Cuando un paciente se somete a un tratamiento de ortodoncia, el objetivo principal es solucionar problemas de apiñamiento dental que afectan tanto la estética de la sonrisa como la funcionalidad de la mordida. Corregir estos problemas no solo mejora la apariencia, sino que también contribuye a una boca más sana.

La presencia del frenillo no es una contraindicación para someter a un paciente a un tratamiento ortodóntico. Sin embargo, en ciertos casos, puede ser necesario abordar el frenillo para asegurar el éxito del tratamiento. Quitar un frenillo es un procedimiento sencillo cuando se realiza por profesionales cualificados.
¿Qué es el Frenillo y Cuándo es un Problema?
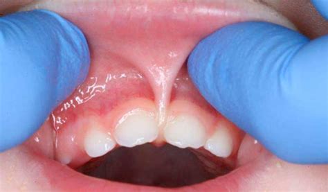
El frenillo es una estructura de tejido que conecta los labios y la lengua con las encías y el paladar, ayudando a mantener los labios y la lengua en su lugar. El frenillo labial superior une el labio superior con la encía del maxilar en la línea media y da movilidad al labio. Cuando el frenillo lingual es demasiado corto, disminuye el movimiento normal de la lengua y dificulta la acción de sacarla hacia fuera (protusión lingual).
Existen dos tipos principales de frenillo que pueden causar problemas:
- Frenillo Lingual: Un frenillo lingual corto puede dificultar la lactancia en bebés y el habla en niños mayores.
- Frenillo Labial: Un frenillo labial patológico, generalmente corto y grueso, puede limitar la movilidad de los labios y causar un espacio entre los incisivos centrales (diastema).
Frenillo lingual
Problemas Asociados al Frenillo
Los problemas asociados al frenillo pueden variar según la edad del paciente:
- Bebés: Dificultades en la lactancia materna y problemas nutricionales. Es frecuente que el bebé no realice correctamente la acción de succionar y no se agarre bien al pecho, lo que puede causar daños en el pezón de la madre y dolor al amamantar.
- Niños Mayores: Dificultades en el habla, especialmente en la pronunciación de fonemas como la “t”, “d”, “l”, “n” y “r”. Además, la falta de movilidad de la lengua puede dificultar la autolimpieza oral interna, lo que puede repercutir en la aparición de patologías dentales.
- Adultos: Diastema (espacio entre los incisivos centrales) y problemas estéticos.

Tratamiento del Frenillo: Frenectomía
La técnica quirúrgica utilizada para corregir el frenillo se llama frenectomía. Consiste en cortar algunas fibras del frenillo para dar más movilidad a la lengua o al labio. En bebés, se realiza con una tijera muy fina y se anima al bebé a mamar inmediatamente después de la intervención. La intervención para corregir esta anomalía recibe el nombre de frenectomía. Es una operación relativamente sencilla, que se lleva a cabo con anestesia local. Gracias a ellas se corrige la posición original del frenillo, realizando una incisión de pequeño tamaño y llevándolo a la ubicación adecuada. Se trata de una cirugía mínimamente invasiva, de modo que la recuperación es muy rápida como sencilla.
Es importante destacar que, en algunos casos, las formas leves de anquiloglosia (frenillo lingual corto) se pueden resolver espontáneamente con la edad.
Consideraciones Adicionales
En el contexto de la ortodoncia, es crucial considerar lo siguiente:
- Diastema: Si el frenillo labial causa diastema, el especialista siempre recomienda la cirugía reparadora.
- Edad del Paciente: Se tienen en consideración otros aspectos, como la edad del paciente.
- Tratamiento Ortodóntico: En el caso de querer juntar los incisivos, lo primero y más importante es el tratamiento ortodóntico para cerrar la separación. Luego, se coloca una retención “fija” detrás de los dientes juntados y no se interviene el frenillo a no ser que vuelvan a separarse.
Tratamiento Logopédico
Es importante que la cirugía vaya acompañada de un tratamiento logopédico para recuperar la pronunciación lo antes posible. Este tratamiento ayuda a mejorar la movilidad de la lengua y a corregir los problemas de habla asociados al frenillo.
¿Cuándo Operar el Frenillo Labial?
Se plantean tres posibles situaciones para operar el frenillo labial:
- La existencia de un diastema que evite la oclusión dental perfecta.
- Que esta anomalía suponga un grave problema estético.
- En cualquier caso, si el frenillo labial causa diastema, el especialista siempre recomienda la cirugía reparadora.
Frenillo y Ortodoncia: Un Enfoque Integral
Una de los motivos de la primera visita al ortodoncista es porque los incisivos superiores están separados y en muchos casos también porque el frenillo se ve muy grande. Existe la creencia que hay “cortar el frenillo” enseguida para eliminar la causa de la separación de los dientes y que después espontáneamente se juntarán los dientes… Y NO ES ASÍ.
Cuando nacen los dientes el frenillo está entre los dos incisivos centrales pero progresivamente los dientes irán “creciendo” (erupcionando) y el frenillo migrando hacia arriba de manera que se hace menos evidente el frenillo. Por eso hoy en día se recomienda esperar a que salgan los caninos superiores antes de recomendar una frenectomía (cortar el frenillo).
| Edad del Paciente | Problema Común | Tratamiento Recomendado |
|---|---|---|
| Bebés | Dificultades en la lactancia | Frenectomía y apoyo a la lactancia |
| Niños | Problemas de pronunciación | Frenectomía y terapia logopédica |
| Adultos | Diastema y problemas estéticos | Tratamiento ortodóntico y frenectomía si es necesario |
Si experimentas problemas relacionados con el frenillo de la boca o crees que tu hijo podría beneficiarse de una evaluación, no dudes en contactar con un especialista. Ofrecen diagnósticos precisos y soluciones efectivas para mejorar tu bienestar bucal.
tags: #frenillo #dental #ortodoncia