La salud dental es una parte fundamental de nuestro bienestar general. Sin embargo, como muchas otras dolencias bucodentales, la fístula tiene origen, causa y, por supuesto, solución. En este artículo, examinaremos las causas por las que se producen las fístulas dentales, así como sus posibles consecuencias en caso de no ser tratadas adecuadamente.

¿Qué es una Fístula Dental?
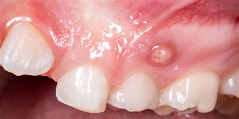
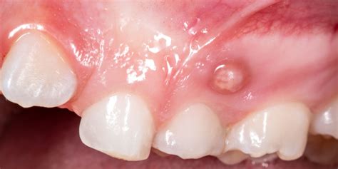
Llamamos fístula dental al canal que se origina desde la zona infectada de un diente hasta la superficie exterior de la encía. Una fístula dental es una afección oral que implica la formación de un conducto anormal entre el diente y el exterior de la boca. Esta conexión anormal se crea como resultado de una infección dental que ha progresado y se ha extendido más allá de la raíz del diente, formando un absceso. En ese canal se acaba depositando pus y, conforme se llena, se crea una protuberancia o grano próximo a las encías. El pasaje actúa como depósito de pus y a medida que se llena, se forma una pequeña protuberancia en forma de grano cerca de las encías.
Es el propio organismo quien crea esta fístula, y lo hace tras detectar una infección dental. La fístula actúa como un conducto de drenaje para permitir que el pus y los desechos de la infección se eliminen del cuerpo. En dicha fístula se alberga el pus que se genera y que no somos capaces de drenar. Por lo tanto, aunque es una dolencia bucodental y una infección, también es un mecanismo que sirve de alerta.
Una fístula dental es una pequeña abertura o canal anormal que se forma en la encía o en la región cercana a la raíz de un diente infectado. La creación de una fístula dental se produce debido a la propagación de una infección en el diente o en los tejidos circundantes. Normalmente, la infección se origina en el interior del diente, en la pulpa dental, donde se encuentra el tejido blando, los nervios y los vasos sanguíneos.
Diferencia entre Absceso y Fístula Dental
Cuando se habla de fístulas, hay personas que tienden a utilizarlo como sinónimo de otro término popular en medicina: el absceso. Por definición, un absceso es la cavidad en la que se acumula pus y aparece cuando un área o zona del cuerpo se infecta. El sistema inmunitario, para combatir dicha infección produce y envía glóbulos blancos, los cuales se acumulan en el tejido dañado y provocan la inflamación de este.
La principal diferencia entre un absceso y una fístula es que el absceso es una cavidad, mientras que la fístula es un túnel o canal.
Causas de la Fístula Dental
Precisamente esa aclaración que hacíamos sobre la diferencia entre fístula y absceso nos sirve también para hablar de las causas. Las fístulas dentales pueden tener varias causas, pero generalmente están asociadas con problemas de salud oral que han progresado sin tratamiento adecuado. La formación de una fístula dental puede ser el resultado de distintos motivos y causas.
Como indicábamos, el origen de la fístula dental es habitualmente un absceso que presiona. La principal causa de una fístula dental es una caries profunda o mal curada.
La caries dental es una de las principales causas de las fístulas dentales. Cuando las bacterias presentes en la placa dental interactúan con los azúcares y almidones de los alimentos, producen ácidos que erosionan el esmalte dental. Con el tiempo, esta erosión puede crear orificios en el esmalte, conocidos como caries. Si no se tratan, las caries pueden penetrar en las capas más profundas del diente, llegando a la pulpa dental, donde se encuentran los nervios y los vasos sanguíneos.
Las infecciones bacterianas en la boca, como la periodontitis o la pulpitis, también pueden provocar la formación de fístulas dentales. La periodontitis es una enfermedad de las encías que afecta los tejidos que rodean y soportan los dientes. Si no se trata, puede provocar la destrucción del tejido óseo y la formación de bolsas periodontales que actúan como reservorios de bacterias.
Otras causas incluyen:
- La salida de los cordales o muelas del juicio, los cuales suelen erupcionar en la edad adulta. Como su limpieza, por si situación, es algo complicada, puede producirnos caries al quedar alimentos atrapados en los huecos y encías.
- La periodontitis, que es una patología por la que se producen infecciones en las encías y que pueden llegar al hueso del diente. La enfermedad periodontal afecta a nuestras encías de manera grave, infectándolas y dañando el tejido blando. Esta patología puede llegar al hueso dentario.
- Una endodoncia mal tratada o con mala curación.
- Los traumatismos dentales, como golpes o caídas, también pueden desencadenar la formación de fístulas dentales. Un traumatismo en un diente puede dañar el tejido pulpar y provocar una infección que se propague a través de la raíz del diente hacia los tejidos circundantes.
😲😱 Absceso dental: Causas y tratamiento | ¿Cómo desinflamar Absceso Dental? | Infecciones dentales
Síntomas de una Fístula Dental
Una fístula dental puede manifestarse a través de varios síntomas que indican la presencia de una infección en el diente o en los tejidos circundantes. Es importante saber detectar estos síntomas para buscar atención dental inmediata y recibir el tratamiento adecuado.
Cabe señalar que puedes padecer una fístula dental sin dolor. La presencia de una fístula no tiene porqué ir asociada con dolor, por ello se puede sentir la tentación de ignorar esa fístula dental. Son protuberancias que salen en la zona de las encías y que, aunque se inflaman, no siempre duelen.
Algunos de los síntomas más comunes incluyen:
- Dolor e inflamación: Una de las primeras señales de una fístula dental es el dolor en la zona afectada. El dolor es uno de los síntomas más característicos de una fístula dental. Puede manifestarse como un dolor punzante, pulsátil o constante en el área del diente afectado. Este dolor puede empeorar al masticar, hablar o aplicar presión sobre el diente comprometido. La infección en la raíz del diente puede provocar sensibilidad al calor y al frío, así como dolor constante o punzante. Al principio, las encías se inflaman ligeramente y enrojecen. Con el tiempo, la fístula dental se llena de pus y aparece un dolor punzante.
- Abscesos dentales: La presencia de una fístula dental puede dar lugar a la formación de abscesos dentales. Un absceso dental es una acumulación de pus causada por una infección bacteriana en el tejido dental. En el caso de una fístula dental, el absceso puede manifestarse como una protuberancia roja y dolorosa en las encías cerca del diente afectado. Esta protuberancia puede estar acompañada de sensibilidad al tacto y al calor, así como de hinchazón en el área circundante.
- Mal aliento: La infección asociada a una fístula dental puede causar mal aliento persistente, también conocido como halitosis. Los pacientes con fístulas dentales también pueden experimentar cambios en el sabor y olor de la saliva. Esto se debe a la presencia de pus y desechos bacterianos que se acumulan en el conducto de la fístula y se mezclan con la saliva.
- Movilidad dental: En algunos casos, las fístulas dentales pueden provocar una pérdida gradual de soporte dental, lo que resulta en una mayor movilidad de los dientes afectados.
- Propagación de la infección: Si no se trata adecuadamente, las fístulas dentales pueden permitir la propagación de la infección a estructuras vecinas, como el hueso, los tejidos blandos o los dientes adyacentes.

Tratamiento de la Fístula Dental
Una vez realizado el diagnóstico, el tratamiento dependerá de la causa subyacente y la gravedad de la infección. El odontólogo, tras una revisión radiográfica, encontrará la fuente del problema, ofrecerá una serie de protocolos terapéuticos para el alivio temporal del dolor, si existiera, y elaborará un plan para curar el problema dental subyacente.
El tratamiento de una fístula dental se centra en eliminar la infección y restaurar la salud del diente afectado. En algunos casos, puede ser necesario drenar el absceso para aliviar el dolor y la presión.
Los tratamientos comunes incluyen:
- Realizar una incisión en el absceso. El objetivo será drenar el pus que se ha ido generando y que no se expulsa. En los casos menos graves de fístula dental, es posible que el enfoque inicial sea un tratamiento conservador. El dentista puede realizar un drenaje incidiendo el absceso para permitir que el pus y los desechos se eliminen del área afectada.
- Aplicar un tratamiento de conducto. El dentista perfora el diente infectado, lo drena y lo sella. Cuando la infección ha alcanzado la pulpa dental y amenaza la salud del diente, se puede recomendar un tratamiento endodóntico, también conocido como tratamiento de conducto radicular. Una vez que los conductos están limpios, se rellenan con un material de obturación para prevenir futuras infecciones. La cura de una fístula dental generalmente implica un tratamiento endodóntico o endodoncia. Este procedimiento consiste en limpiar el canal radicular del diente afectado para eliminar la infección y drenar el absceso.
- Extraer el diente infectado. En situaciones más graves, cuando el diente está severamente dañado o no es viable para el tratamiento, puede ser necesario extraerlo. En casos graves de fístula dental, donde el daño al diente es extenso o el tratamiento endodóntico no es posible, puede ser necesario extraer el diente afectado.
Además, recordemos que una fístula dental es una infección y si no se elimina correctamente, puede propagarse. Para prevenir esa expansión de la bacteria lo normal es que tu dentista te recete antibióticos. En la mayoría de las fístulas, es imprescindible la toma de medicación antibiótica. Gracias al antibiótico mejorará la sintomatología pero no se tratará la causa que originó el problema.
Si la fístula dental ha sido causada por una inflamación de la punta de la raíz del diente, el foco de inflamación puede eliminarse mediante una apicectomía para evitar que la inflamación siga extendiéndose, ya sea mediante un tratamiento con láser o como procedimiento quirúrgico clásico.
Importante: Es importante destacar que no se debe intentar tratar una fístula dental en casa sin supervisión profesional. Sin embargo, medidas temporales para aliviar el dolor pueden incluir enjuagues con agua tibia salada, mantener una buena higiene bucal y evitar alimentos y bebidas muy calientes, fríos o azucarados.
Prevención de la Fístula Dental
Prevenir la formación de fístulas dentales es fundamental para mantener una salud bucal óptima. Responder a esta pregunta de modo tajante es complicado, ya que hay fístulas que aparecen incluso habiendo tomado precauciones de un modo firme.
Sin embargo, hay una serie de recomendaciones y hábitos que son muy útiles a la hora de mantener una boca y unos dientes sanos y, consecuentemente, reducir las posibilidades de aparición de una fístula dental.
Medidas preventivas:
- Mantener una buena higiene oral: Cepíllate los dientes al menos dos veces al día con un cepillo de dientes de cerdas suaves y utiliza hilo dental para eliminar la placa y los restos de alimentos entre los dientes. Una buena higiene oral es la base para prevenir una amplia gama de problemas dentales, incluidas las fístulas. Una limpieza correcta de los dientes implica el cepillado después de cada comida y el uso de hilo dental una vez al día. Además, es importante evitar el tabaco, el alcohol y el exceso de azúcares en la dieta.
- Visitar regularmente al dentista: Acude a revisiones dentales periódicas, al menos cada seis meses, para un chequeo exhaustivo de tu salud bucal. Las visitas regulares al dentista son esenciales para detectar y tratar problemas dentales en etapas tempranas, antes de que se conviertan en afecciones más graves como las fístulas dentales.
- Tratar las caries y enfermedades periodontales de manera oportuna: Si se detecta una caries dental o enfermedad periodontal, es importante tratarlas de inmediato. El tratamiento oportuno de caries y enfermedades periodontales es crucial para prevenir la formación de fístulas dentales. Las caries sin tratar y la enfermedad periodontal avanzada pueden causar infecciones y provocar la formación de fístulas dentales.
- Evitar el consumo excesivo de alimentos azucarados: Los alimentos ricos en azúcares y carbohidratos pueden aumentar el riesgo de caries dental.

Recuerda que quien mejor puede aconsejarte a la hora de luchar contra una fístula es tu dentista. Si tienes alguna duda sobre los diagnósticos y tratamientos, así como si quieres recibir ayuda especializada para tratar una fístula dental, no dudes en consultar a un profesional.