La salud bucal es fundamental para mantener una buena calidad de vida. Sin embargo, existen diversas afecciones que pueden afectar la cavidad oral y una de ellas es la fístula dental. En este artículo, te explicamos cuáles son sus características, a qué se debe y qué tratamientos existen para eliminarla.
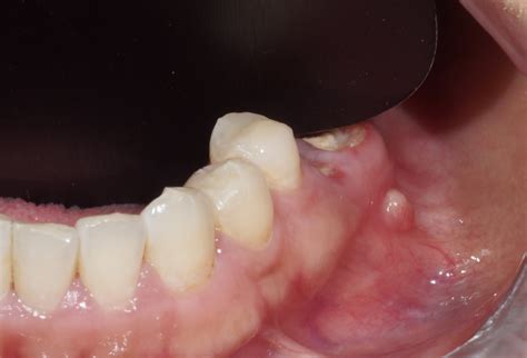
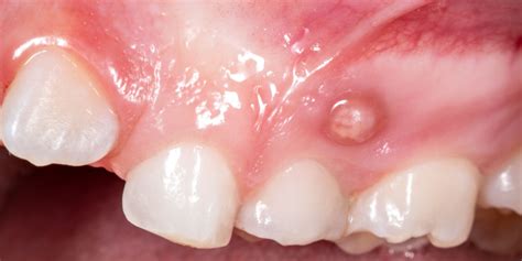
Llamamos fístula dental al canal que se origina desde la zona infectada de un diente hasta la superficie exterior de la encía. En ese canal se acaba depositando pus y, conforme se llena, se crea una protuberancia o grano próximo a las encías. Una fístula dental es una pequeña abertura o canal anormal que se forma en la encía o en la región cercana a la raíz de un diente infectado. El pasaje actúa como depósito de pus y a medida que se llena, se forma una pequeña protuberancia en forma de grano cerca de las encías.
Es importante reconocer los síntomas de una fístula dental para realizar tratamiento lo antes posible. Si sospechas que tienes una fístula dental, es crucial que acudas a visitarnos lo antes posible. Una fístula dental no debe ignorarse.
👉 ¿Sabes cómo se quita un BULTO en la ENCÍA? 👄 TIPOS de bulto y CÓMO ELIMINARLOS
¿Qué es una Fístula Dental?
Una fístula dental es una afección oral que implica la formación de un conducto anormal entre el diente y el exterior de la boca. Esta conexión anormal se crea como resultado de una infección dental que ha progresado y se ha extendido más allá de la raíz del diente, formando un absceso. La fístula actúa como un conducto de drenaje para permitir que el pus y los desechos de la infección se eliminen del cuerpo.
Una fístula dental es una afección provocada por la formación de un conducto de drenaje que conecta una infección en la raíz del diente con la superficie de la encía o la piel. Una caries profunda: Las bacterias que producen la caries dentaria pueden llegar hasta la pulpa dental y generarnos una fístula.
Es el propio organismo quien crea esta fístula, y lo hace tras detectar una infección dental. En dicha fístula se alberga el pus que se genera y que no somos capaces de drenar. Por lo tanto, aunque es una dolencia bucodental y una infección, también es un mecanismo que sirve de alerta.
La creación de una fístula dental se produce debido a la propagación de una infección en el diente o en los tejidos circundantes. Normalmente, la infección se origina en el interior del diente, en la pulpa dental, donde se encuentra el tejido blando, los nervios y los vasos sanguíneos. La principal causa de una fístula dental es la falta de tratamiento de una infección dental.
Diferencia entre Fístula y Absceso
Cuando se habla de fístulas, hay personas que tienden a utilizarlo como sinónimo de otro término popular en medicina: el absceso. Por definición, un absceso es la cavidad en la que se acumula pus y aparece cuando un área o zona del cuerpo se infecta. El sistema inmunitario, para combatir dicha infección produce y envía glóbulos blancos, los cuales se acumulan en el tejido dañado y provocan la inflamación de este.
Un absceso dental es una acumulación de pus en el área infectada. La principal diferencia entre un absceso y una fístula es que el absceso es una cavidad, mientras que la fístula es un túnel o canal.
Los abscesos -al igual que las fístulas dentales- están causados por una inflamación bacteriana en el tejido gingival. Sin embargo, a diferencia de las fístulas, el pus que se forma como consecuencia de la inflamación no puede drenar por sí solo de los abscesos porque está completamente encapsulado y no hay ninguna abertura hacia la cavidad bucal. Por lo tanto, un absceso siempre debe abrirse mediante cirugía.

Causas de la Fístula Dental
Precisamente esa aclaración que hacíamos sobre la diferencia entre fístula y absceso nos sirve también para hablar de las causas. Como indicábamos, el origen de la fístula dental es habitualmente un absceso que presiona. Las fístulas dentales pueden tener varias causas, pero generalmente están asociadas con problemas de salud oral que han progresado sin tratamiento adecuado.
La formación de una fístula dental puede ser el resultado de distintos motivos y causas.
Las fístulas dentales se producen cuando una inflamación de la raíz del diente se extiende al tejido circundante y se extiende más allá. El desencadenante más común del desarrollo de fístulas dentales es una infección bacteriana de la raíz del diente, especialmente de la punta de la raíz del diente. Una infección de este tipo se produce cuando un diente está infectado por caries y las bacterias pueden abrirse camino hasta la raíz del diente.
La formación de una fístula dental generalmente comienza con una caries dental no tratada. Cuando las bacterias causantes de caries atacan y debilitan el esmalte dental, pueden penetrar en la pulpa dental, donde se encuentran los nervios y los vasos sanguíneos. A medida que la infección progresa, el cuerpo intenta combatirla formando un absceso dental, qué es una acumulación de pus en el área afectada. Si el absceso no se trata, la presión del pus puede causar la formación de un conducto de drenaje hacia el exterior de la boca, lo que da lugar a la fístula dental.
Las principales causas son:- Caries profunda: es la causa principal de la mayoría de fístulas dentales. La caries se va extendiendo hasta atravesar el nervio y llegar a la raíz del diente. Cuando el pus se acumula, busca un canal de salida hacia los tejidos blandos de la encía.
- La salida de los cordales o muelas del juicio: los cuales suelen erupcionar en la edad adulta. Como su limpieza, por si situación, es algo complicada, puede producirnos caries al quedar alimentos atrapados en los huecos y encías.
- La enfermedad periodontal: La periodontitis afecta a nuestras encías de manera grave, infectándolas y dañando el tejido blando. Esta patología puede llegar al hueso dentario.
- Una endodoncia mal tratada o con mala curación.
- Traumatismo: por último, recibir un golpe en la cara podría llegar a causar una infección y necrosis del nervio y una fístula.
Las bacterias que pueden infectar nuestros dientes suelen producirse por una mala y/o insuficiente higiene bucodental, una alimentación alta en azúcares o alguna lesión concreta. Las personas que rara vez se cepillan los dientes y no son especialmente meticulosas al hacerlo tienen un mayor riesgo de sufrir fístulas dentales porque son más propensas a padecer caries, periodontitis y enfermedades similares.
Las infecciones bacterianas en la boca, como la periodontitis o la pulpitis, también pueden provocar la formación de fístulas dentales. La periodontitis es una enfermedad de las encías que afecta los tejidos que rodean y soportan los dientes. Si no se trata, puede provocar la destrucción del tejido óseo y la formación de bolsas periodontales que actúan como reservorios de bacterias.
Síntomas de una Fístula Dental
Cabe señalar que puedes padecer una fístula dental sin dolor. Son protuberancias que salen en la zona de las encías y que, aunque se inflaman, no siempre duelen.
Una fístula dental puede manifestarse a través de varios síntomas que indican la presencia de una infección en el diente o en los tejidos circundantes. Es importante saber detectar estos síntomas para buscar atención dental inmediata y recibir el tratamiento adecuado.
La fístula al aparecer se presenta normalmente en la encía, en la cima superior del diente. Se trata, como bien indicábamos, de un bulto con pus producido por diferentes razones. Al principio, las encías se inflaman ligeramente y enrojecen. Con el tiempo, la fístula dental se llena de pus y aparece un dolor punzante. Si se aplica mucha presión, el pus drena hacia la cavidad oral. Cuando se forma la fístula dental, aún no causa dolor. Al principio, la zona afectada se hincha. Las encías se enrojecen y hay una sensación de tensión en el diente. A continuación, se forma una ampolla en la encía, encima o debajo del diente afectado, que se llena de pus a medida que avanza. La fístula dental empieza a palpitar y doler. Puede que incluso se te hinche la cara del lado afectado y te duela la cabeza.
Los síntomas más comunes incluyen:- Dolor e inflamación: Una de las primeras señales de una fístula dental es el dolor en la zona afectada. La infección en la raíz del diente puede provocar sensibilidad al calor y al frío, así como dolor constante o punzante. El dolor es uno de los síntomas más característicos de una fístula dental. Puede manifestarse como un dolor punzante, pulsátil o constante en el área del diente afectado. Este dolor puede empeorar al masticar, hablar o aplicar presión sobre el diente comprometido.
- Abscesos dentales: La presencia de una fístula dental puede dar lugar a la formación de abscesos dentales. Un absceso dental es una acumulación de pus causada por una infección bacteriana en el tejido dental. En el caso de una fístula dental, el absceso puede manifestarse como una protuberancia roja y dolorosa en las encías cerca del diente afectado. Esta protuberancia puede estar acompañada de sensibilidad al tacto y al calor, así como de hinchazón en el área circundante.
- Mal aliento: La infección asociada a una fístula dental puede causar mal aliento persistente, también conocido como halitosis.
- Movilidad dental: En algunos casos, las fístulas dentales pueden provocar una pérdida gradual de soporte dental, lo que resulta en una mayor movilidad de los dientes afectados.
- Cambios en el sabor y olor de la saliva: Los pacientes con fístulas dentales también pueden experimentar cambios en el sabor y olor de la saliva. Esto se debe a la presencia de pus y desechos bacterianos que se acumulan en el conducto de la fístula y se mezclan con la saliva.
Diagnóstico de la Fístula Dental
El diagnóstico de una fístula dental generalmente se realiza mediante un examen clínico realizado por un dentista. Durante el examen, el dentista examinará detenidamente su boca y buscará hinchazón, enrojecimiento, lesiones y otras anomalías en las encías. Nuestro dentista examinará la cavidad oral y buscará signos de inflamación, abscesos o salidas de pus cerca de los dientes afectados.
A continuación, realiza una prueba de frío para comprobar si la raíz o el nervio del diente siguen siendo plenamente funcionales o ya han muerto. Si el diente está sano, al paciente le resultará desagradable el frío y reaccionará en consecuencia. A continuación, se realiza una radiografía de la mandíbula para que el dentista pueda reconocer si los huesos maxilares ya están afectados por la inflamación y dónde se encuentra exactamente el foco inflamatorio.
Para diagnosticar esta afección, el dentista examinará el bulto y hará una radiografía oral para evaluar su tamaño y su alcance. Si tu dentista descubre una fístula dental durante el embarazo, las cosas se complican un poco más. Como durante el embarazo se deben evitar las radiografías, tu dentista no podrá evaluar el alcance de la fístula dental.

Tratamiento de la Fístula Dental
Con cualquiera de estos síntomas, lo mejor es que recurras a tu dentista para que realice el diagnóstico y, después, aplique un tratamiento para tu fístula dental. El tratamiento de una fístula dental se centra en eliminar la infección y restaurar la salud del diente afectado.
Dependiendo de lo avanzada que esté la fístula dental, el dentista puede recomendar distintos tratamientos. La forma de tratar una fístula dental varía de una persona a otra y debe determinarla su dentista. Una vez realizado el diagnóstico, el tratamiento dependerá de la causa subyacente y la gravedad de la infección.
El tratamiento de una fístula dental se centra en eliminar la infección y restaurar la salud del diente afectado. Si no se trata, la infección puede extenderse a otras áreas de la boca y del cuerpo, causando complicaciones graves. En algunos casos, puede ser necesario drenar el absceso para aliviar el dolor y la presión.
Los tratamientos comunes incluyen:- Realizar una incisión en el absceso: El objetivo será drenar el pus que se ha ido generando y que no se expulsa. El dentista puede realizar un drenaje incidiendo el absceso para permitir que el pus y los desechos se eliminen del área afectada.
- Aplicar un tratamiento de conducto: El dentista perfora el diente infectado, lo drena y lo sella. Cuando la infección ha alcanzado la pulpa dental y amenaza la salud del diente, se puede recomendar un tratamiento endodóntico, también conocido como tratamiento de conducto radicular. Una vez que los conductos están limpios, se rellenan con un material de obturación para prevenir futuras infecciones. Cuando la causa de la fístula dental es una caries profunda que ha llegado al nervio, lo más probable es que el odontólogo recomiende llevar a cabo una endodoncia. Este tratamiento de conductos del diente tiene la finalidad de retirar el nervio y sellar los canales cuando la infección ha llegado al interior de la pieza dental.
- Extracción dental: En algunos casos, si el diente afectado está gravemente dañado o no se puede salvar, puede ser necesario extraerlo. En casos graves de fístula dental, donde el daño al diente es extenso o el tratamiento endodóntico no es posible, puede ser necesario extraer el diente afectado. En ocasiones, el profesional quizás determine que no se puede salvar la pieza y proponga su extracción, que es lo que se conoce como exodoncia.
- Cirugía bucal: En situaciones más complejas, puede ser necesario realizar una cirugía bucal para eliminar la infección y reparar los tejidos dañados.
- Antibióticos: Además, recordemos que una fístula dental es una infección y si no se elimina correctamente, puede propagarse. Para prevenir esa expansión de la bacteria lo normal es que tu dentista te recete antibióticos. Si te han diagnosticado una fístula dental, el dentista suele recetarte antibióticos para eliminar las bacterias que han causado la inflamación. De forma paralela a estos tratamientos, el dentista podría prescribir antibióticos para tratar la infección subyacente.
Gracias al antibiótico mejorará la sintomatología pero no se tratará la causa que originó el problema. En algunos casos, la terapia antibiótica ya es suficiente. Sin embargo, a menudo el dentista tiene que utilizar un bisturí y abrir la fístula con una pequeña incisión bajo anestesia local. El dentista también utilizará la radiografía para evaluar si son necesarias medidas adicionales: Si la fístula dental ha sido causada por una inflamación de la punta de la raíz del diente, el foco de inflamación puede eliminarse mediante una apicectomía para evitar que la inflamación siga extendiéndose, ya sea mediante un tratamiento con láser o como procedimiento quirúrgico clásico.
Si la inflamación es claramente limitada y ya se ha eliminado la causa, es posible que tu dentista no quiera tratar la fístula dental con antibióticos, sino que te pida que utilices un colutorio antibacteriano. Si siente un dolor intenso y necesita acortar el tiempo de espera hasta la cita con el dentista, puede tomar analgésicos sin receta que contengan el principio activo Ibuprofeno . Estos analgésicos tienen un efecto antiinflamatorio.
Tras la intervención quirúrgica, es importante que su dentista controle el proceso de cicatrización. De este modo, podrá asegurarse de que no se produzcan complicaciones ni una reinflamación inmediata. Incluso una vez finalizado el tratamiento, debe vigilar de cerca la zona afectada y someterse a revisiones periódicas por parte de su dentista. Esto se debe a que las fístulas dentales pueden reaparecer.
Remedios Caseros
No existe ningún remedio casero que pueda combatir la causa de las fístulas dentales, es decir, una raíz dental inflamada. Sólo un tratamiento dental puede hacerlo. No obstante, puede utilizar remedios caseros para usted o para su hijo que le ayuden a aliviar los síntomas.
Algunas personas confían en los enjuagues bucales con té de manzanilla frío. También se dice que el aceite de clavo y el aceite de árbol de té ayudan con los síntomas de las fístulas dentales. Puedes enjuagarte la boca varias veces al día con agua tibia mezclada con dos o tres gotas de aceite. El ajo y la cebolla tienen un efecto antibacteriano, antimicrobiano y antiinflamatorio. Puedes cortarlos en trozos pequeños y colocarlos sobre la zona afectada durante unos minutos para que se absorban.
Al igual que los remedios caseros, puede utilizar remedios homeopáticos como los glóbulos y las sales de Schüssler para complementar el tratamiento dental. Sin embargo, nunca pueden sustituir al tratamiento con cirugía y/o antibióticos.
Nota: Hasta la fecha, el efecto de la homeopatía no se ha demostrado científicamente.
¿Se puede exprimir una fístula dental?
¡No! Por favor, no lo intentes bajo ninguna circunstancia. Una fístula dental no es un pequeño grano que se puede exprimir y ya está. Si aprietas o lanzas la fístula tú mismo, corres el riesgo de agravar la inflamación y retrasar el proceso de curación. Además, el pus que supura está lleno de bacterias, que pueden propagarse libremente por la boca.
Consecuencias de no tratar una Fístula Dental
La presencia de una fístula dental puede tener varias consecuencias negativas para la salud bucal y general de una persona.
Si no se trata adecuadamente, las fístulas dentales pueden permitir la propagación de la infección a estructuras vecinas, como el hueso, los tejidos blandos o los dientes adyacentes.
Si una fístula dental se reconoce a tiempo, puede tratarse bien. Sin embargo, puede ser peligrosa si se deja sin tratar durante mucho tiempo. Algunos enfermos sólo acuden al dentista cuando ya tienen una fístula dental desde hace años . En el peor de los casos, una fístula dental también puede afectar a todo el cuerpo: Existe riesgo de envenenamiento de la sangre si la fístula dental se encapsula y se convierte en un absceso.
Dolor e incomodidad: Una fístula dental generalmente está acompañada de dolor e incomodidad en la zona afectada. Infecciones recurrentes: La presencia de una fístula dental indica la existencia de una infección en el área. Si no se trata adecuadamente, esta infección puede persistir y provocar episodios recurrentes de inflamación y dolor. Pérdida ósea y daño dental: La infección asociada a una fístula dental puede provocar la pérdida de hueso en la mandíbula y el deterioro del tejido dental. Abscesos dentales: Una fístula dental puede estar relacionada con la formación de abscesos dentales, que son acumulaciones de pus causadas por infecciones bacterianas.
Prevención de la Fístula Dental
Afortunadamente, tú mismo puedes hacer algo para prevenir la aparición de fístulas dentales. La prevención es clave cuando se trata de fístulas dentales.
Prevenir la formación de fístulas dentales es fundamental para mantener una salud bucal óptima.
Para protegerse de las infecciones bacterianas antes y después de la cirugía oral, puede utilizar un enjuague bucal con clorhexidina. Con un sistema inmunitario debilitado, las bacterias lo tienen especialmente fácil y pueden propagarse con rapidez. Las personas con diabetes y asma, por ejemplo, tienen un mayor riesgo de desarrollar fístulas dentales. Lo mismo ocurre después de un trasplante de células madre o de quimioterapia, por ejemplo durante el tratamiento del cáncer de laringe .
Responder a esta pregunta de modo tajante es complicado, ya que hay fístulas que aparecen incluso habiendo tomado precauciones de un modo firme. Pero, sin duda, hay una serie de recomendaciones y hábitos que son muy útiles a la hora de mantener una boca y unos dientes sanos y, consecuentemente, reducir las posibilidades de aparición de una fístula dental.
Las medidas preventivas incluyen:- Mantener una buena higiene oral: Cepíllate los dientes al menos dos veces al día con un cepillo de dientes de cerdas suaves y utiliza hilo dental para eliminar la placa y los restos de alimentos entre los dientes. Las infecciones bacterianas responsables del desarrollo de fístulas dentales suelen estar causadas por una higiene bucal deficiente, ya que la placa no se elimina con regularidad o con la suficiente profundidad. Afortunadamente, tú tienes todo el control: puedes prevenir la caries, la gingivitis y la periodontitis prestando especial atención a una higiene bucal completa.
- Visitas regulares al dentista: Acude a revisiones dentales periódicas, al menos cada seis meses, para un chequeo exhaustivo de tu salud bucal. Acudir al dentista de manera regular es fundamental para detectar y tratar cualquier problema dental a tiempo.
- Tratar las caries y enfermedades periodontales de manera oportuna: Si se detecta una caries dental o enfermedad periodontal, es importante tratarlas de inmediato. Las caries sin tratar y la enfermedad periodontal avanzada pueden causar infecciones y provocar la formación de fístulas dentales. El tratamiento oportuno de caries y enfermedades periodontales es crucial para prevenir la formación de fístulas dentales.
- Evitar el consumo excesivo de alimentos azucarados: Los alimentos ricos en azúcares y carbohidratos pueden aumentar el riesgo de caries dental. El consumo excesivo de alimentos y bebidas azucaradas puede aumentar el riesgo de caries y, en consecuencia, de fístulas dentales. Debe evitar en gran medida el azúcar y los llamados carbohidratos "rápidos" (como los que se encuentran en la harina blanca) porque favorecen la inflamación.
- No fumar: Los fumadores tienen hasta siete veces más probabilidades de desarrollar periodontitis que los no fumadores. Por eso no es de extrañar que sean especialmente propensos a las fístulas dentales. Fumar hace que toda la zona de la boca esté menos irrigada de sangre. Dado que los fumadores tienen un mayor riesgo de sufrir fístulas dentales, ahora es un buen momento para dejar de fumar e iniciar un estilo de vida más saludable.
Además, es importante evitar el tabaco, el alcohol y el exceso de azúcares en la dieta. Una alimentación saludable es relevante para prevenir la formación de fístulas dentales y promover la salud bucal en general. Evitar alimentos azucarados: Los alimentos y bebidas azucaradas aumentan el riesgo de caries y pueden contribuir al desarrollo de fístulas dentales.
Recuerda que quien mejor puede aconsejarte a la hora de luchar contra una fístula es tu dentista.