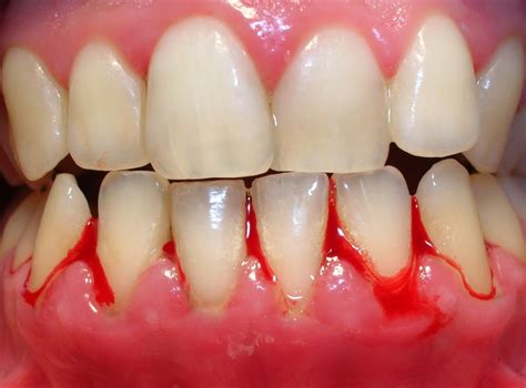
La gingivitis es una enfermedad bucal bacteriana que causa inflamación y sangrado de las encías. Se produce por la acumulación de placa y sarro entre los dientes. Cuando hablamos de la higiene bucal y de los cuidados de encías y piezas dentales siempre es pensando en evitar lesiones que se convierten en incómodos acompañantes en nuestras vidas.
Una sonrisa agradable casi siempre depende de la salud de la persona que la regala, de ahí la importancia de vigilar constantemente los cambios que se producen en la cavidad bucal.

Tipos de Gingivitis
Existen varios tipos de gingivitis, cada uno con características y causas específicas:
- Gingivitis simple: Es la más común y se caracteriza por una leve inflamación del tejido periodontal.
- Gingivitis ulceronecrotizante: Es también conocida como “infección de Vincent”.
- Gingivitis crónica inespecífica: Es un tipo de enfermedad periodontal que se da en la preadolescencia y rara vez presenta dolor.
- Gingivitis escorbútica: Su diferencia con respecto a las anteriores es que no se origina por una mala higiene bucal, sino por deficiencia de vitamina C. Ocasiona dolor bastante severo y hemorragias espontáneas.
Causas de la Gingivitis
La aparición de esta lesión puede deberse a varias causas, destacándose la higiene dental deficiente, los desequilibrios hormonales que se producen durante el embarazo, la menstruación o la adolescencia, diabetes no controlada, la osteoporosis y las enfermedades en general.
Otros señalan como posibles factores que inciden en la aparición de la gingivitis los dientes mal alineados o la colocación inadecuada de los aparatos orales pues aumenta el riesgo de padecer gingivitis. Muchos coinciden en que con una correcta higiene y el tratamiento adecuado puede controlarse, aunque lo recomendable siempre es acudir a un especialista en periodoncia para evitar que el problema sea mayor.
Gingivitis: Tratamiento casero. | Causas y soluciones.
Síntomas de la Gingivitis
Los síntomas de la gingivitis son sangrado de encías, inflamación y sensibilidad. La gingivitis no tratada puede evolucionar a periodontitis y llevar a complicaciones más graves.

Tratamiento de la Gingivitis
Cualquier tratamiento comenzará con medidas dirigidas a reducir la inflamación y para ello se indica una limpieza completa en manos de un profesional que empleará diversos instrumentos para aflojar y remover los depósitos de los dientes.
Debemos estar conscientes que el éxito de todo tratamiento dependerá de una higiene oral cuidadosa después de una limpieza dental profesional. Para ello el odontólogo o el higienista oral le mostrarán cómo realizar correctamente el cepillado o usar la seda dental.
Siempre es posible tener en cuenta algunos consejos para prevenir esta afección. En primer lugar es imprescindible realizar una correcta higiene bucal tres veces al día, complementándola con el uso de hilo dental y un enjuague o colutorio apropiado. Otra recomendación es acudir al dentista al menos una vez al año para una revisión e higiene oral completa.
No importa cuán celosos seamos con nuestra limpieza, siempre se puede pasar por alto algo de placa, incluso con un cuidadoso cepillado y uso de seda dental.
Si esta lesión no recibe un tratamiento adecuado puede complicarse en una periodontitis, enfermedad crónica que debe ser controlada regularmente porque en casos avanzados puede producir pérdida de piezas dentales y reabsorción ósea.
Tabla Comparativa de Tipos de Gingivitis
| Tipo de Gingivitis | Causa Principal | Síntomas | Tratamiento |
|---|---|---|---|
| Simple | Higiene dental deficiente | Leve inflamación | Higiene oral mejorada |
| Ulceronecrotizante | Infección bacteriana | Úlceras, dolor | Antibióticos, limpieza |
| Crónica Inespecífica | Desconocida | Inflamación leve, poco dolor | Mantenimiento higiene oral |
| Escorbútica | Deficiencia de vitamina C | Sangrado severo, dolor | Suplemento de vitamina C |
tags: #gingivitis #del #escorbuto