tejido dañado y provocan la inflamación de este.
La principal diferencia entre un absceso y una fístula es que el absceso es una cavidad, mientras que la fístula es un túnel o canal. Es el propio organismo quien crea esta fístula, y lo hace tras detectar una infección dental. En dicha fístula se alberga el pus que se genera y que no somos capaces de drenar. Por lo tanto, aunque es una dolencia bucodental y una infección, también es un mecanismo que sirve de alerta.
¿Cuál es la diferencia entre fístulas dentales, aftas y abscesos?
- Aftas: Aunque las aftas tienen un aspecto similar a las fístulas dentales, su causa es completamente distinta: se producen cuando el sistema inmunitario provoca la muerte del tejido de la mucosa oral. Esto puede deberse al estrés, al debilitamiento del sistema inmunitario debido a una enfermedad o a una lesión. Los puntos amarillos blanquecinos del centro no son pus, sino decoloración.
- Abscesos: Al igual que las fístulas dentales, están causados por una inflamación bacteriana en el tejido gingival. Sin embargo, a diferencia de las fístulas, el pus que se forma como consecuencia de la inflamación no puede drenar por sí solo de los abscesos porque está completamente encapsulado y no hay ninguna abertura hacia la cavidad bucal. Por lo tanto, un absceso siempre debe abrirse mediante cirugía.
- Mientras que las aftas y los abscesos también pueden producirse en el paladar, en el interior de las mejillas o en la lengua, las fístulas dentales se forman exclusivamente en las encías, normalmente directamente encima o debajo de un diente o un implante.
Cuando se forma la fístula dental, aún no causa dolor. Al principio, la zona afectada se hincha. Las encías se enrojecen y hay una sensación de tensión en el diente. A continuación, se forma una ampolla en la encía, encima o debajo del diente afectado, que se llena de pus a medida que avanza. La fístula dental empieza a palpitar y doler. Puede que incluso se te hinche la cara del lado afectado y te duela la cabeza. Esto puede tardar varias semanas en desarrollarse.
Si se ha acumulado mucho pus y la presión es excesiva, la fístula dental se rompe y el pus se drena a la cavidad oral. Pero ¡cuidado! Esto no significa que la fístula dental se haya curado y haya desaparecido. Como la inflamación persiste, todo vuelve a empezar: la fístula dental vuelve a llenarse de pus hasta que estalla de nuevo.
Las fístulas dentales se producen exclusivamente en las encías. Sin embargo, también existen las llamadas fístulas orales, que se producen principalmente en los labios, el suelo de la boca, el paladar y en el seno maxilar y también están causadas por infecciones bacterianas.
Si una fístula dental se reconoce a tiempo, puede tratarse bien. Sin embargo, puede ser peligrosa si se deja sin tratar durante mucho tiempo. Algunos enfermos sólo acuden al dentista cuando ya tienen una fístula dental desde hace años. En el peor de los casos, una fístula dental también puede afectar a todo el cuerpo: Existe riesgo de envenenamiento de la sangre si la fístula dental se encapsula y se convierte en un absceso.
Absceso dental en niños: ¿Qué hago?
Causas de las fístulas dentales en niños
La formación de una fístula dental generalmente comienza con una caries dental no tratada. Una fístula dental es una lesión que se desarrolla como resultado de una infección dental no tratada. Esta infección puede ser causada por una caries profunda, un absceso dental o una infección en la raíz del diente. Las fístulas dentales pueden tener varias causas, pero generalmente están asociadas con problemas de salud oral que han progresado sin tratamiento adecuado.
El desencadenante más común del desarrollo de fístulas dentales es una infección bacteriana de la raíz del diente, especialmente de la punta de la raíz del diente. Una infección de este tipo se produce cuando un diente está infectado por caries y las bacterias pueden abrirse camino hasta la raíz del diente. La principal causa de una fístula dental es la falta de tratamiento de una infección dental.
Las bacterias que pueden infectar nuestros dientes suelen producirse por una mala y/o insuficiente higiene bucodental, una alimentación alta en azúcares o alguna lesión concreta. Una caries profunda: Las bacterias que producen la caries dentaria pueden llegar hasta la pulpa dental y generarnos una fístula.
Otras causas incluyen:
- Enfermedad periodontal: La periodontitis afecta a nuestras encías de manera grave, infectándolas y dañando el tejido blando. Esta patología puede llegar al hueso dentario.
- Muelas del juicio: los cordales, comúnmente conocidos como las muelas del juicio, son los que erupcionan en la edad adulta al final de nuestra boca y que puede producirnos algún que otro problema. Como su limpieza, por si situación, es algo complicada, puede producirnos caries al quedar alimentos atrapados en los huecos y encías.
- Traumatismos dentales: Un traumatismo en un diente puede dañar el tejido pulpar y provocar una infección que se propague a través de la raíz del diente hacia los tejidos circundantes.
- Endodoncia mal tratada: Una endodoncia mal tratada o con mala curación.
Las personas que rara vez se cepillan los dientes y no son especialmente meticulosas al hacerlo tienen un mayor riesgo de sufrir fístulas dentales porque son más propensas a padecer caries, periodontitis y enfermedades similares.
El estrés y la tensión mental afectan a todo el organismo y debilitan el sistema inmunitario. Los fumadores tienen hasta siete veces más probabilidades de desarrollar periodontitis que los no fumadores. Por eso no es de extrañar que sean especialmente propensos a las fístulas dentales. Fumar hace que toda la zona de la boca esté menos irrigada de sangre.

Síntomas de una fístula dental
La fístula al aparecer se presenta normalmente en la encía, en la cima superior del diente. Se trata, como bien indicábamos, de un bulto con pus producido por diferentes razones. Una fístula dental puede manifestarse a través de varios síntomas que indican la presencia de una infección en el diente o en los tejidos circundantes. Es importante saber detectar estos síntomas para buscar atención dental inmediata y recibir el tratamiento adecuado.
Los síntomas más comunes incluyen:
- Inflamación y enrojecimiento de las encías: Al principio, las encías se inflaman ligeramente y enrojecen.
- Dolor: El dolor es uno de los síntomas más característicos de una fístula dental. Puede manifestarse como un dolor punzante, pulsátil o constante en el área del diente afectado. Este dolor puede empeorar al masticar, hablar o aplicar presión sobre el diente comprometido. Cabe señalar que puedes padecer una fístula dental sin dolor. Son protuberancias que salen en la zona de las encías y que, aunque se inflaman, no siempre duelen.
- Absceso dental: Un absceso dental es una acumulación de pus causada por una infección bacteriana en el tejido dental. En el caso de una fístula dental, el absceso puede manifestarse como una protuberancia roja y dolorosa en las encías cerca del diente afectado. Esta protuberancia puede estar acompañada de sensibilidad al tacto y al calor, así como de hinchazón en el área circundante. Con el tiempo, la fístula dental se llena de pus y aparece un dolor punzante.
- Drenaje de pus: A medida que se llena, se forma una pequeña protuberancia en forma de grano cerca de las encías. Si se aplica mucha presión, el pus drena hacia la cavidad oral.
- Mal aliento: La infección asociada a una fístula dental puede causar mal aliento persistente, también conocido como halitosis. Los pacientes con fístulas dentales también pueden experimentar cambios en el sabor y olor de la saliva. Esto se debe a la presencia de pus y desechos bacterianos que se acumulan en el conducto de la fístula y se mezclan con la saliva.
- Movilidad dental: En algunos casos, las fístulas dentales pueden provocar una pérdida gradual de soporte dental, lo que resulta en una mayor movilidad de los dientes afectados.
- Fiebre: puede ir acompañada de dolor o fiebre.
Cuando se produce una infección dental, generalmente aparece asociada una hinchazón dentro y alrededor del sitio infectado. La presencia de una fístula no tiene porqué ir asociada con dolor, por ello se puede sentir la tentación de ignorar esa fístula dental.
Diagnóstico de una fístula dental
El diagnóstico de una fístula dental generalmente se realiza mediante un examen clínico realizado por un dentista. El dentista examinará las encías, realiza una prueba de frío y toma una radiografía. Durante el examen, el dentista examinará detenidamente su boca y buscará hinchazón, enrojecimiento, lesiones y otras anomalías en las encías. A continuación, realiza una prueba de frío para comprobar si la raíz o el nervio del diente siguen siendo plenamente funcionales o ya han muerto. Si el diente está sano, al paciente le resultará desagradable el frío y reaccionará en consecuencia. A continuación, se realiza una radiografía de la mandíbula para que el dentista pueda reconocer si los huesos maxilares ya están afectados por la inflamación y dónde se encuentra exactamente el foco inflamatorio.
El odontólogo, tras una revisión radiográfica, encontrará la fuente del problema, ofrecerá una serie de protocolos terapéuticos para el alivio temporal del dolor, si existiera, y elaborará un plan para curar el problema dental subyacente.
Si tu dentista descubre una fístula dental durante el embarazo, las cosas se complican un poco más. Como durante el embarazo se deben evitar las radiografías, tu dentista no podrá evaluar el alcance de la fístula dental.
Tratamiento de una fístula dental
El tratamiento de una fístula dental varía de una persona a otra y debe determinarla su dentista. Dependiendo de lo avanzada que esté la fístula dental, el dentista puede recomendar distintos tratamientos. Una vez realizado el diagnóstico, el tratamiento dependerá de la causa subyacente y la gravedad de la infección.

Las opciones de tratamiento incluyen:
- Antibióticos: El médico suele recetar antibióticos para eliminar las bacterias que causan la inflamación. Si te han diagnosticado una fístula dental, el dentista suele recetarte antibióticos para eliminar las bacterias que han causado la inflamación.
- Drenaje del absceso: En los casos menos graves de fístula dental, es posible que el enfoque inicial sea un tratamiento conservador. El dentista puede realizar un drenaje incidiendo el absceso para permitir que el pus y los desechos se eliminen del área afectada. El objetivo será drenar el pus que se ha ido generando y que no se expulsa.
- Tratamiento de conducto: Cuando la causa de la fístula dental es una caries profunda que ha llegado al nervio, lo más probable es que el odontólogo recomiende llevar a cabo una endodoncia. Este tratamiento de conductos del diente tiene la finalidad de retirar el nervio y sellar los canales cuando la infección ha llegado al interior de la pieza dental. Cuando la infección ha alcanzado la pulpa dental y amenaza la salud del diente, se puede recomendar un tratamiento endodóntico, también conocido como tratamiento de conducto radicular. El dentista perfora el diente infectado, lo drena y lo sella.
- Extracción dental: En situaciones más graves, cuando el diente está severamente dañado o no es viable para el tratamiento, puede ser necesario extraerlo. En casos graves de fístula dental, donde el daño al diente es extenso o el tratamiento endodóntico no es posible, puede ser necesario extraer el diente afectado.
- Cirugía bucal: A esto puede seguir una intervención quirúrgica en la que el dentista abre la fístula dental con un bisturí. Si es necesario, hay que extirpar la punta inflamada de la raíz del diente o extraer el diente entero. En situaciones más complejas, puede ser necesario realizar una cirugía bucal para eliminar la infección y reparar los tejidos dañados.
Tras la intervención quirúrgica, es importante que su dentista controle el proceso de cicatrización. De este modo, podrá asegurarse de que no se produzcan complicaciones ni una reinflamación inmediata. Incluso una vez finalizado el tratamiento, debe vigilar de cerca la zona afectada y someterse a revisiones periódicas por parte de su dentista. Esto se debe a que las fístulas dentales pueden reaparecer.
¡No! Por favor, no lo intentes bajo ninguna circunstancia. Una fístula dental no es un pequeño grano que se puede exprimir y ya está. Si aprietas o lanzas la fístula tú mismo, corres el riesgo de agravar la inflamación y retrasar el proceso de curación. Además, el pus que supura está lleno de bacterias, que pueden propagarse libremente por la boca.
Remedios caseros y homeopatía
No existe ningún remedio casero que pueda combatir la causa de las fístulas dentales, es decir, una raíz dental inflamada. Sólo un tratamiento dental puede hacerlo. No obstante, puede utilizar remedios caseros para usted o para su hijo que le ayuden a aliviar los síntomas. Algunas personas confían en los enjuagues bucales con té de manzanilla frío. También se dice que el aceite de clavo y el aceite de árbol de té ayudan con los síntomas de las fístulas dentales. Puedes enjuagarte la boca varias veces al día con agua tibia mezclada con dos o tres gotas de aceite.
El ajo y la cebolla tienen un efecto antibacteriano, antimicrobiano y antiinflamatorio. Puedes cortarlos en trozos pequeños y colocarlos sobre la zona afectada durante unos minutos para que se absorban. Al igual que los remedios caseros, puede utilizar remedios homeopáticos como los glóbulos y las sales de Schüssler para complementar el tratamiento dental. Sin embargo, nunca pueden sustituir al tratamiento con cirugía y/o antibióticos.
Nota: Hasta la fecha, el efecto de la homeopatía no se ha demostrado científicamente.
Prevención de fístulas dentales
La prevención es clave cuando se trata de fístulas dentales. Afortunadamente, tú mismo puedes hacer algo para prevenir la aparición de fístulas dentales. Las infecciones bacterianas responsables del desarrollo de fístulas dentales suelen estar causadas por una higiene bucal deficiente, ya que la placa no se elimina con regularidad o con la suficiente profundidad. Afortunadamente, tú tienes todo el control: puedes prevenir la caries, la gingivitis y la periodontitis prestando especial atención a una higiene bucal completa.

Medidas preventivas:
- Mantener una buena higiene oral: Cepillarse bien los dientes previene la inflamación causada por la acumulación de bacterias en la placa. Cepíllate los dientes al menos dos veces al día con un cepillo de dientes de cerdas suaves y utiliza hilo dental para eliminar la placa y los restos de alimentos entre los dientes. Una limpieza correcta de los dientes implica el cepillado después de cada comida y el uso de hilo dental una vez al día.
- Visitar regularmente al dentista: Acude a revisiones dentales periódicas, al menos cada seis meses, para un chequeo exhaustivo de tu salud bucal. Las visitas regulares al dentista son esenciales para detectar y tratar problemas dentales en etapas tempranas, antes de que se conviertan en afecciones más graves como las fístulas dentales.
- Tratar las caries y enfermedades periodontales de manera oportuna: Si se detecta una caries dental o enfermedad periodontal, es importante tratarlas de inmediato. Las caries sin tratar y la enfermedad periodontal avanzada pueden causar infecciones y provocar la formación de fístulas dentales. Si la gingivitis, la caries y la periodontitis se tratan a tiempo, no se formarán fístulas dentales.
- Evitar el consumo excesivo de alimentos azucarados: Los alimentos ricos en azúcares y carbohidratos pueden aumentar el riesgo de caries dental. Evitar alimentos azucarados: Los alimentos y bebidas azucaradas aumentan el riesgo de caries y pueden contribuir al desarrollo de fístulas dentales. Además, es importante evitar el tabaco, el alcohol y el exceso de azúcares en la dieta.
- Considerar una limpieza dental profesional: También puedes someterte a una limpieza dental profesional una o dos veces al año.
- Dieta saludable: Esto incluye una dieta sana con abundantes alimentos antiinflamatorios, como fruta y verdura, especialmente jengibre, cúrcuma, guindilla, cebolla y ajo. Debe evitar en gran medida el azúcar y los llamados carbohidratos "rápidos" (como los que se encuentran en la harina blanca) porque favorecen la inflamación. Una alimentación saludable es relevante para prevenir la formación de fístulas dentales y promover la salud bucal en general.
Dado que los fumadores tienen un mayor riesgo de sufrir fístulas dentales, ahora es un buen momento para dejar de fumar e iniciar un estilo de vida más saludable.
En el caso de la inflamación de la boca, suele ocurrir que los afectados no se dan cuenta inmediatamente de que algo va mal. Al igual que las fístulas dentales, que al principio no causan ningún dolor, la inflamación de las encías y la caries.
En Dental Care Barcelona, nos enorgullece ser una clínica dental cercana, de calidad y con una amplia experiencia avalada por todos los miles de pacientes satisfechos.