¿Tienes un diente roto? ¿Se te ha puesto un diente negro y no sabes por qué? Un diente roto es una urgencia dental común, a menudo causada por un traumatismo. Las fracturas dentales son un problema común que puede afectar a personas de todas las edades. Desde un diente astillado hasta una fractura completa, estos daños pueden causar dolor y afectar la funcionalidad y estética de tu sonrisa. En ITES Dental Getafe sabemos que cada caso es único: la rotura de un diente no solo supone un inconveniente estético, también puede comprometer la salud oral y general del paciente.

Causas Comunes de la Fractura de Dientes
La rotura de un diente se puede producir por causas que pueden ser o bien accidentales o por malos hábitos. Un diente es fuerte (el esmalte es el tejido más duro del cuerpo humano), pero no indestructible.
- Traumatismos o golpes: Un accidente de coche, una caída, un balonazo jugando fútbol o básquet, o incluso una pelea, pueden causar un impacto directo en la boca. Los golpes directos en la cara o la boca, ya sea por accidentes deportivos, caídas o peleas, son una de las causas más frecuentes de fracturas dentales.
- Malos hábitos alimenticios: Ingerir diariamente alimentos ácidos, con un pH bajo, como pueden ser las bebidas gaseosas, el zumo de limón o de naranja, o el vinagre no es lo más adecuado para nuestros dientes ya que debilitan la capa del esmalte pudiendo provocar incluso la rotura del diente. Es importante tomar un vaso de agua tras la ingesta de este tipo de comidas y lavarnos después los dientes.
- Bruxismo: El bruxismo, o rechinar de dientes, es una condición donde los dientes se frotan y aprietan involuntariamente, especialmente durante el sueño. El hábito de rechinar los dientes por la noche o apretar la mandíbula constantemente desgasta y fisura las piezas dentales.
- Caries: La mala higiene bucal tiene como consecuencia la formación de caries. Las caries dentales debilitan la estructura del diente, haciéndolo más propenso a fracturarse. Un diente con una gran caries o infección podría fracturarse incluso con una mordida normal de algo blando, simplemente porque ya estaba muy débil.
- Desgaste natural: Con el tiempo, los dientes pueden desgastarse naturalmente debido a la masticación diaria. Con los años, nuestros dientes pasan por mucho. El esmalte puede tener pequeñas grietas por cambios térmicos (tomar cosas muy calientes y luego muy frías) o por el simple desgaste diario.
- Morder objetos duros: ¿Te suena eso de partir nueces con los dientes? ¿O masticar hielo, huesos, caramelos muy duros o abrir cosas con la boca? Son hábitos muy arriesgados. Una presión excesiva al morder algo duro puede ocasionar desde un diente astillado hasta partirlo en dos.
- Problemas gástricos: En personas que tienen reflujo gástrico o que padecen desórdenes alimentarios, como puede ser la bulimia, es común tener roturas de dientes por jugos gástricos.
Tipos de Fracturas Dentales
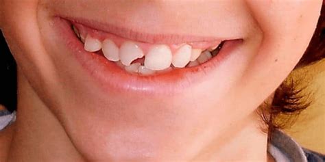
Un diente fracturado puede ir desde una pequeña grieta hasta partirse en dos mitades. Cuanto más profunda y extensa la fractura, más grave es la situación.
- Diente astillado o fisurado: Es la forma más leve. Solo una pequeña porción del esmalte se ha rajado o saltado. Un diente astillado es aquel que presenta pequeñas fisuras en el esmalte. Eso sí, si un diente astillado no se trata correctamente, terminará por romperse.
- Fractura parcial de la corona: Aquí sí se ha caído un trozo del diente. Una rotura parcial del diente tiene lugar cuando se desprende un trozo de este. Las fracturas que solo afectan al esmalte se producen principalmente en el borde incisal o en un ángulo interproximal.
- Diente partido por la mitad (fractura grave): Es cuando al menos la mitad del diente se ha fracturado. Una rotura total tiene lugar cuando se rompe, al menos, la mitad del diente.
- Fractura radicular o “diente partido por dentro”: Aquí la grieta nace en la raíz debajo de la encía y sube hacia la corona.
- Avulsión (diente fuera de su sitio): Hablamos de avulsión cuando el diente se sale por completo de su alveolo tras un impacto traumático. En estos casos, el diente ya no está en la boca.
Síntomas de un Diente Roto
Los síntomas que aparecen tras la rotura de un diente dependen de la gravedad y la extensión de la misma.
- Sensibilidad dental: Se percibe al consumir bebidas o alimentos muy fríos, calientes o ácidos.
- Dolor: Cuanto mayor sea la rotura producida, mayor será también el dolor. Esto se produce, por ejemplo, cuando la fractura llega hasta la cámara pulpar, donde está el nervio.
- Movilidad: Puede que la parte del diente que ha quedado en la boca -que no se ha caído- experimente cierta movilidad. Por ello, no se debe tocar la pieza dental.
- Cambio de color: Se produce cuando la pieza dental sufre un golpe tan severo que afecta a los vasos sanguíneos.
- Sangrado de la encía: La propia fuerza del traumatismo puede hacer que la encía sangre.
Primeros Auxilios Ante un Diente Roto
Si se rompe un trozo de diente, es importante recuperarlo, limpiarlo con agua y conservarlo en leche, saliva, suero fisiológico o, como último recurso, agua. Pero, mientras acudes al odontólogo, te damos unas recomendaciones de primeros auxilios.
- Si se te ha roto un trozo de diente, trata de rescatarlo. Posteriormente, límpialo cuidadosamente con un poco de agua y guárdalo. Es importante no usar jabón y otros productos químicos, ya que se podría dañar el esmalte o la dentina.
- Una vez que llegues al dentista debes explicarle lo que ha ocurrido, cómo ha ocurrido y cuándo ha ocurrido. Esta información es muy valiosa para que el odontólogo pueda actuar de la manera más adecuada posible.

Opciones de Tratamiento para un Diente Roto
La reparación de un diente roto depende del tipo y la extensión de la fractura. Como hemos explicado previamente, cuando el paciente llega a la consulta con un diente roto, el dentista evalúa la zona donde se ha producido la fractura.
Si el diente se ha astillado, el dentista lo limará y pulirá con la ayuda de fresas. Cuando el diente se ha roto parcialmente, la primera opción será tratar de colocar el trozo de diente que se ha desprendido, en el caso de que el paciente lo haya recogido. Ante una rotura total, el dentista también tratará, en primer lugar, de colocar el trozo de diente recogido por el paciente. Si ambas partes del diente no se pueden unir, el odontólogo realizará una reconstrucción del diente con composite.
No se puede reparar un diente roto en casa dado que todos los materiales que se usan para reparar y reconstruir un diente roto se venden únicamente a los odontólogos. Son materiales destinados exclusivamente para uso profesional, biocompatibles y no se encuentran a la venta para el público en general. En casos de roturas externas no hace falta acudir a urgencias ya que normalmente el paciente no siente dolor, pero sí es importante pedir cita con tu dentista para reconstruir ese diente dañado lo antes posible.
Métodos de Reconstrucción Dental
Gracias a la odontología moderna, hay diferentes soluciones para reparar un diente roto, es necesario saber el grado de fractura que ha sufrido. De esta manera el dentista podrá tratar mejor el problema al dar una solución más efectiva.
“Reconstrucción de un diente frontal con RESINA”
- Reconstrucción con composite: Para fracturas menores, los dentistas pueden utilizar una resina compuesta que se adhiere al diente fracturado y se moldea para recuperar su forma y función original. En casos de fracturas pequeñas, los empastes dentales de composite o cerámica pueden ser utilizados para restaurar la estructura dental. Si ambas partes del diente no se pueden unir, el odontólogo realizará una reconstrucción del diente con composite.
- Carillas dentales: Las carillas son láminas delgadas de porcelana o resina que se adhieren a la parte frontal de los dientes dañados. En casos de fracturas que afectan principalmente la parte frontal de los dientes, las carillas dentales pueden ser una solución estética. En este caso si la rotura es en un diente frontal, las carillas son una excelente opción para restaurar la apariencia de un diente roto. Son hechas a medida de porcelana o composite (resina compuesta), y son una solución estética y restauradora bastante popular para devolver la apariencia natural a un diente.
- Coronas dentales: Para fracturas más severas, las coronas dentales son una solución eficaz. Para fracturas más extensas o cuando la integridad estructural del diente está comprometida, las coronas dentales son una opción. Pueden ser utiles para cubrir gran parte de un diente afectado, siendo una de las soluciones mas convenientes para los dientes rotos en la zona posterior de la boca. Las coronas son mas gruesas que las carillas y restauran la forma y apariencia del diente, suelen estar hechas de metal, porcelana y ceramica.
- Endodoncia: Si la fractura ha afectado la pulpa del diente, puede ser necesario un tratamiento de conductos (endodoncia). Cuando una fractura afecta el nervio dental, puede ser necesario realizar un tratamiento de conducto para salvar el diente. Mediante la endodoncia, se extraerá el nervio del diente y se rellenará la cavidad en la que estaba dicho nervio con un material de obturación. Si se tiene un diente roto en el que la pulpa esta afectada por el grado de fractura, tu dentista podra valorar la necesidad de una endodoncia para evitar o tratar una infeccion en el diente.
- Implantes dentales: En casos extremos donde el diente no puede ser salvado, puede ser necesario extraer el diente fracturado y reemplazarlo con un implante dental o un puente. El implante dental en estos casos se utiliza cuando la fractura no tiene buen pronostico, es un proceso en el que el dentista extrae el diente roto y en su lugar colocan un implante, para posteriormente colocar una corona.
Medidas Preventivas para Evitar Fracturas Dentales
Las fracturas dentales pueden ser dolorosas y afectar tu calidad de vida, pero con las soluciones adecuadas y medidas preventivas, puedes mantener tus dientes fuertes y saludables.
- Si practicas deportes de contacto, utiliza un protector bucal para reducir el riesgo de traumatismos dentales.
- Evita morder alimentos extremadamente duros y no utilices tus dientes como herramientas.
- Si rechinas los dientes durante la noche, consulta a tu dentista sobre la posibilidad de usar una férula dental nocturna.
- Mantén una buena higiene oral cepillándote los dientes al menos dos veces al día, usando hilo dental y visitando regularmente al dentista para chequeos y limpiezas profesionales.
- Consume una dieta equilibrada rica en calcio y vitaminas que fortalezcan tus dientes.
| Problema | Solución |
|---|---|
| Fractura leve | Reconstrucción con composite |
| Fractura moderada | Incrustación o corona |
| Afectación del nervio | Endodoncia |
| Diente no salvable | Implante dental |
Si sufres una fractura dental, consulta a tu dentista lo antes posible para recibir el tratamiento adecuado y evitar complicaciones futuras.