Las encías son una parte fundamental de la salud bucodental y deben cuidarse tanto como los dientes. Uno de los problemas que se pueden presentar es la hiperplasia gingival, también conocida como sobrecrecimiento de la encía o agrandamiento gingival.
La hiperplasia gingival se caracteriza por el crecimiento excesivo de la encía. En algunos casos, puede llegar a cubrir los dientes y también se manifiesta con sangrado, tanto espontáneo como al tacto, e incluso con dolor. En los pacientes que padecen esta afección, las encías se inflaman y aumentan considerablemente de tamaño.

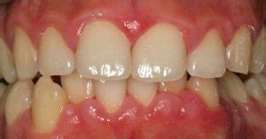
Ejemplo de hiperplasia gingival.
Causas de la Hiperplasia Gingival
La etiología de los agrandamientos gingivales (AG) es muy variada, pudiendo intervenir desde causas hormonales hasta medicamentosas, siendo éstas en la actualidad las más frecuentes. El agrandamiento gingival consiste en el aumento del volumen de la encía (altura, grosor o ambos).
Puede deberse a varias causas, pero esta relación se ha establecido sobre todo en respuesta al uso de:
- Anticonvulsivantes (fenitoína)
- Antagonistas del calcio (nifedipino)
- Inmunosupresores selectivos (ciclosporina)
Aunque también se ha asociado con otros fármacos.
Otras causas comunes incluyen:
- Higiene deficiente: La limpieza bucodental insuficiente es una de las causas principales.
- Uso de brackets: Otro de los factores de riesgo es el agrandamiento gingival por llevar brackets.
- Leucemia: Esta patología puede generar un agrandamiento gingival.
- Problemas hereditarios: El agrandamiento gingival también puede producirse por un componente hereditario.
- Inflamación: Normalmente la causa más habitual es la inflamación de las encías por acumulación de placa bacteriana debajo de las encías.
- Cambios hormonales: Especialmente en el embarazo, la pubertad o relacionados con el ciclo menstrual.
Remoción de una hiperplasia gingival
La placa bacteriana o biofilm es un factor presente en todas las patologías que implican inflamación periodontal y su presencia exacerba los cambios en el contorno gingival, por lo que se considera un cofactor de riesgo en la hiperplasia gingival inducida por medicamentos. La gravedad del agrandamiento gingival está correlacionada con una higiene bucal deficiente.
Además, existen otros factores de riesgo que pueden influir en la aparición y desarrollo del agrandamiento gingival como la edad (los niños y los adolescentes son más susceptibles) y la predisposición genética.
Medicamentos Asociados a la Hiperplasia Gingival
Los agrandamientos gingivales por medicamentos son los más frecuentes tras la administración de medicamentos que poseen este efecto colateral. Fueron descritas por primera vez por Kimball en pacientes epilépticos tratados con difenilhidantoína.
Los AG por medicamentos son un efecto secundario asociado principalmente a tres tipos de drogas: anticonvulsivantes, inmunosupresores (ciclosporina) y antagonistas del calcio.
Existen factores comunes en el crecimiento gingival inducido por estos fármacos:
- El crecimiento es más evidente en el lado bucal que en el lingual de la encía.
- La aparición e intensidad guardan relación con los niveles en sangre de los medicamentos.
- Existe en muchos casos la remisión espontánea al suprimir la administración del fármaco.
- La acumulación de placa bacteriana parece desempeñar un papel importante en la intensidad del agrandamiento.
- Se dan con mayor frecuencia en pacientes jóvenes que en mayores.
Antiepilépticos
Si bien clásicamente se habla de AG por hidantoínas, no sólo las produce este fármaco, ya que se encuentra bien documentada la producción de este efecto secundario por otros medicamentos de este mismo grupo como el fenobarbital o la carbamacepina. El agrandamiento gingival por hidantoína suele detectarse a los tres meses de iniciado el tratamiento, siendo mayor la incidencia en niños y adultos jóvenes.

Agrandamiento gingival en un paciente epiléptico en tratamiento con hidantoína.
Antagonistas del Calcio
El uso tan extendido de estos medicamentos hace que los efectos secundarios sean muy frecuentes, siendo descritos los agrandamientos gingivales por primera vez en 1984 por Ramón y Lederman. De este grupo farmacológico el que con más frecuencia produce AG es el nifedipino, existiendo también casos demostrados con verapamil, diltiazem, anlodipino y felodipino entre otros. La clínica es idéntica a la de las hidantoínas, iniciándose la hiperplasia en la encía papilar, extendiéndose con posterioridad a la encía marginal.

Ligera hiperplasia gingival en un paciente hipertenso en tratamiento con nifedipina.
Ciclosporina
La ciclosporina es un fármaco inmunosupresor descubierto por Borell en los laboratorios Sandoz en 1972. La primera descripción de hiperplasia gingival asociada a ciclosporina se debe a Ratteitschak en 1983. Su incidencia, si bien al principio se consideró que no era muy elevada, actualmente se ha constatado que aproximadamente el 30% de los enfermos son tratados con este fármaco, aunque en diferentes publicaciones encontramos una frecuencia que oscila entre el 25% al 81%.

Paciente trasplantado de corazón en tratamiento con ciclosporina.
Tratamiento de la Hiperplasia Gingival Medicamentosa
El tratamiento del agrandamiento gingival inducido por fármacos debe abordar diferentes aspectos:
- Mejora de la higiene bucal: Esta medida puede ser eficaz en pacientes con agrandamiento gingival leve o moderado. Se debe realizar en clínica dental, mediante raspado y alisado radicular, y en el domicilio, con buena higiene bucal y el uso de antisépticos con clorhexidina.
- Sustitución del fármaco: Sustituir el fármaco por otro de eficacia similar y menor riesgo de agrandamiento gingival, siempre y cuando sea posible. Así, la fenitoína podría sustituirse por carbamazepina o ácido valproico, la ciclosporina por tacrolimus y el nifedipino por otro antagonista del calcio con menor riesgo como el verapamilo. En cualquier caso, debe ser el médico quien realice la evaluación beneficio/riesgo de la posible sustitución. Es la medida más eficaz. Para algunas sustituciones, ha supuesto la regresión a la casi normalidad en 4 meses. Esta medida no siempre puede aplicarse ya que el buen control de otra patología con la medicación que ha provocado el agrandamiento puede hacer que no sea aconsejable su cambio.
- Gingivectomía: En casos más severos y cuando no sea posible aplicar las medidas anteriores, puede estar indicada la escisión del exceso de tejido y restauración del contorno gingival mediante una gingivectomía. Existe el riesgo de recidivas si no se retira la medicación que provocó el agrandamiento gingival en hasta un 40% de los pacientes.
El tratamiento de los agrandamientos gingivales independientemente de su etiología pasa siempre por una correcta higiene tanto individual como realizada por el odontoestomatólogo, ya que es la placa bacteriana la que la inicia o bien la que la incrementa y perpetúa.
En los agrandamientos sistémicos dependerá del factor etiológico para actuar de un modo u otro. Así, en el de tipo nutricional será suficiente la instauración de una dieta correcta para la resolución del problema. En los de origen tumoral habrá que tratar el proceso neoplásico del que se trate para su correcta resolución. En las hiperplasias de origen inflamatorio el eliminar la causa que produce la inflamación ha de ser el primer paso para conseguir la salud gingival, realizándose con posterioridad una tartrectomía.
Prevención de la Hiperplasia Gingival
Lo fundamental para prevenir este tipo de patología es tener una buena higiene dental. Si mantenemos una buena higiene dental y diaria será mucho más fácil prevenir la hiperplasia gingival y también reduciremos la aparición de otras patologías como la gingivitis o periodontitis. Las enfermedades que afectan a las encías prácticamente están relacionadas con el crecimiento de la placa bacteriana.
Cepillarse los dientes después de cada comida y hacerlo de una forma correcta sin olvidarnos de utilizar el hilo dental es una buena forma de prevenir muchas enfermedades. Otro método de prevenir el agrandamiento gingival es visitar a tu dentista de confianza.
Es importante informar a los pacientes del posible efecto adverso, así como de las medidas preventivas que estarían indicadas para reducir la gravedad de las lesiones, como: higiene bucodental estricta y revisiones dentales para la limpieza del sarro.
Las consecuencias de un agrandamiento gingival pueden incluir dolor en la masticación, alteración en la deglución, trastornos del habla, hemorragia gingival, alteraciones periodontales y alteraciones en la oclusión.
tags: #hiperplasia #gingival #medicamentosa