Además del dolor dental agudo, las fracturas dentales representan uno de los motivos por los que muchos pacientes acuden a urgencias odontológicas. Si alguna vez has sufrido un traumatismo dental o una fractura dental, sabrás lo doloroso que puede ser. Además del dolor físico, puede tener un impacto en tu autoestima y en la calidad de tu vida en general. Afortunadamente, hay opciones para la reconstrucción dental que pueden devolverte una sonrisa saludable. En este artículo, hablaremos de los diferentes tipos de traumatismo y fractura dental, así como de las opciones de reconstrucción disponibles.
Cuando el paciente acude a una clínica dental con sospechas de fractura en un diente, el dentista especialista evaluará clínicamente y mediante una radiografía periapical el diente. Si en algún momento has sentido un dolor agudo o un crujido al morder algo especialmente duro, es probable que estés lidiando con una fractura dental. La noticia positiva es que es más normal de lo que piensas y, aunque pueda parecer alarmante, hay tratamientos muy efectivos para solucionar este problema.
Las fracturas dentales son roturas, golpes o traumas que ocurren en uno o más dientes. Estas pueden ir desde una leve rotura en las capas del diente, bien sea esmalte, dentina o pulpa dental, hasta la pérdida de la estructura dental. La gravedad de la fractura determinará su tratamiento, ya que puede ser asintomática, dolorosa o causar problemas para masticar.

Tipos de Fracturas Dentales
Los traumatismos dentarios pueden dar lugar a una gran variedad de lesiones. Las fracturas coronarias y las fracturas radiculares sólo son un ejemplo de estas lesiones. Las fracturas dentales pueden clasificarse en diferentes tipos, según su gravedad y ubicación.
- Fractura o fisura del esmalte: En estos casos puede observarse una línea de fractura superficial sin verse comprometida su estructura total del diente.
- Fractura coronaria: Es una fractura en la que el trauma ha afectado a la corona del diente. Se dividen en fractura no complicada de corona, cuando el trauma solo ha afectado al esmalte del diente.
- Coronaria con afectación pulpar: Afecta a la dentina y al nervio dental.
- Corono-radicular: Son lesiones poco frecuentes que representan del 0.5% al 7% de las fracturas. Esta es un poco más complicada, ya que afecta al mismo tiempo la parte coronaria y la parte radicular del diente.
- Radicular intraalveolar: Es una de las fracturas más graves ya que se da cuando la lesión compromete la raíz del diente. Se trata de una fisura que se extiende por la raíz, desde la base hasta alcanzar la corona.
- Fractura dental completa: El diente se ha separado completamente en dos o más partes.
- Fractura dental complicada: El diente se ha separado completamente y la pulpa dental (el tejido blando en el interior del diente que contiene los nervios y los vasos sanguíneos) está expuesta.
- Fractura radicular: Ocurre cuando la raíz del diente se fractura.
- Fractura coronal-vertical: La fractura se extiende desde la superficie masticatoria del diente hacia la raíz.
- Fractura cuspídea: Una de las cúspides del diente se fractura.
- Fractura de la línea de esmalte: La fractura se extiende solo a través del esmalte dental, la capa externa del diente.
- Fractura del esmalte y dentina: La fractura se extiende a través del esmalte y la dentina, la capa más interna del diente.
Algunos indicadores fáciles de detectar serán el dolor agudo al comer y beber, sangrado y sensibilidad al tacto. Si presentas caries dentales sin tratar y/o si notas y ves tus dientes muy desgatados podrías padecer una fractura dental.
Manejo de trauma dental en niños.
Causas de las Fracturas Dentales
Además de un golpe o una contusión directa sobre un diente, la fractura de un diente puede tener diferentes orígenes o causas:
- Además de los motivos accidentales, una higiene oral incorrecta puede ocasionar problemas que lleven a una fractura dental.
- Hay hábitos que pueden generar fracturas en nuestros dientes como morder lápices, comer hielo o morderte las uñas.
- La caries es una patología dental infecciosa y contagiosa que si no es tratada a tiempo provocará la destrucción irreversible de la estructura dental. Por ello es sumamente importante tratar con celeridad las caries dentales en la consulta dental. Una caries muy grande debilita la estructura del diente, haciéndolo más propenso a fracturarse.
- Lo mismo pasa con los empastes grandes; Cuanto más grande sea el empaste, más se debilita la estructura dental.

Tratamientos para Fracturas Dentales
Ante una fractura dental el primer paso es acudir al dentista para evaluar el tipo de fractura y decidir qué tratamiento es el más indicado. No hay remedios caseros para tratar un diente fracturado, sino que el tratamiento únicamente será profesional y odontológico.
Antes de elegir un tratamiento u otro es necesario determinar qué tipo de fractura tienes y la severidad de la misma. Si bien existen algunos indicadores ante una posible fractura dental, será el odontólogo quién nos brinde un diagnóstico y tratamiento.
El tratamiento depende del tipo de lesión de los dientes y del aparato periodontal. El posible espectro de estas fracturas comprende desde una gran variedad de fracturas de esmalte hasta fracturas coronarias simples o complejas con y sin exposición de la pulpa.
- Fracturas Leves: En casos de fracturas leves, por lo general un empaste o una reconstrucción serán suficientes para solucionar el problema. El tratamiento de una fractura del diente leve se realizará cuando la fractura dental es pequeña y el nervio dental no está afectado. Si la fractura es de un diente anterior se podrá optar por la realización de una carilla de composite o de cerámica, para mejorar la estética de la pieza dental afectada.
- Fracturas con Afectación del Nervio Dental: En este caso la fractura o rotura del diente ha alcanzado la zona de la cámara pulpar del mismo o el nervio dental. Asimismo, se deberá proteger esta pieza dental mediante la posterior realización de una prótesis fija o una corona dental.
- Fracturas Severas: Entendemos como fractura severa cuando la fractura dental afecta la estructura radicular del diente, es decir, su raíz. En este caso no se podrá tratar este diente y se deberá proceder a su extracción. La mejor opción de tratamiento de rehabilitación será la colocación de un implante dental. El implante dental no solo es el tratamiento más conservador y duradero sino que además es el único que permite preservar el hueso alveolar.
- Empastes dentales: Se utilizan para reparar fracturas dentales que afectan solo al esmalte y la dentina.
- Coronas dentales: Se utilizan para tratar fracturas dentales más graves que afectan a una mayor cantidad de tejido dental.
- Tratamiento de conducto radicular (endodoncia): Cuando una fractura dental es tan grave que expone la pulpa dental, puede ser necesario un tratamiento de conducto radicular para evitar infecciones y preservar el diente.
- Implantes dentales: Son una opción para tratar fracturas dentales que son tan graves que el diente no se puede salvar.
- Puentes dentales: Se utilizan para reemplazar un diente que se ha perdido debido a una fractura dental grave.
¿Cómo Actuar Ante una Fractura Dental?
Si una fractura dental se detecta a tiempo, se puede reparar. Esto implica retirar el trozo de diente roto y sustituirlo por un empaste o un puente dental. En el caso del empaste, éste es un arreglo temporal que dura entre uno y cinco años. Es necesario cuando la parte del diente roto es demasiado pequeña para sustituirla con un puente dental.
Lavar tu boca con agua tibia para limpiar la zona, es lo primero que debes hacer. Deberás controlar el sangrado como en el caso anterior, mordiendo una gasa o un pañuelo limpios. Coloca una compresa fría en la parte externa de la cara, para disminuir la hinchazón. Si el diente se ha salido por completo, tómalo por la parte blanca, no por la raíz, y si puedes, colócalo suavemente en su lugar.
Prevención de Fracturas Dentales
Aunque las fracturas dentales pueden ocurrir por accidentes, hay algunas medidas que puedes tomar para prevenir su aparición.
- Mantener unos correctos hábitos de higiene buco-dental para evitar la aparición de caries y evitar la desmineralización del esmalte dental. Entendemos como unos correctos hábitos de higiene buco-dental el cepillar correctamente los dientes, encías y lengua tras cada comida (durante tres minutos).
- Utilizar los dientes de una forma racional.
- Evite los alimentos y bebidas muy calientes o fríos.
- Si quieres prevenir las fracturas dentales, asegúrate de visitar a tu dentista para realizar revisiones periódicas y mantener tus dientes sanos.
Caso Clínico: Tratamiento de Fracturas Coronarias y Radiculares No Tratadas
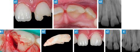
A continuación, se describe el caso de un paciente de 18 años que presentaba una fractura horizontal del tercio medio radicular así como una fractura coronaria simple y otra compleja en la zona de los incisivos superiores. El cuadro se acompañaba de grandes lesiones periapicales y no había sido tratado previamente.
Presentación del Caso
Un paciente de 18 años de edad con dolor y tumefacciones recidivantes en el sector anterosuperior fue remitido a una clínica para su valoración y tratamiento. El paciente no tenía antecedentes patológicos de interés. En la anamnesis odontológica destaca un accidente de bicicleta 8 años atrás que provocó la pérdida de los incisivos centrales y laterales de la dentición permanente. El paciente refirió que unos familiares le llevaron a urgencias de un centro hospitalario para el tratamiento de una herida incisa en piel y mucosa del labio superior. Se procedió a la sutura del labio superior, pero los dientes fracturados no se trataron. Además, el paciente no acudió en ningún momento a una consulta dental a pesar de que en los últimos dos años había observado una fístula que daba síntomas ocasionales.
Exploración y Diagnóstico
En la primera exploración no se evidenciaron ni adenopatías, ni parestesias ni déficits motores. En el maxilar se observó una fractura coronaria complicada del incisivo central derecho y una fractura coronaria simple del incisivo lateral izquierdo. Se diagnosticaron además hiperemias y tumefacciones con orificio de salida fistular en vestibular en la zona apical de ambos dientes. Las tumefacciones eran fijas y no mostraban signos de fluctuación. Únicamente el incisivo central izquierdo mostró una reacción normal a la prueba de sensibilidad con nieve carbónica y con un pulpovitalómetro, mientras que los otros tres incisivos superiores no respondieron.
Los dos dientes con fractura coronaria (incisivo central derecho e incisivo lateral izquierdo) mostraron además sensibilidad a la palpación y a la percusión. Ninguno de los incisivos presentaba movilidad.
En la radiografía se observaron dos lesiones radiolúcidas independientes. Una de ellas se localizaba en la zona periapical de los incisivos central y lateral derechos y la otra lesión se hallaba en la zona periapical de los incisivos central y lateral izquierdos. En el tercio medio del incisivo central izquierdo se detectó además una fractura radicular horizontal. Los fragmentos estaban separados por una línea radiolúcida y los bordes fracturarios mostraban un aspecto redondeado a nivel periapical. Desde el punto de vista clínico, el diente no era móvil ni mostró sensibilidad a la percusión. Según la clasificación de Andreasen y Andreasen parecía haber tenido lugar un proceso curativo con formación de tejido conjuntivo entre los segmentos radiculares.
Tratamiento
Se procedió a la aspiración de las lesiones radiolúcidas con una cánula de calibre 18 y se extrajeron aproximadamente 1 ml de pus del sector anterior izquierdo y 0,5 ml de pus y exudado sanguinolento del sector anterior derecho. Para asegurar una mejor curación de las lesiones y de los trayectos fistulosos se optó por un tratamiento endodóntico.
Transcurrido un período de 4-6 semanas se observó una buena cicatrización de las heridas y se dio por finalizado el tratamiento endodóntico. La mala evolución del trayecto fistuloso indujo a programar una intervención quirúrgica apical una vez concluido el tratamiento endodóntico.
En un primer paso se prepararon las cavidades de acceso de los incisivos derechos y del incisivo lateral izquierdo con aislamiento bajo dique de goma. Se instrumentaron los conductos bajo irrigación con hipoclorito sódico al 2,5%. Después de la preparación, se secaron los conductos de los incisivos derechos con puntas de papel secante. Para la obturación se utilizó hidróxido de calcio en polvo mezclado con agua destilada estéril hasta la formación de una pasta que se introdujo con una espiral tipo léntulo. A continuación, se procedió al cierre provisional de las cavidades de acceso con Cavit G. Se sustituyó semanalmente el material de obturación.
El trayecto fistuloso abscesificado seguía presente al cabo de seis semanas y el paciente presentaba molestias persistentes (principalmente dolor) en esa región. Por esa razón se planificó una intervención periapical.
En la siguiente visita y después de un enjuague con gluconato de clorhexidina al 0,2% se obturaron los conductos radiculares con puntas de gutapercha y cemento sellador. Se preparó un colgajo mucoperióstico de espesor total triangular entre el lado distal del canino izquierdo y el lado distal del canino derecho bajo anestesia local. Se utilizaron fresas esféricas de metal duro para preparar la cavidad ósea de los distintos dientes con refrigeración por agua.
Se optó además por el tratamiento quirúrgico del incisivo central derecho con la fractura radicular por su proximidad al gran defecto quirúrgico, que hubiera alterado la perfusión de la zona y mermado la irrigación del incisivo. Se realizó una limpieza mecánica de las zonas periapicales con excavadores afilados y se enviaron muestras de tejido a un laboratorio para su examen histopatológico. Se prepararon las cavidades retrógradas con puntas sónicas diamantadas y se sellaron con IRM. Posteriormente se rellenaron los defectos con material de hueso bovino inorgánico.
Se prescribió un tratamiento antibiótico oral (amoxicilina/ácido clavulánico 500 mg/8 h durante 1 semana) así como un analgésico oral (ibuprofeno 400 mg). Se dio instrucciones al paciente para que realizara enjuagues bucales con gluconato de clorhexidina al 0,2% 3 veces al día. El examen histopatológico reveló un quiste periapical parcialmente abscesificado.
Seguimiento y Resultados
Se constató la buena evolución del proceso de cicatrización al retirar la sutura una semana después de la intervención. Las tumefacciones eran mínimas, el trayecto fistuloso estaba en fase de regresión y la cicatrización de los tejidos blandos evolucionaba satisfactoriamente. Sin embargo, como consecuencia de la pérdida de sustancia los dientes perdieron inserción y se volvieron móviles. Con objeto de estabilizarlos se colocó una férula durante un período inicial de un mes. La férula constaba de un alambre de acero inoxidable fijado con resina composite.
En la visita de control al cabo de un mes los incisivos seguían mostrando movilidad, lo que obligó a mantener la fijación durante otros tres meses. En esta sesión se restauró el incisivo central derecho con composite grabado al ácido (Grandio). La movilidad de los dientes se había normalizado una vez retirada la férula en la visita de control a los cuatro meses. Se restauró también el incisivo lateral izquierdo con un resina composite grabado al ácido (Grandio).
En la visita de control al cabo de seis meses los dientes estaban asintomáticos y mostraban signos de curación ósea periapical. Al cabo de 12 meses, el proceso de curación ósea periapical había llegado prácticamente a su fin. Al mismo tiempo se observó una encía perfectamente curada y con un contorno bien perfilado.
Este caso demuestra la importancia de un diagnóstico preciso y un plan de tratamiento integral para abordar fracturas coronarias y radiculares no tratadas, logrando resultados clínicos y radiológicos satisfactorios.
Conclusión
Las fracturas dentales son dolorosas e incómodas, pero no tienen por qué ser graves. No se puede predecir cuándo o cómo se fracturará un diente, pero hay formas de evitarlo. Si sientes dolor o crees que puedes tener una fractura dental, acude a tu dentista lo antes posible.
tags: #fractura #dental #complicada