Un corte en la encía puede ocurrir inesperadamente con más facilidad de lo que se cree. Los tejidos bucales blandos, encías incluidas, pueden sufrir cortes fácilmente debido a su fragilidad. Aquí te contamos sobre las causas, síntomas y tratamientos para las heridas en las encías, incluyendo aquellas causadas por un cepillado agresivo.

Causas Comunes de Cortes en las Encías
Una sacudida del cepillo de dientes es una de las causas principales, así como utilizar el hilo dental con demasiada fuerza, comer alimentos puntiagudos (por ejemplo, nachos de maíz) o recurrir a artículos no indicados para el uso dental, como un mondadientes.
Además, las heridas por traumatismos pueden ser superficiales, cuando la mucosa se raspa, o más profundas, por desgarro de la encía por un objeto punzante, por ejemplo, un lápiz o un vidrio. También pueden producirse quemaduras en las encías por tomar alimentos o bebidas calientes, como café, queso fundido, pizza o alimentos calentados en el microondas.
Los deportes son una práctica que puede dar lugar a lesiones bucales en un instante, como erosiones y perforaciones en las encías.
Síntomas de un Corte en una Encía
Los síntomas de un corte en una encía son llagas y sangrado, entre otros. El corte puede sangrar mucho a la vista, aunque posiblemente se trate de sangre mezclada con saliva.
Tratamiento para Cortes en las Encías
La mayoría de los cortes de tejido blando no requieren atención médica, pero es recomendable seguir estos pasos:
- Enjuagarse con agua marina rebajada o un enjuague bucal antiséptico.
- Presionar la herida y luego aplicar hielo para detener el sangrado y aliviar las molestias.
- Si el sangrado no cesa, acuda al dentista.
Primeros Auxilios para Niños
Si su hijo presenta un corte en la encía, puede tomar las medidas siguientes:
- Calme y tranquilice al niño para que se sienta atendido.
- Lávese bien las manos, ya que probablemente tenga que acercarlas a la boca del niño para valorar el alcance del corte.
- Enjuague bien el corte y la zona circundante con agua fría y retire cualquier partícula de suciedad para mantenerlo limpio.
- Si el sangrado no remite, aplique presión con una gasa estéril.
- Si el sangrado continúa después de 5 o 10 minutos de ejercer presión, solicite asistencia médica.
Tratamientos Adicionales y Productos Recomendados
El tratamiento de las heridas en las encías también va a depender del tipo de lesión que la haya causado. Lacer Mucorepair gel tópico es un gel que ayuda a la regeneración, favorece la cicatrización y ayuda a reducir la inflamación de los tejidos periodontales y mucosas.
Además, enjuagar con agua tibia y sal (disolviendo una cucharadita de sal en un vaso de agua tibia) y aplicar hielo envuelto en una toalla sobre la zona afectada durante 10-15 minutos, varias veces al día, pueden ser medidas útiles.
Retracción de Encías: Causas y Tratamientos
Una consulta habitual en las clínicas dentales es la pérdida de encía o la retracción de encía. En ocasiones el paciente observa que la encía ha ido perdiéndose y con ello aparece la raíz. Para poder solucionar la recesión de encías, lo primero es acabar con la causa concreta que ha originado la retracción.
Causas de la Retracción Gingival
El origen de las encías retraídas puede deberse a diferentes causas:
- Uso incorrecto del cepillo de dientes: Utilizar un cepillo de cerdas demasiado duras o llevar a cabo la higiene bucal de forma demasiado agresiva puede derivar en la pérdida progresiva de la encía.
- Mala higiene dental: Conlleva la acumulación de la placa bacteriana, otra causa de la retracción gingival.
- Golpes accidentales: Un golpe accidental en la boca también puede ocasionar un traumatismo que derive en la misma afección.
- Enfermedad periodontal: Ésta es la responsable de que el nivel de sujeción óseo vaya disminuyendo y en consecuencia la encía lo acompañe.
- Factores genéticos: Algunas personas están genéticamente predispuestas a tener encías sensibles y a sufrir retracción gingival.
- Piercings orales: Suelen darse casos de retracción de encías en pacientes que tienen un piercing en la boca.
- Tratamientos de ortodoncia: En algunos casos, puede causar retracción de encías.

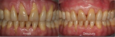
¿Qué puede ocurrir cuando aparece una retracción gingival?
En primer lugar, aumenta la posibilidad de hipersensibilidad, es decir, la sensación a los cambios térmicos. El simple hecho de tomar agua fría o tomar algo dulce puede provocar desde malestar a dolor. Otra es la pérdida de inserción ósea en la zona de retracción, con lo que en esa parte se perderá sujeción. Con esto se consigue recuperar gran parte del tejido perdido.
Otro riesgo de la retracción gingival es el aumento de las posibilidades de sufrir caries en la raíz de la pieza dental. Por norma general, una caries detectada a tiempo puede evitar la pérdida del diente.
Tratamientos para la Retracción Gingival
En cuanto a la recuperación de las encías, hay que tener en cuenta que el tejido gingival no vuelve a crecer de forma natural. Es por eso que el periodoncista debe valorar los posibles tratamientos y asesorar al paciente para que recupere el tejido.
- Injerto de encía (o cirugía mucogingival): Es un trasplante de tejido conectivo de una zona donde hay mucho (paladar) a una zona donde no hay o hay muy poco tejido (encías retraídas).
- Raspado y alisado radicular (Curetaje Dental): Se eliminan el sarro y las bacterias acumuladas bajo las encías, alrededor de las raíces de los dientes.
El postoperatorio del injerto de encía es muy sencillo. Es importante seleccionar un buen profesional con conocimientos y experiencia para que realice la cirugía con éxito.
Prevención de Lesiones en las Encías
Para prevenir lesiones en las encías, considera lo siguiente:
- Utiliza un cepillo de dientes con cerdas suaves.
- Cepíllate suavemente, sin aplicar demasiada presión.
- Utiliza hilo dental con cuidado.
- Evita alimentos puntiagudos o duros que puedan dañar las encías.
- Considera el uso de protectores bucales si practicas deportes de contacto.

La Importancia de la Higiene Bucal y el Cuidado Profesional
La acumulación de placa bacteriana y cálculo sobre los dientes es un indicio de una mala higiene bucal y una técnica de cepillado incorrecta. Mientras el sarro permanezca allí, la encía permanecerá roja e hinchada, ya que está causando un daño continuo a las encías. Con una higiene adecuada, se puede prevenir la pérdida de dientes.
Su primera y mejor línea de defensa en cuanto a salud bucal debe ser el dentista. No dude en pedir cita si tiene alguna duda, ya sea una lesión gingival o un dolor de muelas.
Tipos de Protectores Bucales
Para prevenir lesiones bucales durante la práctica de deportes, existen tres tipos de protectores bucales: a medida, prefabricados y moldeables. El dentista puede proporcionarle un protector bucal hecho a medida, mientras que los prefabricados pueden adquirirse en las tiendas de artículos deportivos.
Conclusión
Las heridas e inflamación en las encías pueden ser dolorosas y molestas, pero con el tratamiento adecuado y el cuidado de tu salud bucal, puedes lograr una recuperación rápida y prevenir futuros problemas.