La fluorosis dental es una condición que afecta el esmalte de los dientes debido a una exposición excesiva al flúor durante su desarrollo, principalmente durante la infancia. El flúor es una sustancia natural que resulta muy beneficiosa para nuestra salud bucal, ya que fortalece el esmalte dental y previene las caries. Sin embargo, la fluorosis dental es un proceso que se da cuando los niveles o exposición de nuestros dientes al flúor son demasiado altos, y afecta al esmalte.
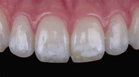
Es importante resaltar que la fluorosis no es una enfermedad, sino más bien una alteración estética del esmalte dental. Cuando se da la fluorosis, los dientes pueden mostrar manchas blancas, líneas o incluso manchas marrones en el esmalte. La fluorosis dental es una alteración irreversible en el desarrollo del esmalte causada por la ingesta excesiva de fluoruros durante la formación de los dientes.
Si estás preocupado por la fluorosis dental, es esencial hablar con un odontólogo. El profesional puede evaluar la gravedad y recomendar tratamientos cosméticos, como el blanqueamiento dental, para mejorar la apariencia de los dientes afectados.

¿Por qué se produce la fluorosis dental?
Tal y como hemos dicho, la causa de la fluorosis es una exposición excesiva al flúor durante la etapa de formación de los dientes. La fluorosis dental, es un defecto de desarrollo del esmalte ocasionada por el consumo excesivo de fluoruros, por eso se considera una afección endémica en zonas donde el agua tiene concentraciones que superan 1.5 mg/L.
Normalmente, esto se debe a la ingesta de aguas con una cantidad de flúor superior a 1,5 ppm., lo que puede darse en determinadas zonas, o la exposición prolongada a ciertos productos como pasta de dientes o colutorios con una cantidad de flúor superior a la recomendada. Por otro lado, ciertos alimentos se procesan con agua fluorada y, determinados suplementos nutricionales pueden contener fluoruro, incrementando así la exposición.
La amelogénesis, o el desarrollo del esmalte dental, tiene lugar en varias etapas: morfogénesis, diferenciación, secreción, maduración, protección y desmólisis. A lo largo de estas fases, se produce una compleja matriz proteica compuesta por amelogenina, ameloblastina, enamelina y tuftelina, además de enzimas como la metaloproteinasa MMP-20 y la calicreína (KLK4), que ayudan en la degradación progresiva de dicha matriz. La fluorosis afecta la etapa de maduración, momento en el que el exceso de fluoruro interfiere con el transporte vesicular de proteínas y retarda su degradación, lo que impide llevar a cabo una buena mineralización del esmalte, que se vuelve más débil y poroso.
Síntomas y Clasificación de la Fluorosis Dental
Los síntomas de la fluorosis dental suelen manifestarse en el aspecto de los dientes. Pueden aparecer manchas blancas, líneas finas o manchas marrones en el esmalte dental. En casos más severos, el esmalte puede volverse poroso, mostrando una textura áspera y cambios en la apariencia general de los dientes.
La fluorosis dental se clasifica en diferentes grados según la gravedad de la afectación en el esmalte de los dientes:
- Fluorosis dental leve: Se caracteriza por la presencia de líneas blancas o manchas leves en el esmalte dental.
- Fluorosis dental moderada: En este grado, las manchas y líneas blancas en el esmalte son más notorias. La fluorosis dental moderada se caracteriza por la presencia de manchas de tonalidades blancas en el esmalte de la pieza.
- Fluorosis dental severa: Se manifiesta con un daño más significativo en el esmalte. Los dientes pueden mostrar manchas marrones, áreas porosas y una apariencia áspera. Por último, la fluorosis dental severa origina manchas que ocupan la mayor parte de la pieza y puede provocar rugosidades en el esmalte o modificaciones en la forma del diente. En esta fase el paciente presenta caries y aparecen manchas que ocupan gran parte del diente.
Para saber qué tan leve o grave es, existen múltiples índices de clasificación. El índice de Dean, desarrollado por H. Trendley Dean, es el recomendado por la Organización Mundial de la Salud (OMS). Esta clasificación es más detallada, se basa en la histopatología de la fluorosis, describiendo cambios microscópicos y macroscópicos, por eso es el más útil para planificar tratamientos clínicos individualizados.

Hay que partir de la premisa que el fluoruro debe estar en el agua de consumo para que el diagnóstico definitivo sea fluorosis, en vista que los índices han sido desarrollados con el fin de describir sus características clínicas, definir la severidad de la enfermedad, explicar su comportamiento y decidir la terapéutica indicada. El índice Thylstrup y Fejerskov (TF) de 1978, clasifica las lesiones con base en la histopatología de la fluorosis dental, muestra la secuencia lógica de los diferentes estadios para lograr la planificación acertada del tratamiento. Este índice se diferencia de otros porque hace una descripción detallada de las lesiones y la profundidad en el esmalte, medida en micras ya grupadas en 10 estadios que van desde TF0 o esmalte normal, hasta TF9 esmalte con fluorosis severa.
Otro mecanismo para clasificar las lesiones ocasionadas por la fluorosis es la transiluminación en lesiones superficiales y profundas según sean mayores o menores de 30 micras.
Descubre todo sobre el Tratamiento de Fluorosis Dental
Prevención de la Fluorosis Dental
Es importante destacar la importancia de la prevención para evitar así la aparición de fluorosis. La prevención de la fluorosis dental se centra en el control adecuado de la exposición al flúor, especialmente durante la infancia, etapa crucial en el desarrollo dental.
El principal modo de evitar dicho problema se basa en conocer la concentración de flúor del agua corriente del grifo de nuestra población. Los principales factores de riesgo de la fluorosis están relacionados con la sobreexposición al fluoruro durante la infancia. Además, es fundamental informar a los padres sobre las cantidades recomendadas de flúor en las pastas dentífricas en cada etapa de la infancia.
Medidas preventivas:
- Supervisión del consumo de flúor: Es fundamental controlar la cantidad de flúor que ingieren los niños. Se debe vigilar el uso de pastas dentales fluoradas y asegurarse de utilizar la cantidad adecuada según la edad del niño. Supervisar la cantidad de pasta dental fluorada utilizada, asegurándose de usar solo una pequeña cantidad (del tamaño de un guisante) y enseñar a los niños a escupirla en lugar de tragarla.
- Asesoramiento profesional: Consultar con un odontólogo puede ser clave para evaluar la exposición al flúor y recibir pautas específicas sobre la cantidad adecuada para cada individuo.
- Utilizar únicamente dentífricos especialmente recomendados para niños y en la dosis recomendada por el fabricante. De esta manera, nos aseguraremos de utilizar productos que contienen la concentración de flúor adecuada para su edad y caso en particular.
- Evitar comer en exceso alimentos con una alta concentración de flúor como el pescado azul o las espinacas.
Tratamientos para la Fluorosis Dental
Los tratamientos para corregir la fluorosis dental dependerán del grado de gravedad de la afección y del estado en que se encuentren los dientes. El tratamiento para la fluorosis dental está principalmente orientado a mejorar la apariencia estética de los dientes afectados.
En las categorías TF1 y TF2, el blanqueamiento dental ayuda a reducir el contraste entre las zonas afectadas por la fluorosis y las sanas. Se usan agentes como el peróxido de hidrógeno o de carbamida, capaces de penetrar en el esmalte y descomponer los pigmentos responsables de la coloración. Hay que tener en cuenta que el aclaramiento dental puede causar sensibilidad postoperatoria, por lo que es aconsejable realizar microabrasión en ciertos casos.
Para la selección del tratamiento adecuado, es necesario tener en cuenta la clasificación de la lesión y su correcto diagnóstico. La fluorosis dental afecta tanto los dientes anteriores como los posteriores, pero el segmento anterior es elmotivo de consulta preferente para recibir un tratamiento estético y funcional. El manejo de estas lesiones se ha venido realizando mediante tratamientos invasivos, pero el problema es que la mayoría de los pacientes que padecen la fluorosis dental son jóvenes y estos procedimientos resultan en la pérdida injustificada y prematura de los dientes afectados.
Opciones de tratamiento:
- Blanqueamiento dental: Puede ser efectivo para reducir la apariencia de manchas y decoloraciones leves causadas por la fluorosis. El blanqueamiento elimina las manchas y los puntos producidos por fluorosis dental. En los casos más severos este procedimiento resulta insuficiente.
- Carillas dentales: Son láminas delgadas de porcelana o resina que se adhieren a la superficie de los dientes para mejorar su apariencia. En los frentes estéticos utilizaremos carillas dentales, finas láminas que nos permiten personalizar el tamaño, color y textura de los dientes.
- Reconstrucción dental: En casos más severos de fluorosis, donde el esmalte está considerablemente afectado, puede ser necesario el uso de técnicas de reconstrucción dental, como las coronas dentales. En los sectores posteriores recomendaremos las incrustaciones, fragmentos de cerámica que cubren la parte perdida del diente. Para casos que van del TF5 al TF9, donde hay pérdida de estructura dental, se recomienda hacer una restauración con resinas compuestas para reemplazar las zonas afectadas.
- Microabrasión dental: Esta técnica consiste en eliminar una fina capa de esmalte que contiene las manchas superficiales. En casos leves, técnicas como la microabrasión dental pueden ser consideradas para mejorar la apariencia estética de los dientes sin afectar su estructura de manera significativa.

En los grados moderados TF3 y TF4, es habitual combinar tratamientos de macroabrasión, microabrasión y blanqueamiento dental.
En niños, el abordaje de la fluorosis dental se centra en medidas más conservadoras y preventivas, especialmente porque los dientes aún están en desarrollo. En casos leves, técnicas como la microabrasión dental pueden ser consideradas para mejorar la apariencia estética de los dientes sin afectar su estructura de manera significativa.
Cuadro 1. Técnicas conservadoras para el tratamiento de la fluorosis dental:
| Técnica | Descripción | Agentes Utilizados | Efectividad/Estadio |
|---|---|---|---|
| Microabrasión | Aplicación de una suspensión micro abrasiva para eliminar una fina capa de esmalte. | Ácido clorhídrico al 6%, 15% y 18% o ácido fosfórico al 37% y carburo de silicio o piedra pómez. | - |
| Aclaramiento Dental | Procedimiento para reducir el contraste entre las zonas afectadas y sanas del esmalte. | Hipoclorito de sodio, peróxido de hidrógeno y peróxido de carbamida en diferentes concentraciones. | TF1 y TF2: Alta efectividad con hipoclorito de sodio, peróxido de hidrógeno al 35% y peróxido de carbamida al 10%. |
| Resina Infiltrante | - | - | TF1 y TF2: Alta efectividad. |
| Técnicas Combinadas | Macroabrasión en combinación con microabrasión, aclaramiento y resina infiltrante. | - | - |
Después se aplica el flúor neutro por 1 minuto para remineralizar el esmalte y evitar sensibilidad posterior.
En definitiva, la fluorosis dental puede tratarse a pesar de ser una condición irreversible. Lo más importante es realizar un diagnóstico preciso que determine la gravedad del caso en cuestión antes de llevar a cabo algún tratamiento. Es preferible que estos sean mínimamente invasivos para conservar la estructura dental. Además, la fluorosis dental recalca lo necesaria que es la educación parental como medida de prevención. Con visitas regulares a la clínica dental es posible detectar signos a tiempo para controlar la exposición al flúor y recomendar los productos más adecuados de acuerdo con ello.