La salud dental es una parte fundamental de nuestro bienestar general. En este artículo, examinaremos las causas por las que se producen las fístulas dentales, así como sus posibles consecuencias en caso de no ser tratadas adecuadamente. Sin embargo, como muchas otras dolencias bucodentales, la fístula tiene origen, causa y, por supuesto, solución.
👉 ¿Sabes cómo se quita un BULTO en la ENCÍA? 👄 TIPOS de bulto y CÓMO ELIMINARLOS
¿Qué es una Fístula Dental?
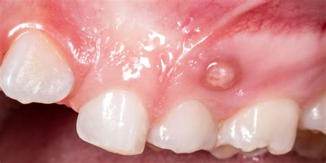
Llamamos fístula dental al canal que se origina desde la zona infectada de un diente hasta la superficie exterior de la encía. Una fístula dental es una pequeña abertura o canal anormal que se forma en la encía o en la región cercana a la raíz de un diente infectado. El pasaje actúa como depósito de pus y a medida que se llena, se forma una pequeña protuberancia en forma de grano cerca de las encías. En ese canal se acaba depositando pus y, conforme se llena, se crea una protuberancia o grano próximo a las encías.

Es el propio organismo quien crea esta fístula, y lo hace tras detectar una infección dental. En dicha fístula se alberga el pus que se genera y que no somos capaces de drenar. Por lo tanto, aunque es una dolencia bucodental y una infección, también es un mecanismo que sirve de alerta. Una fístula dental es una afección provocada por la formación de un conducto de drenaje que conecta una infección en la raíz del diente con la superficie de la encía o la piel.
Fístula dental vs. Absceso dental
Cuando se habla de fístulas, hay personas que tienden a utilizarlo como sinónimo de otro término popular en medicina: el absceso. Por definición, un absceso es la cavidad en la que se acumula pus y aparece cuando un área o zona del cuerpo se infecta. El sistema inmunitario, para combatir dicha infección produce y envía glóbulos blancos, los cuales se acumulan en el tejido dañado y provocan la inflamación de este. La principal diferencia entre un absceso y una fístula es que el absceso es una cavidad, mientras que la fístula es un túnel o canal.
Causas de la Formación de una Fístula Dental
La formación de una fístula dental puede ser el resultado de distintos motivos y causas. La creación de una fístula dental se produce debido a la propagación de una infección en el diente o en los tejidos circundantes. Precisamente esa aclaración que hacíamos sobre la diferencia entre fístula y absceso nos sirve también para hablar de las causas. Como indicábamos, el origen de la fístula dental es habitualmente un absceso que presiona.
La principal causa de una fístula dental es una caries profunda o mal curada. La caries dental es una de las principales causas de las fístulas dentales. Cuando las bacterias presentes en la placa dental interactúan con los azúcares y almidones de los alimentos, producen ácidos que erosionan el esmalte dental. Con el tiempo, esta erosión puede crear orificios en el esmalte, conocidos como caries. Si no se tratan, las caries pueden penetrar en las capas más profundas del diente, llegando a la pulpa dental, donde se encuentran los nervios y los vasos sanguíneos.

Otras causas comunes incluyen:
- La salida de los cordales o muelas del juicio, los cuales suelen erupcionar en la edad adulta.
- La periodontitis, que es una patología por la que se producen infecciones en las encías y que pueden llegar al hueso del diente.
- Una endodoncia mal tratada o con mala curación.
- Las infecciones bacterianas en la boca, como la periodontitis o la pulpitis, también pueden provocar la formación de fístulas dentales.
- Los traumatismos dentales, como golpes o caídas, también pueden desencadenar la formación de fístulas dentales.
Síntomas de una Fístula Dental
Una fístula dental puede manifestarse a través de varios síntomas que indican la presencia de una infección en el diente o en los tejidos circundantes. Es importante saber detectar estos síntomas para buscar atención dental inmediata y recibir el tratamiento adecuado. Cabe señalar que puedes padecer una fístula dental sin dolor. Son protuberancias que salen en la zona de las encías y que, aunque se inflaman, no siempre duelen. La presencia de una fístula no tiene porqué ir asociada con dolor, por ello se puede sentir la tentación de ignorar esa fístula dental.
Los síntomas más comunes incluyen:
- Dolor e inflamación: Una de las primeras señales de una fístula dental es el dolor en la zona afectada. La infección en la raíz del diente puede provocar sensibilidad al calor y al frío, así como dolor constante o punzante. El dolor es uno de los síntomas más característicos de una fístula dental. Puede manifestarse como un dolor punzante, pulsátil o constante en el área del diente afectado. Este dolor puede empeorar al masticar, hablar o aplicar presión sobre el diente comprometido.
- Abscesos dentales: La presencia de una fístula dental puede dar lugar a la formación de abscesos dentales. Un absceso dental es una acumulación de pus causada por una infección bacteriana en el tejido dental. En el caso de una fístula dental, el absceso puede manifestarse como una protuberancia roja y dolorosa en las encías cerca del diente afectado. Esta protuberancia puede estar acompañada de sensibilidad al tacto y al calor, así como de hinchazón en el área circundante.
- Mal aliento: La infección asociada a una fístula dental puede causar mal aliento persistente, también conocido como halitosis. Los pacientes con fístulas dentales también pueden experimentar cambios en el sabor y olor de la saliva. Esto se debe a la presencia de pus y desechos bacterianos que se acumulan en el conducto de la fístula y se mezclan con la saliva.
- Movilidad dental: En algunos casos, las fístulas dentales pueden provocar una pérdida gradual de soporte dental, lo que resulta en una mayor movilidad de los dientes afectados.
Consecuencias de no tratar una fístula dental
Si no se trata correctamente, las fístulas dentales pueden permitir la propagación de la infección a estructuras vecinas, como el hueso, los tejidos blandos o los dientes adyacentes. Además, recordemos que una fístula dental es una infección y si no se elimina correctamente, puede propagarse.
Diagnóstico de una Fístula Dental
Para diagnosticar esta afección, el dentista examinará el bulto y hará una radiografía oral para evaluar su tamaño y su alcance. El odontólogo, tras una revisión radiográfica, encontrará la fuente del problema, ofrecerá una serie de protocolos terapéuticos para el alivio temporal del dolor, si existiera, y elaborará un plan para curar el problema dental subyacente.
Tratamientos para una Fístula Dental
Una vez realizado el diagnóstico, el tratamiento dependerá de la causa subyacente y la gravedad de la infección. El odontólogo, tras una revisión radiográfica, encontrará la fuente del problema, ofrecerá una serie de protocolos terapéuticos para el alivio temporal del dolor, si existiera, y elaborará un plan para curar el problema dental subyacente. El tratamiento oportuno de caries y enfermedades periodontales es crucial para prevenir la formación de fístulas dentales.

Los tratamientos comunes incluyen:
- Eliminación de la fuente de infección: Si la fístula dental está causada por una caries, se procederá a tratarla mediante la eliminación del tejido afectado y la aplicación de un empaste.
- Tratamiento de conducto: En casos en los que la infección ha afectado la pulpa dental y el tejido interno del diente, se puede requerir un tratamiento de conducto. Cuando la causa de la fístula dental es una caries profunda que ha llegado al nervio, lo más probable es que el odontólogo recomiende llevar a cabo una endodoncia. Este tratamiento de conductos del diente tiene la finalidad de retirar el nervio y sellar los canales cuando la infección ha llegado al interior de la pieza dental.
- Extracción dental: En situaciones más graves, cuando el diente está severamente dañado o no es viable para el tratamiento, puede ser necesario extraerlo. En ocasiones, el profesional quizás determine que no se puede salvar la pieza y proponga su extracción, que es lo que se conoce como exodoncia.
- Antibióticos: De forma paralela a estos tratamientos, el dentista podría prescribir antibióticos para tratar la infección subyacente. Para prevenir esa expansión de la bacteria lo normal es que tu dentista te recete antibióticos. Gracias al antibiótico mejorará la sintomatología pero no se tratará la causa que originó el problema.
- Drenaje del absceso: En los casos menos graves de fístula dental, es posible que el enfoque inicial sea un tratamiento conservador. El dentista puede realizar un drenaje incidiendo el absceso para permitir que el pus y los desechos se eliminen del área afectada.
- Tratamiento periodontal: Si el origen de la fístula está relacionado con una enfermedad periodontal avanzada, el dentista realizará un tratamiento específico para eliminar la infección y otros focos de bacterias presentes en la boca. Por otro lado, si sufres una patología periodontal, es aconsejable que te hagas limpiezas profesionales o mantenimientos periodontales con cierta frecuencia.
Medidas caseras para aliviar los síntomas
Como medida complementaria, se puede aplicar frío en la zona de la protuberancia y por fuera de la boca.
Prevención de Fístulas Dentales
Prevenir la formación de fístulas dentales es fundamental para mantener una salud bucal óptima. El mejor modo de prevenir cualquier infección oral consiste en mantener una buena higiene dental a diario. De tal forma, se evita la acumulación de bacterias y, por lo tanto, la aparición de placa. Esta es la que, con el paso del tiempo, ocasiona sarro y aumenta el riesgo de padecer caries, gingivitis, etc.

Para ello, es importante:
- Mantener una buena higiene oral: Cepíllate los dientes al menos dos veces al día con un cepillo de dientes de cerdas suaves y utiliza hilo dental para eliminar la placa y los restos de alimentos entre los dientes. Una limpieza correcta de los dientes implica el cepillado después de cada comida y el uso de hilo dental una vez al día.
- Visitar regularmente al dentista: Acude a revisiones dentales periódicas, al menos cada seis meses, para un chequeo exhaustivo de tu salud bucal. Las visitas regulares al dentista son esenciales para detectar y tratar problemas dentales en etapas tempranas, antes de que se conviertan en afecciones más graves como las fístulas dentales.
- Tratar las caries y enfermedades periodontales de manera oportuna: Si se detecta una caries dental o enfermedad periodontal, es importante tratarlas de inmediato. Las caries sin tratar y la enfermedad periodontal avanzada pueden causar infecciones y provocar la formación de fístulas dentales.
- Evitar el consumo excesivo de alimentos azucarados: Los alimentos ricos en azúcares y carbohidratos pueden aumentar el riesgo de caries dental. Además, es importante evitar el tabaco, el alcohol y el exceso de azúcares en la dieta.