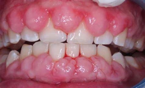
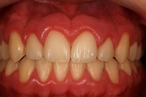
La hiperplasia gingival es un trastorno bucal que se caracteriza por un crecimiento excesivo del tejido gingival, es decir, de las encías. En condiciones normales, las encías tienen un aspecto rosado y se adhieren de manera firme alrededor de los dientes. Esta enfermedad puede afectar a personas de todas las edades y puede presentarse tanto en un área específica de la boca como en toda la cavidad oral.
Es importante destacar que la hiperplasia gingival no solo afecta la estética de la sonrisa, sino que también puede ocasionar molestias y complicaciones en la salud bucal.

La hiperplasia gingival fibrosa provoca que el tejido fibroso crezca de forma anormal, pudiendo llegar a cubrir diversas zonas de las piezas dentales. Es el aumento difuso y relativamente vascular, nodular o liso de las encías; con el paso del tiempo puede llegar a cubrir toda la dentadura.
Causas de la Hiperplasia Gingival Fibrosa
La hiperplasia gingival puede ser causada por diferentes factores, y comprender las causas subyacentes es crucial para un tratamiento efectivo:
- Placa Bacteriana y Cálculo Dental: La placa bacteriana y el cálculo dental actúan como irritantes locales persistentes, desencadenando una respuesta inflamatoria crónica.
- Cambios Hormonales: Los cambios hormonales, especialmente durante la pubertad, el embarazo o la menopausia, pueden influir en el desarrollo de la hiperplasia gingival. La hiperplasia gingival del embarazo típicamente aparece durante el segundo trimestre, afectando principalmente las papilas interdentales anteriores, pudiendo evolucionar hacia granuloma piógeno (tumor del embarazo) en casos severos.
- Factores Genéticos: La predisposición genética también puede desempeñar un papel en el desarrollo de la hiperplasia gingival. La fibromatosis gingival hereditaria, condición rara con patrón autosómico dominante, causa hiperplasia gingival generalizada, no inflamatoria, que puede desarrollarse desde la erupción de la dentición primaria.
- Medicamentos: La hiperplasia gingival asociada a medicamentos es una reacción adversa relacionada con el uso sistémico de varios fármacos. Los fármacos anticonvulsivantes, particularmente la fenitoína (Dilantín), pueden provocar hiperplasia gingival en aproximadamente 50% de los pacientes, manifestándose generalmente tras 2-3 meses de tratamiento. Los bloqueadores de canales de calcio, utilizados en hipertensión y angina, especialmente nifedipino, amlodipino y verapamilo, causan hiperplasia en 15-20% de pacientes, con mayor prevalencia en hombres y jóvenes. Los inmunosupresores como ciclosporina, utilizada en trasplantados y condiciones autoinmunes, provocan hiperplasia en hasta 30% de adultos y 70% de niños tratados.
- Condiciones Sistémicas: Condiciones sistémicas como leucemia (particularmente mielomonocítica y monocítica), granulomatosis de Wegener, sarcoidosis o amiloidosis pueden manifestarse con hiperplasia gingival como signo temprano o componente de presentación múltiple.

Síntomas de la Hiperplasia Gingival Fibrosa
Algunos de los síntomas más comunes incluyen:
- Crecimiento excesivo del tejido gingival.
- Encías inflamadas y enrojecidas.
- Sangrado gingival.
- Sensibilidad y molestias en las encías.
La detección temprana de la hiperplasia gingival es fundamental para un tratamiento efectivo.
Diagnóstico de la Hiperplasia Gingival
La identificación de medicaciones asociadas con hiperplasia gingival requiere una revisión exhaustiva de tratamientos actuales y pasados, incluyendo duración, dosificación y combinaciones farmacológicas. Los antecedentes familiares detallados permiten identificar patrones sugestivos de fibromatosis hereditaria, especialmente útil en casos pediátricos donde las manifestaciones pueden ser iniciales. La cronología de desarrollo resulta fundamental, documentando inicio, velocidad de progresión y correlación con eventos específicos (inicio de medicación, cambios hormonales, colocación de aparatología ortodóncica). La palpación bi-digital proporciona información sobre consistencia, grado de fibrosis y presencia de nódulos o alteraciones estructurales no evidentes visualmente.
Tratamiento de la Hiperplasia Gingival Fibrosa
El tratamiento de la hiperplasia gingival varía según la causa y la gravedad de la afección:
- Control Riguroso de la Placa Bacteriana: El control riguroso de la placa bacteriana mediante instrucción meticulosa de higiene, instrumentación profesional frecuente y enjuagues antimicrobianos (clorhexidina 0.12%) puede reducir significativamente el componente inflamatorio, disminuyendo el volumen tisular en hiperplasias con componente reactivo importante.
- Modificación Farmacológica: La modificación farmacológica, cuando factible, representa una intervención fundamental en hiperplasias medicamentosas. Los enjuagues con ácido fólico al 0.1% (locales) o suplementación sistémica han mostrado resultados prometedores como coadyuvantes en el manejo de la hiperplasia por fenitoína, actuando como antagonistas competitivos frente a la alteración metabólica inducida por este fármaco en fibroblastos gingivales.
- Gingivectomía: La gingivectomía convencional con bisturí, eliminando el tejido hiperplásico hasta obtener un contorno gingival fisiológico, representa una técnica tradicional efectiva. Está indicada principalmente en hiperplasias fibróticas establecidas con pseudobolsas sin pérdida de inserción significativa.
- Técnicas Quirúrgicas con Láser: Las técnicas quirúrgicas con láser (diodo, CO2, Er:YAG) ofrecen ventajas como hemostasia simultánea, menor dolor postoperatorio, reducción de tiempo operatorio y efecto antimicrobiano adicional.
- Electrocirugía: La electrocirugía proporciona corte y coagulación simultáneos, resultando útil en tejidos muy vascularizados.
- Mantenimiento Periodontal Intensivo: El mantenimiento periodontal intensivo, con revisiones cada 2-3 meses durante el primer año post-tratamiento, resulta esencial para el control de la recurrencia, particularmente en casos asociados a medicaciones que no pueden suspenderse.
Además de abordar los aspectos funcionales de la hiperplasia gingival, es importante considerar la estética dental. La alteración significativa de la sonrisa por exposición excesiva de encía, asimetría gingival o cambios en coloración y textura puede impactar severamente la autoestima, especialmente en adolescentes y adultos jóvenes. El asesoramiento psicológico puede resultar necesario en casos donde el impacto estético ha generado alteraciones significativas en la conducta social, autoestima o calidad de vida.

Es importante informar a los pacientes del posible efecto adverso, así como de las medidas preventivas que estarían indicadas para reducir la gravedad de las lesiones, como: higiene bucodental estricta y revisiones dentales para la limpieza del sarro.
Prevención de la Hiperplasia Gingival
El primer y principal método para evitar esta patología es una correcta higiene dental. Las enfermedades que afectan a las encías están muy relacionadas con el crecimiento de la placa bacteriana y su mineralización en sarro. Si mantenemos una higiene diaria y correcta limitaremos la aparición de este, y otros, tipos de patologías como la gingivitis o periodontitis. Cepillarse tras cada comida, hacerlo de una forma correcta y utilizar hilo dental y enjuagues va a prevenir muchas de estas enfermedades.
El segundo método para prevenir el agrandamiento gingival es que no olvides las visitas a tu dentista de confianza. Incluso la mejor de las higienes dentales puede dejarse restos en los dientes que acaben con la producción de sarro. Además, recuerda que la hiperplasia gingival tiene otro tipo de factores que son difíciles de detectar y que el ojo experto puede solucionar.
| Tratamiento | Descripción | Indicación |
|---|---|---|
| Control de placa bacteriana | Instrucción de higiene oral y limpieza profesional | Hiperplasia leve con componente inflamatorio |
| Modificación farmacológica | Ajuste o cambio de medicación | Hiperplasia inducida por fármacos |
| Gingivectomía | Remoción quirúrgica del tejido gingival excesivo | Hiperplasia fibrótica establecida |
| Terapia con láser | Remoción del tejido con láser | Hiperplasia con necesidad de hemostasia |
| Mantenimiento periodontal | Revisiones y limpiezas regulares | Prevención de recurrencia |
La educación específica sobre etiología, particularmente en casos medicamentosos, ayuda a comprender la naturaleza de la condición, reduciendo el estigma autoimpuesto y mejorando la adherencia a un régimen terapéutico global.
¿Crees que padeces de hiperplasia gingival? Solicita tu primera consulta gratuita y te asesoraremos.
Medicamentos que Producen Hiperplasia Gingival
tags: #hiperplasia #gingival #fibrosa