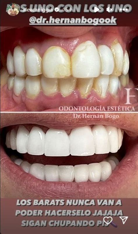
La sonrisa de Alex Caniggia, uno de los concursantes más polémicos de esta nueva edición de ‘Gran Hermano VIP’, ha sido comentada tanto por sus compañeros de edición como por la audiencia. El argentino está orgulloso con su nueva “parrilla” de dientes, los cuales decidía arreglar este verano, sustituyendo sus viejas carillas por unas nuevas, parecidas a las que usa el cantante Nicky Jam.

Alex Caniggia antes y después de su tratamiento dental. Fuente: Semana.es
Pero, ¿cuál es la historia detrás de esta transformación? El concursante de GH VIP 8 se ha limado sus piezas dentales para ponerse carillas de porcelana, una técnica que, si bien le ha permitido alcanzar la sonrisa que deseaba, ha generado controversia entre los expertos.
El sueño de una sonrisa perfecta
El argentino soñaba con tener la sonrisa de Nicky Jam. Por las palabras del odontólogo que llevó su caso, su “parrilla” quizás no fuese la más adecuada a su boca. El tratamiento le ha llevado a perder incluso uno de sus dientes, tal y como se ha podido ver a través de las impactantes imágenes en las que él mismo no oculta la realidad de sus dientes reales.

Nicky Jam. Fuente: Infobae
El procedimiento: Limado de dientes y carillas de porcelana
Caniggia decidió limar sus dientes para ponerse carillas dentales. Esta técnica, totalmente anticuada está cada día más desaconsejada, pues en la actualidad existen técnicas de sin limado, mucho más naturales y respetuosas con la boca del paciente; como las de disilicato de litio.
La realidad tras esas fundas de porcelana es todavía más impactante y no apta para personas sensibles. Recuerden que si bien hay patrones universales de belleza que ya están demostrados por la ciencia, en gran parte es subjetiva y depende de varios factores como culturales y el entorno donde uno se desenvuelve diariamente.
Por lo tanto, uno puede aconsejar al paciente en base a simetría, proporciones (proporción áurea), ejes, forma, tamaño, color, translucidez, textura, etcétera, pero en definitiva es el paciente quien decide qué tipo de dientes desea tener”, explica su dentista a través de las redes.
Críticas y controversias
Sus dientes no solo han sido comentados por sus compañeros de edición. También ha sido tema de conversación en redes sociales, donde expertos odontólogos no dudan en cuestionar la “parrilla” del inquilino de la casa más famosa de Guadalix de la Sierra, al que podrían haber arreglado primero los dientes con ortodoncia y realizar un injerto de hueso para solucionar el problema de agenesia y falta de tejido gingival que presentaba en uno de sus incisivos.
“¿Y la mordida cruzada posterior?, ¿la agenesia o pérdida prematura del 22?? Sin injerto de hueso para crear tejido gingival y no esa corona tan larga… La verdad es que, para los que sabemos... no es de lo mejor que hemos visto. La verdadera estética dental es la que pasa inadvertida, que se confunde con la realidad y este caso clínico dista mucho de un verdadero tratamiento estético y funcional... Este es un post que me rondaba la cabeza hace tiempo.

A pesar de las críticas, Caniggia se muestra feliz con su nueva imagen.
¿Conoces los TIPOS de CARILLAS DENTALES? ✨ El mejor tratamiento ESTÉTICO para tu sonrisa👄
La vida personal de Alex Caniggia
No cabe ninguna duda de que Álex Caniggia, el argentino más gamberro de la casa de 'Gran Hermano VIP', es la revelación televisiva de la temporada. Hijo de un afamado futbolista, Álex cuenta con una dilatada trayectoria en la televisión latinoamericana y precisamente durante su participación en un reality conoció a su actual pareja, la bailarina Melody Luz, con la que tuvo a su hija Venezia.
Los caminos vitales de Álex y Melody, de 30 y 25 años de edad respectivamente, se cruzaron en el programa 'El Hotel de los Famosos' en 2022. Su historia de amor hizo vibrar a la audiencia del reality ya que se fraguó a fuego lento ante las cámaras del espacio. En un primer momento, Melody había puesto sus ojos en otro concursante, pero el carisma natural del hombre de la blanca sonrisa fue conquistándole poco a poco y hasta protagonizaron varios 'edredonings'.
El pasado mes de julio nacía la primera hija de ambos, Venezia. A pesar de su corta edad, la pequeña ya tiene un mote mediático gracias a su gamberro papá que se refiere a ella como "La Emperatriz".
A pesar de que Melody puede seguir el concurso de Álex a través de la emisión 24 horas, la separación de su amado se le hace cuesta arriba. "Si me preguntan cómo estoy, les diré que ya hice mi duelo, ya lloré mucho porque me cuestan mucho los cambios", confesó la mamá primeriza el pasado mes de septiembre. "Pero yo lo apoyo porque sé que es trabajo y seguramente haga que todo valga la pena", añadió.