La fluorosis dental es una condición que puede afectar el aspecto y la salud de los dientes debido a una exposición excesiva al flúor durante la etapa de formación de los dientes, principalmente en la infancia.

¿Qué es la fluorosis dental?
La fluorosis dental es una afección que afecta el esmalte de los dientes y se produce debido a una exposición excesiva al fluoruro durante la formación de los dientes, especialmente en la infancia. Aunque el fluoruro es beneficioso para fortalecer el esmalte y prevenir las caries dentales, un exceso de este mineral puede llevar a la fluorosis dental.
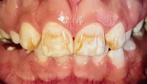
Esta condición se caracteriza por la aparición de decoloraciones en la superficie de los dientes, como manchas o pequeñas estrías, cuya gravedad varía dependiendo del grado de la afección. La fluorosis es más común en los dientes permanentes que en los dientes de leche, y generalmente se observa en niños menores de 8 años, especialmente entre el año y medio y los 3 años de edad, aunque los síntomas pueden no manifestarse hasta la edad adulta.

Causas de la fluorosis dental
La fluorosis dental se produce debido a una exposición excesiva al flúor durante el desarrollo de los dientes, especialmente durante la formación de los dientes permanentes.
En general, la principal causa de la fluorosis dental es la sobreexposición al flúor durante la etapa de formación del esmalte. El consumo de agua con una concentración de flúor elevada puede causar fluorosis.
Aquí hay algunas de las causas más comunes:
- Consumo excesivo de flúor durante la infancia: La principal causa es la ingesta excesiva de flúor durante los primeros años de vida.
- Agua con altos niveles de flúor: En algunas áreas, el agua potable puede contener niveles de flúor más altos de lo recomendado.
- Uso inadecuado de productos dentales con alto contenido de flúor: el uso excesivo o inapropiado de pastas de dientes, enjuagues bucales o geles dentales con concentraciones de flúor superiores a las recomendadas puede aumentar el riesgo de desarrollar fluorosis dental, especialmente en niños pequeños cuyos dientes están en proceso de formación.
- Consumo de agua con niveles elevados de flúor: el consumo de agua proveniente de fuentes donde la concentración de flúor es mayor de lo normal puede contribuir a la acumulación excesiva de flúor en el cuerpo, lo que aumenta el riesgo de fluorosis dental.
- Ingesta de alimentos y bebidas procesadas con fluoruro: algunos alimentos y bebidas procesadas pueden contener fluoruro como aditivo, lo que puede contribuir a una ingesta excesiva de este mineral y aumentar el riesgo de desarrollar fluorosis dental, especialmente si se consumen en cantidades significativas de forma regular.
- Uso de suplementos vitamínicos o nutricionales con fluoruro: la ingesta de suplementos vitamínicos o nutricionales que contienen fluoruro puede aumentar la cantidad total de flúor ingerida, lo que puede contribuir a la fluorosis dental si se excede la dosis recomendada.
- Aplicación tópica de fluoruro: la aplicación tópica de geles, barnices o tratamientos dentales que contienen fluoruro directamente sobre los dientes puede aumentar el riesgo de fluorosis dental si no se realiza correctamente o si se excede la frecuencia o la concentración recomendada.
Sin embargo, abusar de dicho elemento genera problemas como la fluorosis. Dicho esto, el consumo directo de agua no es lo único que puede causar fluorosis. En España, el consumo de agua potable es seguro. Por tanto, las dos situaciones mencionadas son improbables en nuestro país.
El uso de dentífricos o enjuagues bucodentales con una cantidad de flúor superior a la recomendada es otra de las causas de fluorosis dental. La ingesta de flúor debe ir aumentando gradualmente con el paso de los años, y a medida que los niños desarrollan la habilidad de escupir el dentífrico o enjuague (en lugar de tragárselo). En general, los niños pueden empezar a usar las pastas de dientes para adultos a partir de los seis años. El consumo de suplementos con fluoruro en embarazadas o niños menores de seis años también puede provocar fluorosis dental.
En definitiva, la fluorosis dental está causada por una ingesta excesiva de flúor. Esta puede darse por dos vías principales. Por un lado, a través de dentífricos o alimentos con una cantidad de flúor superior a la recomendada.
Síntomas de la fluorosis dental
La fluorosis dental se caracteriza por la aparición de manchas o decoloración en el esmalte dental. Los síntomas y consecuencias varían según la gravedad del caso.
- Manchas blancas o decoloración: este es el síntoma más evidente de la fluorosis dental. Las manchas blancas pueden aparecer en la superficie de los dientes y pueden ser leves o más pronunciadas, dependiendo del grado de la afección.
- Fisuras y grietas en el esmalte: en casos más severos de fluorosis dental, el esmalte dental puede mostrar fisuras o grietas, lo que puede afectar la apariencia y la textura de los dientes.
- Opacificación del esmalte: el esmalte dental afectado por la fluorosis puede volverse opaco o perder su brillo natural, lo que puede alterar la estética de la sonrisa.
- Sensibilidad dental: algunas personas con fluorosis dental pueden experimentar sensibilidad en los dientes, especialmente al consumir alimentos o bebidas calientes, fríos o dulces.
- Mayor susceptibilidad a las caries: debido a que el esmalte dental debilitado es más vulnerable, las personas con fluorosis dental pueden tener un mayor riesgo de desarrollar caries dentales.
Es importante destacar que la fluorosis dental es una condición puramente estética y no causa dolor ni afecta la funcionalidad de los dientes.
Para reconocer este problema en nuestros dientes, solo basta con ver los cambios de color que se presentan. A veces, se crean manchas de color blanquecino, que van ligadas con pequeñas grietas y estrías (grado leve). En casos más extremos, aparecen manchas marrones y agujeritos, dando apariencia de que están corroídos.
Los síntomas de la fluorosis dental pueden variar en función de la severidad del caso. Pequeñas grietas y estrías: normalmente, estas grietas y estrías son de color blanco.
Tipos de fluorosis dental
Los médicos distinguen entre fluorosis aguda y crónica. En la fluorosis aguda, se produce un exceso de flúor a corto plazo, una intoxicación por flúor.
Existen diferentes tipos de fluorosis dental, clasificados según la gravedad:
- Fluorosis leve: se presenta cuando hay leves manchas blancas en los dientes, que pueden ser apenas perceptibles a simple vista.
- Fluorosis moderada: en este caso, las manchas blancas ocupan entre el 20% y el 50% de la superficie dental. La fluorosis dental moderada se caracteriza por la presencia de manchas de tonalidades blancas en el esmalte de la pieza.
- Fluorosis severa: aquí, las manchas blancas se extienden en más del 50% de la superficie del diente y pueden estar acompañadas de fisuras y grietas en el esmalte dental. Por último, la fluorosis dental severa origina manchas que ocupan la mayor parte de la pieza y puede provocar rugosidades en el esmalte o modificaciones en la forma del diente. En este grado, la persona que lo sufre presenta caries y machas que llenan gran parte del diente.
¿Cómo afecta la fluorosis dental a los dientes?
La fluorosis dental, siendo fundamentalmente una condición estética, puede afectar la apariencia del esmalte dental, dando lugar a manchas blancas, opacificación o incluso fisuras en la superficie de los dientes. Aunque generalmente no causa problemas de salud significativos, en casos más severos puede contribuir a la sensibilidad dental y aumentar la susceptibilidad a las caries. Esto se debe a que el esmalte debilitado puede hacer que los dientes sean más propensos a la erosión y la penetración de bacterias, lo que puede conducir a problemas dentales adicionales si no se manejan adecuadamente.

Tratamientos para la fluorosis dental
El objetivo principal de cualquier tratamiento para la fluorosis dental es asegurar la salud de los dientes, así como restablecer la estética y armonía de la sonrisa.
Existen diferentes tratamientos odontológicos disponibles para abordar la fluorosis dental y restaurar la estética de la sonrisa del paciente. La elección del tratamiento adecuado dependerá de la gravedad de la afección del esmalte dental y de las necesidades individuales del paciente.
Es importante tener en cuenta que el tratamiento de la fluorosis dental requiere un enfoque individualizado y depende de la gravedad del caso, las preferencias del paciente y las recomendaciones del especialista.
Aquí hay algunos tratamientos comunes:
- Microabrasión dental: En casos de fluorosis leve, donde las manchas blancas en el esmalte son leves y superficiales, se puede recurrir a técnicas de microabrasión dental. Este procedimiento implica el uso de herramientas y agentes abrasivos suaves para eliminar las manchas y restaurar la apariencia natural de los dientes.
- Blanqueamiento dental: Para casos de fluorosis moderada, donde las manchas son más prominentes y afectan una mayor parte del esmalte dental, el blanqueamiento dental es una opción comúnmente recomendada. El blanqueamiento dental es un tratamiento al que se puede recurrir en casos de fluorosis leve. El blanqueamiento dental implica el uso de geles o agentes blanqueadores que penetran en el esmalte dental y eliminan las manchas, mejorando significativamente el color de los dientes. No obstante, esta opción no es siempre la más apropiada y llega a resultar insuficiente.
- Carillas dentales: Cuando el blanqueamiento no resulta suficiente, el odontólogo podrá recomendar la colocación de carillas dentales, las cuales pueden ser de composite o porcelana. Para solucionar de manera permanente esta condición de la boca, en Gross Dentistas te recomendamos el uso de carillas dentales o bien el uso de coronas de porcelana. Las carillas se colocan sobre la superficie de los dientes, ocultando las manchas y mejorando la apariencia general. Las carillas son pequeñas láminas fabricadas en diferentes materiales (cerámicas, de composite o carillas lumineers) que se adhieren al diente mediante una resina especial, con las que se logran resultados estéticos satisfactorios. Por su parte, en los casos de fluorosis dental moderados o graves es más común y efectivo recurrir a la colocación de carillas dentales.
- Coronas dentales: Por su parte, el tratamiento indicado para los casos más severos de fluorosis dental puede ser la colocación de coronas. Las coronas son unas prótesis dentales que cubren totalmente la estructura del diente. Por tanto, permiten tapar las manchas o los daños por completo. En los casos de fluorosis muy grave, será necesario recurrir a las coronas de porcelana o de zirconio. Las coronas -llamadas coloquialmente fundas- permiten cubrir todo el diente, no solo su cara externa.
Recuerda que el diagnóstico de la fluorosis dental generalmente lo realiza un odontólogo a través de una exploración clínica de los dientes (examen visual). Si sospechas que puedes tener fluorosis dental, es recomendable que consultes a un especialista para un diagnóstico preciso.
Prevención de la fluorosis dental
Es posible prevenir la fluorosis dental si tomamos las precauciones necesarias durante la infancia. La buena alimentación y los buenos hábitos de higiene dental son los pilares para un desarrollo correcto de los dientes y para prevenir posibles patologías como la fluorosis.
Esta sintomatología resulta irreversible una vez que se ha manifestado, por lo que que la prevención resulta la mejor medida para evitar la fluorosis dental. En este punto, resulta fundamental la supervisión paterna durante la infancia.
Aquí hay algunas recomendaciones:
- Usar productos de higiene oral específicos para cada edad: los niños menores de seis años no podrán utilizar dentífricos ni colutorios para adultos.
- Adaptar la cantidad de pasta de dientes: no es recomendable guiarse por las imágenes de los anuncios de dentífricos en televisión, y menos en el caso de los niños. No es necesario ni aconsejable que la pasta rebose en el cepillo. Además, la cantidad de dentífrico también tiene que estar adaptada para cada edad. Por ejemplo, en los bebés dicha cantidad debe ser mínima, ya que no saben enjuagarse ni escupir.
- Consumir agua mineral embotellada: los niños menores de seis años que viajan a regiones donde el agua potable tiene una concentración de flúor superior a la recomendada para su edad deberán usar agua mineral embotellada.
- En primer lugar, está indicado el uso de pastas de dientes y colutorios infantiles, con cantidades de flúor adaptadas a las necesidades de los más pequeños. Además, los padres deberán de vigilar que, tras el cepillado, el niño o la niña escupa el exceso de espuma que se genera durante el cepillado.
- En segundo lugar, es importante dosificar la cantidad de pasta dentífrica necesaria para un correcto cepillado: no debe superar el tamaño de un garbanzo pequeño, aproximadamente. Por último, recuerda mantener los productos de higiene dental fuera del alcance de los niños.
Tomar estas precauciones puede ayudar a reducir significativamente el riesgo de fluorosis dental y asegurar que los dientes de los niños crezcan sanos y fuertes.
Mantener un equilibrio en la ingesta de flúor y estar atento a los síntomas son pasos importantes para proteger la salud a largo plazo.
Con el objetivo de que puedas controlar estos factores, te hemos ofrecido unas recomendaciones generales.
Tabla de concentraciones de flúor recomendadas por edad
Esta tabla muestra qué concentración de flúor es adecuada para cada edad para prevenir la fluorosis. Estas recomendaciones se basan en las directrices revisadas de la Academia Europea de Odontopediatría (EAPD). Importante: La información facilitada presupone que no se toman comprimidos de flúor al mismo tiempo.
| Edad | Concentración de flúor en la pasta de dientes |
|---|---|
| Bebés (hasta 2 años) | 1000 ppm F |
| Niños pequeños (2-6 años) | 1000 ppm F |
| Niños en edad escolar (a partir de 6 años) y adolescentes | 1000-1500 ppm F |
| Adultos | 1000-1500 ppm F |
Si llevas a tu hijo al dentista con regularidad, el inicio de la fluorosis puede detectarse rápidamente y se puede frenar su deterioro.