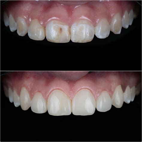
En el ámbito de la odontología moderna, la búsqueda de soluciones mínimamente invasivas y estéticamente agradables es una prioridad. En Dental Adriana, clínica dental en Barcelona, entendemos la importancia de una sonrisa saludable y estética. Gracias a los avances en odontología, hoy contamos con una solución innovadora y mínimamente invasiva para tratar estas manchas sin necesidad de recurrir a la perforación o el desgaste del esmalte: el tratamiento ICON.
La caries de esmalte se caracteriza por una desmineralización de la porción de tejido denominada «cuerpo de la lesión» subyacente a una zona superficial pseudointacta. En su interior se produce un aumento de la porosidad, que es lo que confiere el aspecto blanquecino típico a estas lesiones, conocidas también como lesiones en «mancha blanca».
Las lesiones de mancha blanca (LMBs) se definen como la presencia de una opacidad blanquecina en la superficie del esmalte dental, sin cavitación, secundaria a una hipomineralización o hipomaduración del esmalte. La presencia de estas lesiones, especialmente en dientes anteriores, puede provocar alteraciones estéticas significativas e incluso podría afectar la autoestima del paciente.
Tratamiento de la fluorosis mediante infiltración ICON
¿Qué es la Infiltración de Resina (ICON)?
El tratamiento ICON (Infiltración de Resina) es una técnica revolucionaria que permite tratar la hipoplasia y las manchas blancas sin recurrir a la perforación del esmalte. El concepto de infiltración de lesiones de caries en lesiones tempranas no es nuevo. El primer intento de infiltrar esmalte poroso desmineralizado fue en 1970 y usó una fórmula basada en resorcinol formaldehído pero, por ser tóxica, se reemplazó por adhesivos comercialmente viables (6).
La idea de la infiltración con resina no es crear una superficie de sellado en la lesión sino penetrar el tejido poroso dando soporte mecánico y aumentando la resistencia al ataque ácido. Buscando mejorar el coeficiente de penetración, buscar una dureza adecuada y una efectiva y rápida infiltración, dos investigadores de Charite Medical University in Berlín (París y Meyer-Lueckel) desarrollaron un producto infiltrante (ICON, by DMG dental company) (6).
El sistema está indicado para lesiones de caries proximales con una extensión máxima de D1 o R3 según criterio de detección radiográfico (radiolucidez hasta el tercio externo de la dentina) y lesiones de mancha blanca en superficies libres vestibulares.
La infiltración de caries es considerada un tratamiento no invasivo. Su principio está basado en la penetración de una resina viscosa por el tejido poroso mediante capilaridad para sellar las vías de difusión de los ácidos causados por las caries.
Para mejorar la infiltración de la resina hacia el cuerpo de la lesión, un ácido potente se usa para crear una superficie seudointacta. La eficacia de la infiltración de caries ha sido comprobada en muchos estudios de laboratorio, in situ y clínicos (7).

¿Qué son las resinas infiltrantes?
El concepto de infiltración de lesiones de caries en lesiones tempranas no es nuevo. El primer intento de infiltrar esmalte poroso desmineralizado fue en 1970 y usó una fórmula basada en resorcinol formaldehído pero, por ser tóxica, se reemplazó por adhesivos comercialmente viables (6). La idea de la infiltración con resina no es crear una superficie de sellado en la lesión sino penetrar el tejido poroso dando soporte mecánico y aumentando la resistencia al ataque ácido.
Buscando mejorar el coeficiente de penetración, buscar una dureza adecuada y una efectiva y rápida infiltración, dos investigadores de Charite Medical University in Berlín (París y Meyer-Lueckel) desarrollaron un producto infiltrante (ICON, by DMG dental company) (6). El sistema está indicado para lesiones de caries proximales con una extensión máxima de D1 o R3 según criterio de detección radiográfico (radiolucidez hasta el tercio externo de la dentina) y lesiones de mancha blanca en superficies libres vestibulares.
Causas de las Manchas Blancas en los Dientes
Las manchas blancas en los dientes son un problema estético común que afecta tanto a adultos como a niños. Las manchas blancas son áreas del esmalte dental que se ven más opacas o descoloridas en comparación con el resto del diente. Existen varias causas que pueden provocar manchas blancas en los dientes.
- Manchas por fluorosis: Son manchas blancas opacas y suelen ser simétricas en los dientes frontales.
- Las manchas blancas también son frecuentes en niños debido a su exposición al flúor y al desarrollo dental.
Las manchas blancas en los dientes no suelen causar dolor ni problemas de salud graves, pero sí pueden ser motivo de preocupación estética. Existen diferentes tipos de manchas blancas, cada una con causas específicas y posibles tratamientos.
Ventajas del Tratamiento ICON
El sistema ICON tiene múltiples ventajas en comparación con otros tratamientos tradicionales, como el blanqueamiento dental o las carillas:
- A diferencia de otros tratamientos estéticos, ICON no requiere perforar ni desgastar el esmalte dental.
- Muchas personas evitan los tratamientos dentales por miedo al dolor o a la anestesia.
- Tras la aplicación de ICON, la mejoría en la apariencia de los dientes es instantánea. El esmalte recupera su color uniforme sin necesidad de múltiples sesiones.
- Las manchas blancas pueden ser un signo de desmineralización, lo que significa que el esmalte está debilitado y más propenso a la formación de caries.
- Muchos pacientes que han llevado brackets desarrollan manchas blancas después del tratamiento ortodóncico.
Usos de las resinas infiltrantes
Las resinas infiltrantes se utilizan principalmente en el tratamiento de lesiones incipientes de caries, de tipo lesión blanca no cavitada, aunque recientemente su uso se ha extendido para enmascarar algunas alteraciones del desarrollo, fluorosis y lesiones de hipomineralización por trauma, estas lesiones también presentan una superficie con contenido mineral reducido similar a una lesión inicial de caries (6).
Un aspecto positivo de la técnica de infiltración es que cambia las propiedades ópticas del esmalte desmineralizado. El índice de refracción de la resina de baja viscosidad es más cercano al de la hidroxiapatita que al del agua o aire; así, cuando las porosidades son infiltradas con resina, hay un efecto enmascarador y hace que la apariencia sea más cercana a la del esmalte sano. Esto es altamente deseable en zonas estéticamente comprometidas, pues incluso una lesión blanca no cavitada es visible clínicamente después de su remineralización (8).
La opacidad del esmalte es dependiente de índice de refracción de éste. El esmalte tiene un índice de refracción de 1,62. Las alteraciones en el índice de refracción se deben a la rugosidad de la superficie del esmalte y a la reflexión interna (9).
Cuando existe una lesión subsuperficial existen poros llenos de agua (I.R 1,33) y aire (I.R 1,00). La diferencia del índice de refracción entre el agua y el esmalte afecta dispersión de la luz y hace que la lesión se vea opaca.
En general, el potencial de enmascaramiento de la infiltración de resina es dependiente de la histología y la severidad de la lesión (especialmente en alteraciones del desarrollo leve a moderada; en los casos más severos, el enmascaramiento de color no es bueno) (9).
Adicionalmente, la técnica de infiltración de resina puede combinarse con la técnica restaurativa convencional usando resinas de composite (10).
Procedimiento Clínico de Infiltración de Resina
A continuación, se describe este nuevo método de tratamiento microinvasivo de las lesiones de caries de esmalte vestibular. Esta técnica podría suponer una alternativa a la microabrasión del esmalte o al tratamiento restaurador de dientes relevantes para la estética.
- Se recomienda aplicar un dique de goma para crear un campo de trabajo limpio y seco y para proteger la encía de los materiales utilizados. Se puede utilizar un dique de goma convencional (fig. 1b) o una barrera de resina fluida fotopolimerizable (fig. 2b).
- Después de lavar los dientes con pasta profiláctica se erosiona la superficie dentaria vestibular durante 120 s con gel de ácido clorhídrico al 15% (producto del kit Icon, DMG, Hamburgo)16 (figs. 1c y 2c). Durante esta operación conviene proteger los dientes adyacentes con matrices de plástico, por ejemplo. Para evitar la creación de un patrón de grabado irregular por la formación de burbujas de gas se recomienda remover de vez en cuando el gel mientras actúa.
- A continuación se eliminan todos los restos de gel de grabado con el spray de agua (30 s). Con el grabado se eliminan la capa superficial, muy mineralizada y pseudointacta que impediría la penetración de la resina, y las tinciones superficiales13,16.
- Para eliminar el agua residual del interior de los microporos del cuerpo de la lesión se aplica etanol en la lesión y a continuación se seca profusamente por soplado con aire comprimido (30 s). Hay que repetir este paso al menos una vez con el fin de eliminar la mayor cantidad de agua posible de la lesión. Después del secado se acentúa la coloración blanquecina de las lesiones de esmalte (figs. 1d y 2d).
- Acto seguido se aplica el infiltrante (kit Icon) en la superficie de la lesión y se espera cinco minutos a que se complete la penetración (figs. 1e y 2e).
- Puesto que en la técnica de infiltración la barrera de difusión se crea en el interior de la lesión y no en su superficie, se elimina el exceso de resina con un rollito de algodón de la superficie dentaria antes de la polimerización (fig. 2f). En los espacios interproximales se puede utilizar seda dental.
- Después de la polimerización (figs. 1f y 2g) se recomienda repetir la aplicación del infiltrante para cerrar posibles poros residuales17.
- Por último, la superficie rugosa del esmalte se alisa con discos de pulido y puntas de silicona para evitar tinciones posteriores de la capa superficial de resina no polimerizada por la acción inhibitoria del oxígeno.
De este modo en un corto espacio de tiempo se puede lograr una mejora notable de la apariencia estética (figs. 1g y 2h), que en el presente caso se seguía manteniendo estable en el momento de la cita de revisión a los diez meses (fig. 1h).
Evidencia Científica sobre la Infiltración de Resina
Existe variada evidencia científica en relación a resinas infiltrantes. En relación a su uso para detención de lesiones blancas no cavitadas en zona interproximal, en dentición primaria, un estudio realizado en niños pequeños con moderado y alto riesgo de caries nos muestra que el 23% de las lesiones infiltradas en molares primarios mostró progresión, mientras que el 62% de las lesiones de control, sin uso de terapia infiltrante, progresaron. Esta progresión se vio radiográficamente en el plazo de 1 año. En todos los niños se aplicó barniz de flúor al inicio del estudio y después de 6 meses (Ekstrand et al., 2010) (13).
Existe un estudio donde se compara la eficiencia de resina infiltrante más el uso de barniz de flúor para la detención de caries en dentición primaria con el uso sólo de barniz de flúor para el mismo fin. En conclusión, a juzgar clínica y radiográficamente, la infiltración de resina en combinación con barniz de flúor para el tratamiento de las lesiones proximales de molares temporales fue superior al tratamiento de barniz de flúor en la reducción de la progresión de caries durante el plazo de 1 año de seguimiento (12).
Diversos estudios en dentición permanente nos hablan de seguimiento de hasta 3 años. Las tasas de progresión alcanzan el 32% en el grupo de estudio y 70% en grupo control (Martignon et al., 2012). Otros hablan de evaluación después de 18 meses y de una tasa de progresión de lesiones de caries de 7% (grupo estudio) y el 37% (de grupo control) (Paris et al., 2010). En ambos estudios, los pacientes fueron instruidos para usar hilo dental al menos dos veces a la semana y usar regularmente pasta de dientes con fluoruro. De acuerdo al riesgo de caries individual (analizado mediante Cariogram), se recomendaron fluoruros adicionales, se realizó educación en higiene oral y asesoramiento dietético (11).
Los resultados de estos estudios, en forma individual, nos muestran que la infiltración de lesiones de caries es un método eficaz para detener la progresión de lesiones proximales que se extienden desde la capa interna del esmalte hasta el tercio externo de la dentina, hasta por un período de 3 años (11).
Esta revisión sistemática reveló que el uso de RI para detener la progresión de lesiones de caries no cavitadas es alentador. Esto sugiere que RI es una prometedora técnica no invasiva. Sin embargo, ensayos clínicos de alta calidad y a largo plazo, son necesarios para confirmar la eficacia de RI en la detención de lesiones no cavitadas tanto en dientes temporales como permanentes. En particular, con el fin de determinar los beneficios a largo plazo.
Las resinas infiltrantes pueden ser usadas para detener lesiones iniciales interproximales de caries y también para enmascarar algunos alteraciones del desarrollo, fluorosis y lesiones de hipomineralización por trauma, pues estas lesiones también presentan una superficie con contenido mineral reducido similar a una lesión inicial de caries (13).
La evidencia científica nos muestra resultados del uso de resinas infiltrantes para uso interproximal y también para enmascaramiento de lesiones blancas, por ejemplo como resultado de higiene deficiente durante un tratamiento prolongado de ortodoncia.
Infiltración de Resina y Tratamiento MIH
El término Hipomineralización Incisivo-Molar (MIH) hace referencia a una hipomineralización de origen sistémico, que se manifiesta como una anomalía cualitativa del esmalte y afecta principalmente a los primeros molares permanentes, comprometiendo con frecuencia también los incisivos.
Una revisión sistemática explora las resinas infiltradas como tratamiento para el MIH. El objetivo principal de este estudio es el de evaluar la efectividad de la infiltración de resinas para mejorar las propiedades estéticas de los dientes afectados por MIH, enmascarando color y opacidades; así como estudiar los cambios en la sensibilidad dental referida por el paciente y su grado de satisfacción con respecto al tratamiento recibido.
De 74 artículos potencialmente elegibles, 8 cumplieron con los criterios de inclusión. Estos estudios mostraron que las resinas infiltradas pueden mejorar significativamente las propiedades estéticas de los dientes afectados por MIH, reduciendo la visibilidad de las opacidades y mejorando el brillo. Además, algunos estudios reportaron una reducción en la sensibilidad dental post- tratamiento.
En conclusión, las resinas infiltradas son efectivas para mejorar la estética dental en niños afectados por MIH. Los resultados son prometedores en cuanto al enmascaramiento del color y de las opacidades y a la disminución en la sensibilidad dental, contribuyendo a una mejor calidad de vida para los pacientes.

Los resultados del tratamiento ICON son duraderos, aunque dependen en gran medida del cuidado dental del paciente. En Dental Adriana, somos especialistas en estética dental y técnicas mínimamente invasivas.
| Estudio | Tipo de Lesión | Resultados |
|---|---|---|
| Ekstrand et al. (2010) | Lesiones interproximales en molares primarios | 23% de progresión en grupo infiltrado vs. 62% en grupo control |
| Martignon et al. (2012) | Lesiones en dentición permanente | 32% de progresión en grupo infiltrado vs. 70% en grupo control (3 años) |
| Paris et al. (2010) | Lesiones en dentición permanente | 7% de progresión en grupo infiltrado vs. 37% en grupo control (18 meses) |
tags: #infiltracion #de #resina #dental