El tratamiento con implantes dentales es ideal para reemplazar dientes perdidos de manera duradera, ofreciendo una solución funcional y natural. Piensas hacerte un implante dental? Te contamos lo que debes conocer sobre el antes y después del tratamiento para lograr una sonrisa radiante y permanente.

En el Centre Mèdic i Dental Dr. Lorente entendemos que la salud bucal no solo impacta en la función masticatoria, sino también en la autoestima, la seguridad personal y la aparición de problemas médicos asociados. Afortunadamente, los implantes dentales surgen como una solución innovadora y duradera para restaurar la función y la estética de tu sonrisa.
¿Qué son los implantes dentales?
Los implantes dentales te permiten reemplazar dientes perdidos con raíces artificiales de titanio, brindándote una sonrisa natural y duradera. Estos dispositivos, elaborados con materiales biocompatibles como el titanio, se integran al hueso maxilar y actúan como la raíz de un diente natural, permitiendo la colocación de coronas o prótesis que se ven y funcionan como dientes reales.

Antes de un implante dental
Sin embargo, es fundamental que antes de iniciar el tratamiento, un odontólogo especialista te evalúe para conocer el estado de tu salud bucal, determinar la ubicación y número de implantes necesarios, etc. Esto le permitirá diseñar un tratamiento personalizado según tus necesidades. Así mismo, es muy importante que converses con el odontólogo sobre qué deseas desde el punto de vista estético. Es tu oportunidad para pedirle simulaciones virtuales del resultado final para asegurarte que sea lo que esperas.
Para garantizar el éxito del tratamiento, es importante mantener una higiene bucal rigurosa, dejar de fumar y controlar adecuadamente cualquier enfermedad sistémica que puedas padecer. Ahora bien, para lograr una buena experiencia y evitar contratiempos, es importante que planifiques también lo relativo a tu recuperación. Esto incluye organizar tu tiempo, preparar tu hogar y contar con el apoyo de familiares o amigos que te brinden apoyo durante el proceso de recuperación. Otro aspecto que debes tener presente, es que los implantes dentales pueden implicar importantes gastos, por lo que podrías evaluar opciones de financiamiento disponibles. Esto te ayudará a minimizar la ansiedad y el estrés.
Después del implante dental: Cuidados esenciales
Una vez colocado el implante dental, es muy importante seguir las instrucciones del odontólogo para garantizar una cicatrización exitosa y que el implante tenga una vida útil bastante larga. En todo caso, tu odontólogo te dará indicaciones detalladas que es importante que cumplas al pie de la letra. Para ayudarte en este proceso, te brindamos algunos tips de cuidados esenciales que debes cumplir:
- Toma los analgésicos y antiinflamatorios recetados por el especialista para controlar el dolor y la inflamación.
- Mantén una higiene bucal rigurosa, utilizando un cepillo de dientes suave y enjuagues bucales especiales recomendados por el odontólogo. Cepilla tus dientes dos veces al día y usa hilo dental una vez al día para eliminar la placa y las bacterias. Además, acude a revisiones y limpiezas profesionales con regularidad para mantener la salud de los implantes y las encías.
- Consume alimentos blandos y fáciles de masticar durante las primeras semanas para evitar molestias y favorecer la cicatrización.
- Evita fumar y consumir alcohol, pues estos pueden retrasar la cicatrización y aumentar el riesgo de complicaciones.
- Acude a citas de control con el odontólogo para monitorear la cicatrización y el progreso del tratamiento.
Así mismo, es importante que estés atento a cualquier señal que pueda indicar una complicación, como:
- Dolor intenso o persistente: Si experimentas dolor intenso o persistente en la zona del implante dental que no cede con la medicación prescrita por tu odontólogo, es fundamental que acudas a una consulta lo antes posible. Este tipo de dolor podría ser un indicio de una complicación que requiere atención profesional oportuna para evitar complicaciones mayores.
- Inflamación excesiva: Si observas una inflamación extrema en la zona del implante dental, es urgente que acudas a una consulta con tu odontólogo. Este tipo de inflamación puede ser un signo de una infección que requiere tratamiento profesional oportuno para evitar complicaciones graves.
- Fiebre: La fiebre también puede indicar una infección en el sitio de la cirugía, por tanto, la atención por parte del odontólogo es prioritario.
- Sangrado anormal: Este tipo de sangrado puede ser un indicio de una complicación que requiere evaluación y tratamiento profesional para garantizar la salud del implante y evitar complicaciones mayores.
Todo sobre Implantes Dentales: Tasa de éxito, procedimiento y cuidados postoperatorios
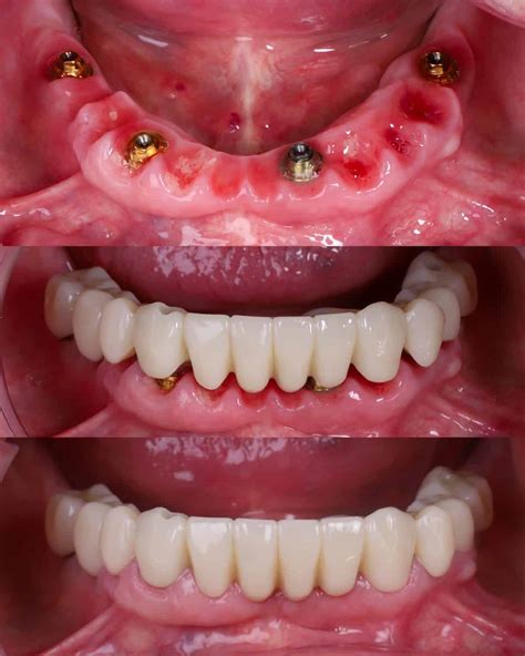
Casos Reales de Transformación Dental
En Dobleese, hemos realizado numerosos tratamientos de implantología dental con resultados excepcionales. Información acerca de nuestros casos reales de implantes dentales En Dobleese, cada tratamiento con implantes dentales comienza con un estudio personalizado para garantizar resultados que se ajusten a las necesidades y expectativas del paciente. Todas las imágenes y vídeos de esta página web pertenecen exclusivamente a Dobleese. Todos los casos reales presentados han sido realizados en Dobleese y por Dobleese y su equipo. Cada caso expuesto cuenta con el consentimiento y autorización del paciente para su publicación.

Las fotografías de implantes dentales antes y después son la mejor muestra de cómo este tratamiento puede transformar una sonrisa. Casos como el de Chiu nos recuerdan la importancia de actuar a tiempo frente a la pérdida de dientes. Si te identificas con la historia de Chiu y deseas recuperar tu sonrisa y confianza, te invitamos a dar el primer paso.
Algunos casos de pacientes:
- Paciente: Mariano Campillo. Tratamiento: Rehabilitación y estética dental con carillas, coronas de zirconio e implantes dentales.
- Paciente: María Ángeles Cambronero. Tratamiento: Tratamiento estético y de implantes con corona de zirconio.
- Paciente: Francisco Sabater. Tratamiento: Rehabilitación metal-cerámica superior e inferior. Implantes dentales con corona de zirconio.
- Paciente: Juan Francisco Cebrián. Tratamiento: Paciente con Disminución de Dimensión Vertical y pérdida de estructura dental por bruxismo e ingesta ácida (erosión). Se realizaron 26 fundas individuales de zirconio para aumentar dimensión vertical y crear espacio para restituir función y estética.
- Paciente: María Fernández. Tratamiento: Tratamiento de coronas inferiores y carillas superiores de Zirconio de premolar a premolar.
Testimonios de Pacientes
La sonrisa es un reflejo de nuestra felicidad y confianza. Presentamos algunos testimonios de pacientes satisfechos:
- “Empecé mi tratamiento con ellos hace un mes y el trato está siendo inmejorable y excelente. Ayer me colocaron los Brackets y no puedo estar más contento. “Médicos maravillosos recomendable para todo el mundo."
- “Atención inmejorable, personal súper atento y profesional."
- “El Dr. Ferrer lleva viéndome a mi, y a toda mi familia, desde que me alcanza la memoria y siempre ha sido un profesional excelente, atento, cuidadoso y cariñoso. Precios realmente competitivos y una calidad humana del equipo inmejorable. Se preocupan por el paciente, te hacen sentir seguro de estar en buenas manos y te resuelven inmediatamente cualquier duda o problema que surja."
- “El doctor Ferrer es dueño de mi sonrisa. El trato ha sido siempre maravilloso y los precios los mejores de Madrid. Me han puesto varios implantes y el resultado es super natural."
- “Excelente trato tanto profesional como humano."
- “Soy Paciente desde hace tres años, el Dr Jorge Ferrer me ha puesto implantes, y fue todo satisfactorio. Son grandes profesionales los Drs Ferrer padre e hijo."
- “Es mi dentista desde 1988, un profesional excelente en el que confío con los ojos cerrados."
- “Buen profesional, es mi dentista desde El año 1999, no puedo estar mas contento con su trato y su profesionalidad. Su hijo también es un excelente dentista, y la atención del resto del personal es de 10."
- “Magnífico equipo, con una atención extraordinaria. Estoy muy feliz con mi tratamiento realizado."
- “Una muy buena experiencia con lo q es el dentista."