El tratamiento de implantes dentales en Terrassa es un procedimiento que sirve para reemplazar las raíces de los dientes naturales con piezas muy similares a un tornillo. A continuación, exploraremos en detalle este tratamiento, los tipos de implantes disponibles, y los factores que influyen en su precio.
¿Qué son los Implantes Dentales?
Un implante es un tornillo de titanio que se fija al maxilar. Posteriormente, se coloca una corona o restauración para reemplazar el diente faltante en funcionalidad y aspecto. El 95% de los implantes dentales están fabricados de titanio porque es un material biocompatible que permite la integración ósea, es decir, la fusión con el hueso.
Aunque no ha habido informes de pacientes que desarrollen una alergia o una reacción al titanio, algunas personas que son sensibles a otros metales son reacias a usar titanio en sus implantes. Alternativamente, hay implantes dentales de zirconio que no son tan flexibles como el titanio porque están hechos de una sola pieza en lugar de dos piezas como el titanio.

Anatomía de un implante dental
¿Qué precio tienen los implantes dentales en Terrassa?
El precio de un tratamiento de implantes dentales depende del número de piezas a sustituir, así como de la situación inicial de la boca del paciente. Para recibir un presupuesto preciso sobre el tratamiento, contacte con Rocamora Dental, nuestro experto en implantología dental le realizará un estudio a fondo de sus necesidades y le dirá el precio.
[😎𝐓𝐎𝐃𝐀 𝐋𝐀 𝐕𝐄𝐑𝐃𝐀𝐃✋] ¿ Cuanto CUESTAN los IMPLANTES DENTALES? PRECIO de los IMPLANTES DENTALES
No dejes que el precio sea un obstáculo para cuidar tu sonrisa. Si buscas un dentista con precio competitivo en Terrassa, en Clínica Dental Can Parellada combinamos calidad, experiencia, promociones y opciones de pago adaptadas a tus necesidades. Aunque nuestras promociones varían durante el año, siempre estamos buscando ofrecer las mejores condiciones para nuestros pacientes. Si estás interesado en saber si contamos con alguna promoción especial actualmente, no dudes en contactarnos.
¿Es doloroso el tratamiento implantológico?
No. Las molestias asociadas al tratamiento de implantes dentales en Terrassa son mínimas. Se aplica anestesia local durante la intervención, para que el paciente no note ningún tipo de dolor.
Tratamientos más comunes en implantología dental
Las principales soluciones de implantes dentales en Terrassa que trabajamos en Rocamora Dental son las siguientes:
Implantes unitarios
Solución perfecta para reponer solo un diente ausente. A diferencia de otras soluciones implantológicas, los implantes dentales unitarios no afectan a los dientes adyacentes, no requieren limpieza específica y no afectan la estética y comodidad del usuario.
Dentadura fija
Una prótesis fija es un tipo de restauración completa que se “atornilla” sobre 6 u 8 implantes dentales. Con este soporte total, mejorará su capacidad de hablar y masticar, dándole una apariencia joven y natural.
Dentadura extraíble
Dentadura completa que está colocada sobre 2, 4 o 6 implantes dentales. Se extrae a través de unos anclajes para su mantenimiento y limpieza. Es una opción sencilla y económica de implantes dentales en Terrassa.
Implantes dentales para personas con poco hueso
Ofrecemos soluciones de implantes dentales para personas que sufren problemas de hueso maxilar/mandibular.
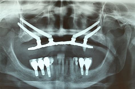
Implantes zigomáticos

Implantes zigomáticos
Los implantes zigomáticos ofrecen solución a pacientes con atrofia ósea (poco hueso en el maxilar), con una rehabilitación rápida, predecible, eficaz y sin necesidad de colocar injertos óseos. Técnica que se recomienda especialmente para aquellos pacientes que los tratamientos con implantes convencionales e injertos óseos les han resultado un fracaso.
Implantes dentales cortos
La principal ventaja del implante corto es evitar el injerto de hueso, una opción eficaz pero más invasiva para el paciente. Los implantes de 6-8mm permiten colocar piezas definitivas de manera sencilla y rápida a pacientes con una pérdida de hueso severa, que hacía inviable la colocación de implantes dentales convencionales.
Injerto óseo
Un injerto óseo es un material de relleno (artificial o del propio paciente) que se coloca en el maxilar cuando éste hueso se pierde por diversas enfermedades y necesita restauración. Es una técnica efectiva pero más invasiva para el paciente.
Tabla resumen de tipos de implantes y sus características:
| Tipo de Implante | Descripción | Ventajas | Consideraciones |
|---|---|---|---|
| Implantes Unitarios | Reemplazan un solo diente. | No afectan dientes adyacentes, fácil limpieza. | Ideal para casos de un solo diente perdido. |
| Dentadura Fija | Prótesis completa atornillada sobre implantes. | Mejora la capacidad de hablar y masticar, apariencia natural. | Requiere 6-8 implantes. |
| Dentadura Extraíble | Prótesis completa sobre 2-6 implantes. | Opción económica, fácil de limpiar. | Necesita ser removida para limpieza. |
| Implantes Zigomáticos | Para pacientes con atrofia ósea. | Evita injertos óseos, rehabilitación rápida. | Recomendado cuando los injertos fallan. |
| Implantes Cortos | Implantes de 6-8mm. | Evita injertos óseos, solución rápida. | Para pacientes con pérdida ósea severa. |
| Injerto Óseo | Material de relleno para el maxilar. | Restaura el hueso perdido. | Técnica invasiva. |