Seguramente has escuchado muchas veces lo importante que es el flúor en la lucha contra las caries. E, incluso, que te hayan hablado de la necesidad de usar pastas de dientes fluoradas para remineralizar el esmalte, haciéndolo más resistente frente a las lesiones cariosas. En base a esto, resulta chocante que el flúor pueda tener algún efecto negativo sobre la boca. ¿Sabías que una exposición excesiva al flúor puede producir una afección llamada fluorosis dental? Y precisamente sobre ello vamos a hablar hoy. En esta entrada del blog explicaremos qué es la fluorosis dental y cómo puede tratarse.
La fluorosis dental es una alteración del esmalte causada por una exposición excesiva al flúor durante el desarrollo de los dientes. La fluorosis dental es una alteración que afecta el esmalte dental caracterizada por la aparición de manchas y puntos en los dientes. A lo largo del artículo se abordarán las causas, síntomas, diagnósticos y tratamientos de la fluorosis dental.

¿Qué es la Fluorosis Dental?
La fluorosis dental es una alteración del esmalte producida por una exposición excesiva al flúor durante el proceso de formación de los dientes. A pesar de que la fluorosis tenga su origen en la primera etapa de la vida, sus síntomas son visibles en los dientes definitivos, en lugar de en los dientes de leche. La exposición excesiva al flúor da lugar a una hipermineralización del esmalte y provoca que el esmalte no se forme de manera adecuada. Esto afecta a su calidad y deriva en manchas o estrías visibles en los dientes.
Causas de la Fluorosis Dental
Varios factores han sido identificados como responsables del desarrollo de esta condición bucodental. En general, la principal causa de la fluorosis dental es la sobreexposición al flúor durante la etapa de formación del esmalte. La fluorosis se produce cuando los dientes reciben constantemente demasiado flúor durante un largo periodo de tiempo. Esto es especialmente cierto en niños de entre dos y seis años, cuando la formación de los dientes aún no se ha completado.
En primer lugar, tenemos que los niveles excesivos de flúor en el agua potable son una de las causas más comunes de fluorosis dental. El agua potable es una de las principales fuentes de flúor. El consumo de agua con una concentración de flúor elevada puede causar fluorosis. La Organización Mundial de la Salud recomienda que el nivel de fluoruro en el agua no supere las 1.5 partes por millón (ppm). No obstante, el consumo de agua del grifo en España es segura, por lo que no es una causa habitual en nuestro medio. En España, el consumo de agua potable es seguro. Por tanto, las dos situaciones mencionadas son improbables en nuestro país.
El uso de dentífricos o enjuagues bucodentales con una cantidad de flúor superior a la recomendada es otra de las causas de fluorosis dental. Por último, otra de las causas más relacionadas tiene que ver con la exposición prolongada a ciertos productos como pasta de dientes o colutorios con una cantidad de flúor superior a la recomendada. La ingesta de flúor debe ir aumentando gradualmente con el paso de los años, y a medida que los niños desarrollan la habilidad de escupir el dentífrico o enjuague (en lugar de tragárselo). En general, los niños pueden empezar a usar las pastas de dientes para adultos a partir de los seis años.
El consumo de suplementos con fluoruro en embarazadas o niños menores de seis años también puede provocar fluorosis dental. Tipo de agua: en algunas zonas el agua potable contiene una cantidad de fluoruro superior a 1,5 mg/l, cantidad que recomienda la Organización Mundial de la Salud (OMS). Productos de higiene bucodental: el uso de pastas de dientes o colutorios que contienen una concentración o cantidad de flúor superior a la recomendada puede provocar fluorosis dental.

Síntomas de la Fluorosis Dental
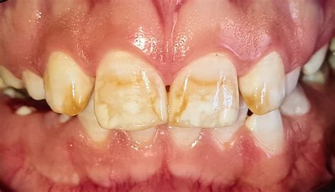
Los síntomas de la fluorosis dental pueden variar en función de la severidad del caso. La forma leve de fluorosis dental se caracteriza por la aparición de manchas blancas o pequeñas estrías en la superficie del esmalte. Cambios de color: uno de los principales signos de fluorosis es la aparición de manchas blancas u opacas en los dientes. Pequeñas grietas y estrías: normalmente, estas grietas y estrías son de color blanco. Grietas y estrías: al debilitarse el esmalte dental, comienzan a aparecer pequeñas grietas y estrías, normalmente de color blanco. Fluorosis dental severa: se caracteriza por la presencia de rugosidades en el esmalte y las manchas se vuelven más oscuras, adquiriendo una tonalidad marrón.
Podemos distinguir 5 diferentes tipos de fluorosis dental en los niños atendiendo a su gravedad.
- Ligera. Pequeñas manchas blancas en el esmalte.
- Muy leve. Áreas opacas que no abarcan más del 2 % de la superficie del diente.
- Leve. Manchas opacas en menos del 50% de la superficie.
- Moderada. Cuando el esmalte luce un tono opaco en más del 50% de la superficie.
- Grave. Las manchas ocupan la totalidad del esmalte.
Aparte de la fluorosis dental en los niños, hay otras razones por las que aparecen manchas blancas en sus dientes. Una caries incipiente causa este tipo de lesiones, que parecen una ligera decoloración. La inadecuada higiene origina acumulaciones de biofilm en algunos puntos de la dentadura, que adoptan la apariencia de manchas claras. En definitiva, recuerda que los dientes afectados por fluorosis dental no están enfermos.
Diagnóstico de la Fluorosis Dental
El diagnóstico de la fluorosis dental generalmente lo realiza un odontólogo a través de una exploración clínica de los dientes (examen visual). El diagnóstico de la fluorosis dental se realiza a través de evaluaciones clínicas y radiológicas. La evaluación del estado dental se lleva a cabo mediante una exploración visual exhaustiva. Radiografías: Pueden ser requeridas para determinar la salud general de los dientes. El diagnóstico de la fluorosis dental varía en función de la edad del paciente. En niños, la supervisión es especialmente importante dado que los daños en el esmalte son más habituales durante el período crítico de formación dental. Para los adultos, el enfoque es diferente, ya que las estructuras dentales han madurado.
Tratamientos para la Fluorosis Dental
El objetivo principal de cualquier tratamiento para la fluorosis dental es asegurar la salud de los dientes, así como restablecer la estética y armonía de la sonrisa. Por ello, el tratamiento adecuado irá en función de la gravedad de las manchas causadas por la fluorosis dental. Los tratamientos para la fluorosis dental varían según la severidad de la condición.
El blanqueamiento dental es un tratamiento al que se puede recurrir en casos de fluorosis leve. Blanqueamiento dental: se trata de la opción más común en los casos más leves. El blanqueamiento elimina las manchas y los puntos producidos por fluorosis dental. Cuando el blanqueamiento no resulta suficiente, el odontólogo podrá recomendar la colocación de carillas dentales, las cuales pueden ser de composite o porcelana. Las carillas se colocan sobre la superficie de los dientes, ocultando las manchas y mejorando la apariencia general. Por su parte, el tratamiento indicado para los casos más severos de fluorosis dental puede ser la colocación de coronas. Las coronas son unas prótesis dentales que cubren totalmente la estructura del diente. Por tanto, permiten tapar las manchas o los daños por completo.
🚨 Fluorosis dental
Prevención de la Fluorosis Dental
El cuidado y la prevención son fundamentales para reducir el riesgo de esta alteración dental. Controlar la concentración de flúor en el agua potable es esencial para prevenir efectos adversos en el esmalte dental. Una buena práctica de higiene dental es vital en la infancia, no solo para prevenir la fluorosis, sino también para mantener dientes sanos.
- Usar productos de higiene oral específicos para cada edad: los niños menores de seis años no podrán utilizar dentífricos ni colutorios para adultos. Utilizar únicamente dentífricos especialmente recomendados para niños y en la dosis recomendada por el fabricante. De esta manera, nos aseguraremos de utilizar productos que contienen la concentración de flúor adecuada para su edad y caso en particular.
- Adaptar la cantidad de pasta de dientes: no es recomendable guiarse por las imágenes de los anuncios de dentífricos en televisión, y menos en el caso de los niños. No es necesario ni aconsejable que la pasta rebose en el cepillo. Además, la cantidad de dentífrico también tiene que estar adaptada para cada edad. Por ejemplo, en los bebés dicha cantidad debe ser mínima, ya que no saben enjuagarse ni escupir.
- Consumir agua mineral embotellada: los niños menores de seis años que viajan a regiones donde el agua potable tiene una concentración de flúor superior a la recomendada para su edad deberán usar agua mineral embotellada.
- Evitar el consumo excesivo de alimentos y suplementos alimenticios con alto contenido de flúor: hay que ser cuidadosos a la hora de controlar las cantidades y respetar las dosis recomendadas. Evitar comer en exceso alimentos con una alta concentración de flúor como el pescado azul o las espinacas.
- Elegir el dentífrico correcto es esencial.
Tomar estas precauciones puede ayudar a reducir significativamente el riesgo de fluorosis dental y asegurar que los dientes de los niños crezcan sanos y fuertes. No obstante, en caso de padecer fluorosis dental, es recomendable acudir lo antes posible al dentista y poder tratarla correctamente.

Si descubres rayas blancas o manchas en los dientes de tu hijo o si observas que uno o más dientes se decoloran, puede tratarse de fluorosis dental en los niños. En todo caso, si tienes dudas te esperamos encantados en BASTIDA Clínica Dental en Vigo donde un equipo de odontólogos especialistas te espera con los brazos abiertos para resolver todas tus dudas sobre la fluorosis y ayudarte a conseguir la sonrisa perfecta. En cualquier caso, si tienes alguna duda sobre cómo actuar ante la fluorosis dental, te recomendamos llamar a una de las clínicas dentales Vitaldent y solicitar tu primera visita gratuita. Si tienes cualquier consulta sobre cómo tratar una posible fluorosis dental en niños, no dudes en pedir cita en tu clínica Moonz más cercana.