La gingivitis es una enfermedad común que afecta las encías y, si no se trata a tiempo, puede complicarse y convertirse en enfermedad periodontal. Es crucial conocer los síntomas, la prevención y los tratamientos disponibles para mantener una buena salud bucal.

¿Qué es la Gingivitis?
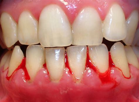
La gingivitis es la inflamación de las encías, una dolencia totalmente reversible si se detecta y trata a tiempo. La encía tiende a enrojecerse e inflamarse, incluso puede llegar a sangrar al cepillarse los dientes o al ingerir alimentos.
La mejor forma de prevenir la aparición de la gingivitis es llevando una correcta higiene dental. Cepillarse los dientes y usar hilo dental y colutorios puede ayudar a eliminar la placa bacteriana presente en la boca. Sin embargo, no siempre es suficiente para erradicarla por completo.
Es una enfermedad reversible si se coge en las primeras etapas, cuando el hueso no ha sido afectado por las bacterias.
👉 PERIODONTITIS o PIORREA: Tratamiento eficaz para CURAR tus ENCÍAS 👄
Síntomas de la Gingivitis
Si no estás seguro de si padeces o no de gingivitis, estos son sus síntomas más inequívocos:
- Encías enrojecidas y doloridas.
- Retracción de las encías, exponiendo la raíz dental.
- Formación de bolsas en el espacio interdental, donde se acumulan restos de comida y bacterias.
- Halitosis o mal aliento.

Prevención de la Gingivitis
La prevención es fundamental. Aparte de llevar una higiene bucodental adecuada, es necesario someterse a una limpieza bucal profunda a manos de un profesional de la odontología. También ayuda llevar una dieta sana y equilibrada, así como evitar el alcohol y el tabaco. El empleo de irrigadores dentales puede ayudar a eliminar cualquier resto de placa bacteriana.
Remedios Caseros para la Gingivitis
Además de los tratamientos profesionales, existen remedios caseros que pueden ser de gran ayuda:
Bicarbonato de Sodio
El bicarbonato de sodio neutraliza los ácidos producidos por la degradación de restos de comida y bacterias. Mezcla una cucharadita de café de bicarbonato de sodio con un poco de agua oxigenada hasta obtener una pasta. Aplica esta pasta directamente en las encías afectadas y realiza un masaje suave durante un par de minutos. Enjuaga la boca con agua corriente. Repite este proceso al menos 3 veces a la semana.
Aloe Vera
El aloe vera posee propiedades antiinflamatorias. Extrae la pulpa de una hoja de aloe y aplica el gel resultante en las encías, realizando movimientos circulares y suaves. Repite el proceso 3 veces por semana.
Cúrcuma
La cúrcuma tiene propiedades antioxidantes y antiinflamatorias. Masajea las encías afectadas con cúrcuma y deja reposar durante 4 ó 5 minutos. Luego enjuágate y repite esto un par de ocasiones más a la semana.
Tomillo
Esta planta aromática también puede ser empleada como remedio casero.
Agua Oxigenada: ¿Es Segura para la Gingivitis?
El agua oxigenada (peróxido de hidrógeno) tiene propiedades desinfectantes, antisépticas y blanqueadoras. Se puede encontrar en cremas dentales y enjuagues bucales. Sin embargo, su uso habitual no es recomendable ya que puede causar irritación en las encías, la lengua y el paladar, e incluso dañar coronas, empastes o implantes dentales.
El agua oxigenada puede ser útil en tratamientos de gingivitis y periodontitis debido a su capacidad para eliminar la placa y promover la salud de las encías. Sin embargo, es importante usarla con precaución y bajo la supervisión de un profesional.

Riesgos del Uso Indiscriminado de Agua Oxigenada
El uso excesivo de agua oxigenada puede provocar:
- Irritación y quemaduras químicas leves en las encías, lengua y paladar.
- Desequilibrio en la flora bacteriana de la boca.
- Daño al esmalte dental.
Cómo Usar Agua Oxigenada de Forma Segura
Si decides usar agua oxigenada, es muy importante rebajarla al 50% con agua. Puedes utilizarla para combatir el mal aliento o como enjuague bucal de forma esporádica y siempre bajo la supervisión de tu dentista.
Para desinfectar el cepillo de dientes, puedes sumergirlo en agua oxigenada diluida al 1% durante un minuto, siempre controlando las proporciones. Una opción más segura es sumergirlo en enjuague antibacteriano o en un desinfectante que sea seguro ingerir.
Alternativas al Agua Oxigenada
Existen otros enjuagues bucales que desinfectan igual o mejor tu boca, según cuál sea tu problema (sarro, gingivitis, etc.).
Tabla Comparativa de Remedios Caseros
| Remedio Casero | Beneficios | Precauciones | Frecuencia |
|---|---|---|---|
| Bicarbonato de Sodio | Neutraliza ácidos, elimina bacterias | Puede ser abrasivo si se usa en exceso | 3 veces por semana |
| Aloe Vera | Antiinflamatorio, calmante | Asegurarse de usar aloe vera puro | 3 veces por semana |
| Cúrcuma | Antioxidante, antiinflamatorio | Puede manchar temporalmente los dientes | 2 veces por semana |
| Agua Oxigenada (diluida) | Desinfectante, blanqueador | Puede irritar las encías si no se diluye correctamente | Esporádicamente y bajo supervisión dental |
Conclusión
Si bien existen remedios caseros que pueden aliviar los síntomas de la gingivitis, es fundamental consultar a un dentista para obtener un diagnóstico adecuado y un plan de tratamiento seguro y eficaz. No pongas en riesgo tu salud bucal con métodos no probados o peligrosos. Una sonrisa sana y brillante comienza con una buena higiene y atención profesional.
tags: #gingivitis #agua #oxigenada