La fluorosis dental es una afección cosmética que afecta los dientes. A pesar de que la fluorosis tenga su origen en la primera etapa de la vida, sus síntomas son visibles en los dientes definitivos, en lugar de en los dientes de leche. Es importante destacar que la fluorosis dental en los niños no es una enfermedad. Sin embargo, hay casos específicos con alteraciones en el color y la estructura del esmalte dental e incluso manchas en la superficie de los dientes, que se avistan cuando erupcionan los definitivos.

En base a esto, resulta chocante que el flúor pueda tener algún efecto negativo sobre la boca. Seguramente has escuchado muchas veces lo importante que es el flúor en la lucha contra las caries. E, incluso, que te hayan hablado de la necesidad de usar pastas de dientes fluoradas para remineralizar el esmalte, haciéndolo más resistente frente a las lesiones cariosas.
¿Qué es la Fluorosis Dental?
La fluorosis dental es una alteración del esmalte producida por una exposición excesiva al flúor durante el proceso de formación de los dientes. La exposición excesiva al flúor da lugar a una hipermineralización del esmalte y provoca que el esmalte no se forme de manera adecuada. Esto afecta a su calidad y deriva en manchas o estrías visibles en los dientes.
Causas de la Fluorosis Dental en Niños
En general, la principal causa de la fluorosis dental es la sobreexposición al flúor durante la etapa de formación del esmalte. Los casos de fluorosis en niños pequeños se producen cuando existe una exposición excesiva antes de los 8 años de edad, especialmente entre los 15 y los 30 meses. Podemos mencionar las siguientes causas:
- Tipo de agua: El consumo de agua con una concentración de flúor elevada puede causar fluorosis. En algunas zonas el agua potable contiene una cantidad de fluoruro superior a 1,5 mg/l, cantidad que recomienda la Organización Mundial de la Salud (OMS). No obstante, el consumo de agua del grifo en España es segura, por lo que no es una causa habitual en nuestro medio.
- Productos de higiene bucodental: El uso de pastas de dientes o colutorios que contienen una concentración o cantidad de flúor superior a la recomendada puede provocar fluorosis dental. La alteración se presenta como consecuencia de haber tragado continuamente los colutorios o cremas dentales que contienen esta sustancia, en una comunidad donde ya el agua está fluorada.
- Suplementos con fluoruro: El consumo de suplementos con fluoruro en embarazadas o niños menores de seis años también puede provocar fluorosis dental.
- Evitar el consumo excesivo de alimentos y suplementos alimenticios con alto contenido de flúor: hay que ser cuidadosos a la hora de controlar las cantidades y respetar las dosis recomendadas.
Dicho esto, el consumo directo de agua no es lo único que puede causar fluorosis. En España, el consumo de agua potable es seguro. Por tanto, las dos situaciones mencionadas son improbables en nuestro país. La ingesta de flúor debe ir aumentando gradualmente con el paso de los años, y a medida que los niños desarrollan la habilidad de escupir el dentífrico o enjuague (en lugar de tragárselo). En general, los niños pueden empezar a usar las pastas de dientes para adultos a partir de los seis años.

Síntomas de la Fluorosis Dental
Los síntomas de la fluorosis dental pueden variar en función de la severidad del caso. Algunos de los principales signos son:
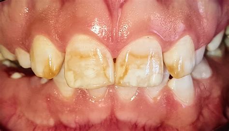
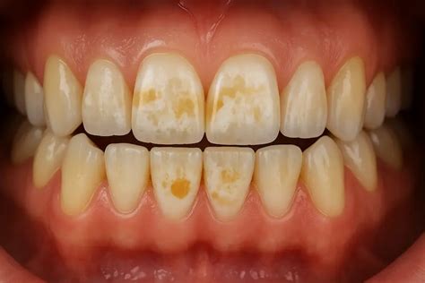
- Cambios de color: uno de los principales signos de fluorosis es la aparición de manchas blancas u opacas en los dientes.
- Grietas y estrías: al debilitarse el esmalte dental, comienzan a aparecer pequeñas grietas y estrías, normalmente de color blanco.
- Fluorosis dental severa: se caracteriza por la presencia de rugosidades en el esmalte y las manchas se vuelven más oscuras, adquiriendo una tonalidad marrón.
Si descubres rayas blancas o manchas en los dientes de tu hijo o si observas que uno o más dientes se decoloran, puede tratarse de fluorosis dental en los niños. Aparte de la fluorosis dental en los niños, hay otras razones por las que aparecen manchas blancas en sus dientes. Una caries incipiente causa este tipo de lesiones, que parecen una ligera decoloración. La inadecuada higiene origina acumulaciones de biofilm en algunos puntos de la dentadura, que adoptan la apariencia de manchas claras.
🚨 Fluorosis dental
Tipos de Fluorosis Dental
Podemos distinguir 5 diferentes tipos de fluorosis dental en los niños atendiendo a su gravedad:
- Muy leve: Áreas opacas que no abarcan más del 2 % de la superficie del diente.
- Ligera: Pequeñas manchas blancas en el esmalte.
- Leve: Manchas opacas en menos del 50% de la superficie.
- Moderada: Cuando el esmalte luce un tono opaco en más del 50% de la superficie.
- Grave: Las manchas ocupan la totalidad del esmalte.

Diagnóstico de la Fluorosis Dental
El diagnóstico de la fluorosis dental generalmente lo realiza un odontólogo a través de una exploración clínica de los dientes (examen visual). Durante el examen, el dentista determinará la gravedad de la fluorosis. La escala va de uno - decoloración limitada - a ocho - decoloración limitada y extensa con cambios en la estructura dental. Si la fluorosis aún no ha atacado al esmalte, sino que sólo se trata de una decoloración óptica, las manchas blancas no suponen un peligro para la salud dental y, de hecho, pueden ignorarse.
Tratamientos para la Fluorosis Dental
El objetivo principal de cualquier tratamiento para la fluorosis dental es asegurar la salud de los dientes, así como restablecer la estética y armonía de la sonrisa. Lo primero que debes saber es que no existe un tratamiento único para la pigmentación provocada por la fluorosis dental. El tipo de tratamiento variará dependiendo del tipo y gravedad de la mancha, por lo que es necesaria una valoración previa en la consulta del odontólogo.
En primer lugar, una amarga noticia: la fluorosis no desaparece por sí sola y tampoco se pueden eliminar las manchas. Para ello se necesitan tratamientos dentales, algunos de los cuales sólo son adecuados para adultos.
- En los casos de fluorosis leve se suelen utilizar pastas de dientes y geles remineralizantes para saturar el esmalte con calcio y favorecer, así, su restauración.
- En los casos moderados, cuando aparecen ciertas manchas, se opta por pastas microabrasivas que remueven la capa del esmalte que ha sido afectada.
- El blanqueamiento dental es un tratamiento al que se puede recurrir en casos de fluorosis leve. Con el blanqueamiento, se puede blanquear el resto del diente para que el contraste con las manchas blancas sea menor. El blanqueamiento no es adecuado para todo el mundo: Los niños y adolescentes menores de 18 años, las mujeres embarazadas y en periodo de lactancia y los pacientes con caries no deben someterse a un blanqueamiento dental.
- Cuando el blanqueamiento no resulta suficiente, el odontólogo podrá recomendar la colocación de carillas dentales, las cuales pueden ser de composite o porcelana. Las carillas son unas finísimas carillas de cerámica que se pegan al diente con un adhesivo especial. La fluorosis subyacente queda enmascarada, por así decirlo, y las manchas blancas desaparecen tras la fachada de las carillas. Las carillas se colocan sobre la superficie de los dientes, ocultando las manchas y mejorando la apariencia general. Desventaja: Los costes del tratamiento son elevados y -al tratarse de una intervención estética- no suelen estar cubiertos por el seguro médico. Además, los dientes resultan dañados en el proceso: para que las carillas se adhieran bien a los dientes, primero hay que tallarlos. Esto daña permanentemente la sustancia dental. Este método sólo se recomienda si las manchas son muy graves y causan un gran sufrimiento psicológico.
- Por su parte, el tratamiento indicado para los casos más severos de fluorosis dental puede ser la colocación de coronas. Las coronas son unas prótesis dentales que cubren totalmente la estructura del diente. Por tanto, permiten tapar las manchas o los daños por completo.
- Se puede utilizar un empaste de composite cuando el esmalte dental está dañado.

Prevención de la Fluorosis Dental
Sin embargo, la vigilancia de los padres es la clave para prevenir la fluorosis. También es importante controlar el uso de pasta dental fluorada. Hay que colocar una cantidad de pasta de dientes del tamaño de un guisante en el cepillo de dientes del niño. También hay que enseñar al niño a escupir la pasta de dientes después de cepillarse en lugar de tragarla. Tomar estas precauciones puede ayudar a reducir significativamente el riesgo de fluorosis dental y asegurar que los dientes de los niños crezcan sanos y fuertes.
En este punto, resulta fundamental la supervisión paterna durante la infancia. En primer lugar, está indicado el uso de pastas de dientes y colutorios infantiles, con cantidades de flúor adaptadas a las necesidades de los más pequeños. Además, los padres deberán de vigilar que, tras el cepillado, el niño o la niña escupa el exceso de espuma que se genera durante el cepillado. En segundo lugar, es importante dosificar la cantidad de pasta dentífrica necesaria para un correcto cepillado: no debe superar el tamaño de un garbanzo pequeño, aproximadamente. Por último, recuerda mantener los productos de higiene dental fuera del alcance de los niños.
Aquí hay algunas recomendaciones adicionales:
- Usar productos de higiene oral específicos para cada edad: los niños menores de seis años no podrán utilizar dentífricos ni colutorios para adultos.
- Adaptar la cantidad de pasta de dientes: no es recomendable guiarse por las imágenes de los anuncios de dentífricos en televisión, y menos en el caso de los niños. No es necesario ni aconsejable que la pasta rebose en el cepillo. Además, la cantidad de dentífrico también tiene que estar adaptada para cada edad. Por ejemplo, en los bebés dicha cantidad debe ser mínima, ya que no saben enjuagarse ni escupir.
- Consumir agua mineral embotellada: los niños menores de seis años que viajan a regiones donde el agua potable tiene una concentración de flúor superior a la recomendada para su edad deberán usar agua mineral embotellada.
Si tienes cualquier consulta sobre cómo tratar una posible fluorosis dental en niños, no dudes en pedir cita en tu clínica Moonz más cercana. No le suministres a tu hijo esta clase de productos durante la infancia sin consultarlo con un dentista. Mantener un equilibrio en la ingesta de flúor y estar atento a los síntomas son pasos importantes para proteger la salud a largo plazo. En nuestra clínica dental en Málaga podemos ayudarte e informarte sobre el consumo de flúor puede ayudar a prevenir esta condición.
| Edad | Concentración de flúor recomendada en la pasta de dientes |
|---|---|
| Bebés (hasta 2 años) | 1000 ppm (parte por millón) |
| Niños (2-6 años) | 1000-1450 ppm |
| Niños mayores de 6 años y adultos | 1450 ppm |
Importante: La información facilitada presupone que no se toman comprimidos de flúor al mismo tiempo.