Los caninos incluidos son un desafío ortodóncico que requiere una atención especializada y un enfoque individualizado. En odontopediatría, un diente impactado se define como una pieza dental que no erupciona completamente, quedando atrapado en el hueso y encía. La comprensión de las causas subyacentes y la aplicación de técnicas ortodóncicas apropiadas son fundamentales para abordar este problema de manera efectiva.
Te ENSEÑO como sacar un 𝗖𝗢𝗟𝗠𝗜𝗟𝗟𝗢 𝗗𝗘𝗟 𝗣𝗔𝗟𝗔𝗗𝗔𝗥 💊Tratamiento para CANINOS INCLUIDOS en ortodoncia
¿Qué son los Dientes Incluidos?
Un diente incluido se define como aquel que no ha erupcionado cuando le tocaba y se encuentra debajo del hueso o la encía. En la mayoría de estos casos la mejor opción es realizar un tratamiento de ortodoncia para intentar llevarlos a su sitio.

Tipos de Inclusión Dental
- Parcial: El diente no ha llegado a su completo desarrollo o se encuentra bloqueado dentro de la encía o el maxilar, siendo detenido por diversos obstáculos que no le permiten erupcionar y tomar su posición en la boca.
¿Por Qué Ocurre la Inclusión Dental?
El motivo principal por el que un diente queda impactado es la falta de espacio o su inclinación durante la erupción.
- Espacio Insuficiente: La falta de espacio en el arco dental puede dificultar la erupción adecuada de los caninos.
- Pérdida de Guía Eruptiva: El canino desciende muy próximo a la raíz del incisivo lateral, que se comporta como una guía para su erupción.

¿Qué Dientes se Ven Afectados Con Mayor Frecuencia?
Después de las muelas del juicio, los caninos superiores son los dientes más afectados en cuanto a su impactación. Los caninos incluidos son relativamente frecuentes: son dientes que, por diversas causas, no erupcionan correctamente en boca y se quedan «dentro del hueso».
¿Cómo se Diagnostica un Canino Incluido?
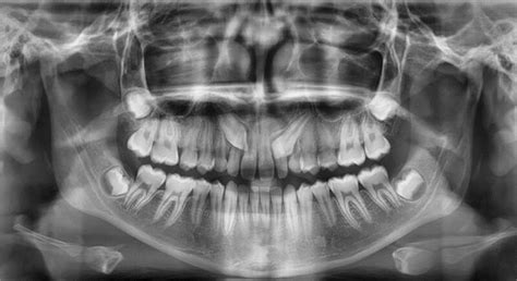
Como mencionamos antes, algunos pacientes que presentan dientes impactados no presentan ningún tipo de dolor u otros malestares, aunque se ven a simple vista, especialmente cuando ocurre en los dientes caninos. El profesional puede examinar la zona y con ayuda de muestras radiográficas determinar el procedimiento a seguir.
El primer paso es el estudio en profundidad del caso. Para ello, se solicitan radiografías, como las panorámicas o tomografía computerizada (TAC); herramientas esenciales para evaluar la posición y la trayectoria de erupción de los caninos incluidos.
Tratamiento de Caninos Incluidos
Un odontólogo profesional siempre buscará conservar las piezas dentales naturales del paciente cuando sea posible. Es posible que sea necesario comenzar un tratamiento de ortodoncia para colocar cada diente en su lugar, incluyendo aquella pieza impactada.

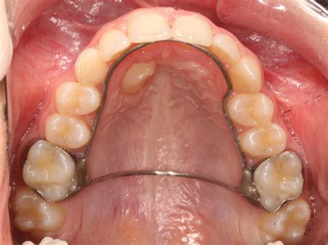
Tras el estudio del caso se inicia el tratamiento de ortodoncia. Si el canino se ha desviado mucho de su posición no erupcionará simplemente con la creación de espacio: será necesaria su exposición y tracción. Para ello, es necesario realizar una exposición quirúrgica del canino incluido y colocar un elemento de tracción para guiar su erupción hacia la posición correcta.
Opciones de Tratamiento
- Seguimiento: Si se trata de un diente que no causa daños ni problemas, es posible que la alternativa a elegir sea darle seguimiento a su evolución.
- Ortodoncia: En algunos casos, dientes como los caninos quedan atrapados en su proceso de erupción haciendo necesario un tratamiento de recolocación para ayudarlos dada su importancia para la boca.
- Extracción: En el caso de las muelas del juicio, es común que se recomiende sacarlas, puesto que la mandíbula deja de crecer y puede no tener espacio para albergar nuevos dientes.
Beneficios de la Ortodoncia en Caninos Incluidos
Con esta decisión tenemos unas ventajas: se mantiene toda la dentición natural, por lo que la estética y función que se consigue por lo general es mejor, además, te ahorras el coste de un implante y de su cirugía.
Consideraciones Adicionales
- La incidencia de caninos impactados en el paladar es dos veces más frecuente en mujeres que en hombres.
- La función también se verá afectada sin los caninos bien posicionados en el arco, produciéndose un desgaste prematuro de otros dientes.
- La tasa de éxito disminuye con la edad del paciente, por lo que es importante una intervención temprana.
Recuerda que cada caso es único y requiere una evaluación personalizada. La ortodoncia especializada es clave para superar los desafíos de los caninos incluidos y lograr una sonrisa sana.
tags: #diente #en #el #paladar #ortodoncia