Cuando pensamos en salud bucodental, solemos centrarnos en los dientes, pero ¿sabías que las encías también requieren cuidados específicos? Mantener una correcta higiene oral no solo previene caries, sino que también es fundamental para evitar problemas en las encías, como la inflamación o la recesión gingival. Para contrarrestarlo, existen productos específicos, como el gel para regenerar las encías, que ayuda a fortalecer y reparar el tejido gingival, favoreciendo su recuperación y manteniendo la salud de la boca en óptimas condiciones. En este artículo, te explicamos cómo funcionan estos geles, cuándo usarlos y cuál elegir para garantizar el mejor cuidado de tus encías. ¡Sigue leyendo y descubre cómo proteger tu sonrisa!
😄¿Cómo aliviar el dolor que causan los brackets?
¿Qué es un Gel para Regenerar las Encías?
Un gel para regenerar las encías es un producto diseñado específicamente para ayudar a la recuperación y fortalecimiento del tejido gingival. Su objetivo principal es reparar, proteger y estimular la regeneración de las encías, especialmente en casos de irritación, inflamación o retracción. Estos geles suelen contener ingredientes activos que favorecen la cicatrización y la reducción de la inflamación, además de proporcionar una barrera protectora contra bacterias y agentes irritantes. Son una opción complementaria a la higiene oral diaria y pueden ser recomendados por odontólogos para tratar problemas gingivales leves o como parte de un tratamiento periodontal más completo.

¿Para qué se utiliza un gel regenerador de encías?
El uso de estos geles puede ser beneficioso en diversas situaciones, como:
- Gingivitis o inflamación de encías: ayudan a reducir el enrojecimiento y la inflamación provocados por la acumulación de placa bacteriana.
- Retracción gingival: en casos de encías retraídas, pueden contribuir a fortalecer el tejido y prevenir un mayor deterioro.
- Después de tratamientos dentales: se usan tras procedimientos como limpiezas profundas, raspados o cirugías periodontales para favorecer una mejor recuperación.
- Encías sensibles o dañadas: aportan alivio y protección a encías debilitadas o expuestas a factores irritantes, como el consumo de alimentos ácidos o el uso de ortodoncia.
Tipos de Geles para Regenerar las Encías
Existen diversos geles diseñados para ayudar en la regeneración y el fortalecimiento de las encías, cada uno con propiedades específicas que favorecen la recuperación del tejido gingival.
KIN Care Gel Bucal
La mucosa bucal es un revestimiento interior húmedo, que recubre toda la cavidad oral con una importante función protectora. La mayoría de alteraciones se manifiestan en forma de inflamación o aftas. Es importante tratar la mucosa debilitada con el fin, no solo de aliviar la molestia, sino para evitar posibles sobreinfecciones. Las excelentes propiedades mucoadhesivas de su fórmula promueven la formación de una película protectora que permite un efecto localizado y duradero. KIN Care gel hidrata, tonifica y protege el tejido epitelial de la cavidad oral. Cuida y fortalece la mucosa oral de los pacientes especialmente en los portadores de aparatos de ortodoncia y prótesis.
Composición de KIN Care Gel:
- Ácido hialurónico: 0,24 %
- Aloe Vera
Modo de Uso de KIN Care Gel:
Aplicación oral tópica. Aplicar una cantidad de gel del tamaño de uno o dos granos de arroz directamente con el dedo limpio o con ayuda de un bastoncillo de algodón, 2 o 3 veces al día o según necesidad. No enjuagar. Se aconseja no ingerir alimentos ni bebidas hasta transcurrido un mínimo de media hora después de su aplicación.
Advertencias de KIN Care Gel:
Apto para la aplicación en niños bajo la supervisión de un adulto. La posible ingestión de pequeñas cantidades de KIN Care Gel durante su aplicación, de acuerdo con las instrucciones de uso, no es perjudicial. Sin gluten.

Perio-Aid
Este gel bucal bioadhesivo está formulado para desinfectar, reparar y regenerar los tejidos de la encía. Gracias a su contenido en clorhexidina, ácido hialurónico y pantenol, ofrece una potente acción antiséptica y cicatrizante, lo que lo hace ideal para su uso después de tratamientos periodontales o periimplantarios. Además, su textura permite una mayor adherencia a la zona afectada, favoreciendo una recuperación más efectiva.
Auromere
Auromere es un gel pensado para el cuidado preventivo de las encías, especialmente aquellas que son sensibles o propensas a la irritación. Su fórmula incluye extracto de neem y aceite de salvia, ingredientes naturales con propiedades calmantes y regeneradoras. Es un producto apto para niños y adultos, y se recomienda para aliviar molestias derivadas de aftas o inflamaciones leves.
Bexident Encías
Este gel dentífrico combina acción antimicrobiana, antiséptica y antiinflamatoria, lo que lo convierte en una opción eficaz para el tratamiento de problemas gingivales. Contiene clorhexidina, dexpantenol, alantoína y lutrol, un compuesto que ayuda a evitar la adhesión de bacterias a las encías. Además de regenerar el tejido gingival, proporciona un efecto calmante, aliviando molestias y reduciendo la inflamación.
Gel Dental Ortodoncia Lima Ortolacer
Gel Dental Ortodoncia Lima Ortolacer 125 ml es un producto especializado en el cuidado bucal para usuarios con ortodoncia. Este gel dental está formulado para ofrecer una protección completa contra la placa y las caries, además de proteger el esmalte dental. Su fórmula avanzada incluye flúor y está libre de alcohol, lo que lo hace adecuado para un uso diario sin causar irritación. El producto viene en un envase de 125 ml y está diseñado para proporcionar una limpieza profunda y efectiva, manteniendo una boca fresca y saludable.
Función e indicaciones:
El Gel Dental Ortodoncia Lima Ortolacer 125 ml está indicado para la protección y cuidado bucal de personas que llevan ortodoncia. Es adecuado tanto para niños mayores de 6 años como para adultos. Este gel dental es especialmente útil para prevenir la aparición de placa dental, caries y proteger el esmalte dental, ofreciendo una solución completa para mantener la salud bucal en óptimas condiciones.
Modo de empleo:
Para usar el Gel Dental Ortodoncia Lima Ortolacer 125 ml, se recomienda cepillar los dientes después de cada comida, al menos dos veces al día o según las indicaciones de su dentista. Aplique una pequeña cantidad de gel dental en el cepillo y cepille los dientes durante al menos dos minutos. Enjuague bien la boca después del cepillado. No ingerir. Es aconsejable complementar el uso del gel dental con el Colutorio Lacer y el Cepillo Dental Lacer para una higiene bucal completa.
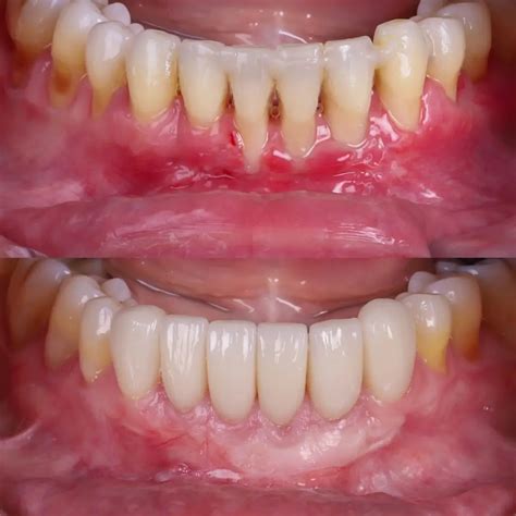
¿Las Encías Pueden Regenerarse?
La respuesta corta es no. A diferencia de otros tejidos del cuerpo, como la piel, las encías no pueden regenerarse por sí solas una vez que han sufrido una retracción. Esto significa que, si la encía se ha retraído y ha dejado expuesta una mayor superficie del diente, no volverá a crecer de manera natural. Sin embargo, existen tratamientos específicos para frenar este proceso y recuperar el tejido gingival perdido.
Para tratar la retracción gingival, se pueden utilizar geles regeneradores que ayudan a fortalecer la encía y mejorar su estado, aunque en casos más avanzados es necesario recurrir a procedimientos quirúrgicos, como injertos de encía o técnicas de colgajo movilizado coronalmente, en los que se utiliza tejido del propio paciente para restaurar la zona afectada. Estos tratamientos deben ser realizados por un periodoncista, un especialista en el cuidado de las encías, quien evaluará el nivel de retracción y determinará el enfoque más adecuado según la situación de cada paciente.
¿Cómo se Pueden Tratar las Encías Retraídas?
La retracción gingival es un proceso en el que el tejido de las encías se va reduciendo, dejando al descubierto una mayor parte de la raíz del diente. Esto no solo afecta la estética de la sonrisa, sino que también puede comprometer la salud bucodental, aumentando la sensibilidad dental y favoreciendo la acumulación de bacterias.
Si no se trata a tiempo, la retracción de encías puede derivar en enfermedades periodontales más graves, como la periodontitis, lo que incrementa el riesgo de pérdida dental. Por eso, es fundamental detectar y tratar el problema lo antes posible con la orientación de un especialista.
El tratamiento más adecuado dependerá del estado de las encías y el grado de retracción:
- Uso de geles regeneradores: en fases iniciales, estos productos pueden fortalecer la encía y aliviar la inflamación, ayudando a mejorar su estado general.
- Tratamientos periodontales profesionales: en casos más avanzados, pueden ser necesarias técnicas como el raspado y alisado radicular, que eliminan bacterias y suavizan la superficie del diente para favorecer la adhesión del tejido gingival.
- Cirugía de injerto de encía: cuando la retracción es severa, el especialista puede realizar un injerto de tejido para cubrir la raíz expuesta y restaurar la protección natural del diente.
El diagnóstico y tratamiento precoz son clave para evitar que la retracción avance y comprometa la salud oral.

Cera para Brackets
La cera para brackets se coloca sobre los alambres o zonas que rozan la encía o el labio. Durante los primeros días, es común que aparezcan rozaduras. La cera para brackets es una solución simple, económica y muy efectiva para evitar heridas y molestias durante tu tratamiento de ortodoncia.
¿Cómo se usa la cera para brackets?
- Arranca una bolita del tamaño de un grano de arroz.
- Presiona suavemente la cera contra el bracket hasta cubrirlo por completo.
Puedes dejar la cera durante varias horas o incluso dormir con ella puesta. Siempre que comas, se despegue o esté sucia.
Lacer Orto Lacer Cera de Ortodoncia
Lacer Orto Lacer Cera de Ortodoncia 14 Barras protege la boca de rozaduras y heridas causadas por brackets y alambres. Su textura maleable se adapta fácilmente, ofreciendo alivio inmediato y discreto. Lacer Orto Lacer Cera de Ortodoncia es una cera protectora especialmente diseñada para personas con aparatos de ortodoncia.
¿Para quién la recomendamos?
Indicada para cualquier persona que lleve ortodoncia fija y quiera proteger su boca de las rozaduras provocadas por brackets, alambres o piezas salientes.
tags: #gel #para #ortodoncia