¿Sabías que una exposición excesiva al flúor puede producir una afección llamada fluorosis dental? Seguramente has escuchado muchas veces lo importante que es el flúor en la lucha contra las caries. E, incluso, que te hayan hablado de la necesidad de usar pastas de dientes fluoradas para remineralizar el esmalte, haciéndolo más resistente frente a las lesiones cariosas. En base a esto, resulta chocante que el flúor pueda tener algún efecto negativo sobre la boca.

¿Qué es la Fluorosis Dental?
La fluorosis dental es una alteración del esmalte producida por una exposición excesiva al flúor durante el proceso de formación de los dientes. La fluorosis dental es la hipomineralización del esmalte por aumento de la porosidad debido a una excesiva ingesta de flúor durante el desarrollo de los dientes. La hipomineralización es una enfermedad muy frecuente de los dientes que afecta a la calidad del esmalte dental (capa más externa del diente), haciéndolo mucho más susceptibles a otros defectos como la erosión y la caries dental. Es un defecto cualitativo del esmalte debido a una perturbación durante la calcificación inicial o durante la formación y maduración del diente.
A pesar de que la fluorosis tenga su origen en la primera etapa de la vida, sus síntomas son visibles en los dientes definitivos, en lugar de en los dientes de leche.
Causas de la Fluorosis Dental
En general, la principal causa de la fluorosis dental es la sobreexposición al flúor durante la etapa de formación del esmalte. La fluorosis se produce cuando hay demasiado flúor en el organismo. El principio de "menos es más" se aplica al flúor. Este ingrediente activo natural se encuentra en nuestros huesos y dientes y también se ha demostrado que es un eficaz protector contra la caries, lo que ha garantizado que las enfermedades dentales hayan disminuido drásticamente en las últimas décadas. Sin embargo, no debemos excedernos con la ingesta de flúor.
La exposición excesiva al flúor da lugar a una hipermineralización del esmalte y provoca que el esmalte no se forme de manera adecuada. Esto afecta a su calidad y deriva en manchas o estrías visibles en los dientes.
Dicho esto, el consumo directo de agua no es lo único que puede causar fluorosis. El fluoruro aparece de manera natural en el agua. Los niveles de fluoruro natural por encima del rango recomendado actualmente para el agua potable pueden aumentar el riesgo de fluorosis severa.
El uso de dentífricos o enjuagues bucodentales con una cantidad de flúor superior a la recomendada es otra de las causas de fluorosis dental. La ingesta de flúor debe ir aumentando gradualmente con el paso de los años, y a medida que los niños desarrollan la habilidad de escupir el dentífrico o enjuague (en lugar de tragárselo). En general, los niños pueden empezar a usar las pastas de dientes para adultos a partir de los seis años.
El consumo de suplementos con fluoruro en embarazadas o niños menores de seis años también puede provocar fluorosis dental.
Como te decimos, puede suceder en adultos y en niños. En el caso de los más pequeños, puede surgir por el uso inapropiado de productos dentales con flúor. El problema, es que a veces los niños tienden a tragar la pasta de flúor en vez de escupirla. En muchos casos, porque su sabor les resulta más agradable.
Hay que tener en cuenta, que el fluoruro no solo está presente en estos productos dentales. También aparece de manera natural en la propia agua. Por lo que, si el agua potable presenta unos niveles de fluoruro altos, podría tener consecuencias para los niños y para los adultos.

Síntomas de la Fluorosis Dental
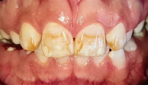
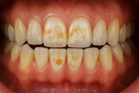
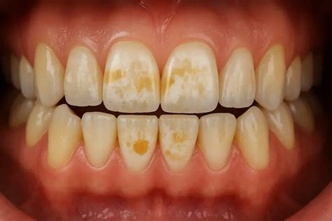
Los síntomas de la fluorosis dental pueden variar en función de la severidad del caso. Cuando la dentadura es afectada por esta fluorosis, pueden mostrarse descoloridos, con manchas blancas o con un color amarillento o marrón oscuro.
- Pequeñas grietas y estrías: normalmente, estas grietas y estrías son de color blanco.
- En los estados más leves se manifiesta como unas manchas blancas, congénitas y va tornándose a un color marrón o gris verdoso al aumentar su severidad.
Para reconocer este problema en nuestros dientes, solo basta con ver los cambios de color que se presentan. A veces, se crean manchas de color blanquecino, que van ligadas con pequeñas grietas y estrías (grado leve). En casos más extremos, aparecen manchas marrones y agujeritos, dando apariencia de que están corroídos.
La fluorosis dental afecta tanto los dientes anteriores como los posteriores, pero el segmento anterior es el motivo de consulta preferente para recibir un tratamiento estético y funcional.
Grados de Fluorosis Dental
- Fluorosis leve: no necesita tratamiento. Se puede mejorar la apariencia por medio de técnicas, para ocultar las manchas.
- Fluorosis severa o aguda: en esta fase el paciente presenta caries y aparecen manchas que ocupan gran parte del diente. Si no se trata a tiempo, la fluorosis acabará afectando la función dental, ya que al debilitar el esmalte, los dientes contraen caries con facilidad.
Si es leve, no necesita tratamiento. Se puede mejorar la apariencia por medio de técnicas, para ocultar las manchas. En cambio, en los casos de fluorosis moderada o severa, en los que se haya deteriorado el esmalte dental, la solución pasará por restaurar las piezas con composite o cerámica. En los frentes estéticos utilizaremos carillas dentales, finas láminas que nos permiten personalizar el tamaño, color y textura de los dientes. En los sectores posteriores recomendaremos las incrustaciones, fragmentos de cerámica que cubren la parte perdida del diente.
Diagnóstico de la Fluorosis Dental
El diagnóstico de la fluorosis dental generalmente lo realiza un odontólogo a través de una exploración clínica de los dientes (examen visual). Si observas manchas blancas en los dientes de tu hijo, debes concertar una cita con el dentista para ver si se trata de fluorosis. Durante el examen, el dentista determinará la gravedad de la fluorosis. La escala va de uno - decoloración limitada - a ocho - decoloración limitada y extensa con cambios en la estructura dental.
Tratamientos para la Fluorosis Dental
El objetivo principal de cualquier tratamiento para la fluorosis dental es asegurar la salud de los dientes, así como restablecer la estética y armonía de la sonrisa. Los tratamientos para corregir la fluorosis dental dependerán del grado de gravedad de la afección y del estado en que se encuentren los dientes. Los tratamientos para la fluorosis dental o para las manchas blancas de los dientes suelen variar según la gravedad y severidad de la mancha. Normalmente, se suele usar una técnica llamada microabrasión dental para los casos más leves.
En ese caso, es mejor optar por blanqueamientos o colocación de carillas o coronas.
Este es un resumen de las opciones de tratamiento:
- Blanqueamiento dental: Es un tratamiento al que se puede recurrir en casos de fluorosis leve.
- Carillas dentales: Cuando el blanqueamiento no resulta suficiente, el odontólogo podrá recomendar la colocación de carillas dentales, las cuales pueden ser de composite o porcelana. Las carillas se colocan sobre la superficie de los dientes, ocultando las manchas y mejorando la apariencia general.
- Coronas: El tratamiento indicado para los casos más severos de fluorosis dental puede ser la colocación de coronas. Las coronas son unas prótesis dentales que cubren totalmente la estructura del diente. Por tanto, permiten tapar las manchas o los daños por completo.
- Microabrasión: Debe realizarse bajo aislamiento absoluto, con aplicación aproximadamente 1mm de capa de una suspensión micro abrasiva compuesta por ácido clorhídrico al 6%, 15% y 18% o ácido fosfórico al 37% y carburo de silicio o piedra pómez.
- Resina Infiltrante: Así se restaura la estructura dental y se sella el esmalte.

Con el blanqueamiento, se puede blanquear el resto del diente para que el contraste con las manchas blancas sea menor. El blanqueamiento no es adecuado para todo el mundo: Los niños y adolescentes menores de 18 años, las mujeres embarazadas y en periodo de lactancia y los pacientes con caries no deben someterse a un blanqueamiento dental. Se puede utilizar un empaste de composite cuando el esmalte dental está dañado. Carillas son unas finísimas carillas de cerámica que se pegan al diente con un adhesivo especial.
La fluorosis subyacente queda enmascarada, por así decirlo, y las manchas blancas desaparecen tras la fachada de las carillas. Desventaja: Los costes del tratamiento son elevados y -al tratarse de una intervención estética- no suelen estar cubiertos por el seguro médico. Además, los dientes resultan dañados en el proceso: para que las carillas se adhieran bien a los dientes, primero hay que tallarlos. Esto daña permanentemente la sustancia dental. Este método sólo se recomienda si las manchas son muy graves y causan un gran sufrimiento psicológico.
🚨 Fluorosis dental
Prevención de la Fluorosis Dental
Lo ideal es que exista una prevención de la fluorosis. Es posible prevenir la fluorosis dental si tomamos las precauciones necesarias durante la infancia. La buena alimentación y los buenos hábitos de higiene dental son los pilares para un desarrollo correcto de los dientes y para prevenir posibles patologías como la fluorosis. Es importante puntualizar que las etapas leves de fluorosis dental no son fácilmente perceptibles por el paciente, así que es fundamental que durante la etapa de desarrollo de los dientes los pacientes tengan muy en cuenta las consultas periódicas con el odontopediatra, al menos dos veces al año, para tratar estas patologías en su estado inicial y evitar así el deterioro de los dientes.
Tomar estas precauciones puede ayudar a reducir significativamente el riesgo de fluorosis dental y asegurar que los dientes de los niños crezcan sanos y fuertes.
Aquí hay algunos consejos para prevenir la fluorosis dental:
- Usar productos de higiene oral específicos para cada edad: los niños menores de seis años no podrán utilizar dentífricos ni colutorios para adultos.
- Adaptar la cantidad de pasta de dientes: no es recomendable guiarse por las imágenes de los anuncios de dentífricos en televisión, y menos en el caso de los niños. No es necesario ni aconsejable que la pasta rebose en el cepillo. Además, la cantidad de dentífrico también tiene que estar adaptada para cada edad. Por ejemplo, en los bebés dicha cantidad debe ser mínima, ya que no saben enjuagarse ni escupir.
- Consumir agua mineral embotellada: los niños menores de seis años que viajan a regiones donde el agua potable tiene una concentración de flúor superior a la recomendada para su edad deberán usar agua mineral embotellada.
- También es importante controlar el uso de pasta dental fluorada. Hay que colocar una cantidad de pasta de dientes del tamaño de un guisante en el cepillo de dientes del niño. También hay que enseñar al niño a escupir la pasta de dientes después de cepillarse en lugar de tragarla.
Esta tabla muestra qué concentración de flúor es adecuada para cada edad para prevenir la fluorosis. Estas recomendaciones se basan en las directrices revisadas de la Academia Europea de Odontopediatría (EAPD). Importante: La información facilitada presupone que no se toman comprimidos de flúor al mismo tiempo.
| Edad | Concentración de Flúor Recomendada |
|---|---|
| Bebés | Cantidad mínima |
| Niños menores de 6 años | Dentífricos específicos para su edad |
| Niños mayores de 6 años | Pueden empezar a usar pastas de dientes para adultos |

En cualquier caso, si tienes alguna duda sobre cómo actuar ante la fluorosis dental, te recomendamos llamar a una de las clínicas dentales y solicitar tu primera visita gratuita. Ir al dentista de manera regular es importantísimo para detectar cualquier problema a tiempo.
tags: #fluorosis #dental #tratamiento