Si estás considerando someterte a un tratamiento dental para transformar tu sonrisa o mejorar tu salud bucal, seguramente estés buscando una clínica dental en Torrevieja en la que puedas confiar plenamente y sentirte seguro. En De la Torre Clínica Dental nos enorgullece contar con un equipo de dentistas altamente capacitados. Nuestros servicios siempre incluyen una consulta gratuita y sin esperas.

¿Qué son los Implantes Dentales?
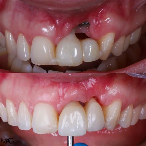
Los implantes dentales son fijaciones hechas de titanio que se pueden colocar en los maxilares inferior y superior para sustituir la raíz de un diente perdido. Un implante dental sustituye a la raíz de un diente que se ha perdido permitiendo instalar posteriormente sobre él una corona que le proporcionará estética y función a la estructura. Se puede decir que consiste en un tornillo de titanio de altísima calidad que se posiciona en el hueso de la mandíbula o maxilar superior.
Esta pieza se compone por tres partes que son las que forman el diente artificial con un aspecto totalmente natural:
- El cuerpo: es la estructura del implante dental en sí mismo, también llamado tornillo, que se inserta en el interior del hueso maxilar.
- La corona: se trata de la parte superior y visible del implante, en forma de un diente natural.
¿Cómo se ponen los implantes dentales paso a paso? | Clínica dental en Alcobendas Avodent
Tipos de Implantes Dentales
Existen varios tipos de implantes dentales, aunque hoy en día los más utilizados son los endo-óseos. La cirugía de implantes dentales endo-óseos de titanio con coronas de zirconio es la alternativa más recomendable para los pacientes con puentes o prótesis removibles. Si continuas leyendo, puedes encontrar información relevante sobre todo el tratamiento de implantes dentales endo-óseos de titanio con corona de zirconio.

Consideraciones Importantes Antes de Optar por un Implante Dental
Hay ciertos factores que se deben considerar antes de realizar un implante dental:
- Edad: Es recomendable esperar al menos hasta los 18 años, cuando el crecimiento de la estructura bucodental y facial se ha completado definitivamente.
- Calidad y cantidad ósea: Cuando existe hueso suficiente y éste es de buena calidad, el procedimiento se puede realizar sin complicaciones, además de reducir los tiempos y conseguir resultados de calidad.
- Enfermedades periodontales: La pérdida de dientes por enfermedades bucodentales puede ser solucionada con la implatología dental.
Hay un aspecto que hay que tener en cuenta. Es posible que sea necesario llevar a cabo un injerto de hueso o una elevación sinusal para poder llevar a cabo la colocación de los implantes. Esto suele producirse cuando el paciente lleva mucho tiempo sin dientes, puesto que el hueso se retrae.
Proceso para la Colocación de un Implante Dental
La colocación de un implante dental es un procedimiento sencillo y muy preciso. La colocación de un implante dental es una intervención relativamente sencilla que se realiza bajo anestesia local.
Pasos del Procedimiento:
- Si estás pensando en someterte a un tratamiento de implantología, el primer paso que deberás realizar para conocer a nuestro especialista y exponerle tu caso, será solicitar una cita de valoración con nosotros.
- En caso de que, tras la consulta, decidas junto al especialista en implantología, seguir adelante con la cirugía de implante dental de titanio con corona de zirconio, el mismo día de la consulta podrás planear la fecha de la intervención. Además, uno de nuestros asesores se pondrá en contacto contigo, para conocer qué tal ha transcurrido todo y confirmar la fecha de la colocación del implante y el seguimiento hasta completar el tratamiento.
- Estudio radiológico 3D: permite hacer una reconstrucción anatómica virtual de la zona maxilar-mandibular con toda la información necesaria para la planificación de la cirugía, incluyendo el espesor y densidad ósea.
- Preparado para la cirugía y ya sentado en el sillón, te cubrirán desde el cuello hasta la cintura con un paño estéril, evitando mancharte durante el procedimiento.
- Tras la incisión, se realizará el fresado o perforación. Este procedimiento se realiza secuencialmente, iniciando el proceso con la fresa más pequeña y aumentando gradualmente el diámetro de la perforación.
- A continuación se realizan las suturas, pueden ser de material reabsorbible, de seda negra o nylon. Finalizada la sutura, se aplica una leve presión con una gasa húmeda para evitar la formación de hematomas.
- Seguidamente se suturará la parte de tejido blando necesario y se colocará el imoplante removible de ser necesario.
- Pasados 3-4 meses, finalizada la cicatrización y completada la osteointegración del implante.
- Como ya te adelantábamos, tras completar la osteointegración del implante, se vuelve a realizar la segunda cirugía, durante la cual se destapa el implante y se le añade el pilar de cicatrización.
Recuperación Post-Implante Dental
La etapa de recuperación tras la primera cirugía de implante dental suele ser llevadera. En general, es normal que sientas leves molestias postoperatorias como malestar o cansancio (provocados por la anestesia), dolor en la zona y dificultades para hablar. Debes saber que las molestias pueden durar varios días mientras el tejido va cicatrizando y el implante se va acomodando en el hueso.
Implantes Dentales en Clínica Dental Caser Torrevieja
El día indicado deberás acudir a la Clínica Dental Caser Torrevieja. Tras identificarte como cliente de Operarme, serás atendido por un odontólogo general, que revisará tu salud bucodental y te realizará una ortopantomografía sin coste añadido, para así ver el estado de tu boca. Si el tratamiento es viable y quieres seguir adelante con el proceso, puedes establecer en ese momento la fecha de colocación de los implantes con el Equipo de Odontología de la Clínica Dental Caser Torrevieja.
Calidad de los Implantes Dentales
Pero ¿todos los implantes dentales son iguales? Hoy en día existen mas de 500 marcas de Implantes dentales y, según la legislación Europea, se considera como un producto cosmético. En nuestra clínica solo hacemos uso de implantes dentales que pasaron numerosas pruebas científicas y de los cuales se han realizado estudios y proyectos de investigación, incluyendo el implante de la categoría “A” marca “Astra Tech” (Suecia).
Clínica Dental Family Bushin (Torrevieja)
En la Clínica Dental family Bushin (Torrevieja) tratamos de controlar todos los detalles que pueden influir durante un tratamiento tan meticuloso y delicado como lo es la colocación de un implante con el fin de conseguir un resultado óptimo.
- Odontología conservadora: Nuestro objetivo es mantener tus dientes naturales para que te acompañen a lo largo de toda tu vida.
- Implantología dental: Recupera tu sonrisa y disfruta de comer sin preocupaciones.
- Ortodoncia: Muestra tu sonrisa más deslumbrante.
- Facilidades de pago: Mantén tu boca en óptimas condiciones y accede al tratamiento que necesitas sin realizar grandes esfuerzos económicos.
- Parking gratis: No te preocupes por el aparcamiento. Nuestra clínica dental en Torrevieja dispone de parking gratuito para nuestros pacientes.
- Trabajamos con tu seguro: Atendemos pacientes con seguro médico. En nuestra clínica dental en Torrevieja trabajamos con una amplia variedad de compañías aseguradoras.
- Primera visita gratis.

Tendrás a tu disposición al especialista en Implantología, que te ayudará a remediar tus problemas provocados por la pérdida de piezas dentales.
tags: #implantes #dentales #torrevieja