A todos nos encantaría tener unos dientes perfectos. Sin embargo, una boca totalmente perfecta es una situación bastante rara de ver, ya que debido a causas genéticas como una arcada pequeña, problemas dentales como el apiñamiento dental o incluso los traumatismos pueden perjudicar la estética y salud de nuestra dentadura. Entre los problemas más frecuentes se encuentran también los dientes torcidos, tema que abordaremos en este artículo.

¿Por qué salen los dientes torcidos?
Los dientes torcidos son una condición en la que una o varias piezas dentales se encuentran rotadas o inclinadas, provocando problemas estéticos y de maloclusión dental. Los dientes torcidos de abajo o de arriba pueden deberse a varios factores. Ya desde niños, los dientes se tuercen porque puede haber algún problema genético -por herencia de los progenitores- o porque la boca sea demasiado pequeña, hecho que puede derivar en apiñamiento dental por falta de espacio.
Vamos a ver por qué se tuercen los dientes en las diversas etapas de la vida:
Dientes torcidos en bebés e infantes
La edad habitual para la erupción de los dientes de leche es entre los 6 y los 12 meses. Los dientes de los bebés o dientes de leche también pueden estar torcidos. Entre las causas más comunes encontramos:
- Dientes torcidos en bebés a causa de factores genéticos. Que nuestro bebé tenga los dientes torcidos no tiene porqué ser un problema. Sin embargo, como los dientes de leche sirven de guía a los definitivos, a veces sí que puede existir una correlación en la que si los dientes de leche salen torcidos también lo acaben estando los definitivos.
- Dientes torcidos por el chupete. Los dientes torcidos también pueden ser causa del uso del chupete. Según la Sociedad Española de Odontopediatría, si el hábito de succionar el chupete se deja antes de los 3 años, las posibles deformidades que se hayan podido ocasionar en la boca se solucionarán por sí solas. Sin embargo, si el hábito continúa después de los 4 años de edad, sí que se pueden crear deformidades que requerirán de la intervención del odontopediatra.
- Dientes torcidos por chuparse el dedo. Chuparse el dedo es un hábito bastante extendido entre los niños pequeños. Estos suelen hacerlo por diversos motivos: cuando se sienten cansados, por aburrimiento, para relajarse cuando se van a dormir o hasta cuando tienen hambre. El acto de chuparse el dedo les proporciona calma, seguridad y felicidad. Sin embargo, según la American Dental Association, si los niños siguen chupándose los dedos después de los 4 años, los padres deben animarlos a dejar de hacerlo. Si esto persiste, habrá que acudir a un pediatra o dentista pediátrico para que evalúe la situación e indique qué hacer para evitar que el niño continúe con esta práctica ya que, si el niño siguiera chupándose el dedo a partir de esta edad, podrían darse problemas de maloclusión.
Dientes torcidos en niños
Los dientes torcidos en niños es una condición bastante habitual. Es a partir de los 5 o 6 años cuando los dientes de leche empiezan a dar paso a los definitivos, que empiezan a erupcionar. Hay distintos motivos por los que los dientes definitivos salen torcidos, entre otros:
- Dientes incluidos. Un diente incluido es aquel que no erupciona y se queda dentro del maxilar. Los caninos son las piezas dentales que con más frecuencia se quedan sin erupcionar, ya que erupcionan más tarde que los incisivos, con lo que si hay falta de espacio en la arcada superior pueden quedar total o parcialmente incluidos. La pieza incluida suele impactar con las piezas que se encuentran a su lado, lo que puede derivar en la rotación o inclinación de la pieza impactada.
- Dientes torcidos por tener una boca pequeña. Debido a la evolución humana y al hecho de que no necesitamos arcadas tan grandes como nuestros antepasados, es cada vez es más frecuente ver pacientes que acuden a consulta por falta de espacio en las arcadas. Esto ocurre con más frecuencia cuando nacen los dientes definitivos, ya que tiene un mayor tamaño que los dientes de leche. Las arcadas pequeñas hacen que no quepan todas las piezas en ellas, derivando en el apiñamiento dental.
Dientes torcidos en adultos
En adultos, si no se ha tenido alguno de los problemas mencionados anteriormente, también se pueden tener los dientes de abajo o de arriba torcidos por los siguientes motivos:
- Dientes torcidos por la erupción de las muelas del juicio. Muchas veces, la erupción de las muelas del juicio puede crear una falta de espacio en las arcadas. Cuando estas erupcionan y la arcada es demasiado pequeña como para que quepan estas piezas dentales, se da lo que se conoce como apiñamiento dental, causando dientes torcidos o muy torcidos debido a la falta de espacio.
- Periodontitis. La periodontitis es otro de los factores de riesgo para padecer de dientes torcidos. Debido a que en esta condición va disminuyendo la fijación, es más fácil que los dientes se muevan, por lo que las piezas pueden sufrir alteraciones en su posición, pudiendo llegar a la pérdida de alguna de estas.
- Traumatismos. Los golpes o traumatismos también pueden alterar la posición de las piezas dentales y llegar a causar dientes muy torcidos.
¿Será que puedo arreglar mis dientes torcidos SIN ORTODONCIA?
¿Cómo corregir los dientes torcidos?
No existe un único método para arreglar los dientes torcidos. Según la edad del paciente y el grado de complejidad del problema, existen varias soluciones para los dientes torcidos. A continuación los explicamos:
Ortodoncia interceptiva
La ortodoncia interceptiva es aquella que se realiza en niños para prevenir maloclusiones dentarias antes de que estas se den. Debido a que en esta etapa de la vida la mandíbula aún está en desarrollo, con la ortodoncia interceptiva se pueden prevenir malformaciones dentales o mandibulares.
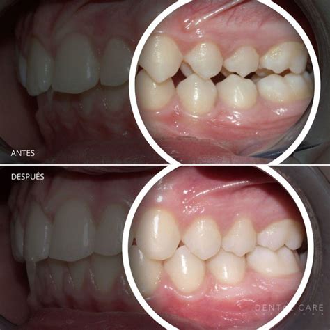
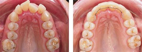
Alineadores o brackets en dientes torcidos
En jóvenes y adultos, el uso de los brackets o del aparato dental invisible es la solución definitiva para corregir los dientes torcidos. Aunque se puede iniciar un tratamiento de ortodoncia a cualquier edad, es recomendable empezar lo antes posible para evitar o arreglar los dientes torcidos. Entre los sistemas de ortodoncia más conocidos en el mercado encontramos la ortodoncia invisible, como los brackets de cerámica, de zafiro, linguales o los alineadores invisibles. También encontramos los brackets tradicionales de metal o los brackets autoligables. Todos estos aparatos dentales son útiles para el objetivo que se busca: enderezar los dientes y arreglar los problemas de maloclusión.
Tal y como mencionamos, dentro de la ortodoncia invisible encontramos los tratamientos con alineadores, como los tratamientos Impress. El uso de alineadores es un método igual de efectivo que la ortodoncia tradicional para tratar los dientes torcidos. Mediante unas fundas transparentes, los pacientes pueden alinear sus dientes de manera casi imperceptible, obteniendo resultados igual de satisfactorios que con los métodos tradicionales.

¿Es posible arreglar los dientes torcidos sin aparato?
Existen otros métodos con los que se pueden disimular los dientes torcidos, siendo las carillas dentales el método más común. Aunque no se pueden corregir los dientes torcidos sin ortodoncia, sí que se pueden disimular gracias al uso de las carillas. Las carillas solo suelen recomendarse cuando hay pequeños problemas como un diente ligeramente torcido. Aunque se trata de un método rápido e indoloro, hay que remarcar que los problemas más graves que comportan maloclusión o malposiciones dentarias severas, aparte de otros problemas dentales, deben ser solucionados mediante un tratamiento de ortodoncia. El ortodoncista será el encargado final de decidir cuál es la solución más adecuada en tu caso.
¿Cómo evitar que los dientes salgan torcidos?
Para evitar que los dientes salgan torcidos, los niños a partir de los 5-6 años deben acudir a revisiones periódicas en el dentista. En algunos casos el especialista recomendará utilizar mantenedores de espacio dental removibles o fijos para evitar el apiñamiento y que los dientes salgan torcidos. La ortodoncia interceptiva también es eficaz para la prevención de los dientes torcidos. Además, otra forma de evitar que los dientes salgan torcidos es estar atentos a algunos hábitos de los más pequeños, como el uso prolongado de chupete y la costumbre de chuparse el dedo.
Dientes torcidos: consecuencias
Las consecuencias de tener los dientes torcidos no son solo estéticas, sino que puede acarrear problemas para la salud bucodental:
- Caries, sarro y periodontitis. El apiñamiento y los dientes torcidos dificultan el acceso del cepillo a las zonas donde se da este problema, creando acúmulo de sarro, la aparición de caries y pudiendo llegar a causar periodontitis.
- Desgaste dental. Cuando hay dientes torcidos o inclinados puede darse un exceso de fricción dental en ciertas zonas que puede derivar en el desgaste de dichas piezas.
- Maloclusión. Otra de las consecuencias frecuentes de este tipo de problemas es la maloclusión dental.
- Recesión gingival. Debido al movimiento dentario, los dientes torcidos pueden ir migrando del hueso, causando la recesión gingival.
Entre los problemas que tratamos en Impress encontrarás el apiñamiento dental, la maloclusión, los diastemas y los dientes torcidos. La ortodoncia de Impress es higiénica, discreta y cómoda, ya que es removible y transparente.
Para conocer en detalle nuestros tratamientos, te invitamos a una primera consulta gratuita en una de nuestras clínicas. Durante la misma realizaremos un escáner 3D completo de tu cavidad oral y radiografías para asegurarnos de que todo está listo para iniciar el tratamiento de ortodoncia.
Dientes inclinados hacia dentro
Los dientes inclinados hacia dentro son una preocupación común para muchas personas, ya que afecta tanto la estética como a la salud bucodental. Uno de los factores que pueden llevar a que los dientes tengan una angulación hacia dentro es el desarrollo anormal de los dientes durante la infancia y la adolescencia. Este proceso puede deberse a la genética, donde la herencia de ciertos rasgos dentales puede predisponer a la maloclusión. La pérdida temprana de dientes de leche sin una adecuada secuencia de erupción de los dientes permanentes puede contribuir al desalineamiento dental. La succión del pulgar, el uso prolongado del chupete o incluso el hábito de respirar por la boca pueden influir en el desarrollo de dientes inclinados hacia dentro.
Tener los dientes inclinados hacia dentro es un signo de maloclusión, lo que nos indica que es un caso en el que se necesita ortodoncia para poder corregirlo. El tratamiento ortodóncico convencional con brackets metálicos o cerámicos es una opción efectiva para corregir dientes inclinados hacia dentro. La ortodoncia invisible, como el uso de alineadores transparentes, se ha vuelto cada vez más popular. Estos dispositivos personalizados ofrecen una alternativa discreta y cómoda para alinear la sonrisa. Después de completar un tratamiento de ortodoncia, es fundamental el uso de retenedores para mantener los resultados a largo plazo.
Corregir la angulación y posición de los dientes es fundamental para equilibrar la funcionalidad de la dentadura. Tener una maloclusión dental durante años nos lleva a morder irregularmente, causando daños en las piezas dentales.
Diastemas: Causas y Tratamientos
El espacio o hueco que separa dos dientes adyacentes se llama diastema. Es decir, un diastema es cuando queda una separación entre los dientes. Habitualmente, el diastema se aprecia en los incisivos superiores centrales, a los dientes comúnmente conocidos como “paletas”.
Causas de los diastemas
- Genética. Los diastemas pueden heredarse, de hecho, es muy habitual que la persona con diastema dental tenga algún familiar directo, padre, madre o hermanos, con esta misma característica dental.
- Falta de una pieza dental. Cuando un paciente ha perdido un diente, ya sea por un golpe u otro motivo, las piezas que están al lado de donde estaba dicha pieza, tienden a moverse.
- Microdoncia (dientes más pequeños de lo habitual). Las anomalías en el tamaño de las piezas dentales pueden ser generalizadas o localizadas. Las primeras, aparecen como diastemas múltiples repartidos en toda la boca.
- Desproporción entre los dientes y el hueso maxilar. Cuando el maxilar ha crecido demasiado, los dientes no ocupan su totalidad.
- Malposición de los dientes. Si un diente no está colocado correctamente o está girado, es posible que se formen huecos entre las piezas.
- Un frenillo labial demasiado grueso y con una inserción baja. Se convierte en un obstáculo para que el hueco se cierre cuando atraviesa la mediana dentaria. A este tipo de espacio se le llama diastema interincisal.
- Mesiodens. Un micro diente supernumerario con forma cónica que suele aparecer entre los incisivos centrales, creando un diastema. Es decir, es un diente que se forma de manera extra.
- Agenesia dental. Es la ausencia de un diente, normalmente un incisivo o un premolar porque nunca ha llegado a desarrollarse ni nacer. Algo que inevitablemente origina un espacio mayor entre las piezas contiguas a esa pieza que falta.
- Succión digital. Un diastema interincisivo puede aparecer en niños por el hábito de “chuparse el dedo”, ya que está succión causa la inclinación de los incisivos superiores.
- Macroglosia (o hiperactividad lingual). El diastema se puede producir por empujar la lengua contra los dientes. El exceso de presión y/o tamaño lingual provoca un desequilibrio entre la musculatura lingual y perioral.
Para establecer un tratamiento concreto, en drs. Pedrol Mairal, el odontólogo evalúa el caso para personalizarlo y buscaremos la mejor solución para cada paciente.
Tratamientos para corregir un diastema
- Ortodoncia. Se usa para diastemas provocados por causas genéticas, se puede hacer con ortodoncia metálica (brackets) o con ortodoncia invisible. Aunque también en alguna ocasión para diastemas provocados por un frenillo anormalmente bajo o una mesiodens. Con la ortodoncia los dientes se van desplazando hasta cerrar los huecos interdentales.
- Carillas dentales de porcelana o composite. En los casos que no sea necesario realizar un tratamiento de ortodoncia, las carillas dentales pueden colocarse sobre los dientes y ocultan completamente los espacios interdentales que pueden resultar poco estéticos.
- Implantes, coronas y/o puentes dentales. Si tienes un diastema debes saber que en los últimos años se ha convertido en moda dental, sobre todo en personajes famosos, que solicitan la creación de diastemas a propósito.
La recomendación general es corregir este hueco entre los dientes para evitar posibles problemas, como la acumulación de placa dental que puede derivar en la aparición de caries, sobremordida horizontal con resalte, protrusión que puede provocar fracturas dentales.
Dientes de arriba hacia afuera: causas y soluciones
Cuando hablamos de dientes de arriba hacia afuera nos referimos a que los dientes superiores presentan una inclinación hacia delante, proyectándose más allá de la línea natural de la boca.
El tratamiento para corregirlos varía en función de la edad del paciente y la gravedad del caso. Si notas que tus dientes superiores están hacia afuera y esto afecta a tu sonrisa o comodidad, no esperes a que la situación empeore. En conclusión, los dientes de arriba hacia afuera son un problema común que puede corregirse con éxito gracias a la ortodoncia.
Tabla Resumen de Causas y Tratamientos
| Condición | Causas | Tratamientos |
|---|---|---|
| Dientes Torcidos en Bebés | Genética, chupete, chuparse el dedo | Dejar hábitos (chupete/dedo) antes de los 3-4 años, intervención odontopediátrica |
| Dientes Torcidos en Niños | Dientes incluidos, boca pequeña | Ortodoncia interceptiva, mantenedores de espacio |
| Dientes Torcidos en Adultos | Muelas del juicio, periodontitis, traumatismos | Ortodoncia (brackets, alineadores), tratamiento periodontal, carillas |
| Diastemas | Genética, falta de piezas, microdoncia, frenillo labial | Ortodoncia, carillas, implantes/puentes, frenectomía |
| Dientes de Arriba Hacia Afuera | Crecimiento dental, hábitos orales | Ortodoncia |
tags: #inclinacion #de #los #dientes