¿Tienes un diente que sale por la encía en un lugar inesperado o sientes un fragmento asomando? Es una situación que puede generar inquietud. En este artículo, te explicaré qué significa exactamente que un diente esté saliendo por la encía, por qué puede ocurrir, cómo identificar cuándo es normal y cuándo hay que preocuparse, qué síntomas observar y, sobre todo, qué hacer en cada caso.
Hola, soy Francisco Villoslada y a lo largo de mi carrera he ayudado a muchos pacientes preocupados por un diente que sale por la encía en un lugar inesperado. Como dentista, he visto varias causas por las que puede aparecer un diente por la encía de forma inesperada. Hablaremos de posibles tratamientos odontológicos, consejos para aliviar el dolor mientras esperas tu cita y cómo prevenir complicaciones en el futuro.

Causas comunes de la aparición de un diente o fragmento en la encía
- Erupción dental normal: En niños y adolescentes, lo más habitual es que un diente permanente esté saliendo en reemplazo de uno de leche. A veces el diente definitivo empieza a brotar en la encía antes de que el diente de leche haya caído, creando la apariencia de “doble fila” de dientes.
- Diente retenido o impactado: Ocurre cuando un diente no puede emerger completamente porque encuentra un obstáculo o falta de espacio. Las muelas del juicio y los colmillos (caninos) son los más propensos a quedar retenidos bajo la encía. En estos casos el diente puede salir parcialmente o en una posición anómala. Por ejemplo, la muela del juicio puede asomar solo una esquina causando inflamación a su alrededor. Un diente impactado permanece atrapado en el hueso o la encía, a veces mostrando solo una parte visible. Esto suele deberse a falta de espacio (apiñamiento dental), a que la mandíbula es pequeña o a que el diente está mal posicionado.
- Diente supernumerario (extra): En algunas personas existe un diente de más (lo llamamos diente supernumerario). Estos dientes adicionales pueden aparecer en cualquier parte del arco dental. A veces erupcionan en la encía cerca de los dientes normales, dando la impresión de un diente fuera de lugar. Un ejemplo común es el mesiodens, un diente pequeño extra que aparece entre los incisivos superiores o detrás de ellos. Si un diente supernumerario logra salir, puede notarse como un diente que no debería estar ahí.
- Fragmento de diente o hueso: En ocasiones, lo que parece un diente saliendo por la encía en realidad es un fragmento. Esto puede pasar después de una extracción dental o un traumatismo: pequeños trozos de raíz o esquirlas de hueso pueden quedar atrapados y con el tiempo el cuerpo los expulsa a través de la encía. El fragmento asoma como una punta blanca dura. Aunque técnicamente no es un diente completo, para el paciente puede lucir como “un pedazo de diente” que está emergiendo.
- Infecciones o quistes: Una infección bajo la encía (como un absceso dental) no hace que “nazca” un diente nuevo, pero la inflamación puede revelar la corona de un diente que estaba cubierto. Por ejemplo, un quiste relacionado con un diente retenido puede llegar a asomar y descubrir parte del diente oculto. Asimismo, una infección severa en un diente de leche puede reabsorber hueso y hacer que el diente permanente subyacente se vea antes de tiempo.
Cada causa es diferente. Algunas son parte del desarrollo normal, mientras que otras requieren evaluación y tratamiento. Notar un diente saliendo fuera de lugar genera dudas, pero no siempre es motivo de alarma.
Cuándo preocuparse: señales de alerta
Es normal ver dientes erupcionando en las edades adecuadas (infancia, adolescencia) aunque a veces sea de forma curiosa (detrás de otro diente, por ejemplo). También puede ser “normal” un diente del juicio asomando en la edad correspondiente siempre que ocurra sin síntomas graves. Hay que preocuparse cuando ocurre fuera de esas circunstancias, cuando hay síntomas de alarma, o si el diente parece quedar atrapado o dañado.
En niños (5-12 años)
Durante la etapa de recambio dental es normal que los nuevos dientes salgan por la encía mientras los de leche aún no se han caído. Por ejemplo, es frecuente que los incisivos inferiores definitivos aparezcan justo detrás de los de leche, dando ese aspecto de dientes en doble fila. Por lo general, no debe ser motivo de preocupación inicial.
Lo habitual es que la presión de la lengua y el propio desarrollo hagan que el diente de leche se afloje y caiga por sí solo en unas semanas, permitiendo al permanente colocarse en su sitio. Preocúpate solo si pasan muchas semanas y el diente de leche sigue firme y el definitivo sigue muy desplazado; en tal caso conviene consultar al odontopediatra para valorar extraer el de leche y evitar malposiciones. Mientras tanto, si no hay dolor ni inflamación, simplemente observen la evolución.
En adolescentes y adultos jóvenes
La aparición de las muelas del juicio es un proceso natural entre finales de la adolescencia y la juventud. Puede ser normal sentir que “está saliendo un diente” al fondo de la encía alrededor de los 18-25 años. Si la muela del juicio asoma recta y hay espacio suficiente, podría erupcionar sin mayor problema aparte de ligeras molestias.
Cuándo preocuparse
Si la muela del juicio sale parcialmente y notas hinchazón, dolor intenso o que empuja otros dientes. El dolor fuerte o inflamación notable no es “normal” y sugiere que el diente está impactado o causando infección (pericoronaritis). En ese caso hay que acudir al dentista.
Diente apareciendo en una ubicación anómala
Si de pronto ves un diente atravesando la encía en un lugar donde la arcada dentaria ya está completa (por ejemplo, un canino extra arriba del incisivo, o un diente en el paladar/encía delantera), no es normal en el sentido de la dentición típica. Probablemente se trate de un diente supernumerario o un diente retenido que encontró otra salida. Aunque puede que no duela, sí es motivo de evaluación, ya que podría afectar la alineación o salud de tus otros dientes.
Sí hay dolor, sangrado o pus
El dolor intenso, sangrado espontáneo de la encía o presencia de pus nunca se consideran normales. Un leve malestar o pequeñas molestias cuando un diente rompe la encía sí pueden ser normales (por ejemplo, en la salida de un diente del bebé o la erupción de un colmillo, es común cierta molestia y algo de dolor de encías alrededor). Pero alerta roja si hay dolor agudo que no cede, inflamación importante, la encía muy enrojecida, supuración (pus) o incluso fiebre.

Síntomas asociados a la erupción dental
Cuando un diente está erupcionando o asomando por la encía, puedes experimentar diferentes síntomas. Algunos son leves y esperables, pero otros son señales de alarma que indican que algo no va bien.
- Molestia o dolor leve: Es normal sentir cierta sensibilidad en la encía donde el diente empuja para salir. Puede ser un dolor sordo o pequeñas punzadas, tolerable con analgésicos suaves.
- Encía inflamada localmente: Alrededor del diente que asoma, la encía puede verse un poco hinchada o más rojiza. Esto pasa porque el tejido gingival está abriéndose para dejar pasar al diente.
- Ligero sangrado: A veces al cepillarte los dientes o morder algo duro, la encía sobre el diente que está saliendo puede sangrar un poquito. Un diente “cortando” la encía puede generar pequeñas laceraciones.
- Presión o cuerpo extraño: Sensación de que hay “algo ahí”. Muchos pacientes notan con la lengua la punta del diente nuevo o fragmento saliendo.
- Dolor intenso o agudo: Si el dolor es fuerte, constante o empeora con los días, no lo ignores. Un dolor severo puede indicar que el diente está impactado, presionando nervios o provocando infección.
- Encía muy inflamada, enrojecida o con pus: Una inflamación pronunciada, que incluso cause dificultad para abrir la boca o comer, es señal de posible infección. Si además ves pus (un líquido amarillo-blanquecino con mal sabor) o sientes mal olor, es probable que haya un absceso dental o una infección llamada pericoronaritis alrededor del diente parcialmente erupcionado.
- Fiebre o malestar general: Tener fiebre, ganglios inflamados en el cuello o sentirte decaído/a sugiere que la infección se está propagando.
- Diente móvil o fragmento suelto: Si lo que asoma se mueve al tocarlo con la lengua o dedos (con suavidad y limpieza, claro), podría no ser un diente sano erupcionando sino un trozo suelto. Un fragmento residual o un diente de leche retenido que ya se está cayendo pueden moverse.
- Dolor al morder o masticar, mala oclusión: Si el diente que está saliendo choca con el de arriba o abajo al cerrar la boca, causando dolor o impidiendo morder bien, es un problema. Por ejemplo, en el caso de un diente permanente que sale por detrás de uno de leche, puede generar una mordida incómoda o desviada.
- Encía creciendo sobre el diente (pericoronaritis): En las muelas del juicio a medio salir es común que un colgajo de encía las cubra parcialmente. Si esa encía accesoria se inflama mucho y duele, es señal de pericoronaritis (infección de la encía sobre la muela) y es una señal de alarma.
En presencia de cualquiera de estas señales de alarma, te recomiendo enfáticamente buscar atención odontológica pronto. Son indicios de que el proceso de erupción no está siendo normal y podrías necesitar tratamiento (ya sea aliviar la infección, facilitar la salida del diente o extraerlo).
Qué hacer si ves un diente saliendo por la encía
Encontrarte frente al espejo con un diente asomando por la encía puede generar un poco de susto, pero mantén la calma.
- Examínalo con cuidado: Lávate bien las manos y con un dedo limpio (o ayudándote de un espejo y buena luz) observa la zona. Intenta determinar si es realmente un diente completo que está erupcionando, o parece un fragmento pequeño. Fíjate si alrededor está rojo, si sale pus al presionar suavemente, o si duele mucho.
- Mantén una buena higiene oral: Es importante que la zona esté limpia. Cepilla tus dientes con suavidad, incluso las encías cercanas, para evitar acumulación de placa. Si el área está sensible, usa un cepillo de cerdas suaves e intenta remover delicadamente cualquier resto de comida atrapado. También puedes enjuagarte con cuidado.
- No intentes removerlo tú mismo: Si ves un fragmento blanco, por mucha tentación que tengas de jalarlo o arrancarlo, no lo hagas en casa. Podrías romperlo dejándolo a ras de encía o lastimarte e infectar la zona. Incluso si es un diente de leche colgando, es preferible dejar que el niño lo afloje naturalmente o que lo retire el dentista con instrumental estéril, salvo que ya esté muy muy flojo (en ese caso el niño con la lengua suele poder sacarlo sin dolor).
- Aplica medidas de alivio (si hay molestias): Si duele o la encía está inflamada, puedes enjuagarte suavemente con agua tibia con sal (medio vaso de agua tibia con una cucharadita de sal) para reducir la inflamación y limpiar. También, colocar un cubito de hielo envuelto en un paño sobre la mejilla cerca del área puede calmar la hinchazón.
- Observa la evolución por 1-2 días: Si no tienes síntomas de alarma graves, puedes monitorear el progreso por uno o dos días. En niños, quizá el diente de leche comience a aflojarse; en adultos, tal vez notes si el fragmento se mueve más, o si la inflamación baja o aumenta. Cualquier mejoría (menos dolor, la encía se ve mejor) es buena señal.
- Agenda una cita con el dentista: Ante la duda, es mejor que un profesional evalúe. Si es un caso sin urgencia (por ejemplo, un niño con diente definitivo saliendo pero sin dolor), pide una cita normal para próximos días. Si hay dolor fuerte, infección o no estás seguro de qué es, comunícate cuanto antes; muchos dentistas dejan huecos para emergencias. En la consulta, el odontólogo revisará clínicamente y seguramente hará una radiografía de la zona para ver qué está pasando debajo de la encía (ver la posición del diente, si hay más fragmentos, etc.). Esto es crucial para decidir el tratamiento correcto.
- Evita irritantes mientras tanto: Hasta ser visto por el profesional, trata la zona con cuidado. Evita alimentos muy duros que puedan golpear ese lugar, así como comidas muy calientes o picantes que puedan irritar la encía inflamada.
Si ves un diente o fragmento saliendo por tu encía, mantén la calma, cuida la higiene, alivia las molestias de forma segura y busca orientación profesional. El tratamiento va a depender completamente de qué esté ocurriendo con ese diente que sale por la encía.
Exodoncia COMPLEJA tercer molar incluido - Video 3D paso a paso
Tratamientos odontológicos para dientes que erupcionan incorrectamente
- Extracción del diente retenido o supernumerario: Si se determina que el diente en cuestión no debería estar ahí o no va a poder erupcionar correctamente, la solución más común es extraerlo. Por ejemplo, una muela del juicio impactada que solo asoma una parte y provoca infecciones recurrentes suele recomendarse extraerla quirúrgicamente. Esto se hace con anestesia local (a veces sedación si el paciente está muy ansioso o es una cirugía compleja) y puede realizarlo el dentista general o un cirujano oral. Del mismo modo, un diente supernumerario que está saliendo en medio del paladar o entre dientes probablemente será removido para evitar problemas de alineación. La extracción elimina la causa de dolor o infección de raíz y permite que la encía sane.
- Exposición quirúrgica y ortodoncia: En casos de un diente permanente importante (por ejemplo, un canino) que esté incluido (retenido dentro del hueso) pero que se necesita en la arcada, a veces planificamos un tratamiento combinado: se realiza una pequeña cirugía para descubrir el diente (quitar encía y quizás hueso sobre él) y se le pega un bracket u otro aditamento para, mediante ortodoncia, irlo traccionando suavemente hasta su posición correcta. Este procedimiento es común en ortodoncia cuando un colmillo no ha salido espontáneamente.
- Cirugía de encía (operculectomía): Si el problema es que la encía cubre parcialmente al diente y se inflama (como en la pericoronaritis de una muela del juicio parcialmente erupcionada), una solución menor es realizar una operculectomía. Consiste en recortar y remover ese colgajo de encía que está sobrando sobre el diente, dejando el diente descubierto. Esto puede evitar que sigan acumulándose bacterias debajo de la encía. Se hace con anestesia local y es rápido.
- Tratamiento de la infección: Si llegas a la consulta con una infección activa (encía con absceso, pus, etc.), lo primero será controlar la infección. Esto puede implicar drenar el absceso (abrir un poquito la encía para que salga el pus), limpiar la zona profundamente y recetar antibióticos durante unos días. Solo cuando la infección esté controlada se procederá con el tratamiento definitivo del diente (sea extracción u otro). En caso de un absceso dental en un diente que se va a conservar, podría requerir tratamiento de conducto (endodoncia) para eliminar la infección desde la raíz.
- Brackets u otros tratamientos de ortodoncia: Si el diente salió en un lugar incorrecto pero es un diente permanente que queremos conservar, el ortodoncista puede corregir su posición con brackets u otros aparatos.
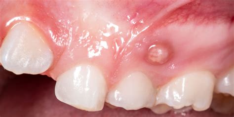
¿Qué es una fístula dental y cómo se relaciona con la aparición de un diente en la encía?
La fístula dental es una de las afecciones más comunes y molestas que pueden padecer nuestros pacientes. Esto es una fístula dental, o absceso periapical, es una acumulación de pus en un tejido periodontal, que puede abrirse y generar una vía de salida del pus, lo que provoca dolor.
Llamamos fístula dental al canal que se origina desde la zona infectada de un diente hasta la superficie exterior de la encía. En ese canal se acaba depositando pus y, conforme se llena, se crea una protuberancia o grano próximo a las encías. Es el propio organismo quien crea esta fístula, y lo hace tras detectar una infección dental. En dicha fístula se alberga el pus que se genera y que no somos capaces de drenar.
Cuando se habla de fístulas, hay personas que tienden a utilizarlo como sinónimo de otro término popular en medicina: el absceso. Por definición, un absceso es la cavidad en la que se acumula pus y aparece cuando un área o zona del cuerpo se infecta. El sistema inmunitario, para combatir dicha infección produce y envía glóbulos blancos, los cuales se acumulan en el tejido dañado y provocan la inflamación de este.
La principal diferencia entre un absceso y una fístula es que el absceso es una cavidad, mientras que la fístula es un túnel o canal. Como indicábamos, el origen de la fístula dental es habitualmente un absceso que presiona.
Causas de una fístula dental
- La principal causa de una fístula dental es una caries profunda o mal curada.
- Otra de las causas más comunes es la enfermedad periodontal.
- La salida de los cordales o muelas del juicio, los cuales suelen erupcionar en la edad adulta.
- La periodontitis, que es una patología por la que se producen infecciones en las encías y que pueden llegar al hueso del diente.
- Una endodoncia mal tratada o con mala curación.
Cabe señalar que puedes padecer una fístula dental sin dolor. Son protuberancias que salen en la zona de las encías y que, aunque se inflaman, no siempre duelen.
Las bacterias que pueden infectar nuestros dientes suelen producirse por una mala y/o insuficiente higiene bucodental, una alimentación alta en azúcares o alguna lesión concreta. Con cualquiera de estos síntomas, lo mejor es que recurras a tu dentista para que realice el diagnóstico y, después, aplique un tratamiento para tu fístula dental.

Tratamientos para la fístula dental
- Lo primero que se debe hacer es frenar la infección para que desaparezca el problema que está causando la fístula.
- Aplicar frío en la zona de la protuberancia y por fuera de la boca.
- Realizar una incisión en el absceso. El objetivo será drenar el pus que se ha ido generando y que no se expulsa.
- Aplicar un tratamiento de conducto. El dentista perfora el diente infectado, lo drena y lo sella.
- Extraer el diente infectado.
Además, recordemos que una fístula dental es una infección y si no se elimina correctamente, puede propagarse. Para prevenir esa expansión de la bacteria lo normal es que tu dentista te recete antibióticos.
Gracias al antibiótico mejorará la sintomatología pero no se tratará la causa que originó el problema. Recuerda que quien mejor puede aconsejarte a la hora de luchar contra una fístula es tu dentista.