¿Has oído hablar alguna vez de los dientes podridos? Esta es una expresión coloquial que se utiliza para describir uno de los problemas más antiestéticos, molestos e incluso peligrosos para nuestras piezas dentales. Aunque las caries no tratadas pueden llegar a causar que los dientes se pudran, no le sucede a todas las piezas con esta enfermedad, ya que esto puede suceder por otros motivos. Si tienes dudas sobre el tema, explicamos a continuación qué son los dientes podridos y cuáles son sus causas y síntomas, así como los posibles tratamientos. En este artículo, te explicamos los peligros de una dentadura podrida y cuáles son los tratamientos para devolverle la salud bucodental.

¿Qué son los dientes podridos?
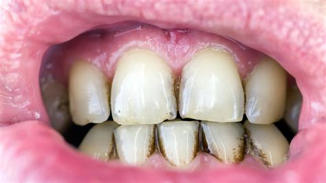
Los dientes muy deteriorados, en los que se ve afectada tanto su parte estética como su parte funcional, se les denomina dientes podridos. Fruto de este deterioro, los dientes se descomponen y erosionan. En los casos más graves, las piezas dentales pueden perder parte de su estructura y adquirir un color negro o grisáceo. Los dientes podridos se caracterizan por volverse sensibles y débiles. Además, en la parte exterior pueden presentar signos visibles como decoloración, grietas o agujeros.
Diferencia entre caries y dientes podridos
La principal diferencia entre un diente con caries y uno podrido, es que en este último las bacterias causaron un daño severo tanto en la parte interna como externa de la pieza dental.
Causas de los dientes podridos
Los dientes podridos son causados principalmente por una higiene dental deficiente y una dieta rica en alimentos azucarados. Por ello, cuando no se soluciona a tiempo un problema de caries, los dientes empiezan a pudrirse ya hablemos de personas adultas o de niños. Si no se actúa de forma precoz, las bacterias llegarán hasta la pulpa, que aúna los tejidos nerviosos y vasos sanguíneos del diente, provocando una infección o pulpitis. La acumulación de placa y bacterias en la superficie dental puede causar caries y, en última instancia, descomponer el diente.
- Caries no tratadas: Si la caries no se trata, puede seguir aumentando de tamaño y dañando el diente hasta llegar a sus capas más profundas. Decimos que un diente está picado cuando tiene una caries.
- Higiene bucal deficiente: Al no tener una adecuada rutina de higiene dental, las bacterias, al unirse con la saliva y restos de comida que no son eliminadas por el cepillado o el hilo dental, provocan la aparición de la placa dental. Esta se acumula en los dientes y encías causando daños en la parte interior o exterior del diente. Falta de cepillado: una higiene bucodental inadecuada o inexistente permite que la placa bacteriana se acumule y se endurezca, convirtiéndose en sarro. Estas bacterias, junto a la saliva y los restos de lo que comemos, forman la placa dental o bacteriana: una película incolora que se adhiere a toda la superficie de los dientes, incluyendo los espacios entre ellos y otros recovecos de difícil acceso para el cepillo.
- Dieta alta en azúcar y ácidos: El consumo de azúcar y alimentos ácidos contribuyen a que las bacterias se reproduzcan y provocan la erosión del esmalte dental. Poco a poco atacan la parte interna del diente hasta llegar a la pulpa, causando una fuerte infección. Exceso de azúcares y carbohidratos: este tipo de alimentos favorecen la producción de ácidos en la cavidad oral.
- Factores genéticos: Las personas que tienen tendencia a sufrir de caries por causas genéticas, también pueden ser propensas a tener dientes podridos causados por caries no tratadas.
- Otras causas:
- Hábitos como fumar: El uso de cigarrillos o productos del tabaco altera la microbiota intestinal, debido a los efectos de la nicotina. Este proceso, que ocurre internamente en el cuerpo, provoca un aumento de la placa bacteriana, así como contribuye a la formación de caries y a la aparición de otras enfermedades bucales.
- Enfermedades subyacentes: Enfermedades como la xerostomía o boca seca también pueden provocar que se pudran los dientes, puesto que la producción de saliva ayuda a crear un equilibrio en la boca y actúa en contra de las bacterias que producen la placa dental y que daña los dientes. Boca seca: la saliva ayuda a barrer y retirar las bacterias de la boca. Por ello, una menor producción de saliva permite que las bacterias se multipliquen con mayor velocidad. También los pacientes con diabetes tienen mayor riesgo de tener caries, y con ello de tener dientes podridos. Reflujo gastroesofágico: el hecho de que los ácidos del estómago vuelvan al esófago y la boca también puede causar dientes podridos.
Caries en niños: cómo evitarla y tratamiento
Síntomas de los dientes podridos
Los síntomas de los dientes podridos pueden variar según la gravedad de la condición. Algunos de los síntomas más comunes incluyen:
- Dolor dental. El dolor en las muelas puede llegar a ser muy intenso.
- Sensibilidad al frío, calor, dulce y ácido.
- Mal aliento y mal sabor en la boca.
- Cambios en el color y la estructura del diente. Pueden aparecer manchas de color marrón, negro, amarillo o blanco en los dientes.
- Inflamación de las encías, abscesos o sangrado.
- Problemas para masticar los alimentos, que a su vez causan problemas digestivos y de nutrición.

Diagnóstico de los dientes podridos
El diagnóstico de los dientes podridos se realiza mediante:
- Exámenes dentales: El dentista hace un chequeo físico de la parte interna de la boca para verificar el estado de salud bucal del paciente. Podrá detectar los signos de un diente podrido, tales como manchas, agujeros, grietas o sensibilidad dental.
- Uso de rayos X: Las radiografías o imágenes son métodos que también se pueden utilizar para completar un diagnóstico de dientes podridos. A través de los rayos X se puede observar el estado de los dientes.
Tratamientos para los dientes podridos
El tratamiento recomendado para dientes podridos va a depender del grado del daño que tenga el diente afectado. El nivel de dificultad y la inversión que habrá que hacer para reparar un diente dañado va a depender mucho de lo grave que sea ese daño. Ya sabemos qué es lo que causa los dientes podridos y también cómo ponerles solución.
| Tratamiento | Descripción |
|---|---|
| Empastes dentales | En los pacientes en los que el daño no ha llegado hasta el centro del diente, un empaste dental es la solución duradera dependiendo del material de fabricación. Se elimina la parte dañada de la pieza y se rellena con resina, devolviendo al diente su funcionalidad y estética. Es el tratamiento más utilizado cuando la caries solo ha afectado a la capa externa del diente y, en consecuencia, no ha alcanzado el nervio. |
| Incrustaciones y coronas | Si el daño es muy grande, en lugar de usar resinas, se colocan incrustaciones dentales para restaurar el diente. Por otro lado, cuando el diente podrido ha cambiado su forma o su tamaño por causa del daño, el dentista puede sugerir fundas dentales para proteger el diente y devolverle la estética. Cuando el daño es muy extenso, resulta necesario colocar una corona tras realizar la endodoncia. Este procedimiento se utiliza si el diente ha perdido volumen en su estructura, para ello suele colocarse una funda protectora. |
| Endodoncia | Con este procedimiento se desinfecta el interior de un diente cuando la pulpa o la raíz ha sido afectada por una caries, con lo cual se elimina del interior los tejidos dañados y el diente se recupera. Si la caries ha llegado hasta la pulpa del diente (capa interna en la que se encuentran los nervios y vasos sanguíneos), será necesario recurrir a una endodoncia. Mediante este procedimiento, se retira la pulpa dañada, se limpian y desinfectan los conductos radiculares y se rellenan con un material biocompatible. Una de los principales tratamiento a aplicar en las caries radiculares es la endodoncia. |
| Extracción y prótesis dentales | Una exodoncia es la opción cuando el daño del diente es irreparable, y el dentista considera que no hay un tratamiento que pueda salvarlo. Luego de extraer la pieza desde la raíz, el paciente puede optar por una prótesis o un implante dental para ocupar el espacio. Asimismo, esta opción solo debe aplicarse en caso que el diente no tenga salvación alguna, y su estructura se encuentra muy afectada. Si son varias las piezas dentales que se han podrido, tal vez sea más fácil recurrir a una prótesis removible completa en vez de realizar varios implantes dentales. |
Prevención de los dientes podridos
La prevención de los dientes podridos comienza con una buena higiene dental. Los dientes podridos son una condición que, en la mayoría de los casos, puede prevenirse con una buena higiene dental, alimentación adecuada y las visitas al dentista de forma regular.
- Hábitos de higiene bucal: Tener una rutina de higiene bucal adecuada es esencial para el cuidado de la salud bucal. Es necesario que laves tus dientes tres veces al día (especialmente, por la noche, tras la cena), durante unos cuatro minutos cada vez. Cepillarse al menos dos veces al día, durante dos minutos con un cepillo de dientes adecuado y pasta con flúor es la manera correcta de evitar dientes podridos. Recuerda complementar con hilo dental y enjuague bucal una vez al día. Sabemos que la placa dental es difícil de eliminar en tu totalidad, ya que se deposita también en lugares de difícil acceso. Para tener una higiene aún más completa, puedes usar también cepillos interproximales y un irrigador bucal. Los colutorios o enjuagues bucales también ayudan a eliminar más placa en lugares inaccesibles de la boca.
- Dieta saludable: Es importante reducir el consumo de alimentos altos en azúcares que contribuyen al aumento de bacterias que dañan los dientes. El azúcar no es un buen nutriente para ti, pero sí alimenta muy bien a las bacterias que crean la placa bacteriana y los ácidos que dañan tu dentadura. También incluye en tu dieta diaria alimentos que aporten flúor para fortalecer tus dientes. Tambien, asegúrate de ingerir suficiente calcio y vitamina D en tu dieta. El calcio ayuda a fortalecer los dientes desde dentro hacia fuera, mientras que la vitamina D ayuda a mantenerlos fuertes desde fuera hacia dentro.
- Visitas regulares al dentista: Los controles regulares con el dentista son indispensables para cuidar la salud bucal. El odontólogo puede detectar a tiempo problemas antes de que se conviertan en una condición grave. Atacar cualquier afección puede evitar complicaciones o necesidad de un tratamiento más complejo y costoso. Solo llevando un control rutinario del estado de tu boca, tu odontólogo de confianza podrá detectar todo tipo de problemas en su fase inicial, aumentando así las posibilidades de éxito en su posterior tratamiento.
Consecuencias de no tratar los dientes podridos
- Dolor crónico: El dolor de un diente podrido no tratado puede volverse muy intenso, en especial al momento de comer o ingerir bebidas calientes o frías.
- Infecciones graves: Los dientes podridos pueden tener una infección grave en el interior que afecta la pulpa y raíz del diente, incluso las encías y provocar enfermedades periodontales. Infecciones: la caries puede provocar infecciones en los tejidos que se encuentran alrededor del diente y causar abscesos dentales (bolsas de pus) que pueden llegar a ser muy dolorosos.
- Pérdida de dientes: Los dientes podridos pueden necesitar ser extraídos cuando el dentista considera que los tratamientos disponibles ya no lograrán un efecto positivo.
- Repercusiones estéticas: los dientes podridos pueden presentar grandes surcos y adquirir una apariencia negra, grisácea o descolorida.
Ante la presencia de cualquiera de los síntomas aquí descritos, es esencial buscar atención médica, para poder recibir el tratamiento adecuado a tiempo y evitar complicaciones en la salud bucal o general. Recuerda que mantener una buena salud oral no solo previene los dientes podridos, sino que también influye en la salud general de nuestro organismo. Por ello, si sospechas que puedes tener cualquier lesión en los dientes o la boca es fundamental que acudas a una clínica dental.