El tratamiento con implantes dentales es una solución duradera e ideal para reemplazar dientes perdidos, ofreciendo una opción funcional y natural. Las fotografías de implantes dentales antes y después son la mejor prueba de cómo este tratamiento puede transformar una sonrisa, devolviendo la confianza y la funcionalidad.

Casos Reales de Implantes Dentales: Una Mirada al Impacto
En diversas clínicas dentales, se han realizado numerosos tratamientos de implantología dental con resultados excepcionales. Estos casos demuestran el potencial de los implantes para mejorar la calidad de vida de los pacientes.
Ejemplo de un Caso Real
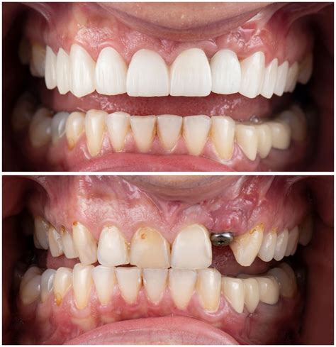
Un paciente, Juan, acudió a una clínica dental en Guadalajara sintiendo molestias en la boca. Tras un examen, se determinó que la falta de una muela había debilitado el hueso en ese hueco, causando las molestias. Se le realizó un tratamiento de implantes y se sanearon las encías. Al finalizar el tratamiento, el implante era indistinguible, encajando perfectamente en la armonía general de la boca.
Este caso ilustra cómo los implantes no solo restauran la función masticatoria, sino que también mejoran la estética dental de manera significativa.

Materiales Innovadores en Prótesis Dentales
Además de la colocación de implantes, los avances en materiales para prótesis dentales han mejorado significativamente los resultados. Por ejemplo, se utiliza una prótesis fija de PEEK composite, un polímero termoplástico de nueva generación que es biocompatible, ligero y seguro. Este material evita la corrosión que se produce con el tiempo y ofrece una alta biocompatibilidad, reduciendo el peso final de la prótesis y mejorando la seguridad y estética.
En algunos laboratorios dentales, se ha desarrollado un material de implante dental personalizado para la prótesis utilizando PEEK-PMMA, que es absolutamente libre de metal, muy ligero, cómodo y 100% biocompatible. Todo el diseño se realiza digitalmente por ingenieros especializados, proporcionando a los pacientes la mejor sonrisa posible.
Implantes dentales: ventajas e inconvenientes
Fases del Tratamiento de Implantes Dentales
El proceso de colocación de implantes dentales consta de varias fases clave:
1. Fase Quirúrgica
Comienza con la extracción de los dientes dañados, utilizando a menudo un PRGF (plasma rico en factor de crecimiento), donde se utiliza la propia sangre del paciente para acelerar la curación. Luego, se colocan entre 4 y 6 implantes por arcada en el mismo momento. La inclinación de dos de los implantes permite el soporte de la prótesis, una técnica conocida como colocación inmediata de implantes.
Tipos de Cirugía
- Cirugía Navegada: Utiliza la tecnología X-guide para conectar la planificación realizada en el ordenador con la boca del paciente en tiempo real.
- Cirugía Guiada: Combina imágenes para crear un modelo 3D exacto que permite mapear la boca al milímetro.
- Cirugía Convencional: Utiliza rayos X para evaluar el hueso disponible.
Si es seguro y predecible, el implante puede colocarse el mismo día que el paciente acude a la consulta inicial.
2. Fase Protésica
Transcurridos tres meses de la cirugía, con el paciente totalmente curado, se cambia la prótesis temporal por la definitiva. El diseño se realiza con flujo digital y está elaborado por ingenieros especializados.

Errores Comunes en la Colocación de Implantes y Cómo Evitarlos
Aunque los implantes dentales son una solución eficaz, existen errores que pueden comprometer su éxito:
- Selección Incorrecta del Implante: Es crucial que el implante se ajuste correctamente al espacio disponible. Un diagnóstico exhaustivo y un análisis detallado son fundamentales.
- Mala Orientación del Implante: El implante debe colocarse en el ángulo correcto, respetando la anatomía del paciente.
- Falla en la Osteointegración: La correcta integración ósea es esencial. Se debe asegurar que el hueso tenga suficiente volumen y densidad.
- Infección: Una colocación inadecuada puede facilitar la acumulación de bacterias. La correcta colocación del implante es vital para evitar infecciones.
- Pérdida Ósea: La presión irregular sobre el hueso puede provocar su reabsorción.
- Problemas Estéticos: Un implante mal alineado puede resultar en una sonrisa desalineada o artificial.
Cómo Evitar Estos Errores
- Elegir un profesional cualificado y con experiencia en implantología.
- Realizar una planificación pre-quirúrgica detallada con evaluación radiográfica y tomografía computarizada.
- Realizar un seguimiento constante después de la colocación para asegurar una correcta osteointegración.
Tabla Comparativa de Materiales para Prótesis Dentales
| Material | Ventajas | Desventajas |
|---|---|---|
| PEEK Composite | Biocompatible, ligero, seguro, evita la corrosión. | Requiere tecnología avanzada para su diseño y fabricación. |
| PEEK-PMMA | Libre de metal, muy ligero, cómodo, 100% biocompatible. | Costo puede ser más elevado en comparación con otros materiales. |
| Metal-Cerámica | Alta resistencia, durabilidad. | Posible corrosión con el tiempo, menor biocompatibilidad. |
Los implantes dentales pueden transformar la vida de los pacientes, proporcionando una solución duradera y estética para la pérdida de dientes. Sin embargo, la colocación incorrecta de los implantes puede tener consecuencias graves que van más allá de la apariencia estética.