En el mundo de la odontología, las infecciones dentales crónicas son un desafío significativo que puede afectar tanto la salud bucal como la general. Estas infecciones, a menudo subestimadas, requieren soluciones avanzadas y personalizadas para su correcto abordaje.
Una infección dental crónica es una infección persistente en la estructura dental o en los tejidos circundantes que no se resuelve con tratamientos estándar o que reaparece después de un tratamiento inicial. A menudo, estas infecciones comienzan como problemas menores, como caries no tratadas o enfermedades periodontales, que progresan y se convierten en infecciones más graves y difíciles de tratar.
En Clínica Dental Marcet Moret en Barcelona, nos dedicamos a ofrecer soluciones avanzadas y personalizadas para una variedad de problemas dentales. Uno de los problemas más serios y comunes que tratamos son las infecciones dentales crónicas.
¿Cómo tratar las infecciones dentales?
Tipos Comunes de Infecciones Dentales
Existen diversas formas de infecciones dentales crónicas, entre las cuales destacan:
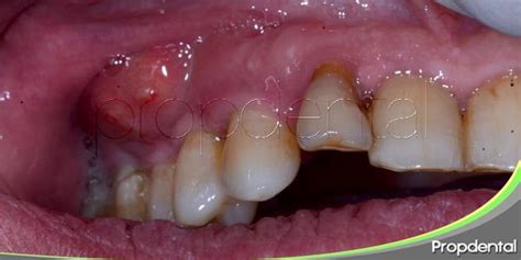
* Absceso dental: Una acumulación de pus que se forma debido a una infección bacteriana. Los abscesos pueden ocurrir en diferentes partes del diente o de la encía y, si no se tratan, pueden causar dolor severo y otros problemas de salud. Este dolor de muelas es conocido vulgarmente como un flemón.* Periodontitis avanzada: Afecta las encías y el hueso que sostiene los dientes. En las Periodontitis ya no sólo tenemos una infección de la encía sino que la destrucción ya ha afectado al resto de los tejidos de soporte del diente.* Gingivitis: Consiste en la inflamación de las encías causada por una infección o la acumulación de placa bacteriana o de sarro. Un mal cepillado de los dientes, una pésima higiene dental o el tabaquismo pueden ser las causantes.* Pericoronitis: Es una infección que ocurre cuando las encías se inflaman y se infectan en el área alrededor de la corona de un diente. Pericoronitis (muelas del juicio).* Infecciones postrauma y endodónticas: Un golpe o lesión puede provocar que las bacterias dañinas entren al interior del diente o a los tejidos circundantes, generando una infección.Además, las infecciones dentales se originan cuando las bacterias acceden libremente al nervio y se expanden a los tejidos que envuelven el diente.

Causas de las Infecciones Dentales Crónicas
Las infecciones dentales crónicas pueden ser el resultado de varios factores, incluyendo:
* Caries no tratadas: Las caries no tratadas pueden progresar y llegar a la pulpa del diente, causando una infección que se propaga a los tejidos circundantes. La falta de tratamiento adecuado de las caries dentales es una de las principales causas de las infecciones dentales crónicas.* Enfermedad periodontal: Especialmente en sus etapas avanzadas, puede llevar a infecciones crónicas que afectan las encías, el hueso y los ligamentos que sostienen los dientes.* Bruxismo: El rechinamiento de dientes puede causar desgaste en los dientes y facilitar la entrada de bacterias, lo que puede llevar a infecciones.* Enfermedades crónicas: Las personas con enfermedades crónicas como la diabetes son más propensas a desarrollar infecciones dentales debido a su sistema inmunológico comprometido.* Malos hábitos: Hábitos de vida como fumar o consumir alcohol en exceso pueden debilitar el sistema inmunológico y aumentar el riesgo de infecciones dentales.* Higiene bucal deficiente: La higiene bucal deficiente, una dieta alta en alimentos azucarados y carbohidratos refinados son condiciones que pueden llevar a un paciente a tener una infección bucal.* Absceso periapical:* Absceso gingival:* Gingivitis y periodontitis avanzadas:* Inflamación de la raíz del diente: La causa más común de inflamación dental es la caries: si la caries no se trata a tiempo, las bacterias atraviesan el esmalte y la dentina hasta el interior del diente, donde atacan la pulpa.Síntomas de las Infecciones Dentales Crónicas
Reconocer los síntomas de una infección dental crónica es crucial para buscar tratamiento a tiempo. Los síntomas más comunes incluyen:
* Dolor persistente: Es uno de los síntomas más comunes de las infecciones dentales crónicas. Este dolor puede ser constante o intermitente y puede empeorar al masticar, al tocar el diente afectado o al exponerse a temperaturas extremas. La inflamación de la raíz del diente es ante todo una cosa: extremadamente dolorosa. Esto se debe a que el interior del diente, sensible al dolor, se inflama.* Hinchazón: La hinchazón de las encías, la cara o el cuello es otro síntoma frecuente, indicando que la infección se ha extendido a los tejidos circundantes.* Fiebre: Puede acompañar a una infección dental crónica, señalando que el cuerpo está luchando contra una infección grave.* Drenaje de pus: Alrededor del diente o de las encías, lo que indica la presencia de un absceso dental. Este pus puede causar un sabor desagradable en la boca y, si no se trata, la infección puede propagarse a otras partes del cuerpo, causando complicaciones graves.* Movilidad dental: Donde los dientes afectados comienzan a aflojarse, es un síntoma alarmante de una infección avanzada.* Mal aliento: Es otro síntoma común de las infecciones dentales.* Sangrado de las encías: El primer síntoma que nos alerta de la presencia de gingivitis es el sangrado de las encías al cepillarnos los dientes.
Diagnóstico de las Infecciones Dentales Crónicas
El diagnóstico preciso es fundamental para un tratamiento efectivo. El proceso diagnóstico generalmente incluye:
* Evaluación clínica: Una evaluación clínica detallada por parte del dentista. Durante el examen, el dentista realizará una inspección visual para detectar signos de infección, como caries, hinchazón, enrojecimiento y presencia de pus.* Pruebas de sensibilidad: Al frío y al calor pueden ayudar a determinar la salud de la pulpa dental y si hay una infección presente.* Radiografías: Son esenciales para evaluar el estado de los dientes y el hueso circundante. Pueden revelar abscesos, pérdida ósea y otros signos de infección crónica que no son visibles a simple vista. Hacer uso de las radiografías dentales facilita conseguir un pronto diagnóstico de la infección. En este caso, practicar una radiografía periapical, sería lo más adecuado.* Tomografía computarizada de haz cónico (CBCT): En casos más complejos, el dentista puede recomendar una tomografía computarizada de haz cónico (CBCT) para obtener imágenes tridimensionales detalladas de la estructura dental y los tejidos circundantes.* Prueba de sensibilidad pulpar: Permite evaluar la sensibilidad nerviosa de la pulpa del diente y la respuesta de esta a diferentes estímulos, para saber si aún la pulpa está viva.Tratamientos para las Infecciones Dentales Crónicas
El tratamiento de las infecciones dentales crónicas varía según la gravedad y la ubicación de la infección. Las opciones de tratamiento incluyen:
* Antibióticos: En casos leves, los tratamientos no quirúrgicos como los antibióticos pueden ser efectivos para controlar la infección bacteriana y reducir la inflamación. Si la infección es bacteriana, el dentista puede recetar antibióticos para ayudar a eliminar las bacterias.* Tratamiento de conductos (endodoncia): Para infecciones más graves, el tratamiento de conductos es una opción común. Este procedimiento implica la eliminación de la pulpa infectada, la limpieza y desinfección del conducto radicular y el sellado del diente. Si la infección ha llegado a la raíz del diente, puede ser necesario realizar un tratamiento de conductos (endodoncia) para limpiar la infección y sellar el diente.* Cirugía periodontal: Puede ser necesaria para limpiar profundamente las bolsas periodontales y reparar el daño causado por la infección.* Injertos de encía: En algunos casos, puede ser necesario un injerto de encía para cubrir las raíces expuestas y proteger los dientes de la caries y la sensibilidad.* Drenaje de abscesos: Si tienes un absceso dental, el dentista puede drenarlo para eliminar el pus y aliviar el dolor.* Terapia láser: Permite una eliminación precisa y menos invasiva del tejido infectado, reduciendo el dolor y el tiempo de recuperación.* Biomateriales avanzados: El uso de biomateriales avanzados en injertos óseos y de encía ha mejorado significativamente los resultados de las terapias regenerativas.* Extracción del diente: En casos menos favorables sera necesaria la extraccion del diente que causa la infeccion.* Raspado y alisado radicular (curetaje): Una segunda, en la que bajo anestesia local se eliminarán las bacterias patógenas adheridas a las raíces de los dientes con ayuda de unos instrumentos denominados curetas. Es lo que se conoce como raspado y alisado radicular, también llamado curetaje o raspaje.En términos generales, tratar una infección dental se puede hacer mediante la extracción del diente infectado, drenando las secciones afectadas o siguiendo un tratamiento lo mínimamente invasivo para el resto de la dentadura. Cualquiera de estos tres métodos es efectivo a la hora de tratar esta infección dental.
| Tratamiento | Descripción |
|---|---|
| Antibióticos | Controlan la infección bacteriana y reducen la inflamación. |
| Tratamiento de conductos | Elimina la pulpa infectada y sella el diente. |
| Cirugía periodontal | Limpia las bolsas periodontales y repara el daño. |
| Injertos de encía | Cubre las raíces expuestas y protege los dientes. |
| Terapia láser | Elimina el tejido infectado de forma precisa y menos invasiva. |
Prevención de Infecciones Dentales Crónicas
La prevención es clave para evitar las infecciones dentales crónicas. Las medidas preventivas incluyen:
* Buena higiene bucal: Cepillarse los dientes al menos dos veces al día con una pasta dental con flúor es esencial para eliminar la placa y prevenir las caries y las enfermedades periodontales. La higiene bucal diaria (cepillado, hilo, irrigador).* Uso de hilo dental: El uso diario de hilo dental ayuda a eliminar la placa y los restos de alimentos de entre los dientes y debajo de la línea de las encías, evitando la acumulación de bacterias que pueden causar infecciones.* Dieta equilibrada: Mantener una dieta equilibrada rica en vitaminas y minerales, especialmente calcio y vitamina C, es fundamental para mantener los dientes y las encías saludables. Limitar el consumo de azúcares y alimentos ácidos puede reducir el riesgo de caries y enfermedades de las encías.* Evitar hábitos perjudiciales: Evitar hábitos perjudiciales como fumar y consumir alcohol en exceso también es crucial para mantener una buena salud bucal.* Revisiones dentales regulares: Son esenciales para prevenir las infecciones dentales crónicas. Realizar limpiezas dentales profesionales al menos dos veces al año permite eliminar la placa y el sarro que no se pueden eliminar con el cepillado y el uso de hilo dental en casa. Los exámenes dentales regulares permiten al dentista detectar y tratar problemas en sus primeras etapas, antes de que progresen a infecciones crónicas.* Acudir con regularidad al dentista: Como mínimo un par de veces al año.
Complicaciones de las Infecciones Dentales Crónicas
Las infecciones dentales crónicas no solo afectan la salud bucal, sino que también pueden tener repercusiones graves en la salud general. Las investigaciones han demostrado una conexión entre las infecciones dentales crónicas y diversas condiciones de salud sistémica.
Por ejemplo, las bacterias de la boca pueden ingresar al torrente sanguíneo y contribuir a problemas cardiovasculares, como la endocarditis, una infección del revestimiento interno del corazón. Las bacterias de las infecciones dentales también pueden ser inhaladas hacia los pulmones, causando infecciones respiratorias como la neumonía.
Además, las mujeres embarazadas con infecciones dentales crónicas tienen un mayor riesgo de parto prematuro y bajo peso al nacer. Las bacterias de la boca, al ingresar al torrente sanguíneo, pueden adherirse a las válvulas del corazón, llevando la infección hasta el revestimiento interno del corazón, provocando lo que se conoce como endocarditis infecciosa.
Es crucial reconocer y tratar las infecciones dentales a tiempo para prevenir estas complicaciones y mantener una buena salud general.