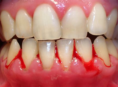
La gingivitis o inflamación en las encías es el inicio de la enfermedad periodontal y suele ir acompañada de encías inflamadas, enrojecidas y sangrado al cepillar los dientes. En su estado habitual, las encías son tersas y de un color rosado, finas y festoneadas. Sin embargo, normalmente no causa dolor y muchas veces puede ser ignorada.

¿Qué es la Gingivitis?
Como sabes, la gingivitis es una enfermedad periodontal (de las encías) que provoca síntomas muy molestos en la boca y que, si no recibe el tratamiento adecuado, puede causar otros problemas futuros. La gingivitis es una inflamación de las encías y, por tanto, esta es la principal señal que te indicará que puedes estar sufriendo esta enfermedad periodontal.
La gingivitis se produce por una acumulación de la placa bacteriana en la parte de las encías que rodea la base de los dientes. Este sarro acumulado puede ocasionar una infección bacteriana que da lugar al problema. La gingivitis puede ser un problema más grave de lo que imaginas. Si no se trata correctamente, podría derivar en una periodontitis y, en tal caso, te causaría importantes problemas de salud bucodental o incluso la pérdida de piezas dentales.
Gingivitis es la inflamación de las encías. Supone la etapa inicial de la enfermedad de las encías y la más fácil de tratar. En esta primera etapa de la enfermedad, el daño puede revertirse, ya que el hueso y el tejido conectivo que sostienen los dientes todavía no han sido afectados. Cuando la gingivitis progresa hacia periodontitis, las encías empiezan a retroceder y retirarse de los dientes, confiriéndoles una apariencia alargada.
A continuación empiezan a formarse bolsas entre dientes y encías, y se acumula más placa bacteriana, gérmenes más agresivos y restos de alimentos.
Causas de la Gingivitis
La principal razón de su presencia en la boca de niños y adultos es una incorrecta higiene oral. Aunque, en muy pocos casos, la gingivitis podría aparecer como consecuencia de anomalías en el marco gingival, en el surco, o en el tejido gingival.
Además, existen una serie de factores de riesgo:
- Mala higiene oral: Si no se lavan los dientes con suficiente frecuencia ni se pasa el hilo dental, se produce una acumulación de placa que además afecta a las encías, permitiendo que las bacterias penetren en ellas.
- Fumar o masticar tabaco: El tabaco afecta al pH de la boca y es causa de ésta y otras enfermedades bucales, así como de diferentes tipos de cáncer.
- Mala alimentación: Una dieta pobre en vitamina C puede debilitar las encías y provocar problemas de salud en ellas.
- Cambios hormonales: Los anticonceptivos, la menopausia, la adolescencia, el embarazo y el ciclo menstrual afectan al estado de las encías, haciendo que estas puedan estar más o menos inflamadas y sensibles.
- Mala colocación de las piezas dentales: Los dientes apiñados o montados dificultan la limpieza de la boca, por lo que facilitan la aparición de infecciones en las encías.
👉 PERIODONTITIS o PIORREA: Tratamiento eficaz para CURAR tus ENCÍAS 👄
Síntomas de la Gingivitis
Una encía inflamada y dolor en la misma son síntomas de que algo no va bien. En ese caso, conviene ponerse en manos del dentista a tiempo para que la situación no se agrave. Aunque al definir qué es la gingivitis hemos hablado de ella como un problema leve, no por eso debemos pasarlo por alto o ignorarlo.
Para saber si tienes gingivitis presta atención a estos síntomas:
- Sangrado de encías: Es uno de los primeros síntomas de la gingivitis en adultos. Si las encías sangran al cepillarse los dientes o al usar el hilo dental, esto es sinónimo de infección, porque unas encías sanas no sangran. No obstante, en el caso de las personas fumadoras es posible que las encías no sangren debido a la vasoconstricción que provoca el tabaco.
- Mal aliento: Cuando hay un problema en las encías, ni la higiene bucal más dedicada consigue acabar con el mal aliento. Esto se debe a la acción que están llevando a cabo las bacterias, descomponiendo los restos de alimentos que se han colado entre las encías y no han sido retirados. Si cuidas tu salud bucal y aun así notas que tu aliento no huele bien, es hora de plantearte visitar al dentista.
- Encías inflamadas: Las encías tienen un color rosado y su tejido se ve firme. Si notas que el color se vuelve más oscuro, o incluso pálido, y que el tejido parece inflamado, es bastante probable que tengas una infección. Haz un seguimiento del estado de tus encías durante unos días. Si no mejora, o incluso si va a peor, pide cita con el especialista lo antes posible.
- Encías retraídas: Las encías retraídas son relativamente comunes y también aparecen cuando se tiene sensibilidad dental. Pero en algunos casos son indicativo de gingivitis. Si notas que la encía parece haberse ido hacia atrás y la raíz del diente queda expuesta, tu salud bucal podría estar en riesgo.

Tratamiento de la Gingivitis
Un tratamiento temprano de la gingivitis es vital para evitar que evolucione en periodontitis o, incluso, en la pérdida de las piezas dentales. El tratamiento de la gingivitis se centra principalmente en reducir la inflamación de las encías y eliminar la infección.
La primera fase del tratamiento consiste en informar al paciente de los hábitos que puede incorporar en su rutina diaria para mejorar su higiene. El siguiente paso será eliminar la infección de las encías. Este tratamiento se conoce como curetaje o raspado.
Para que la inflamación de las encías se cure lo antes posible, un dentista debe eliminar la placa dura como una roca que alberga bacterias utilizando un equipo especial. Este tratamiento está indicado tanto en pacientes que están empezando a notar los primeros síntomas de la enfermedad como en pacientes que ya tienen una enfermedad periodontal avanzada. El sarro es uno de los síntomas más evidentes de la gingivitis y la periodontitis. Eliminar el sarro es un proceso rápido que se realiza a través de la periodoncia.
Fases del tratamiento:
- Información y concienciación del paciente: La primera fase del tratamiento consiste en informar al paciente de los hábitos que puede incorporar en su rutina diaria para mejorar su higiene.
- Eliminar la infección: El siguiente paso será eliminar la infección de las encías. Este tratamiento se conoce como curetaje o raspado.
- Fase quirúrgica (en algunos casos): En el caso de que aún se detecten cálculos profundos, puede ser necesario recurrir a una fase quirúrgica, que implica el levantamiento de la encía para limpiar la raíz.
La correcta higiene bucal es fundamental. Recuerda que, aunque se produzca sangrado, es básico continuar con la rutina de limpieza diaria para que no se agraven los síntomas de la gingivitis.
Consejos Adicionales
- Llevar una alimentación sana y equilibrada, con todos los nutrientes necesarios para tu salud y evitando alimentos dañinos para tus dientes como el azúcar o los ácidos.
- Cuidar de tu salud. Es importante acudir al dentista en cuanto se nota algún síntoma de gingivitis para poder aplicar lo antes posible el tratamiento periodontal adecuado. En la clínica podemos realizar una limpieza dental profesional para eliminar la placa bacteriana acumulada entre dientes y encías.
- El hilo dental es otra buena manera de eliminar la placa acumulada.

Glosario Relacionado con la Gingivitis
- Sonrisa gingival: Se trata de una condición de la estructura bucal en la que la proporción entre diente, encía y maxilar superior no está en armonía. Y aunque es una cuestión más estética que de salud, puede convertirse en un problema si los dientes quedan muy descubiertos.
- Margen gingival: Es la zona que está justo donde se unen el diente y la encía. Una sonrisa armónica es aquella en la que todos los márgenes están al mismo nivel.
- Surco gingival: Es un espacio natural que se encuentra entre la superficie del diente y la encía que lo rodea. Para entender qué es el surco gingival, podemos imaginarlo como un pequeño canal con forma de “V” que rodea la circunferencia que hace la base del diente.
- Tejido gingival: Es el tejido del maxilar superior e inferior que rodea la base de los dientes. Lo que comúnmente llamamos encía.
- Hiperplasia gingival: Se trata de un problema en el que la encía crece más de lo que debería y puede cubrir parte del diente. En algunos casos produce sangrado y dolor, por lo que se confunde con la gingivitis.
Lo importante es que, con el tratamiento adecuado, la gingivitis se puede curar.
| Característica | Gingivitis | Periodontitis |
|---|---|---|
| Inflamación | Solo encías | Encías y hueso |
| Daño | Reversible | Irreversible |
| Pérdida de dientes | No | Posible |
| Tratamiento | Higiene y limpieza | Antibióticos y cirugía |